JavaScript is disabled in your browser. Please enable JavaScript to view this website.
AB59256

Anti-PPAR gamma antibody

5

(2 Reviews)

|

(87 Publications)

Rabbit Polyclonal PPAR gamma antibody. Suitable for WB, IHC-P, ICC/IF and reacts with Human samples. Cited in 87 publications. Immunogen corresponding to Synthetic Peptide within Human PPARG.

View Alternative Names

NR1C3, PPARG, Peroxisome proliferator-activated receptor gamma, PPAR-gamma, Nuclear receptor subfamily 1 group C member 3

3 Images
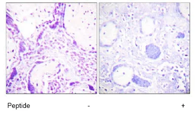
Immunohistochemistry (Formalin/PFA-fixed paraffin-embedded sections) - Anti-PPAR gamma antibody (AB59256)
  • IHC-P

Unknown

Immunohistochemistry (Formalin/PFA-fixed paraffin-embedded sections) - Anti-PPAR gamma antibody (AB59256)

ab59256, at 1/50 dilution, staining PPAR gamma in paraffin embedded human placenta tissue by Immunohistochemistry in the absence or presence of the immunising peptide.

Immunocytochemistry/ Immunofluorescence - Anti-PPAR gamma antibody (AB59256)
  • ICC/IF

Unknown

Immunocytochemistry/ Immunofluorescence - Anti-PPAR gamma antibody (AB59256)

ICC/IF image of ab59256 stained MCF7 cells. The cells were 4% PFA fixed (10 min) and then incubated in 1%BSA / 10% normal goat serum / 0.3M glycine in 0.1% PBS-Tween for 1h to permeabilise the cells and block non-specific protein-protein interactions. The cells were then incubated with the antibody (ab59256, 5µg/ml) overnight at +4°C. The secondary antibody (green) was Alexa Fluor® 488 goat anti-rabbit IgG (H+L) used at a 1/1000 dilution for 1h. Alexa Fluor® 594 WGA was used to label plasma membranes (red) at a 1/200 dilution for 1h. DAPI was used to stain the cell nuclei (blue) at a concentration of 1.43µM.

Western blot - Anti-PPAR gamma antibody (AB59256)
  • WB

Supplier Data

Western blot - Anti-PPAR gamma antibody (AB59256)

All lanes:

Western blot - Anti-PPAR gamma antibody (ab59256) at 1/500 dilution

Lane 1:

HUVEC (human umbilical vein endothelial cell line) whole cell lysate

Lane 2:

HUVEC (blocked with immunizing peptide), whole cell lysate

Predicted band size: 57 kDa

false

Key facts

Host species

Rabbit

Clonality

Polyclonal

Isotype

IgG

Carrier free

No

Reacts with

Human

Applications

WB, ICC/IF, IHC-P

applications

Immunogen

Synthetic Peptide within Human PPARG. The exact immunogen used to generate this antibody is proprietary information.

P37231

Reactivity data

{ "title": "Reactivity Data", "filters": { "stats": ["", "Species", "Dilution Info", "Notes"], "tabs": { "all-applications": {"fullname" : "All Applications", "shortname": "All Applications"}, "WB" : {"fullname" : "Western blot", "shortname":"WB"}, "IHCP" : {"fullname" : "Immunohistochemistry (Formalin/PFA-fixed paraffin-embedded sections)", "shortname":"IHC-P"}, "ICCIF" : {"fullname" : "Immunocytochemistry/ Immunofluorescence", "shortname":"ICC/IF"} }, "product-promise": { "all": "all", "testedAndGuaranteed": "tested", "guaranteed": "expected", "predicted": "predicted", "notRecommended": "not-recommended" } }, "values": { "Human": { "WB-species-checked": "testedAndGuaranteed", "WB-species-dilution-info": "1/500 - 1/1000", "WB-species-notes": "<p></p>", "IHCP-species-checked": "testedAndGuaranteed", "IHCP-species-dilution-info": "1/50 - 1/100", "IHCP-species-notes": "<p></p>", "ICCIF-species-checked": "testedAndGuaranteed", "ICCIF-species-dilution-info": "5 µg/mL", "ICCIF-species-notes": "<p></p>" } } }

Properties and storage information

Form
Liquid
Purification technique
Affinity purification Immunogen
Purification notes
ab59256 was affinity purified from rabbit antiserum by affinity chromatography using epitope specific immunogen.
Storage buffer
pH: 7.4 Preservative: 0.02% Sodium azide Constituents: PBS, 50% Glycerol (glycerin, glycerine), 0.87% Sodium chloride
Shipped at conditions
Blue Ice
Appropriate short-term storage conditions
+4°C
Appropriate long-term storage conditions
-20°C
Storage information
Stable for 12 months at -20°C

Product protocols

For this product, it's our understanding that no specific protocols are required. You can visit:

Target data

Nuclear receptor that binds peroxisome proliferators such as hypolipidemic drugs and fatty acids. Once activated by a ligand, the nuclear receptor binds to DNA specific PPAR response elements (PPRE) and modulates the transcription of its target genes, such as acyl-CoA oxidase. It therefore controls the peroxisomal beta-oxidation pathway of fatty acids. Key regulator of adipocyte differentiation and glucose homeostasis. ARF6 acts as a key regulator of the tissue-specific adipocyte P2 (aP2) enhancer. Acts as a critical regulator of gut homeostasis by suppressing NF-kappa-B-mediated pro-inflammatory responses. Plays a role in the regulation of cardiovascular circadian rhythms by regulating the transcription of BMAL1 in the blood vessels (By similarity).. (Microbial infection) Upon treatment with M.tuberculosis or its lipoprotein LpqH, phosphorylation of MAPK p38 and IL-6 production are modulated, probably via this protein.
See full target information PPARG

Publications (87)

Recent publications for all applications. Explore the full list and refine your search

Nature cancer 6:1263-1282 PubMed40588523

2025

Self-amplifying NRF2-EZH2 epigenetic loop converts KRAS-initiated progenitors to invasive pancreatic cancer.

Applications

Unspecified application

Species

Unspecified reactive species

Laura Antonucci,Na Li,Angeles Duran,Isidoro Cobo,Chiara Nicoletti,Kosuke Watari,Shuvro Prokash Nandi,Feng Zhu,Yongmei Zhao,Irene Riahi,Motoyuki Tsuda,Vidhi M Shah,Terry Morgan,Trent Waugh,Luca Caputo,Yuan Liu,Alexandra Rundberg Nilsson,Hongxu Xian,Jelena Todoric,Li Gu,Elsa Sanchez-Lopez,Guido Eibl,Emily A Vucic,Michal Krawczyk,Qianlan Xu,Andrew M Lowy,Georgia Hatzivassiliou,Merone Roose-Girma,Dorota Skowronska-Krawczyk,David A Scott,Dafna Bar-Sagi,Pablo Tamayo,Ying Wu,Rosalie C Sears,Christopher K Glass,Ludmil B Alexandrov,Pier Lorenzo Puri,David W Dawson,Yinling Hu,Maria T Diaz-Meco,Jorge Moscat,Michael Karin

International journal of molecular sciences 26: PubMed40429934

2025

Fatty Acid Metabolism Regulators Have Pivotal Roles in the Pathogenesis of Ovarian Carcinoma.

Applications

Unspecified application

Species

Unspecified reactive species

Megumi Watanabe,Motoki Matsuura,Tatsuya Sato,Makoto Usami,Tsuyoshi Saito,Masato Furuhashi,Kohichi Takada,Hiroshi Ohguro

Plants (Basel, Switzerland) 14: PubMed40431038

2025

Chemical Profiling of Polyphenolic Fraction of L. vr. Industrial Inflorescences: Insights into Cannabidiol Neuroprotective Effects in a Cellular Model of Parkinson's Disease.

Applications

Unspecified application

Species

Unspecified reactive species

Francesca Fantasma,Gilda D'Urso,Noemi Martella,Alessandra Capuano,Eleonora Boccia,Vadym Samukha,Vincenzo De Felice,Gabriella Saviano,Federico Trombetta,Gianluigi Lauro,Marco Segatto,Maria Giovanna Chini,Giuseppe Bifulco,Agostino Casapullo,Maria Iorizzi

Experimental animals : PubMed40368825

2025

Comparison of the characteristics of non-alcoholic fatty liver disease in Lepr and Lepr mice.

Applications

Unspecified application

Species

Unspecified reactive species

Seungwoo Lee,Jae-Hong Min,Myoung Jun Kim,Somi Yun,Min Kyoung Seo,Jong Kwon Lee

Biology direct 19:99 PubMed39444036

2024

Regulation of renal ischemia-reperfusion injury and tubular epithelial cell ferroptosis by pparγ m6a methylation: mechanisms and therapeutic implications.

Applications

Unspecified application

Species

Unspecified reactive species

Wei Liu,Ziqing Xiong,Tianmei Fu,Juan Yang,Juan Zou,Yize Wu,Linju Kuang,Qian Wang,Song Li,Aiping Le

ACS pharmacology & translational science 7:2725-2738 PubMed39296270

2024

Empagliflozin Attenuates Pulmonary Arterial Remodeling Through Peroxisome Proliferator-Activated Receptor Gamma Activation.

Applications

Unspecified application

Species

Unspecified reactive species

Ying-Ju Lai,Yung-Hsin Yeh,Yen-Lin Huang,Celina De Almeida,Gwo-Jyh Chang,Wei-Jan Chen,Hsao-Hsun Hsu

International journal of molecular medicine 53: PubMed38426604

2024

Adipocyte‑rich microenvironment promotes chemoresistance via upregulation of peroxisome proliferator‑activated receptor gamma/ABCG2 in epithelial ovarian cancer.

Applications

Unspecified application

Species

Unspecified reactive species

Siqi Chen,Zixuan Liu,Haixia Wu,Bo Wang,Yuqing Ouyang,Junru Liu,Xiaoyan Zheng,Haoke Zhang,Xueying Li,Xiaofan Feng,Yan Li,Yangyang Shen,Hong Zhang,Bo Xiao,Chunyan Yu,Weimin Deng

Nature communications 15:1024 PubMed38310093

2024

5-aminosalicylic acid suppresses osteoarthritis through the OSCAR-PPARγ axis.

Applications

Unspecified application

Species

Unspecified reactive species

Jihee Kim,Gina Ryu,Jeongmin Seo,Miyeon Go,Gyungmin Kim,Sol Yi,Suwon Kim,Hana Lee,June-Yong Lee,Han Sung Kim,Min-Chan Park,Dong Hae Shin,Hyunbo Shim,Wankyu Kim,Soo Young Lee

Frontiers in pharmacology 14:1329266 PubMed38178856

2024

Serum metabolomics characteristics and fatty-acid-related mechanism of cirrhosis with histological response in chronic hepatitis B.

Applications

Unspecified application

Species

Unspecified reactive species

Hai-Na Fan,Zhi-Min Zhao,Kai Huang,Xiao-Ning Wang,Yun-Kai Dai,Cheng-Hai Liu

Molecular medicine reports 28: PubMed37449516

2023

METTL14 mediates ma modification on osteogenic proliferation and differentiation of bone marrow mesenchymal stem cells by regulating the processing of pri-miR-873.

Applications

Unspecified application

Species

Unspecified reactive species

Xin Dong,Bo Liao,Jian Zhao,Xiaoxiang Li,Kang Yan,Kun Ren,Xiaoping Zhang,Xiaoming Bao,Weidong Guo
View all publications

Product promise

We are committed to supporting your work with high-quality reagents, and we're here for you every step of the way. In the unlikely event that one of our products does not perform as expected, you're protected by our Product Promise.
For full details, please see our Terms & Conditions

Please note: All products are 'FOR RESEARCH USE ONLY. NOT FOR USE IN DIAGNOSTIC OR THERAPEUTIC PROCEDURES'.

For licensing inquiries, please contact partnerships@abcam.com