JavaScript is disabled in your browser. Please enable JavaScript to view this website.
AB195371

Anti-PP-X antibody [EPR19502]

Be the first to review this product! Submit a review

|

(2 Publications)

Rabbit Recombinant Monoclonal PP-X antibody. Suitable for WB, Flow Cyt (Intra), IHC-P and reacts with Mouse, Rat, Human samples. Cited in 2 publications.

View Alternative Names

PPP4, PPX, PPP4C, Serine/threonine-protein phosphatase 4 catalytic subunit, PP4C, Pp4, Protein phosphatase X, PP-X

6 Images
Immunohistochemistry (Formalin/PFA-fixed paraffin-embedded sections) - Anti-PP-X antibody [EPR19502] (AB195371)
  • IHC-P

Supplier Data

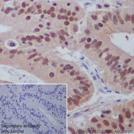
Immunohistochemistry (Formalin/PFA-fixed paraffin-embedded sections) - Anti-PP-X antibody [EPR19502] (AB195371)

Immunohistochemical analysis of paraffin-embedded human pancreatic carcinoma tissue labeling PP-X with ab195371 at 1/100 dilution followed by Goat Anti-Rabbit IgG H&L (HRP) (ab97051) at 1/500 dilution. Cytoplasmic and nuclear staining on human pancreatic carcinoma is observed. Counter stained with Hematoxylin.

Secondary antibody only control : Used PBS instead of primary antibody secondary antibody is Goat Anti-Rabbit IgG H&L (HRP) (ab97051) at 1/500 dilution.

Perform heat mediated antigen retrieval with Tris/EDTA buffer pH 9.0 before commencing with IHC staining protocol.

Immunohistochemistry (Formalin/PFA-fixed paraffin-embedded sections) - Anti-PP-X antibody [EPR19502] (AB195371)
  • IHC-P

Supplier Data

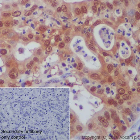
Immunohistochemistry (Formalin/PFA-fixed paraffin-embedded sections) - Anti-PP-X antibody [EPR19502] (AB195371)

Immunohistochemical analysis of paraffin-embedded Human colon carcinoma tissue labeling PP-X with ab195371 at 1/100 dilution followed by Goat Anti-Rabbit IgG H&L (HRP) (ab97051) at 1/500 dilution. Strong nuclear and weak cytoplasmic staining on human colon carcinoma is observed. Counter stained with Hematoxylin.

Secondary antibody only control : Used PBS instead of primary antibody secondary antibody is Goat Anti-Rabbit IgG H&L (HRP) (ab97051) at 1/500 dilution.

Perform heat mediated antigen retrieval with Tris/EDTA buffer pH 9.0 before commencing with IHC staining protocol.

Flow Cytometry (Intracellular) - Anti-PP-X antibody [EPR19502] (AB195371)
  • Flow Cyt (Intra)

Supplier Data

Flow Cytometry (Intracellular) - Anti-PP-X antibody [EPR19502] (AB195371)

Intracellular flow cytometric analysis of 4% paraformaldehyde-fixed NIH/3T3 (Mouse embryonic fibroblast cell line) cells labeling PP-X with ab195371 at 1/500 dilution (red) compared with a rabbit monoclonal IgG isotype control (ab172730; black) and an unlabeled control (cells without incubation with primary antibody and secondary antibody; blue). Goat Anti-Rabbit IgG (Alexa Fluorr® 488) at 1/2000 dilution was used as the secondary antibody.

Western blot - Anti-PP-X antibody [EPR19502] (AB195371)
  • WB

Supplier Data

Western blot - Anti-PP-X antibody [EPR19502] (AB195371)

Blocking/Dilution buffer : 5% NFDM/TBST.

Lanes 1 - 2:

Western blot - Anti-PP-X antibody [EPR19502] (ab195371) at 1/1000 dilution

Lane 3:

Western blot - Anti-PP-X antibody [EPR19502] (ab195371) at 1/10000 dilution

Lane 1:

HeLa (Human epithelial cell line from cervix adenocarcinoma) whole cell lysate at 20 µg

Lane 2:

HEK-293 (Human epithelial cell line from embryonic kidney) whole cell lysate at 20 µg

Lane 3:

MCF7 (Human breast adenocarcinoma cell line) whole cell lysate at 20 µg

Secondary

All lanes:

Western blot - Goat Anti-Rabbit IgG H&L (HRP) (<a href='/en-us/products/secondary-antibodies/goat-rabbit-igg-h-l-hrp-ab97051'>ab97051</a>) at 1/100000 dilution

Predicted band size: 35 kDa

Observed band size: 35 kDa

false

Exposure time: 30s

Western blot - Anti-PP-X antibody [EPR19502] (AB195371)
  • WB

Supplier Data

Western blot - Anti-PP-X antibody [EPR19502] (AB195371)

Blocking/Dilution buffer : 5% NFDM/TBST.

All lanes:

Western blot - Anti-PP-X antibody [EPR19502] (ab195371) at 1/1000 dilution

Lane 1:

Human liver tissue lysate at 10 µg

Lane 2:

Human kidney tissue lysate at 10 µg

Secondary

All lanes:

Goat Anti-Rabbit IgG Peroxidase Conjugate, specific to the non-reduced form of IgG at 1/10000 dilution

Predicted band size: 35 kDa

Observed band size: 35 kDa

false

Exposure time: 3min

Western blot - Anti-PP-X antibody [EPR19502] (AB195371)
  • WB

Supplier Data

Western blot - Anti-PP-X antibody [EPR19502] (AB195371)

Blocking/Dilution buffer : 5% NFDM/TBST.

All lanes:

Western blot - Anti-PP-X antibody [EPR19502] (ab195371) at 1/1000 dilution

Lane 1:

RAW 264.7 (Mouse macrophage cell line transformed with Abelson murine leukemia virus) whole cell lysate at 10 µg

Lane 2:

NIH/3T3 (Mouse embryonic fibroblast cell line) whole cell lysate at 10 µg

Lane 3:

Mouse kidney tissue lysate at 10 µg

Lane 4:

Mouse spleen tissue lysate at 10 µg

Lane 5:

Rat brain tissue lysate at 10 µg

Lane 6:

Rat kidney tissue lysate at 10 µg

Lane 7:

Rat spleen tissue lysate at 10 µg

Secondary

All lanes:

Western blot - Goat Anti-Rabbit IgG H&L (HRP) (<a href='/en-us/products/secondary-antibodies/goat-rabbit-igg-h-l-hrp-ab97051'>ab97051</a>) at 1/100000 dilution

Predicted band size: 35 kDa

Observed band size: 35 kDa

false

Key facts

Host species

Rabbit

Clonality

Monoclonal

Clone number

EPR19502

Isotype

IgG

Carrier free

No

Reacts with

Mouse, Rat, Human

Applications

IHC-P, WB, Flow Cyt (Intra)

applications

Immunogen

The exact immunogen used to generate this antibody is proprietary information.

Reactivity data

{ "title": "Reactivity Data", "filters": { "stats": ["", "Species", "Dilution Info", "Notes"], "tabs": { "all-applications": {"fullname" : "All Applications", "shortname": "All Applications"}, "WB" : {"fullname" : "Western blot", "shortname":"WB"}, "FlowCytIntra" : {"fullname" : "Flow Cytometry (Intracellular)", "shortname":"Flow Cyt (Intra)"}, "IHCP" : {"fullname" : "Immunohistochemistry (Formalin/PFA-fixed paraffin-embedded sections)", "shortname":"IHC-P"} }, "product-promise": { "all": "all", "testedAndGuaranteed": "tested", "guaranteed": "expected", "predicted": "predicted", "notRecommended": "not-recommended" } }, "values": { "Human": { "WB-species-checked": "testedAndGuaranteed", "WB-species-dilution-info": "1/1000", "WB-species-notes": "<p></p>", "FlowCytIntra-species-checked": "guaranteed", "FlowCytIntra-species-dilution-info": "", "FlowCytIntra-species-notes": "", "IHCP-species-checked": "testedAndGuaranteed", "IHCP-species-dilution-info": "1/100", "IHCP-species-notes": "<p>IHC is recommended for human only.</p>" }, "Mouse": { "WB-species-checked": "testedAndGuaranteed", "WB-species-dilution-info": "1/1000", "WB-species-notes": "<p></p>", "FlowCytIntra-species-checked": "testedAndGuaranteed", "FlowCytIntra-species-dilution-info": "1/500", "FlowCytIntra-species-notes": "<p></p>", "IHCP-species-checked": "guaranteed", "IHCP-species-dilution-info": "", "IHCP-species-notes": "" }, "Rat": { "WB-species-checked": "testedAndGuaranteed", "WB-species-dilution-info": "1/1000", "WB-species-notes": "<p></p>", "FlowCytIntra-species-checked": "guaranteed", "FlowCytIntra-species-dilution-info": "", "FlowCytIntra-species-notes": "", "IHCP-species-checked": "guaranteed", "IHCP-species-dilution-info": "", "IHCP-species-notes": "" } } }

Product details

Patented technology
Our RabMAb® technology is a patented hybridoma-based technology for making rabbit monoclonal antibodies. For details on our patents, please refer to RabMAb® patents.

What are the advantages of a recombinant monoclonal antibody?
This product is a recombinant monoclonal antibody, which offers several advantages including:

  • - High batch-to-batch consistency and reproducibility
  • - Improved sensitivity and specificity
  • - Long-term security of supply
  • - Animal-free batch production

For more information, read more on recombinant antibodies.

Properties and storage information

Form
Liquid
Purification technique
Affinity purification Protein A
Storage buffer
pH: 7.2 - 7.4 Preservative: 0.01% Sodium azide Constituents: PBS, 40% Glycerol (glycerin, glycerine), 0.05% BSA
Shipped at conditions
Blue Ice
Appropriate short-term storage duration
1-2 weeks
Appropriate short-term storage conditions
+4°C
Appropriate long-term storage conditions
-20°C
Aliquoting information
Upon delivery aliquot
Storage information
Avoid freeze / thaw cycle

Product protocols

For this product, it's our understanding that no specific protocols are required. You can visit:

Target data

Protein phosphatase that is involved in many processes such as microtubule organization at centrosomes, maturation of spliceosomal snRNPs, apoptosis, DNA repair, tumor necrosis factor (TNF)-alpha signaling, activation of c-Jun N-terminal kinase MAPK8, regulation of histone acetylation, DNA damage checkpoint signaling, NF-kappa-B activation and cell migration. The PPP4C-PPP4R1 PP4 complex may play a role in dephosphorylation and regulation of HDAC3. The PPP4C-PPP4R2-PPP4R3A PP4 complex specifically dephosphorylates H2AX phosphorylated on Ser-140 (gamma-H2AX) generated during DNA replication and required for DNA double strand break repair. Dephosphorylates NDEL1 at CDK1 phosphorylation sites and negatively regulates CDK1 activity in interphase (By similarity). In response to DNA damage, catalyzes RPA2 dephosphorylation, an essential step for DNA repair since it allows the efficient RPA2-mediated recruitment of RAD51 to chromatin.
See full target information PPP4C

Publications (2)

Recent publications for all applications. Explore the full list and refine your search

Bioengineered 13:190-205 PubMed34964699

2021

Comprehensive analysis of PPPCs family reveals the clinical significance of PPP1CA and PPP4C in breast cancer.

Applications

Unspecified application

Species

Unspecified reactive species

Wenjun Xie,Ying Sun,Yu Zeng,Linfei Hu,Jingtai Zhi,Hang Ling,Xiangqian Zheng,Xianhui Ruan,Ming Gao

Cell death & disease 12:439 PubMed33935284

2021

SMYD2 promotes tumorigenesis and metastasis of lung adenocarcinoma through RPS7.

Applications

Unspecified application

Species

Unspecified reactive species

Lei Wu,Fan Kou,Zhenyu Ji,Baihui Li,Bailu Zhang,Yan Guo,Lili Yang
View all publications

Product promise

We are committed to supporting your work with high-quality reagents, and we're here for you every step of the way. In the unlikely event that one of our products does not perform as expected, you're protected by our Product Promise.
For full details, please see our Terms & Conditions

Please note: All products are 'FOR RESEARCH USE ONLY. NOT FOR USE IN DIAGNOSTIC OR THERAPEUTIC PROCEDURES'.

For licensing inquiries, please contact partnerships@abcam.com