JavaScript is disabled in your browser. Please enable JavaScript to view this website.
AB137849

Anti-PP2A alpha + beta antibody

3

(1 Review)

|

(4 Publications)

Rabbit Polyclonal PP2AB antibody. Suitable for IHC-P, WB, ICC/IF, IP and reacts with Human, Mouse samples. Cited in 4 publications. Immunogen corresponding to Synthetic Peptide within Human PPP2CA aa 200-300.

View Alternative Names

Serine/threonine-protein phosphatase 2A catalytic subunit beta isoform, PP2A-beta, PPP2CB

6 Images
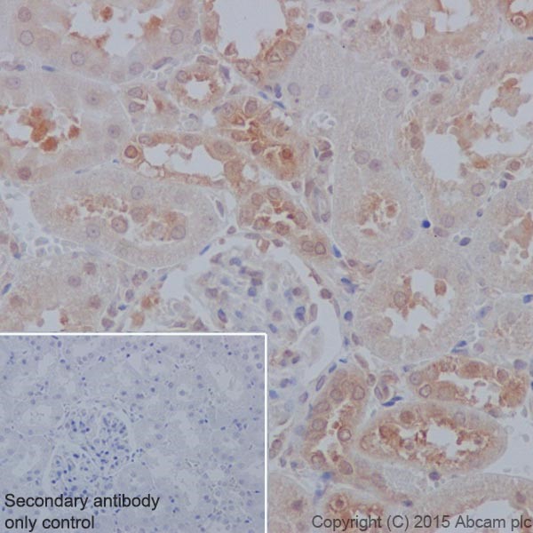
Immunohistochemistry (Formalin/PFA-fixed paraffin-embedded sections) - Anti-PP2A alpha + beta antibody (AB137849)
  • IHC-P

Supplier Data

Immunohistochemistry (Formalin/PFA-fixed paraffin-embedded sections) - Anti-PP2A alpha + beta antibody (AB137849)

Immunohistochemical analysis of paraffin embedded A549 xenograft, labeling PP2A alpha using ab137849 at a 1/100 dilution.

Immunocytochemistry/ Immunofluorescence - Anti-PP2A alpha + beta antibody (AB137849)
  • ICC/IF

Supplier Data

Immunocytochemistry/ Immunofluorescence - Anti-PP2A alpha + beta antibody (AB137849)

Confocal immunofluorescence analysis of paraformaldehyde fixed HeLa cell labeling PP2A alpha with ab137849 (green) at a 1/500 dilution. Alpha tubulin filaments were labeled with an Alpha tubulin antibody (red) at a 1/2000 dilution.

Immunoprecipitation - Anti-PP2A alpha + beta antibody (AB137849)
  • IP

Supplier Data

Immunoprecipitation - Anti-PP2A alpha + beta antibody (AB137849)

Immunoprecipitation of PP2A alpha protein from 293T whole cell extracts using 5 µg of ab137849. Western blot analysis was performed using ab137849.

All lanes:

Immunoprecipitation - Anti-PP2A alpha + beta antibody (ab137849) at 5 µg

Lane 1:

293T whole cell extract with IgG control

Lane 2:

293T whole cell extract

Secondary

All lanes:

Anti-Rabbit IgG

Predicted band size: 35 kDa

false

Western blot - Anti-PP2A alpha + beta antibody (AB137849)
  • WB

Supplier Data

Western blot - Anti-PP2A alpha + beta antibody (AB137849)

Samples were separated by 10 % SDS.

All lanes:

Western blot - Anti-PP2A alpha + beta antibody (ab137849) at 1/2000 dilution

Lane 1:

Non-transfected 293T whole cell extract at 30 µg

Lane 2:

Transfected 293T whole cell extract at 30 µg

Secondary

All lanes:

HRP-conjugated anti-rabbit IgG antibody

Predicted band size: 35 kDa

false

Western blot - Anti-PP2A alpha + beta antibody (AB137849)
  • WB

Supplier Data

Western blot - Anti-PP2A alpha + beta antibody (AB137849)

10% SDS PAGE

All lanes:

Western blot - Anti-PP2A alpha + beta antibody (ab137849) at 1/1500 dilution

Lane 1:

293T whole cell lysate at 30 µg

Lane 2:

Molt4 whole cell lysate at 30 µg

Predicted band size: 36 kDa

false

Western blot - Anti-PP2A alpha + beta antibody (AB137849)
  • WB

Supplier Data

Western blot - Anti-PP2A alpha + beta antibody (AB137849)

10% SDS PAGE

All lanes:

Western blot - Anti-PP2A alpha + beta antibody (ab137849) at 1/10000 dilution

All lanes:

mouse brain whole cell lysate at 50 µg

Predicted band size: 36 kDa

false

Key facts

Host species

Rabbit

Clonality

Polyclonal

Isotype

IgG

Carrier free

No

Reacts with

Mouse, Human

Applications

IHC-P, WB, ICC/IF, IP

applications

Immunogen

Synthetic Peptide within Human PPP2CA aa 200-300. The exact immunogen used to generate this antibody is proprietary information.

P67775

Specificity

ab137849 does cross react with PP2A beta

Reactivity data

{ "title": "Reactivity Data", "filters": { "stats": ["", "Species", "Dilution Info", "Notes"], "tabs": { "all-applications": {"fullname" : "All Applications", "shortname": "All Applications"}, "IHCP" : {"fullname" : "Immunohistochemistry (Formalin/PFA-fixed paraffin-embedded sections)", "shortname":"IHC-P"}, "WB" : {"fullname" : "Western blot", "shortname":"WB"}, "ICCIF" : {"fullname" : "Immunocytochemistry/ Immunofluorescence", "shortname":"ICC/IF"}, "IP" : {"fullname" : "Immunoprecipitation", "shortname":"IP"} }, "product-promise": { "all": "all", "testedAndGuaranteed": "tested", "guaranteed": "expected", "predicted": "predicted", "notRecommended": "not-recommended" } }, "values": { "Human": { "IHCP-species-checked": "testedAndGuaranteed", "IHCP-species-dilution-info": "1/100 - 1/1000", "IHCP-species-notes": "<p>Alternatively Tris-EDTA buffer ( pH8.0) may be used.</p> Perform heat-mediated antigen retrieval with citrate buffer pH 6 before commencing with IHC staining protocol.", "WB-species-checked": "testedAndGuaranteed", "WB-species-dilution-info": "1/500 - 1/10000", "WB-species-notes": "<p></p>", "ICCIF-species-checked": "testedAndGuaranteed", "ICCIF-species-dilution-info": "1/100 - 1/1000", "ICCIF-species-notes": "<p></p>", "IP-species-checked": "testedAndGuaranteed", "IP-species-dilution-info": "1/100 - 1/500", "IP-species-notes": "<p></p>" }, "Mouse": { "IHCP-species-checked": "guaranteed", "IHCP-species-dilution-info": "", "IHCP-species-notes": "", "WB-species-checked": "testedAndGuaranteed", "WB-species-dilution-info": "1/500 - 1/10000", "WB-species-notes": "<p></p>", "ICCIF-species-checked": "guaranteed", "ICCIF-species-dilution-info": "", "ICCIF-species-notes": "", "IP-species-checked": "guaranteed", "IP-species-dilution-info": "", "IP-species-notes": "" }, "Rat": { "IHCP-species-checked": "predicted", "IHCP-species-dilution-info": "", "IHCP-species-notes": "", "WB-species-checked": "predicted", "WB-species-dilution-info": "", "WB-species-notes": "", "ICCIF-species-checked": "predicted", "ICCIF-species-dilution-info": "", "ICCIF-species-notes": "", "IP-species-checked": "predicted", "IP-species-dilution-info": "", "IP-species-notes": "" }, "Chicken": { "IHCP-species-checked": "predicted", "IHCP-species-dilution-info": "", "IHCP-species-notes": "", "WB-species-checked": "predicted", "WB-species-dilution-info": "", "WB-species-notes": "", "ICCIF-species-checked": "predicted", "ICCIF-species-dilution-info": "", "ICCIF-species-notes": "", "IP-species-checked": "predicted", "IP-species-dilution-info": "", "IP-species-notes": "" }, "Cow": { "IHCP-species-checked": "predicted", "IHCP-species-dilution-info": "", "IHCP-species-notes": "", "WB-species-checked": "predicted", "WB-species-dilution-info": "", "WB-species-notes": "", "ICCIF-species-checked": "predicted", "ICCIF-species-dilution-info": "", "ICCIF-species-notes": "", "IP-species-checked": "predicted", "IP-species-dilution-info": "", "IP-species-notes": "" }, "Dog": { "IHCP-species-checked": "predicted", "IHCP-species-dilution-info": "", "IHCP-species-notes": "", "WB-species-checked": "predicted", "WB-species-dilution-info": "", "WB-species-notes": "", "ICCIF-species-checked": "predicted", "ICCIF-species-dilution-info": "", "ICCIF-species-notes": "", "IP-species-checked": "predicted", "IP-species-dilution-info": "", "IP-species-notes": "" }, "Pig": { "IHCP-species-checked": "predicted", "IHCP-species-dilution-info": "", "IHCP-species-notes": "", "WB-species-checked": "predicted", "WB-species-dilution-info": "", "WB-species-notes": "", "ICCIF-species-checked": "predicted", "ICCIF-species-dilution-info": "", "ICCIF-species-notes": "", "IP-species-checked": "predicted", "IP-species-dilution-info": "", "IP-species-notes": "" }, "Rabbit": { "IHCP-species-checked": "predicted", "IHCP-species-dilution-info": "", "IHCP-species-notes": "", "WB-species-checked": "predicted", "WB-species-dilution-info": "", "WB-species-notes": "", "ICCIF-species-checked": "predicted", "ICCIF-species-dilution-info": "", "ICCIF-species-notes": "", "IP-species-checked": "predicted", "IP-species-dilution-info": "", "IP-species-notes": "" }, "Xenopus laevis": { "IHCP-species-checked": "predicted", "IHCP-species-dilution-info": "", "IHCP-species-notes": "", "WB-species-checked": "predicted", "WB-species-dilution-info": "", "WB-species-notes": "", "ICCIF-species-checked": "predicted", "ICCIF-species-dilution-info": "", "ICCIF-species-notes": "", "IP-species-checked": "predicted", "IP-species-dilution-info": "", "IP-species-notes": "" }, "Xenopus tropicalis": { "IHCP-species-checked": "predicted", "IHCP-species-dilution-info": "", "IHCP-species-notes": "", "WB-species-checked": "predicted", "WB-species-dilution-info": "", "WB-species-notes": "", "ICCIF-species-checked": "predicted", "ICCIF-species-dilution-info": "", "ICCIF-species-notes": "", "IP-species-checked": "predicted", "IP-species-dilution-info": "", "IP-species-notes": "" }, "Zebrafish": { "IHCP-species-checked": "predicted", "IHCP-species-dilution-info": "", "IHCP-species-notes": "", "WB-species-checked": "predicted", "WB-species-dilution-info": "", "WB-species-notes": "", "ICCIF-species-checked": "predicted", "ICCIF-species-dilution-info": "", "ICCIF-species-notes": "", "IP-species-checked": "predicted", "IP-species-dilution-info": "", "IP-species-notes": "" } } }

Properties and storage information

Form
Liquid
Purification technique
Affinity purification Immunogen
Storage buffer
pH: 7 Preservative: 0.01% Thimerosal (merthiolate) Constituents: 89.99% PBS, 10% Glycerol (glycerin, glycerine)
Shipped at conditions
Blue Ice
Appropriate short-term storage conditions
+4°C
Appropriate long-term storage conditions
-20°C
Aliquoting information
Upon delivery aliquot
Storage information
Avoid freeze / thaw cycle

Product protocols

For this product, it's our understanding that no specific protocols are required. You can visit:

Target data

Catalytic subunit of protein phosphatase 2A (PP2A), a serine/threonine phosphatase involved in the regulation of a wide variety of enzymes, signal transduction pathways, and cellular events (Probable). PP2A can modulate the activity of phosphorylase B kinase, casein kinase 2, mitogen-stimulated S6 kinase, and MAP-2 kinase. Part of the striatin-interacting phosphatase and kinase (STRIPAK) complexes. STRIPAK complexes have critical roles in protein (de)phosphorylation and are regulators of multiple signaling pathways including Hippo, MAPK, nuclear receptor and cytoskeleton remodeling. Different types of STRIPAK complexes are involved in a variety of biological processes such as cell growth, differentiation, apoptosis, metabolism and immune regulation (PubMed : 18782753).
See full target information PPP2CB

Additional targets

PPP2CA

Publications (4)

Recent publications for all applications. Explore the full list and refine your search

Aging 15:6894-6904 PubMed37470692

2023

Celastrol impairs tumor growth by modulating the CIP2A-GSK3β-MCL-1 axis in gastric cancer cells.

Applications

Unspecified application

Species

Unspecified reactive species

Jin Wu,Feng Ye,Tao Xu

Acta neuropathologica communications 11:102 PubMed37344916

2023

DHCR24 reverses Alzheimer's disease-related pathology and cognitive impairment via increasing hippocampal cholesterol levels in 5xFAD mice.

Applications

Unspecified application

Species

Unspecified reactive species

Wen-Bin Zhang,Yue Huang,Xiao-Rou Guo,Meng-Qi Zhang,Xiang-Shan Yuan,Heng-Bing Zu

Experimental and molecular pathology 110:104285 PubMed31301304

2019

Skullcapflavone I suppresses proliferation of human lung cancer cells via down-regulating microRNA-21.

Applications

Unspecified application

Species

Unspecified reactive species

Yadong Yang,Ran An,Tao Feng,Xiaofeng Qin,Jian Zhang,Youling Bo,Ben Niu

Advanced healthcare materials 7: PubMed29280352

2017

Mg-Al and Zn-Al Layered Double Hydroxides Promote Dynamic Expression of Marker Genes in Osteogenic Differentiation by Modulating Mitogen-Activated Protein Kinases.

Applications

Unspecified application

Species

Unspecified reactive species

Ha Ram Kang,Célio Junior da Costa Fernandes,Rodrigo Augusto da Silva,Vera Regina Leopoldo Constantino,Ivan Hong Jun Koh,Willian F Zambuzzi
View all publications

Product promise

We are committed to supporting your work with high-quality reagents, and we're here for you every step of the way. In the unlikely event that one of our products does not perform as expected, you're protected by our Product Promise.
For full details, please see our Terms & Conditions

Please note: All products are 'FOR RESEARCH USE ONLY. NOT FOR USE IN DIAGNOSTIC OR THERAPEUTIC PROCEDURES'.

For licensing inquiries, please contact partnerships@abcam.com