JavaScript is disabled in your browser. Please enable JavaScript to view this website.
AB249449

Anti-PP2A alpha + beta antibody [EPR11787(B)] - BSA and Azide free

Be the first to review this product! Submit a review

|

(0 Publication)

Rabbit Recombinant Monoclonal PP2A-alpha antibody. Carrier free. Suitable for ICC/IF, WB and reacts with Human, Mouse, Recombinant full length protein - Human samples.

View Alternative Names

Serine/threonine-protein phosphatase 2A catalytic subunit alpha isoform, PP2A-alpha, Replication protein C, RP-C, PPP2CA

4 Images
Immunocytochemistry/ Immunofluorescence - Anti-PP2A alpha + beta antibody [EPR11787(B)] - BSA and Azide free (AB249449)
  • ICC/IF

Unknown

Immunocytochemistry/ Immunofluorescence - Anti-PP2A alpha + beta antibody [EPR11787(B)] - BSA and Azide free (AB249449)

This data was developed using ab168350, the same antibody clone in a different buffer formulation.

Immunofluorescent analysis of A431 cells labeling PP2A alpha + beta with ab168350 at 1/50 dilution.

Western blot - Anti-PP2A alpha + beta antibody [EPR11787(B)] - BSA and Azide free (AB249449)
  • WB

Unknown

Western blot - Anti-PP2A alpha + beta antibody [EPR11787(B)] - BSA and Azide free (AB249449)

This data was developed using ab168350, the same antibody clone in a different buffer formulation.

All lanes:

Western blot - Anti-PP2A alpha + beta antibody [EPR11787(B)] (<a href='/en-us/products/primary-antibodies/pp2a-alpha-beta-antibody-epr11787b-ab168350'>ab168350</a>) at 1/10000 dilution

Lane 1:

HeLa cell lysate at 10 µg

Lane 2:

293T (Human embryonic kidney epithelial cell) cell lysate at 10 µg

Lane 3:

A431 cell lysate at 10 µg

Lane 4:

NIH/3T3 cell lysate at 10 µg

Secondary

All lanes:

HRP labeled goat anti-rabbit at 1/2000 dilution

Predicted band size: 36 kDa

false

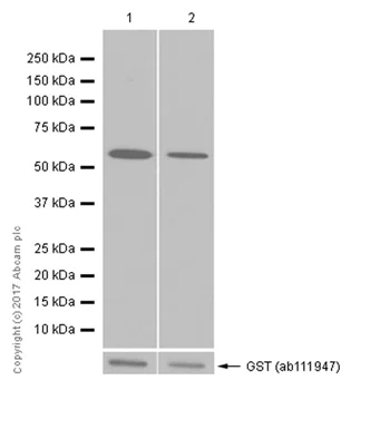
Western blot - Anti-PP2A alpha + beta antibody [EPR11787(B)] - BSA and Azide free (AB249449)
  • WB

Supplier Data

Western blot - Anti-PP2A alpha + beta antibody [EPR11787(B)] - BSA and Azide free (AB249449)

This data was developed using ab168350, the same antibody clone in a different buffer formulation.

Blocking and dilution buffer : 5% NFDM/TBST.

Human PP2A beta full length recombinant protein contains aa1-309 with a GST-Tag (ab128562).

Human PP2A alpha full length recombinant protein contains aa1-309 with a GST-Tag (ab128557).

All lanes:

Western blot - Anti-PP2A alpha + beta antibody [EPR11787(B)] (<a href='/en-us/products/primary-antibodies/pp2a-alpha-beta-antibody-epr11787b-ab168350'>ab168350</a>) at 1/20000 dilution

Lane 1:

Human PP2A beta full length recombinant protein at 0.015 µg

Lane 2:

Human PP2A alpha full length recombinant protein at 0.015 µg

Secondary

All lanes:

Western blot - Goat Anti-Rabbit IgG H&L (HRP) (<a href='/en-us/products/secondary-antibodies/goat-rabbit-igg-h-l-hrp-ab97051'>ab97051</a>) at 1/20000 dilution

Predicted band size: 36 kDa

Observed band size: 59 kDa

false

Exposure time: 15s

Western blot - Anti-PP2A alpha + beta antibody [EPR11787(B)] - BSA and Azide free (AB249449)
  • WB

Unknown

Western blot - Anti-PP2A alpha + beta antibody [EPR11787(B)] - BSA and Azide free (AB249449)

This data was developed using ab168350, the same antibody clone in a different buffer formulation.

All lanes:

Western blot - Anti-PP2A alpha + beta antibody [EPR11787(B)] (<a href='/en-us/products/primary-antibodies/pp2a-alpha-beta-antibody-epr11787b-ab168350'>ab168350</a>) at 1/10000 dilution

All lanes:

immunoprecipitation pellet from HeLa cell lysate

Secondary

All lanes:

HRP-conjugated anti-rabbit IgG preferentially detecting the non-reduced form of rabbit IgG

Predicted band size: 36 kDa

false

  • Unconjugated

    Anti-PP2A alpha + beta antibody [EPR11787(B)]

Key facts

Host species

Rabbit

Clonality

Monoclonal

Clone number

EPR11787(B)

Isotype

IgG

Carrier free

Yes

Reacts with

Mouse, Human

Applications

ICC/IF, WB

applications

Immunogen

The exact immunogen used to generate this antibody is proprietary information.

Specificity

The immunogen used for this product shares 100% homology with PP2A beta.

Reactivity data

{ "title": "Reactivity Data", "filters": { "stats": ["", "Species", "Dilution Info", "Notes"], "tabs": { "all-applications": {"fullname" : "All Applications", "shortname": "All Applications"}, "ICCIF" : {"fullname" : "Immunocytochemistry/ Immunofluorescence", "shortname":"ICC/IF"}, "WB" : {"fullname" : "Western blot", "shortname":"WB"}, "IHCP" : {"fullname" : "Immunohistochemistry (Formalin/PFA-fixed paraffin-embedded sections)", "shortname":"IHC-P"}, "FlowCyt" : {"fullname" : "Flow Cytometry", "shortname":"Flow Cyt"} }, "product-promise": { "all": "all", "testedAndGuaranteed": "tested", "guaranteed": "expected", "predicted": "predicted", "notRecommended": "not-recommended" } }, "values": { "Human": { "ICCIF-species-checked": "testedAndGuaranteed", "ICCIF-species-dilution-info": "", "ICCIF-species-notes": "<p></p>", "WB-species-checked": "testedAndGuaranteed", "WB-species-dilution-info": "", "WB-species-notes": "<p></p>", "IHCP-species-checked": "notRecommended", "IHCP-species-dilution-info": "", "IHCP-species-notes": "<p></p>", "FlowCyt-species-checked": "notRecommended", "FlowCyt-species-dilution-info": "", "FlowCyt-species-notes": "<p></p>" }, "Mouse": { "ICCIF-species-checked": "guaranteed", "ICCIF-species-dilution-info": "", "ICCIF-species-notes": "<p></p>", "WB-species-checked": "testedAndGuaranteed", "WB-species-dilution-info": "", "WB-species-notes": "<p></p>", "IHCP-species-checked": "notRecommended", "IHCP-species-dilution-info": "", "IHCP-species-notes": "<p></p>", "FlowCyt-species-checked": "notRecommended", "FlowCyt-species-dilution-info": "", "FlowCyt-species-notes": "<p></p>" }, "Rat": { "ICCIF-species-checked": "predicted", "ICCIF-species-dilution-info": "", "ICCIF-species-notes": "", "WB-species-checked": "predicted", "WB-species-dilution-info": "", "WB-species-notes": "", "IHCP-species-checked": "notRecommended", "IHCP-species-dilution-info": "", "IHCP-species-notes": "", "FlowCyt-species-checked": "notRecommended", "FlowCyt-species-dilution-info": "", "FlowCyt-species-notes": "" }, "Recombinant full length protein - Human": { "ICCIF-species-checked": "notRecommended", "ICCIF-species-dilution-info": "", "ICCIF-species-notes": "", "WB-species-checked": "testedAndGuaranteed", "WB-species-dilution-info": "", "WB-species-notes": "<p></p>", "IHCP-species-checked": "notRecommended", "IHCP-species-dilution-info": "", "IHCP-species-notes": "", "FlowCyt-species-checked": "notRecommended", "FlowCyt-species-dilution-info": "", "FlowCyt-species-notes": "" } } }

Product details

ab249449 is the carrier-free version of ab168350.

Patented technology
Our RabMAb® technology is a patented hybridoma-based technology for making rabbit monoclonal antibodies. For details on our patents, please refer to RabMAb® patents.

What are the advantages of a recombinant monoclonal antibody?
This product is a recombinant monoclonal antibody, which offers several advantages including:

  • - High batch-to-batch consistency and reproducibility
  • - Improved sensitivity and specificity
  • - Long-term security of supply
  • - Animal-free batch production

For more information, read more on recombinant antibodies.

Conjugation ready
Our carrier-free antibodies are typically supplied in a PBS-only formulation, purified and free of BSA, sodium azide and glycerol. This conjugation-ready format is designed for use with fluorochromes, metal isotopes, oligonucleotides, and enzymes, which makes them ideal for antibody labelling, functional and cell-based assays, flow-based assays (e.g. mass cytometry) and Multiplex Imaging applications.

Use our conjugation kits for antibody conjugates that are ready-to-use in as little as 20 minutes with 1 minute hands-on-time and 100% antibody recovery: available for fluorescent dyes, HRP, biotin and gold.

Compatibility
This product is compatible with the Maxpar® Antibody Labeling Kit from Fluidigm, without the need for antibody preparation. Maxpar® is a trademark of Fluidigm Canada Inc.

Properties and storage information

Form
Liquid
Purification technique
Affinity purification
Storage buffer
pH: 7.2 - 7.4 Constituents: PBS
Shipped at conditions
Blue Ice
Appropriate short-term storage conditions
+4°C
Appropriate long-term storage conditions
+4°C
Storage information
Do Not Freeze

Product protocols

For this product, it's our understanding that no specific protocols are required. You can visit:

Target data

Catalytic subunit of protein phosphatase 2A (PP2A), a serine/threonine phosphatase involved in the regulation of a wide variety of enzymes, signal transduction pathways, and cellular events. PP2A is the major phosphatase for microtubule-associated proteins (MAPs) (PubMed : 22613722). PP2A can modulate the activity of phosphorylase B kinase casein kinase 2, mitogen-stimulated S6 kinase, and MAP-2 kinase (PubMed : 22613722). Cooperates with SGO2 to protect centromeric cohesin from separase-mediated cleavage in oocytes specifically during meiosis I (By similarity). Can dephosphorylate SV40 large T antigen and p53/TP53 (PubMed : 17245430). Activates RAF1 by dephosphorylating it at 'Ser-259' (PubMed : 10801873). Mediates dephosphorylation of WEE1, preventing its ubiquitin-mediated proteolysis, increasing WEE1 protein levels, and promoting the G2/M checkpoint (PubMed : 33108758). Mediates dephosphorylation of MYC; promoting its ubiquitin-mediated proteolysis : interaction with AMBRA1 enhances interaction between PPP2CA and MYC (PubMed : 25438055). Mediates dephosphorylation of FOXO3; promoting its stabilization : interaction with AMBRA1 enhances interaction between PPP2CA and FOXO3 (PubMed : 30513302). Catalyzes dephosphorylation of the pyrin domain of NLRP3, promoting assembly of the NLRP3 inflammasome (By similarity). Part of the striatin-interacting phosphatase and kinase (STRIPAK) complexes. STRIPAK complexes have critical roles in protein (de)phosphorylation and are regulators of multiple signaling pathways including Hippo, MAPK, nuclear receptor and cytoskeleton remodeling. Different types of STRIPAK complexes are involved in a variety of biological processes such as cell growth, differentiation, apoptosis, metabolism and immune regulation (PubMed : 33633399).
See full target information PPP2CA

Additional targets

PPP2CB

Product promise

We are committed to supporting your work with high-quality reagents, and we're here for you every step of the way. In the unlikely event that one of our products does not perform as expected, you're protected by our Product Promise.
For full details, please see our Terms & Conditions

Please note: All products are 'FOR RESEARCH USE ONLY. NOT FOR USE IN DIAGNOSTIC OR THERAPEUTIC PROCEDURES'.

For licensing inquiries, please contact partnerships@abcam.com