JavaScript is disabled in your browser. Please enable JavaScript to view this website.
AB180859

Anti-PPA2 antibody [EPR13086]

Be the first to review this product! Submit a review

|

(2 Publications)

Rabbit Recombinant Monoclonal PPA2 antibody. Suitable for IHC-P, IP, WB and reacts with Human, Mouse, Rat samples. Cited in 2 publications.

View Alternative Names

HSPC124, PPA2, Pyrophosphatase SID6-306, Pyrophosphate phospho-hydrolase 2, PPase 2

9 Images
Immunohistochemistry (Formalin/PFA-fixed paraffin-embedded sections) - Anti-PPA2 antibody [EPR13086] (AB180859)
  • IHC-P

Supplier Data

Immunohistochemistry (Formalin/PFA-fixed paraffin-embedded sections) - Anti-PPA2 antibody [EPR13086] (AB180859)

Immunohistochemistry (Formalin/PFA-fixed paraffin-embedded sections) analysis of human kidney tissue labelling PPA2 with unpurified ab180859 at a dilution of 1/50.

Perform heat mediated antigen retrieval before commencing with IHC staining protocol.

Immunohistochemistry (Formalin/PFA-fixed paraffin-embedded sections) - Anti-PPA2 antibody [EPR13086] (AB180859)
  • IHC-P

Lab

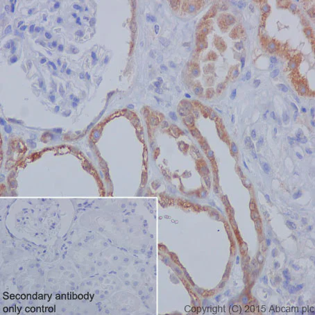
Immunohistochemistry (Formalin/PFA-fixed paraffin-embedded sections) - Anti-PPA2 antibody [EPR13086] (AB180859)

Immunohistochemistry (Formalin/PFA-fixed paraffin-embedded sections) analysis of human kidney tissue labelling PPA2 with purified ab180859 at 1/250. Heat mediated antigen retrieval was performed using Tris/EDTA buffer pH 9. ab97051 a HRP-conjugated goat anti-rabbit IgG (H+L) was used as the secondary antibody (1/500). Negative control using PBS instead of primary antibody. Counterstained with hematoxylin.

Immunohistochemistry (Formalin/PFA-fixed paraffin-embedded sections) - Anti-PPA2 antibody [EPR13086] (AB180859)
  • IHC-P

Supplier Data

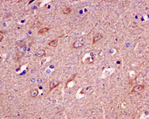
Immunohistochemistry (Formalin/PFA-fixed paraffin-embedded sections) - Anti-PPA2 antibody [EPR13086] (AB180859)

Immunohistochemistry (Formalin/PFA-fixed paraffin-embedded sections) analysis of human brain tissue labelling PPA2 with unpurified ab180859 at a dilution of 1/50.

Perform heat mediated antigen retrieval before commencing with IHC staining protocol.

Immunoprecipitation - Anti-PPA2 antibody [EPR13086] (AB180859)
  • IP

Unknown

Immunoprecipitation - Anti-PPA2 antibody [EPR13086] (AB180859)

Western blot analysis of immunoprecipitation pellet from HepG2 lysate immunoprecipitated using unpurified ab180859 at a diltuion of 1/10.

All lanes:

Immunoprecipitation - Anti-PPA2 antibody [EPR13086] (ab180859)

Predicted band size: 38 kDa

false

Immunoprecipitation - Anti-PPA2 antibody [EPR13086] (AB180859)
  • IP

Lab

Immunoprecipitation - Anti-PPA2 antibody [EPR13086] (AB180859)

ab180859 (purified) at 1/80 immunoprecipitating PPA2 in HepG2 whole cell lysate.

Lane 1 (input) : HepG2 whole cell lysate (10μg)

Lane 2 (+) : ab180859 + HepG2 whole cell lysate.

Lane 3 (-) : Rabbit monoclonal IgG (ab172730) instead of ab180859 in HepG2 whole cell lysate.

For western blotting, a HRP-conjugated anti-rabbit IgG, specific to the non-reduced form of IgG was used as the secondary antibody (1/1500).

Blocking buffer and concentration : 5% NFDM/TBST.

Diluting buffer and concentration : 5% NFDM /TBST.

All lanes:

Immunoprecipitation - Anti-PPA2 antibody [EPR13086] (ab180859)

Predicted band size: 38 kDa

Observed band size: 35 kDa

false

Western blot - Anti-PPA2 antibody [EPR13086] (AB180859)
  • WB

Lab

Western blot - Anti-PPA2 antibody [EPR13086] (AB180859)

Blocking and dilution buffer : 5% NFDM/TBST.

All lanes:

Western blot - Anti-PPA2 antibody [EPR13086] (ab180859) at 1/1000 dilution

All lanes:

293T whole cell lysate at 10 µg

Secondary

All lanes:

Western blot - Goat Anti-Rabbit IgG H&L (HRP) (<a href='/en-us/products/secondary-antibodies/goat-rabbit-igg-h-l-hrp-ab97051'>ab97051</a>) at 1/50000 dilution

Predicted band size: 38 kDa

Observed band size: 35 kDa

false

Western blot - Anti-PPA2 antibody [EPR13086] (AB180859)
  • WB

Supplier Data

Western blot - Anti-PPA2 antibody [EPR13086] (AB180859)

All lanes:

Western blot - Anti-PPA2 antibody [EPR13086] (ab180859) at 1/1000 dilution

Lane 1:

Human fetal kidney tissue lysate at 10 µg

Lane 2:

293T cell lysate at 10 µg

Lane 3:

U-87 MG cell lysate at 10 µg

Lane 4:

HepG2 cell lysate at 10 µg

Predicted band size: 38 kDa

false

Western blot - Anti-PPA2 antibody [EPR13086] (AB180859)
  • WB

Lab

Western blot - Anti-PPA2 antibody [EPR13086] (AB180859)

Blocking and dilution buffer : 5% NFDM/TBST.

All lanes:

Western blot - Anti-PPA2 antibody [EPR13086] (ab180859) at 1/10000 dilution

All lanes:

HepG2 whole cell lysate at 10 µg

Secondary

All lanes:

Western blot - Goat Anti-Rabbit IgG H&L (HRP) (<a href='/en-us/products/secondary-antibodies/goat-rabbit-igg-h-l-hrp-ab97051'>ab97051</a>) at 1/50000 dilution

Predicted band size: 38 kDa

Observed band size: 35 kDa

false

Western blot - Anti-PPA2 antibody [EPR13086] (AB180859)
  • WB

Lab

Western blot - Anti-PPA2 antibody [EPR13086] (AB180859)

Blocking and dilution buffer : 5% NFDM/TBST.

All lanes:

Western blot - Anti-PPA2 antibody [EPR13086] (ab180859) at 1/1000 dilution

Lane 1:

Mouse heart tissue lysate at 10 µg

Lane 2:

Rat heart tissue lysate at 10 µg

Secondary

All lanes:

Western blot - Goat Anti-Rabbit IgG H&L (HRP) (<a href='/en-us/products/secondary-antibodies/goat-rabbit-igg-h-l-hrp-ab97051'>ab97051</a>) at 1/50000 dilution

Predicted band size: 38 kDa

Observed band size: 35 kDa

false

  • Carrier free

    Anti-PPA2 antibody [EPR13086] - BSA and Azide free

Key facts

Host species

Rabbit

Clonality

Monoclonal

Clone number

EPR13086

Isotype

IgG

Carrier free

No

Reacts with

Mouse, Rat, Human

Applications

WB, IP, IHC-P

applications

Immunogen

The exact immunogen used to generate this antibody is proprietary information.

Reactivity data

{ "title": "Reactivity Data", "filters": { "stats": ["", "Species", "Dilution Info", "Notes"], "tabs": { "all-applications": {"fullname" : "All Applications", "shortname": "All Applications"}, "IHCP" : {"fullname" : "Immunohistochemistry (Formalin/PFA-fixed paraffin-embedded sections)", "shortname":"IHC-P"}, "IP" : {"fullname" : "Immunoprecipitation", "shortname":"IP"}, "FlowCyt" : {"fullname" : "Flow Cytometry", "shortname":"Flow Cyt"}, "WB" : {"fullname" : "Western blot", "shortname":"WB"}, "ICCIF" : {"fullname" : "Immunocytochemistry/ Immunofluorescence", "shortname":"ICC/IF"} }, "product-promise": { "all": "all", "testedAndGuaranteed": "tested", "guaranteed": "expected", "predicted": "predicted", "notRecommended": "not-recommended" } }, "values": { "Human": { "IHCP-species-checked": "testedAndGuaranteed", "IHCP-species-dilution-info": "1/50 - 1/250", "IHCP-species-notes": "<p></p>", "IP-species-checked": "testedAndGuaranteed", "IP-species-dilution-info": "1/10 - 1/100", "IP-species-notes": "<p></p>", "FlowCyt-species-checked": "notRecommended", "FlowCyt-species-dilution-info": "", "FlowCyt-species-notes": "<p><a href='/en-us/products/primary-antibodies/rabbit-igg-monoclonal-epr25a-isotype-control-ab172730'>ab172730</a> - Rabbit monoclonal IgG, is suitable for use as an isotype control with this antibody.</p>", "WB-species-checked": "testedAndGuaranteed", "WB-species-dilution-info": "1/1000 - 1/10000", "WB-species-notes": "<p></p>", "ICCIF-species-checked": "notRecommended", "ICCIF-species-dilution-info": "", "ICCIF-species-notes": "<p></p>" }, "Mouse": { "IHCP-species-checked": "guaranteed", "IHCP-species-dilution-info": "1/50 - 1/250", "IHCP-species-notes": "<p></p>", "IP-species-checked": "guaranteed", "IP-species-dilution-info": "1/10 - 1/100", "IP-species-notes": "<p></p>", "FlowCyt-species-checked": "notRecommended", "FlowCyt-species-dilution-info": "", "FlowCyt-species-notes": "<p><a href='/en-us/products/primary-antibodies/rabbit-igg-monoclonal-epr25a-isotype-control-ab172730'>ab172730</a> - Rabbit monoclonal IgG, is suitable for use as an isotype control with this antibody.</p>", "WB-species-checked": "testedAndGuaranteed", "WB-species-dilution-info": "1/1000 - 1/10000", "WB-species-notes": "<p></p>", "ICCIF-species-checked": "notRecommended", "ICCIF-species-dilution-info": "", "ICCIF-species-notes": "<p></p>" }, "Rat": { "IHCP-species-checked": "guaranteed", "IHCP-species-dilution-info": "1/50 - 1/250", "IHCP-species-notes": "<p></p>", "IP-species-checked": "guaranteed", "IP-species-dilution-info": "1/10 - 1/100", "IP-species-notes": "<p></p>", "FlowCyt-species-checked": "notRecommended", "FlowCyt-species-dilution-info": "", "FlowCyt-species-notes": "<p><a href='/en-us/products/primary-antibodies/rabbit-igg-monoclonal-epr25a-isotype-control-ab172730'>ab172730</a> - Rabbit monoclonal IgG, is suitable for use as an isotype control with this antibody.</p>", "WB-species-checked": "testedAndGuaranteed", "WB-species-dilution-info": "1/1000 - 1/10000", "WB-species-notes": "<p></p>", "ICCIF-species-checked": "notRecommended", "ICCIF-species-dilution-info": "", "ICCIF-species-notes": "<p></p>" } } }

Product details

Patented technology
Our RabMAb® technology is a patented hybridoma-based technology for making rabbit monoclonal antibodies. For details on our patents, please refer to RabMAb® patents.

What are the advantages of a recombinant monoclonal antibody?
This product is a recombinant monoclonal antibody, which offers several advantages including:

  • - High batch-to-batch consistency and reproducibility
  • - Improved sensitivity and specificity
  • - Long-term security of supply
  • - Animal-free batch production

For more information, read more on recombinant antibodies.

Properties and storage information

Form
Liquid
Purification technique
Affinity purification Protein A
Storage buffer
Preservative: 0.01% Sodium azide Constituents: PBS, 40% Glycerol (glycerin, glycerine), 0.05% BSA
Shipped at conditions
Blue Ice
Appropriate short-term storage duration
1-2 weeks
Appropriate short-term storage conditions
+4°C
Appropriate long-term storage conditions
-20°C
Aliquoting information
Upon delivery aliquot
Storage information
Avoid freeze / thaw cycle

Product protocols

For this product, it's our understanding that no specific protocols are required. You can visit:

Target data

Hydrolyzes inorganic pyrophosphate (PubMed : 27523597). This activity is essential for correct regulation of mitochondrial membrane potential, and mitochondrial organization and function (PubMed : 27523598).
See full target information PPA2

Publications (2)

Recent publications for all applications. Explore the full list and refine your search

PeerJ 9:e12086 PubMed34567842

2021

Downregulation of PPA2 expression correlates with poor prognosis of kidney renal clear cell carcinoma.

Applications

Unspecified application

Species

Unspecified reactive species

Wenbiao Zhu,Huiming Jiang,Shoucheng Xie,Huanqin Xiao,Qinghua Liu,Nanhui Chen,Pei Wan,Shanming Lu

PloS one 14:e0218269 PubMed31188873

2019

Prediction of neuroblastoma cell response to treatment with natural or synthetic retinoids using selected protein biomarkers.

Applications

Unspecified application

Species

Unspecified reactive species

Viera Dobrotkova,Petr Chlapek,Marta Jezova,Katerina Adamkova,Pavel Mazanek,Jaroslav Sterba,Renata Veselska
View all publications

Product promise

We are committed to supporting your work with high-quality reagents, and we're here for you every step of the way. In the unlikely event that one of our products does not perform as expected, you're protected by our Product Promise.
For full details, please see our Terms & Conditions

Please note: All products are 'FOR RESEARCH USE ONLY. NOT FOR USE IN DIAGNOSTIC OR THERAPEUTIC PROCEDURES'.

For licensing inquiries, please contact partnerships@abcam.com