JavaScript is disabled in your browser. Please enable JavaScript to view this website.
AB310323

Anti-PPAR gamma antibody [EPR25862-79]

  • BOND RX™ Validated
  • 20ul selling size
  • RabMAb
  • Recombinant
  • What is this?

Be the first to review this product! Submit a review

|

(6 Publications)

Rabbit Recombinant Monoclonal PPAR gamma antibody. Suitable for WB, IHC-P, IP and reacts with Recombinant fragment - Human, Human, Mouse, Rat samples. Cited in 6 publications.

View Alternative Names

NR1C3, PPARG, Peroxisome proliferator-activated receptor gamma, PPAR-gamma, Nuclear receptor subfamily 1 group C member 3

11 Images
Immunohistochemistry (Formalin/PFA-fixed paraffin-embedded sections) - Anti-PPAR gamma antibody [EPR25862-79] (AB310323)
  • IHC-P

Supplier Data

Immunohistochemistry (Formalin/PFA-fixed paraffin-embedded sections) - Anti-PPAR gamma antibody [EPR25862-79] (AB310323)

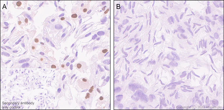
Immunohistochemical analysis of paraffin-embedded Human cerebrum tissue labeling PPAR gamma with ab310323 at 1/200 (2.575 ug/ml) followed by a ready to use Rabbit specific IHC polymer detection kit HRP/DAB (ab209101). Negative control : no staining on human cerebrum. The section was incubated with ab310323 for 30 mins at room temperature.The immunostaining was performed on a Leica Biosystems BOND® RX instrument Counterstained with Hematoxylin. Secondary antibody only control : Secondary antibody is a ready to use Rabbit specific IHC polymer detection kit HRP/DAB (ab209101). Heat mediated antigen retrieval was performed with Tris-EDTA buffer (pH 9.0, Epitope Retrieval Solution2) for 20 mins

Immunohistochemistry (Formalin/PFA-fixed paraffin-embedded sections) - Anti-PPAR gamma antibody [EPR25862-79] (AB310323)
  • IHC-P

Supplier Data

Immunohistochemistry (Formalin/PFA-fixed paraffin-embedded sections) - Anti-PPAR gamma antibody [EPR25862-79] (AB310323)

Immunohistochemical analysis of paraffin-embedded Human white adipose tissue labelling PPAR gamma with ab310323 at 1/200 (2.575 ug/ml) followed by a ready to use Rabbit specific IHC polymer detection kit HRP/DAB (ab209101). Nuclear staining on human white adipose. The section was incubated with ab310323 for 30 mins at room temperature. The immunostaining was performed on a Leica Biosystems BOND® RX instrument Counterstained with Hematoxylin. Secondary antibody only control : Secondary antibody is a ready to use Rabbit specific IHC polymer detection kit HRP/DAB (ab209101). Heat mediated antigen retrieval was performed with Tris-EDTA buffer (pH 9.0, Epitope Retrieval Solution2) for 20 mins

Immunoprecipitation - Anti-PPAR gamma antibody [EPR25862-79] (AB310323)
  • IP

Supplier Data

Immunoprecipitation - Anti-PPAR gamma antibody [EPR25862-79] (AB310323)

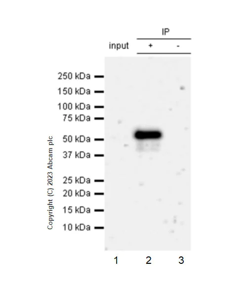
PPAR gamma was immunoprecipitated from 0.35 mg HDLM-2 (human Hodgkin lymphoma) whole cell lysate with ab310323 at 1/30 dilution (2ug in 0.35mg lysates). Western blot was performed on the immunoprecipitate using ab310323 at 1/1000 dilution. VeriBlot for IP secondary antibody(HRP)(ab131366) was used at 1/5000 dilution. Lane 1 : HDLM-2 (human Hodgkin lymphoma) whole cell lysate Lane 2 : ab310323 IP in HDLM-2 (human Hodgkin lymphoma) whole cell lysate Lane 3 : Rabbit monoclonal IgG (ab172730) instead of ab310323 in HDLM-2 whole cell lysate Blocking and dilution buffer and concentration : 5% NFDM/TBST. Exposure time : 180 seconds

All lanes:

Immunoprecipitation - Anti-PPAR gamma antibody [EPR25862-79] (ab310323) at 1/30 dilution

All lanes:

HDLM-2 (human Hodgkin lymphoma) whole cell lysate

Secondary

All lanes:

Immunoprecipitation - VeriBlot for IP Detection Reagent (HRP) (<a href='/en-us/products/reagents/veriblot-for-ip-detection-reagent-hrp-ab131366'>ab131366</a>) at 1/5000 dilution

false

Exposure time: 180s

Immunohistochemistry (Formalin/PFA-fixed paraffin-embedded sections) - Anti-PPAR gamma antibody [EPR25862-79] (AB310323)
  • IHC-P

Supplier Data

Immunohistochemistry (Formalin/PFA-fixed paraffin-embedded sections) - Anti-PPAR gamma antibody [EPR25862-79] (AB310323)

Immunohistochemical analysis of paraffin-embedded Panel A 3T3-L1(mou tissue labeling PPAR gamma with ab310323 at 1/200 (2.575 ug/ml) followed by a ready to use Rabbit specific IHC polymer detection kit HRP/DAB (ab209101). Nuclear staining on (A) 3T3-L1 cell pellet differentiated for 6 days; no staining on (B) undifferentiated 3T3-L1 cell pellet. The section was incubated with ab310323 for 30 mins at room temperature.The immunostaining was performed on a Leica Biosystems BOND® RX instrument Counterstained with Hematoxylin. Secondary antibody only control : Secondary antibody is a ready to use Rabbit specific IHC polymer detection kit HRP/DAB (ab209101). Heat mediated antigen retrieval was performed with Tris-EDTA buffer (pH 9.0, Epitope Retrieval Solution2) for 20 mins

Immunohistochemistry (Formalin/PFA-fixed paraffin-embedded sections) - Anti-PPAR gamma antibody [EPR25862-79] (AB310323)
  • IHC-P

Supplier Data

Immunohistochemistry (Formalin/PFA-fixed paraffin-embedded sections) - Anti-PPAR gamma antibody [EPR25862-79] (AB310323)

Immunohistochemical analysis of paraffin-embedded Mouse brown adipose tissue labelling PPAR gamma with ab310323 at 1/200 (2.575 ug/ml) followed by a ready to use Rabbit specific IHC polymer detection kit HRP/DAB (ab209101). Nuclear staining on mouse brown adipose. The section was incubated with ab310323 for 30 mins at room temperature. The immunostaining was performed on a Leica Biosystems BOND® RX instrument Counterstained with Hematoxylin. Secondary antibody only control : Secondary antibody is a ready to use Rabbit specific IHC polymer detection kit HRP/DAB (ab209101). Heat mediated antigen retrieval was performed with Tris-EDTA buffer (pH 9.0, Epitope Retrieval Solution2) for 20 mins

Immunohistochemistry (Formalin/PFA-fixed paraffin-embedded sections) - Anti-PPAR gamma antibody [EPR25862-79] (AB310323)
  • IHC-P

Supplier Data

Immunohistochemistry (Formalin/PFA-fixed paraffin-embedded sections) - Anti-PPAR gamma antibody [EPR25862-79] (AB310323)

Immunohistochemical analysis of paraffin-embedded Mouse white adipose tissue labelling PPAR gamma with ab310323 at 1/200 (2.575 ug/ml) followed by a ready to use Rabbit specific IHC polymer detection kit HRP/DAB (ab209101). Nuclear staining on mouse white adipose. The section was incubated with ab310323 for 30 mins at room temperature. The immunostaining was performed on a Leica Biosystems BOND® RX instrument Counterstained with Hematoxylin. Secondary antibody only control : Secondary antibody is a ready to use Rabbit specific IHC polymer detection kit HRP/DAB (ab209101). Heat mediated antigen retrieval was performed with Tris-EDTA buffer (pH 9.0, Epitope Retrieval Solution2) for 20 mins

Immunohistochemistry (Formalin/PFA-fixed paraffin-embedded sections) - Anti-PPAR gamma antibody [EPR25862-79] (AB310323)
  • IHC-P

Supplier Data

Immunohistochemistry (Formalin/PFA-fixed paraffin-embedded sections) - Anti-PPAR gamma antibody [EPR25862-79] (AB310323)

Immunohistochemical analysis of paraffin-embedded Rat white adipose tissue labelling PPAR gamma with ab310323 at 1/200 (2.575 ug/ml) followed by a ready to use Rabbit specific IHC polymer detection kit HRP/DAB (ab209101). Nuclear staining on rat white adipose. The section was incubated with ab310323 for 30 mins at room temperature. The immunostaining was performed on a Leica Biosystems BOND® RX instrument Counterstained with Hematoxylin. Secondary antibody only control : Secondary antibody is a ready to use Rabbit specific IHC polymer detection kit HRP/DAB (ab209101). Heat mediated antigen retrieval was performed with Tris-EDTA buffer (pH 9.0, Epitope Retrieval Solution2) for 20 mins

Immunohistochemistry (Formalin/PFA-fixed paraffin-embedded sections) - Anti-PPAR gamma antibody [EPR25862-79] (AB310323)
  • IHC-P

Supplier Data

Immunohistochemistry (Formalin/PFA-fixed paraffin-embedded sections) - Anti-PPAR gamma antibody [EPR25862-79] (AB310323)

Immunohistochemical analysis of paraffin-embedded Rat brown adipose tissue labeling PPAR gamma with ab310323 at 1/200 (2.575 ug/ml) followed by a ready to use Rabbit specific IHC polymer detection kit HRP/DAB (ab209101). Nuclear staining on rat brown adipose. The section was incubated with ab310323 for 30 mins at room temperature.The immunostaining was performed on a Leica Biosystems BOND® RX instrument Counterstained with Hematoxylin. Secondary antibody only control : Secondary antibody is a ready to use Rabbit specific IHC polymer detection kit HRP/DAB (ab209101). Heat mediated antigen retrieval was performed with Tris-EDTA buffer (pH 9.0, Epitope Retrieval Solution2) for 20 mins

Immunoprecipitation - Anti-PPAR gamma antibody [EPR25862-79] (AB310323)
  • IP

Supplier Data

Immunoprecipitation - Anti-PPAR gamma antibody [EPR25862-79] (AB310323)

PPAR gamma was immunoprecipitated from 0.35 mg 3T3-L1 differentiation for 6 days whole cell lysate with ab310323 at 1/30 dilution (2ug in 0.35mg lysates). Western blot was performed on the immunoprecipitate using ab310323 at 1/1000 dilution. VeriBlot for IP secondary antibody(HRP)(ab131366) was used at 1/5000 dilution. Lane 1 : 3T3-L1 differentiation for 6 days whole cell lysate Lane 2 : ab310323 IP in 3T3-L1 differentiation for 6 days whole cell lysate Lane 3 : Rabbit monoclonal IgG (ab172730) instead of ab310323 in 3T3-L1 differentiation for 6 days whole cell lysate Blocking and dilution buffer and concentration : 5% NFDM/TBST. Exposure time : 87 seconds The bands beneath the target band (53kDa) are expected to be degraded target fragments.

All lanes:

Immunoprecipitation - Anti-PPAR gamma antibody [EPR25862-79] (ab310323) at 1/30 dilution

All lanes:

3T3-L1 differentiation for 6 days whole cell lysate at 10 µg

Secondary

All lanes:

Immunoprecipitation - VeriBlot for IP Detection Reagent (HRP) (<a href='/en-us/products/reagents/veriblot-for-ip-detection-reagent-hrp-ab131366'>ab131366</a>) at 1/5000 dilution

false

Exposure time: 87s

Western blot - Anti-PPAR gamma antibody [EPR25862-79] (AB310323)
  • WB

Supplier Data

Western blot - Anti-PPAR gamma antibody [EPR25862-79] (AB310323)

Blocking and diluting buffer and concentration : 5% NFDM/TBST Negative control : MOLT-4 (PMID : 7787419). The expression of PPARG is upregulated in response to 3T3-L1 differentiation for 6 days treatment (PMID : 9065481). The bands beneath the target band (53kDa) are expected to be degraded target fragments. In Western blot, anti-GAPDH antibody (ab181602) loading control staining at 1/200000 dilution. Exposure time : 37 seconds

All lanes:

Western blot - Anti-PPAR gamma antibody [EPR25862-79] (ab310323) at 1/1000 dilution

Lane 1:

HDLM-2 (human Hodgkin lymphoma) whole cell lysate at 50 µg

Lane 2:

Untreated 3T3-L1 (mouse embryonic fibroblast) whole cell lysate at 50 µg

Lane 3:

3T3-L1 differentiation for 6 days whole cell lysate at 50 µg

Lane 4:

MOLT-4 whole cell lysate at 50 µg

Lane 5:

Mouse brown fat tissue lysate at 50 µg

Secondary

All lanes:

Goat Anti-Rabbit IgG (HRP) with minimal cross-reactivity with human IgG at 1/2000 dilution

Observed band size: 53 kDa,58 kDa

false

Exposure time: 37s

Western blot - Anti-PPAR gamma antibody [EPR25862-79] (AB310323)
  • WB

Supplier Data

Western blot - Anti-PPAR gamma antibody [EPR25862-79] (AB310323)

Blocking and diluting buffer and concentration : 5% NFDM/TBST This antibody does not cross-react with human PPARD and PPARA. In Western blot, anti-His antibody (ab213204) staining at 1/5000 dilution. Exposure time : 15 seconds

All lanes:

Western blot - Anti-PPAR gamma antibody [EPR25862-79] (ab310323) at 1/1000 dilution

Lane 1:

His-tagged human PPARA recombinant protein at 10 ng

Lane 2:

His-tagged human PPARD recombinant protein at 10 ng

Lane 3:

His-tagged human PPARG recombinant fragment at 10 ng

Secondary

All lanes:

Western blot - Goat Anti-Rabbit IgG H&L (HRP) (<a href='/en-us/products/secondary-antibodies/goat-rabbit-igg-h-l-hrp-ab97051'>ab97051</a>) at 1/100000 dilution

Observed band size: 37 kDa

false

Exposure time: 15s

  • Carrier free

    Anti-PPAR gamma antibody [EPR25862-79] - BSA and Azide free

Key facts

Host species

Rabbit

Clonality

Monoclonal

Clone number

EPR25862-79

Isotype

IgG

Carrier free

No

Reacts with

Rat, Mouse, Human

Applications

IHC-P, IP, WB

applications

Immunogen

The exact immunogen used to generate this antibody is proprietary information.

Reactivity data

{ "title": "Reactivity Data", "filters": { "stats": ["", "Species", "Dilution Info", "Notes"], "tabs": { "all-applications": {"fullname" : "All Applications", "shortname": "All Applications"}, "WB" : {"fullname" : "Western blot", "shortname":"WB"}, "IHCP" : {"fullname" : "Immunohistochemistry (Formalin/PFA-fixed paraffin-embedded sections)", "shortname":"IHC-P"}, "IP" : {"fullname" : "Immunoprecipitation", "shortname":"IP"}, "ICCIF" : {"fullname" : "Immunocytochemistry/ Immunofluorescence", "shortname":"ICC/IF"}, "FlowCytIntra" : {"fullname" : "Flow Cytometry (Intracellular)", "shortname":"Flow Cyt (Intra)"} }, "product-promise": { "all": "all", "testedAndGuaranteed": "tested", "guaranteed": "expected", "predicted": "predicted", "notRecommended": "not-recommended" } }, "values": { "Human": { "WB-species-checked": "testedAndGuaranteed", "WB-species-dilution-info": "1/1000", "WB-species-notes": "<p></p>", "IHCP-species-checked": "testedAndGuaranteed", "IHCP-species-dilution-info": "1/200", "IHCP-species-notes": "<p></p> Perform heat-mediated antigen retrieval with Tris/EDTA buffer pH 9.0 before commencing with IHC staining protocol.", "IP-species-checked": "testedAndGuaranteed", "IP-species-dilution-info": "1/30", "IP-species-notes": "<p></p>", "ICCIF-species-checked": "notRecommended", "ICCIF-species-dilution-info": "", "ICCIF-species-notes": "<p></p>", "FlowCytIntra-species-checked": "notRecommended", "FlowCytIntra-species-dilution-info": "", "FlowCytIntra-species-notes": "<p></p>" }, "Mouse": { "WB-species-checked": "testedAndGuaranteed", "WB-species-dilution-info": "1/1000", "WB-species-notes": "<p></p>", "IHCP-species-checked": "testedAndGuaranteed", "IHCP-species-dilution-info": "1/200", "IHCP-species-notes": "<p></p> Perform heat-mediated antigen retrieval with Tris/EDTA buffer pH 9.0 before commencing with IHC staining protocol.", "IP-species-checked": "testedAndGuaranteed", "IP-species-dilution-info": "1/30", "IP-species-notes": "<p></p>", "ICCIF-species-checked": "notRecommended", "ICCIF-species-dilution-info": "", "ICCIF-species-notes": "<p></p>", "FlowCytIntra-species-checked": "notRecommended", "FlowCytIntra-species-dilution-info": "", "FlowCytIntra-species-notes": "<p></p>" }, "Rat": { "WB-species-checked": "notRecommended", "WB-species-dilution-info": "", "WB-species-notes": "<p></p>", "IHCP-species-checked": "testedAndGuaranteed", "IHCP-species-dilution-info": "1/200", "IHCP-species-notes": "<p></p> Perform heat-mediated antigen retrieval with Tris/EDTA buffer pH 9.0 before commencing with IHC staining protocol.", "IP-species-checked": "guaranteed", "IP-species-dilution-info": "", "IP-species-notes": "", "ICCIF-species-checked": "notRecommended", "ICCIF-species-dilution-info": "", "ICCIF-species-notes": "", "FlowCytIntra-species-checked": "notRecommended", "FlowCytIntra-species-dilution-info": "", "FlowCytIntra-species-notes": "" }, "Recombinant fragment - Human": { "WB-species-checked": "testedAndGuaranteed", "WB-species-dilution-info": "1/1000", "WB-species-notes": "<p></p>", "IHCP-species-checked": "notRecommended", "IHCP-species-dilution-info": "", "IHCP-species-notes": "", "IP-species-checked": "notRecommended", "IP-species-dilution-info": "", "IP-species-notes": "", "ICCIF-species-checked": "notRecommended", "ICCIF-species-dilution-info": "", "ICCIF-species-notes": "", "FlowCytIntra-species-checked": "notRecommended", "FlowCytIntra-species-dilution-info": "", "FlowCytIntra-species-notes": "" } } }

Product details

Patented technology
Our RabMAb® technology is a patented hybridoma-based technology for making rabbit monoclonal antibodies. For details on our patents, please refer to RabMAb® patents.

What are the advantages of a recombinant monoclonal antibody?
This product is a recombinant monoclonal antibody, which offers several advantages including:

  • - High batch-to-batch consistency and reproducibility
  • - Improved sensitivity and specificity
  • - Long-term security of supply
  • - Animal-free batch production

For more information, read more on recombinant antibodies.

Properties and storage information

Form
Liquid
Purification technique
Affinity purification Protein A
Storage buffer
pH: 7.2 - 7.4 Preservative: 0.01% Sodium azide Constituents: PBS, 40% Glycerol (glycerin, glycerine), 0.05% BSA
Shipped at conditions
Blue Ice
Appropriate short-term storage duration
1-2 weeks
Appropriate short-term storage conditions
+4°C
Appropriate long-term storage conditions
-20°C
Aliquoting information
Upon delivery aliquot
Storage information
Avoid freeze / thaw cycle

Product protocols

For this product, it's our understanding that no specific protocols are required. You can visit:

Target data

Nuclear receptor that binds peroxisome proliferators such as hypolipidemic drugs and fatty acids. Once activated by a ligand, the nuclear receptor binds to DNA specific PPAR response elements (PPRE) and modulates the transcription of its target genes, such as acyl-CoA oxidase. It therefore controls the peroxisomal beta-oxidation pathway of fatty acids. Key regulator of adipocyte differentiation and glucose homeostasis. ARF6 acts as a key regulator of the tissue-specific adipocyte P2 (aP2) enhancer. Acts as a critical regulator of gut homeostasis by suppressing NF-kappa-B-mediated pro-inflammatory responses. Plays a role in the regulation of cardiovascular circadian rhythms by regulating the transcription of BMAL1 in the blood vessels (By similarity).. (Microbial infection) Upon treatment with M.tuberculosis or its lipoprotein LpqH, phosphorylation of MAPK p38 and IL-6 production are modulated, probably via this protein.
See full target information PPARG

Publications (6)

Recent publications for all applications. Explore the full list and refine your search

Cells 14: PubMed40862743

2025

CircIDH2 Modulates Porcine Adipogenesis via the miR-193a-5p/4 Axis: Implications for ceRNA-Mediated Regulation of Fat Deposition.

Applications

Unspecified application

Species

Unspecified reactive species

Meng Li,Jiayi Chen,Wu Bao,Shuangji Ma,Mingxin Wen,Yuqi Han,Wanfeng Zhang,Yang Yang,Xiaohong Guo,Bugao Li

Journal of orthopaedic translation 53:187-205 PubMed40678612

2025

PPARγ controls ESCRT-dependent fibroblast-like synoviocyte exosome biogenesis and alleviates chondrocyte osteoarthritis mediated by exosomal ANXA1.

Applications

Unspecified application

Species

Unspecified reactive species

Shuangshuo Jia,Yue Yang,Jiabao Liu,Ziyuan Wang,Lunhao Bai

Journal of cell communication and signaling 19:e70015 PubMed40557397

2025

Naa10p impairs PGC-1α/Pparγ2 interaction to inhibit mitochondrial protection in pancreatitis.

Applications

Unspecified application

Species

Unspecified reactive species

Jie Du,Hai Jiang,Taizhe Zhang,Chuanming Zheng,Zhong Ji

Cell death & disease 16:271 PubMed40210616

2025

Role of METTL16 in PPARγ methylation and osteogenic differentiation.

Applications

Unspecified application

Species

Unspecified reactive species

Liangjie Lu,Lijun Wang,Minjie Yang,Huihan Wang

PeerJ 12:e16740 PubMed38274331

2024

Regulation of lipid metabolism by APOE4 in intrahepatic cholangiocarcinoma the enhancement of ABCA1 membrane expression.

Applications

Unspecified application

Species

Unspecified reactive species

Liqiang Qian,Gang Wang,Bin Li,Haoyuan Su,Lei Qin

PeerJ 11:e16659 PubMed38107572

2023

CXCL10-based gene cluster model serves as a potential diagnostic biomarker for premature ovarian failure.

Applications

Unspecified application

Species

Unspecified reactive species

Ying Qin,Canliang Wen,Huijiao Wu
View all publications

Product promise

We are committed to supporting your work with high-quality reagents, and we're here for you every step of the way. In the unlikely event that one of our products does not perform as expected, you're protected by our Product Promise.
For full details, please see our Terms & Conditions

Please note: All products are 'FOR RESEARCH USE ONLY. NOT FOR USE IN DIAGNOSTIC OR THERAPEUTIC PROCEDURES'.

For licensing inquiries, please contact partnerships@abcam.com