JavaScript is disabled in your browser. Please enable JavaScript to view this website.
AB245664

Anti-PP1C gamma antibody

Be the first to review this product! Submit a review

|

(4 Publications)

Rabbit Polyclonal PP1C gamma antibody. Suitable for IP, WB, IHC-P and reacts with Human samples. Cited in 4 publications. Immunogen corresponding to Synthetic Peptide within Human Serine/threonine-protein phosphatase PP1-gamma catalytic subunit aa 250 to C-terminus.

View Alternative Names

Serine/threonine-protein phosphatase PP1-gamma catalytic subunit, PP-1G, Protein phosphatase 1C catalytic subunit, PPP1CC

3 Images
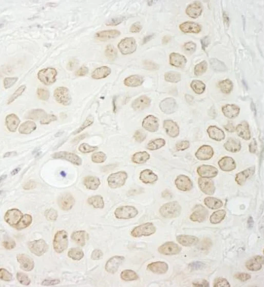
Immunohistochemistry (Formalin/PFA-fixed paraffin-embedded sections) - Anti-PP1C gamma antibody (AB245664)
  • IHC-P

Supplier Data

Immunohistochemistry (Formalin/PFA-fixed paraffin-embedded sections) - Anti-PP1C gamma antibody (AB245664)

Formalin-fixed, paraffin-embedded human breast carcinoma tissue stained for PP1C gamma with ab245664 at a 1/1000 dilution in immunohistochemical analysis. DAB staining.

Immunoprecipitation - Anti-PP1C gamma antibody (AB245664)
  • IP

Supplier Data

Immunoprecipitation - Anti-PP1C gamma antibody (AB245664)

PP1C gamma was immunoprecipitated from HeLa (Human epithelial cell line from cervix adenocarcinoma) whole cell lysate (1 mg per IP reaction; 20% of IP loaded).

ab245664 used for IP at 3 μg/mg lysate. For WB 1 μg/ml.

Lane 1 : ab245664 IP in HeLa whole cell lysate.
Lane 2 : Control IgG in HeLa whole cell lysate.

Chemiluminescence detection : 30 seconds.

All lanes:

Immunoprecipitation - Anti-PP1C gamma antibody (ab245664)

Predicted band size: 37 kDa

false

Western blot - Anti-PP1C gamma antibody (AB245664)
  • WB

Supplier Data

Western blot - Anti-PP1C gamma antibody (AB245664)

All lanes:

Western blot - Anti-PP1C gamma antibody (ab245664) at 0.1 µg/mL

Lane 1:

HeLa (Human epithelial cell line from cervix adenocarcinoma) whole cell lysate at 50 µg

Lane 2:

HeLa whole cell lysate at 15 µg

Lane 3:

HeLa whole cell lysate at 5 µg

Predicted band size: 37 kDa

false

Exposure time: 3min

Key facts

Host species

Rabbit

Clonality

Polyclonal

Isotype

IgG

Carrier free

No

Reacts with

Human

Applications

IP, WB, IHC-P

applications

Immunogen

Synthetic Peptide within Human Serine/threonine-protein phosphatase PP1-gamma catalytic subunit aa 250 to C-terminus. The exact immunogen used to generate this antibody is proprietary information.

P36873

Reactivity data

{ "title": "Reactivity Data", "filters": { "stats": ["", "Species", "Dilution Info", "Notes"], "tabs": { "all-applications": {"fullname" : "All Applications", "shortname": "All Applications"}, "IP" : {"fullname" : "Immunoprecipitation", "shortname":"IP"}, "WB" : {"fullname" : "Western blot", "shortname":"WB"}, "IHCP" : {"fullname" : "Immunohistochemistry (Formalin/PFA-fixed paraffin-embedded sections)", "shortname":"IHC-P"} }, "product-promise": { "all": "all", "testedAndGuaranteed": "tested", "guaranteed": "expected", "predicted": "predicted", "notRecommended": "not-recommended" } }, "values": { "Human": { "IP-species-checked": "testedAndGuaranteed", "IP-species-dilution-info": "2-5 µg/mg of lysate", "IP-species-notes": "<p></p>", "WB-species-checked": "testedAndGuaranteed", "WB-species-dilution-info": "1/2000 - 1/10000", "WB-species-notes": "<p></p>", "IHCP-species-checked": "testedAndGuaranteed", "IHCP-species-dilution-info": "1/500 - 1/2000", "IHCP-species-notes": "<p></p>" }, "Mouse": { "IP-species-checked": "predicted", "IP-species-dilution-info": "", "IP-species-notes": "", "WB-species-checked": "predicted", "WB-species-dilution-info": "", "WB-species-notes": "", "IHCP-species-checked": "predicted", "IHCP-species-dilution-info": "", "IHCP-species-notes": "" }, "Rat": { "IP-species-checked": "predicted", "IP-species-dilution-info": "", "IP-species-notes": "", "WB-species-checked": "predicted", "WB-species-dilution-info": "", "WB-species-notes": "", "IHCP-species-checked": "predicted", "IHCP-species-dilution-info": "", "IHCP-species-notes": "" }, "Cow": { "IP-species-checked": "predicted", "IP-species-dilution-info": "", "IP-species-notes": "", "WB-species-checked": "predicted", "WB-species-dilution-info": "", "WB-species-notes": "", "IHCP-species-checked": "predicted", "IHCP-species-dilution-info": "", "IHCP-species-notes": "" }, "Xenopus laevis": { "IP-species-checked": "predicted", "IP-species-dilution-info": "", "IP-species-notes": "", "WB-species-checked": "predicted", "WB-species-dilution-info": "", "WB-species-notes": "", "IHCP-species-checked": "predicted", "IHCP-species-dilution-info": "", "IHCP-species-notes": "" }, "Xenopus tropicalis": { "IP-species-checked": "predicted", "IP-species-dilution-info": "", "IP-species-notes": "", "WB-species-checked": "predicted", "WB-species-dilution-info": "", "WB-species-notes": "", "IHCP-species-checked": "predicted", "IHCP-species-dilution-info": "", "IHCP-species-notes": "" } } }

Properties and storage information

Form
Liquid
Purification technique
Affinity purification Immunogen
Purification notes
ab245664 was affinity purified using an epitope specific to ABCF2 immobilized on solid support.
Storage buffer
pH: 7 - 8 Preservative: 0.09% Sodium azide Constituents: Tris citrate/phosphate
Shipped at conditions
Blue Ice
Appropriate short-term storage duration
1-2 weeks
Appropriate short-term storage conditions
+4°C
Appropriate long-term storage conditions
+4°C
Aliquoting information
Upon delivery aliquot
Storage information
Avoid freeze / thaw cycle

Product protocols

For this product, it's our understanding that no specific protocols are required. You can visit:

Target data

Protein phosphatase that associates with over 200 regulatory proteins to form highly specific holoenzymes which dephosphorylate hundreds of biological targets. Protein phosphatase 1 (PP1) is essential for cell division, and participates in the regulation of glycogen metabolism, muscle contractility and protein synthesis. Dephosphorylates RPS6KB1 (PubMed : 17936702). Involved in regulation of ionic conductances and long-term synaptic plasticity. May play an important role in dephosphorylating substrates such as the postsynaptic density-associated Ca(2+)/calmodulin dependent protein kinase II. Component of the PTW/PP1 phosphatase complex, which plays a role in the control of chromatin structure and cell cycle progression during the transition from mitosis into interphase (PubMed : 20516061). In balance with CSNK1D and CSNK1E, determines the circadian period length, through the regulation of the speed and rhythmicity of PER1 and PER2 phosphorylation (PubMed : 21712997). May dephosphorylate CSNK1D and CSNK1E (By similarity). Regulates the recruitment of the SKA complex to kinetochores (PubMed : 28982702). Dephosphorylates the 'Ser-418' residue of FOXP3 in regulatory T-cells (Treg) from patients with rheumatoid arthritis, thereby inactivating FOXP3 and rendering Treg cells functionally defective (PubMed : 23396208). Together with PPP1CA (PP1-alpha subunit), dephosphorylates IFIH1/MDA5 and RIG-I leading to their activation and a functional innate immune response (PubMed : 23499489). Core component of the SHOC2-MRAS-PP1c (SMP) holophosphatase complex that regulates the MAPK pathway activation (PubMed : 35768504, PubMed : 35831509). The SMP complex specifically dephosphorylates the inhibitory phosphorylation at 'Ser-259' of RAF1 kinase, 'Ser-365' of BRAF kinase and 'Ser-214' of ARAF kinase, stimulating their kinase activities (PubMed : 35768504, PubMed : 35831509). The SMP complex enhances the dephosphorylation activity and substrate specificity of PP1c (PubMed : 35768504, PubMed : 35831509).
See full target information Serine/threonine-protein phosphatase PP1-gamma catalytic subunit

Publications (4)

Recent publications for all applications. Explore the full list and refine your search

Frontiers in oncology 15:1586679 PubMed40626009

2025

PP1γ promotes esophageal squamous cell carcinoma progression through the PP1γ/YAP1/SOX2 axis.

Applications

Unspecified application

Species

Unspecified reactive species

Juan Du,Li Liu,Shutao Zheng,Chenglu Dai,Jingyu Liu,Wei Zhang,Hongwei Pu,Jing Xue

Molecular biology of the cell 35:ar133 PubMed39196658

2024

mDia2 is an important mediator of MRTF-A-dependent regulation of breast cancer cell migration.

Applications

Unspecified application

Species

Unspecified reactive species

Ian Eder,Virginia Yu,Jacob Antonello,Fangyuan Chen,David Gau,Pooja Chawla,Marion Joy,Peter C Lucas,David Boone,Adrian V Lee,Partha Roy

Scientific reports 14:13670 PubMed38871968

2024

PCK1-mediated glycogenolysis facilitates ROS clearance and chemotherapy resistance in cervical cancer stem cells.

Applications

Unspecified application

Species

Unspecified reactive species

Xinxin Chen,Nan Yang,Ying Wang,Shuang Yang,Yuanhong Peng

The Journal of clinical investigation 133: PubMed38099490

2023

Aryl hydrocarbon receptor sulfenylation promotes glycogenolysis and rescues cancer chemoresistance.

Applications

Unspecified application

Species

Unspecified reactive species

Nannan Zhou,Jie Chen,Zheng Ling,Chaoqi Zhang,Yabo Zhou,Dianheng Wang,Li Zhou,Zhenfeng Wang,Nan Sun,Xin Wang,Huafeng Zhang,Ke Tang,Jingwei Ma,Jiadi Lv,Bo Huang
View all publications

Product promise

We are committed to supporting your work with high-quality reagents, and we're here for you every step of the way. In the unlikely event that one of our products does not perform as expected, you're protected by our Product Promise.
For full details, please see our Terms & Conditions

Please note: All products are 'FOR RESEARCH USE ONLY. NOT FOR USE IN DIAGNOSTIC OR THERAPEUTIC PROCEDURES'.

For licensing inquiries, please contact partnerships@abcam.com