JavaScript is disabled in your browser. Please enable JavaScript to view this website.
AB32065

Anti-PP2A alpha + beta antibody [YE351]

5

(1 Review)

|

(8 Publications)

Rabbit Recombinant Monoclonal PP2A-alpha antibody. Suitable for IP, Dot, WB, IHC-P and reacts with Human, Mouse, Rat, Synthetic peptide samples. Cited in 8 publications.

View Alternative Names

Serine/threonine-protein phosphatase 2A catalytic subunit alpha isoform, PP2A-alpha, Replication protein C, RP-C, PPP2CA

12 Images
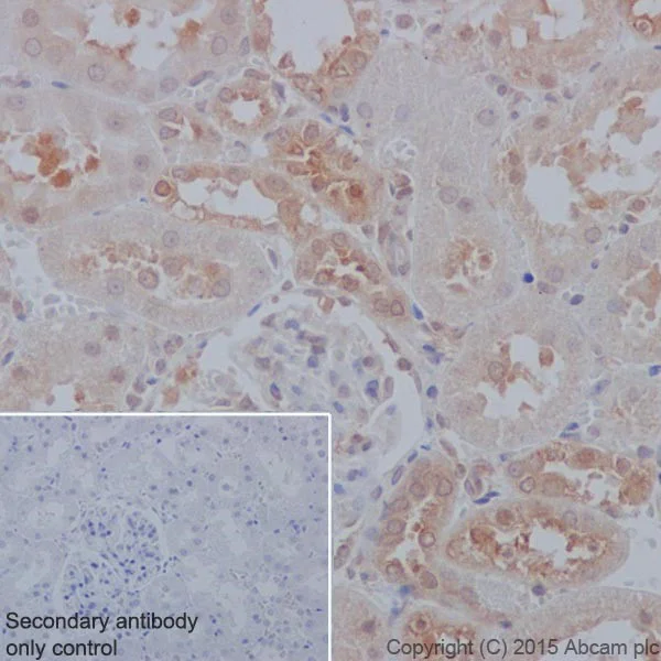
Immunohistochemistry (Formalin/PFA-fixed paraffin-embedded sections) - Anti-PP2A alpha + beta antibody [YE351] (AB32065)
  • IHC-P

Lab

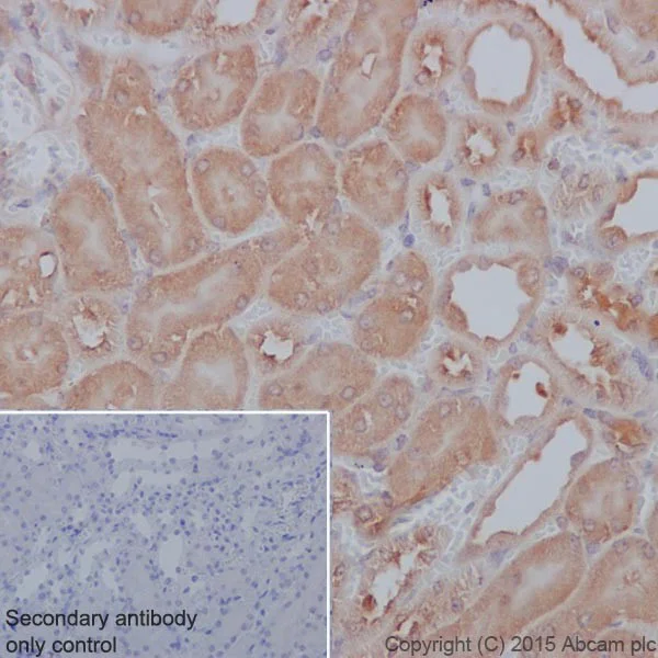
Immunohistochemistry (Formalin/PFA-fixed paraffin-embedded sections) - Anti-PP2A alpha + beta antibody [YE351] (AB32065)

Immunohistochemistry (Formalin/PFA-fixed paraffin-embedded sections) analysis of rat kidney tissue labelling PP2A alpha + beta with ab32065 at a dilution of 1/100. Heat mediated antigen retrieval was performed using Tris/EDTA buffer pH 9. ab97051, a HRP-conjugated goat anti-rabbit IgG (H+L) was used as the secondary antibody (1/500). Negative control using PBS instead of primary antibody. Counterstained with hematoxylin.

Cytoplasm and weak nucleus staining is visible in epithelial cells of rat kidney.

Western blot - Anti-PP2A alpha + beta antibody [YE351] (AB32065)
  • WB

Lab

Western blot - Anti-PP2A alpha + beta antibody [YE351] (AB32065)

Blocking and dilution buffer : 5% NFDM /TBST.

All lanes:

Western blot - Anti-PP2A alpha + beta antibody [YE351] (ab32065) at 1/100000 dilution

All lanes:

Human fetal brain tissue lysate at 10 µg

Secondary

All lanes:

HRP-conjugate anti-rabbit IgG, specific to the non-reduced form of IgG at 1/1000 dilution

Predicted band size: 36 kDa

Observed band size: 36 kDa

false

Exposure time: 15s

Western blot - Anti-PP2A alpha + beta antibody [YE351] (AB32065)
  • WB

Lab

Western blot - Anti-PP2A alpha + beta antibody [YE351] (AB32065)

Blocking and dilution buffer : 5% NFDM/TBST.

All lanes:

Western blot - Anti-PP2A alpha + beta antibody [YE351] (ab32065) at 1/50000 dilution

Lane 1:

A431 whole cell lysate at 10 µg

Lane 2:

A549 whole cell lysate at 10 µg

Lane 3:

Caco-2 whole cell lysate at 10 µg

Lane 4:

T47D whole cell lysate at 10 µg

Lane 5:

C2C12 whole cell lysate at 10 µg

Lane 6:

HeLa whole cell lysate at 10 µg

Secondary

All lanes:

Peroxidase-conjugated goat anti-rabbit IgG (H+L) at 1/1000 dilution

Predicted band size: 36 kDa

Observed band size: 36 kDa

false

Exposure time: 15s

Western blot - Anti-PP2A alpha + beta antibody [YE351] (AB32065)
  • WB

Lab

Western blot - Anti-PP2A alpha + beta antibody [YE351] (AB32065)

Blocking and dilution buffer : 5% NFDM /TBST.

All lanes:

Western blot - Anti-PP2A alpha + beta antibody [YE351] (ab32065) at 1/100000 dilution

Lane 1:

Mouse brain tissue lysate at 10 µg

Lane 2:

Mouse heart tissue lysate at 10 µg

Lane 3:

Mouse kidney tissue lysate at 10 µg

Lane 4:

Mouse spleen tissue lysate at 10 µg

Lane 5:

Rat brain tissue lysate at 10 µg

Lane 6:

Rat heart tissue lysate at 10 µg

Lane 7:

Rat kidney tissue lysate at 10 µg

Lane 8:

Rat spleen tissue lysate at 10 µg

Lane 9:

C6 whole cell lysate at 10 µg

Lane 10:

Raw264.7 whole cell lysate at 10 µg

Lane 11:

PC-12 whole cell lysate at 10 µg

Lane 12:

NIH/3T3 whole cell lysate at 10 µg

Secondary

All lanes:

Peroxidase-conjugated goat anti-rabbit IgG (H+L) at 1/1000 dilution

Predicted band size: 36 kDa

Observed band size: 36 kDa

false

Exposure time: 1s

Immunohistochemistry (Formalin/PFA-fixed paraffin-embedded sections) - Anti-PP2A alpha + beta antibody [YE351] (AB32065)
  • IHC-P

Lab

Immunohistochemistry (Formalin/PFA-fixed paraffin-embedded sections) - Anti-PP2A alpha + beta antibody [YE351] (AB32065)

Immunohistochemistry (Formalin/PFA-fixed paraffin-embedded sections) analysis of mouse kidney tissue labelling PP2A alpha + beta with ab32065 at a dilution of 1/100. Heat mediated antigen retrieval was performed using Tris/EDTA buffer pH 9. ab97051, a HRP-conjugated goat anti-rabbit IgG (H+L) was used as the secondary antibody (1/500). Negative control using PBS instead of primary antibody. Counterstained with hematoxylin.

Cytoplasm staining is visible in epithelial cells of mouse kidney

Immunohistochemistry (Formalin/PFA-fixed paraffin-embedded sections) - Anti-PP2A alpha + beta antibody [YE351] (AB32065)
  • IHC-P

Supplier Data

Immunohistochemistry (Formalin/PFA-fixed paraffin-embedded sections) - Anti-PP2A alpha + beta antibody [YE351] (AB32065)

Immunohistochemistry (Formalin/PFA-fixed paraffin-embedded sections) analysis of human tonsil tissue labeling PP2A alpha + beta with ab32065 at a dilution of 1/100. Heat mediated antigen retrieval was performed using Tris/EDTA buffer pH 9. ab97051, a HRP-conjugated goat anti-rabbit IgG (H+L) was used as the secondary antibody (1/500). Negative control using PBS instead of primary antibody. Counterstained with hematoxylin.

Cytoplasm and weak nucleus staining is visible in lymphocytes of human tonsil.

Immunohistochemistry (Formalin/PFA-fixed paraffin-embedded sections) - Anti-PP2A alpha + beta antibody [YE351] (AB32065)
  • IHC-P

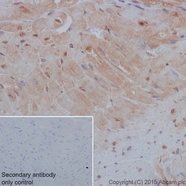
Lab

Immunohistochemistry (Formalin/PFA-fixed paraffin-embedded sections) - Anti-PP2A alpha + beta antibody [YE351] (AB32065)

Immunohistochemistry (Formalin/PFA-fixed paraffin-embedded sections) analysis of mouse heart tissue labelling PP2A alpha + beta with ab32065 at a dilution of 1/100. Heat mediated antigen retrieval was performed using Tris/EDTA buffer pH 9. ab97051, a HRP-conjugated goat anti-rabbit IgG (H+L) was used as the secondary antibody (1/500). Negative control using PBS instead of primary antibody. Counterstained with hematoxylin.

Cytoplasm staining is visible in mouse heart.

Immunohistochemistry (Formalin/PFA-fixed paraffin-embedded sections) - Anti-PP2A alpha + beta antibody [YE351] (AB32065)
  • IHC-P

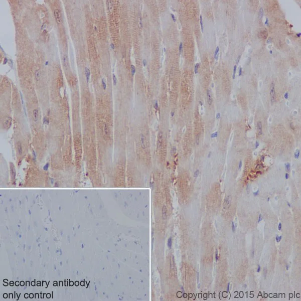
Lab

Immunohistochemistry (Formalin/PFA-fixed paraffin-embedded sections) - Anti-PP2A alpha + beta antibody [YE351] (AB32065)

Immunohistochemistry (Formalin/PFA-fixed paraffin-embedded sections) analysis of rat heart tissue labelling PP2A alpha + beta with ab32065 at a dilution of 1/100. Heat mediated antigen retrieval was performed using Tris/EDTA buffer pH 9. ab97051, a HRP-conjugated goat anti-rabbit IgG (H+L) was used as the secondary antibody (1/500). Negative control using PBS instead of primary antibody. Counterstained with hematoxylin.

Cytoplasm and nucleus staining is visible on rat heart.

Immunoprecipitation - Anti-PP2A alpha + beta antibody [YE351] (AB32065)
  • IP

Lab

Immunoprecipitation - Anti-PP2A alpha + beta antibody [YE351] (AB32065)

ab32065 at 1/80 immunoprecipitating PP2A alpha + beta in HeLa whole cell lysate.

Lane 1 (input) : HeLa whole cell lysate (10μg)

Lane 2 (+) : ab32065 + HeLa whole cell lysate.

Lane 3 (-) : Rabbit monoclonal IgG (ab172730) instead of ab32065 in HeLa (human cervix adenocarcinoma) whole cell lysate.

For western blotting, ab32065 (1/500) ab131366 VeriBlot for IP Detection Reagent (HRP) was used for detection (1/10000).

Blocking buffer and concentration : 5% NFDM/TBST.

Diluting buffer and concentration : 5% NFDM /TBST.

Observed band : 37kDa.

All lanes:

Immunoprecipitation - Anti-PP2A alpha + beta antibody [YE351] (ab32065)

Predicted band size: 36 kDa

false

Western blot - Anti-PP2A alpha + beta antibody [YE351] (AB32065)
  • WB

Lab

Western blot - Anti-PP2A alpha + beta antibody [YE351] (AB32065)

Blocking and dilution buffer : 5% NFDM/TBST.

All lanes:

Western blot - Anti-PP2A alpha + beta antibody [YE351] (ab32065) at 1/50000 dilution

Lane 1:

Jurkat whole cell lysate at 10 µg

Lane 2:

U-937 whole cell lysate at 10 µg

Secondary

All lanes:

Peroxidase-conjugated goat anti-rabbit IgG (H+L) at 1/1000 dilution

Predicted band size: 36 kDa

Observed band size: 36 kDa

false

Exposure time: 5s

Western blot - Anti-PP2A alpha + beta antibody [YE351] (AB32065)
  • WB

Lab

Western blot - Anti-PP2A alpha + beta antibody [YE351] (AB32065)

Blocking and dilution buffer : 5% NFDM/TBST.

All lanes:

Western blot - Anti-PP2A alpha + beta antibody [YE351] (ab32065) at 1/100000 dilution

Lane 1:

Human fetal heart tissue lysate at 10 µg

Lane 2:

Human fetal kidney tissue lysate at 10 µg

Lane 3:

Human fetal spleen tissue lysate at 10 µg

Secondary

All lanes:

HRP-conjugated anti-rabbit IgG, specific to the non-reduced form of IgG at 1/1000 dilution

Predicted band size: 36 kDa

Observed band size: 36 kDa

false

Exposure time: 30s

Dot Blot - Anti-PP2A alpha + beta antibody [YE351] (AB32065)
  • Dot

Unknown

Dot Blot - Anti-PP2A alpha + beta antibody [YE351] (AB32065)

Dot blot analysis of PP2A-alpha peptide (Lane 1) and PP2A-beta peptide (Lane 2) labelling PP2A alpha+beta with ab32065 at a dilution of 1/1000. A HRP-conjugated anti-rabbit IgG, specific to the non-reduced form of IgG was used as the secondary antibody at a dilution of 1/1000.

Blocking and dilution buffer : 5% NFDM/TBST.

Exposure time : 3 minutes.

  • Carrier free

    Anti-PP2A alpha + beta antibody [YE351] - BSA and Azide free

Key facts

Host species

Rabbit

Clonality

Monoclonal

Clone number

YE351

Isotype

IgG

Carrier free

No

Reacts with

Mouse, Rat, Human

Applications

WB, IP, Dot, IHC-P

applications

Immunogen

The exact immunogen used to generate this antibody is proprietary information.

Epitope

ab32065 reacts with an epitope located in the N terminal region of PP2A alpha.

Specificity

This antibody can bind both alpha and beta form of PP2A. Mouse samples have been successfully tested in WB, but IHC-P sections from various mouse tissues showed negative results.

Reactivity data

{ "title": "Reactivity Data", "filters": { "stats": ["", "Species", "Dilution Info", "Notes"], "tabs": { "all-applications": {"fullname" : "All Applications", "shortname": "All Applications"}, "IP" : {"fullname" : "Immunoprecipitation", "shortname":"IP"}, "FlowCyt" : {"fullname" : "Flow Cytometry", "shortname":"Flow Cyt"}, "Dot" : {"fullname" : "Dot Blot", "shortname":"Dot"}, "WB" : {"fullname" : "Western blot", "shortname":"WB"}, "ICCIF" : {"fullname" : "Immunocytochemistry/ Immunofluorescence", "shortname":"ICC/IF"}, "IHCP" : {"fullname" : "Immunohistochemistry (Formalin/PFA-fixed paraffin-embedded sections)", "shortname":"IHC-P"} }, "product-promise": { "all": "all", "testedAndGuaranteed": "tested", "guaranteed": "expected", "predicted": "predicted", "notRecommended": "not-recommended" } }, "values": { "Human": { "IP-species-checked": "testedAndGuaranteed", "IP-species-dilution-info": "1/80", "IP-species-notes": "<p></p>", "FlowCyt-species-checked": "notRecommended", "FlowCyt-species-dilution-info": "", "FlowCyt-species-notes": "<p></p>", "Dot-species-checked": "guaranteed", "Dot-species-dilution-info": "", "Dot-species-notes": "", "WB-species-checked": "testedAndGuaranteed", "WB-species-dilution-info": "1/500", "WB-species-notes": "<p></p>", "ICCIF-species-checked": "notRecommended", "ICCIF-species-dilution-info": "", "ICCIF-species-notes": "<p></p>", "IHCP-species-checked": "testedAndGuaranteed", "IHCP-species-dilution-info": "1/50 - 1/100", "IHCP-species-notes": "<p></p>" }, "Mouse": { "IP-species-checked": "guaranteed", "IP-species-dilution-info": "", "IP-species-notes": "", "FlowCyt-species-checked": "notRecommended", "FlowCyt-species-dilution-info": "", "FlowCyt-species-notes": "<p></p>", "Dot-species-checked": "guaranteed", "Dot-species-dilution-info": "", "Dot-species-notes": "", "WB-species-checked": "testedAndGuaranteed", "WB-species-dilution-info": "1/500", "WB-species-notes": "<p></p>", "ICCIF-species-checked": "notRecommended", "ICCIF-species-dilution-info": "", "ICCIF-species-notes": "<p></p>", "IHCP-species-checked": "testedAndGuaranteed", "IHCP-species-dilution-info": "1/50 - 1/100", "IHCP-species-notes": "<p></p>" }, "Rat": { "IP-species-checked": "guaranteed", "IP-species-dilution-info": "", "IP-species-notes": "", "FlowCyt-species-checked": "notRecommended", "FlowCyt-species-dilution-info": "", "FlowCyt-species-notes": "<p></p>", "Dot-species-checked": "guaranteed", "Dot-species-dilution-info": "", "Dot-species-notes": "", "WB-species-checked": "guaranteed", "WB-species-dilution-info": "", "WB-species-notes": "", "ICCIF-species-checked": "notRecommended", "ICCIF-species-dilution-info": "", "ICCIF-species-notes": "<p></p>", "IHCP-species-checked": "testedAndGuaranteed", "IHCP-species-dilution-info": "1/50 - 1/100", "IHCP-species-notes": "<p></p>" }, "Cow": { "IP-species-checked": "predicted", "IP-species-dilution-info": "", "IP-species-notes": "", "FlowCyt-species-checked": "notRecommended", "FlowCyt-species-dilution-info": "", "FlowCyt-species-notes": "", "Dot-species-checked": "predicted", "Dot-species-dilution-info": "", "Dot-species-notes": "", "WB-species-checked": "predicted", "WB-species-dilution-info": "", "WB-species-notes": "", "ICCIF-species-checked": "notRecommended", "ICCIF-species-dilution-info": "", "ICCIF-species-notes": "", "IHCP-species-checked": "predicted", "IHCP-species-dilution-info": "", "IHCP-species-notes": "" }, "Pig": { "IP-species-checked": "predicted", "IP-species-dilution-info": "", "IP-species-notes": "", "FlowCyt-species-checked": "notRecommended", "FlowCyt-species-dilution-info": "", "FlowCyt-species-notes": "", "Dot-species-checked": "predicted", "Dot-species-dilution-info": "", "Dot-species-notes": "", "WB-species-checked": "predicted", "WB-species-dilution-info": "", "WB-species-notes": "", "ICCIF-species-checked": "notRecommended", "ICCIF-species-dilution-info": "", "ICCIF-species-notes": "", "IHCP-species-checked": "predicted", "IHCP-species-dilution-info": "", "IHCP-species-notes": "" }, "Synthetic peptide": { "IP-species-checked": "notRecommended", "IP-species-dilution-info": "", "IP-species-notes": "", "FlowCyt-species-checked": "notRecommended", "FlowCyt-species-dilution-info": "", "FlowCyt-species-notes": "", "Dot-species-checked": "testedAndGuaranteed", "Dot-species-dilution-info": "", "Dot-species-notes": "<p></p>", "WB-species-checked": "notRecommended", "WB-species-dilution-info": "", "WB-species-notes": "", "ICCIF-species-checked": "notRecommended", "ICCIF-species-dilution-info": "", "ICCIF-species-notes": "", "IHCP-species-checked": "notRecommended", "IHCP-species-dilution-info": "", "IHCP-species-notes": "" } } }

Product details

Patented technology
Our RabMAb® technology is a patented hybridoma-based technology for making rabbit monoclonal antibodies. For details on our patents, please refer to RabMAb® patents.

What are the advantages of a recombinant monoclonal antibody?
This product is a recombinant monoclonal antibody, which offers several advantages including:

  • - High batch-to-batch consistency and reproducibility
  • - Improved sensitivity and specificity
  • - Long-term security of supply
  • - Animal-free batch production

For more information, read more on recombinant antibodies.

Properties and storage information

Form
Liquid
Purification technique
Affinity purification Protein A
Storage buffer
pH: 7.2 - 7.4 Preservative: 0.01% Sodium azide Constituents: PBS, 50% Glycerol (glycerin, glycerine), 0.05% BSA
Shipped at conditions
Blue Ice
Appropriate short-term storage conditions
+4°C
Appropriate long-term storage conditions
-20°C
Aliquoting information
Upon delivery aliquot
Storage information
Avoid freeze / thaw cycle

Product protocols

For this product, it's our understanding that no specific protocols are required. You can visit:

Target data

Catalytic subunit of protein phosphatase 2A (PP2A), a serine/threonine phosphatase involved in the regulation of a wide variety of enzymes, signal transduction pathways, and cellular events. PP2A is the major phosphatase for microtubule-associated proteins (MAPs) (PubMed : 22613722). PP2A can modulate the activity of phosphorylase B kinase casein kinase 2, mitogen-stimulated S6 kinase, and MAP-2 kinase (PubMed : 22613722). Cooperates with SGO2 to protect centromeric cohesin from separase-mediated cleavage in oocytes specifically during meiosis I (By similarity). Can dephosphorylate SV40 large T antigen and p53/TP53 (PubMed : 17245430). Activates RAF1 by dephosphorylating it at 'Ser-259' (PubMed : 10801873). Mediates dephosphorylation of WEE1, preventing its ubiquitin-mediated proteolysis, increasing WEE1 protein levels, and promoting the G2/M checkpoint (PubMed : 33108758). Mediates dephosphorylation of MYC; promoting its ubiquitin-mediated proteolysis : interaction with AMBRA1 enhances interaction between PPP2CA and MYC (PubMed : 25438055). Mediates dephosphorylation of FOXO3; promoting its stabilization : interaction with AMBRA1 enhances interaction between PPP2CA and FOXO3 (PubMed : 30513302). Catalyzes dephosphorylation of the pyrin domain of NLRP3, promoting assembly of the NLRP3 inflammasome (By similarity). Part of the striatin-interacting phosphatase and kinase (STRIPAK) complexes. STRIPAK complexes have critical roles in protein (de)phosphorylation and are regulators of multiple signaling pathways including Hippo, MAPK, nuclear receptor and cytoskeleton remodeling. Different types of STRIPAK complexes are involved in a variety of biological processes such as cell growth, differentiation, apoptosis, metabolism and immune regulation (PubMed : 33633399).
See full target information PPP2CA

Additional targets

PPP2CB

Publications (8)

Recent publications for all applications. Explore the full list and refine your search

Advanced science (Weinheim, Baden-Wurttemberg, Germany) 11:e2404080 PubMed39041921

2024

PP2Ac Regulates Autophagy via Mediating mTORC1 and ULK1 During Osteoclastogenesis in the Subchondral Bone of Osteoarthritis.

Applications

Unspecified application

Species

Unspecified reactive species

Haifeng Zhang,Gaoran Ge,Wei Zhang,Houyi Sun,Xiaolong Liang,Yu Xia,Jiacheng Du,Zerui Wu,Jiaxiang Bai,Huilin Yang,Xing Yang,Jun Zhou,Yaozeng Xu,Dechun Geng

Regenerative therapy 21:560-573 PubMed36475023

2022

Proteomics reveals the potential mechanism of Tanshinone IIA in promoting the expansion of human bone marrow mesenchymal stem cells.

Applications

Unspecified application

Species

Unspecified reactive species

Pei Yuan,Hong-Yan Qin,Jia-Yun Wei,Geshuyi Chen,Xun Li

Cell death discovery 8:368 PubMed35977927

2022

Puerarin ameliorates acute lung injury by modulating NLRP3 inflammasome-induced pyroptosis.

Applications

Unspecified application

Species

Unspecified reactive species

Dasheng Cai,Yue Zhao,Fang Yu

Molecular therapy. Nucleic acids 26:280-294 PubMed34513310

2021

LINC00941 promotes glycolysis in pancreatic cancer by modulating the Hippo pathway.

Applications

Unspecified application

Species

Unspecified reactive species

Ming Xu,Ran Cui,Lunhe Ye,Yongkun Wang,Xujing Wang,Qiqi Zhang,Kaijing Wang,Chunxiu Dong,Wenjun Le,Bo Chen

American journal of physiology. Gastrointestinal a 317:G408-G428 PubMed31393787

2019

Exogenous PP2A inhibitor exacerbates the progression of nonalcoholic fatty liver disease via NOX2-dependent activation of miR21.

Applications

Unspecified application

Species

Unspecified reactive species

Muayad Albadrani,Ratanesh K Seth,Sutapa Sarkar,Diana Kimono,Ayan Mondal,Dipro Bose,Dwayne E Porter,Geoff I Scott,Bryan Brooks,Samir Raychoudhury,Mitzi Nagarkatti,Prakash Nagarkatti,Yvon Jule,Anna Mae Diehl,Saurabh Chatterjee

Life sciences 213:166-173 PubMed30340029

2018

Hydrogen peroxide redistributes the localization of protein phosphatase methylesterase 1.

Applications

Unspecified application

Species

Unspecified reactive species

Shen Tang,Cailing Lu,Laiming Mo,Xinhang Wang,Ziwei Liang,Fu Qin,Yinpin Liu,Yuyang Liu,Haiyan Huang,Yue Huang,Haiqing Cai,Deqiang Xiao,Songchao Guo,Yiqiang Ouyang,Bin Sun,Xiyi Li

Journal of neuropathology and experimental neurology 77:139-148 PubMed29281045

2017

Protein Phosphatase 2A and Its Methylation Modulating Enzymes LCMT-1 and PME-1 Are Dysregulated in Tauopathies of Progressive Supranuclear Palsy and Alzheimer Disease.

Applications

Unspecified application

Species

Unspecified reactive species

Hye-Jin Park,Kang-Woo Lee,Stephanie Oh,Run Yan,Jie Zhang,Thomas G Beach,Charles H Adler,Michael Voronkov,Steven P Braithwaite,Jeffry B Stock,M Maral Mouradian

PloS one 5:e11584 PubMed20644732

2010

LRP-1 promotes cancer cell invasion by supporting ERK and inhibiting JNK signaling pathways.

Applications

WB

Species

Unspecified reactive species

Benoit Langlois,Gwenn Perrot,Christophe Schneider,Patrick Henriet,Hervé Emonard,Laurent Martiny,Stéphane Dedieu
View all publications

Product promise

We are committed to supporting your work with high-quality reagents, and we're here for you every step of the way. In the unlikely event that one of our products does not perform as expected, you're protected by our Product Promise.
For full details, please see our Terms & Conditions

Please note: All products are 'FOR RESEARCH USE ONLY. NOT FOR USE IN DIAGNOSTIC OR THERAPEUTIC PROCEDURES'.

For licensing inquiries, please contact partnerships@abcam.com