JavaScript is disabled in your browser. Please enable JavaScript to view this website.
AB203111

Anti-PPCEL/PREPL antibody [EPR17752]

Be the first to review this product! Submit a review

|

(2 Publications)

Rabbit Recombinant Monoclonal PPCEL/PREPL antibody. Suitable for IP, WB, ICC/IF, IHC-P and reacts with Mouse, Rat, Human samples. Cited in 2 publications.

View Alternative Names

KIAA0436, PREPL, Prolyl endopeptidase-like, Prolylendopeptidase-like

10 Images
Immunohistochemistry (Formalin/PFA-fixed paraffin-embedded sections) - Anti-PPCEL/PREPL antibody [EPR17752] (AB203111)
  • IHC-P

Supplier Data

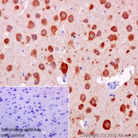
Immunohistochemistry (Formalin/PFA-fixed paraffin-embedded sections) - Anti-PPCEL/PREPL antibody [EPR17752] (AB203111)

Immunohistochemical analysis of paraffin-embedded Human cerebral cortex tissue labeling PPCEL/PREPL with ab203111 at 1/250 dilution followed by ab97051 Goat Anti-Rabbit IgG H&L (HRP) at a 1/500 dilution. Cytoplasmic staining on Human cerebral cortex tissue is observed. Counter stained with Hematoxylin.

Negative control : Used PBS instead of primary antibody secondary antibody is ab97051 Goat Anti-Rabbit IgG H&L (HRP).

Perform heat mediated antigen retrieval with Tris/EDTA buffer pH 9.0 before commencing with IHC staining protocol.

Immunocytochemistry/ Immunofluorescence - Anti-PPCEL/PREPL antibody [EPR17752] (AB203111)
  • ICC/IF

Lab

Immunocytochemistry/ Immunofluorescence - Anti-PPCEL/PREPL antibody [EPR17752] (AB203111)

Immunofluorescent analysis of 4% paraformaldehyde-fixed 0.1% Triton X-100 permeabilized MCF-7(Human breast adenocarcinoma cell line) cells labeling PPCEL/PREPL with ab203111 at 1/250 dilution followed by Goat anti-rabbit IgG (Alexa Fluor® 488) (ab150077) secondary antibody at 1/1000 dilution (green). Confocal image showing cytoplasmic staining on MCF-7 cell line. The nuclear counterstain is DAPI (blue). Tubulin is detected with ab7291 (anti-Tubulin mouse mAb) at 1/1000 dilution and ab150120 (AlexaFluor®594 Goat anti-Mouse secondary) at 1/1000 dilution (red).

The negative controls are as follows : -
-ve control 1 - ab203111 at 1/250 dilution followed by ab150120 (AlexaFluor®594 Goat anti-Mouse secondary) at 1/1000 dilution.
-ve control 2. - ab7291 (anti-Tubulin mouse mAb) at 1/1000 dilution followed by ab150077 (Alexa Fluor®488 Goat Anti-Rabbit IgG H&L) at 1/1000 dilution.

Immunocytochemistry/ Immunofluorescence - Anti-PPCEL/PREPL antibody [EPR17752] (AB203111)
  • ICC/IF

Lab

Immunocytochemistry/ Immunofluorescence - Anti-PPCEL/PREPL antibody [EPR17752] (AB203111)

Immunofluorescent analysis of 4% paraformaldehyde-fixed 0.1% Triton X-100 permeabilized SH-SY5Y (Human neuroblastoma from bone marrow cells) cells labeling PPCEL/PREPL with ab203111 at 1/250 dilution followed by Goat anti-rabbit IgG (Alexa Fluor® 488) (ab150077) secondary antibody at 1/1000 dilution (green). Confocal image showing cytoplasmic staining on SH-SY5Y cell line. The nuclear counterstain is DAPI (blue). Tubulin is detected with ab7291 (anti-Tubulin mouse mAb) at 1/1000 dilution and ab150120 (AlexaFluor®594 Goat anti-Mouse secondary) at 1/1000 dilution (red).

The negative controls are as follows : -
-ve control 1 - ab203111 at 1/250 dilution followed by ab150120 (AlexaFluor®594 Goat anti-Mouse secondary) at 1/1000 dilution.
-ve control 2. - ab7291 (anti-Tubulin mouse mAb) at 1/1000 dilution followed by ab150077 (Alexa Fluor®488 Goat Anti-Rabbit IgG H&L) at 1/1000 dilution.

Immunohistochemistry (Formalin/PFA-fixed paraffin-embedded sections) - Anti-PPCEL/PREPL antibody [EPR17752] (AB203111)
  • IHC-P

Supplier Data

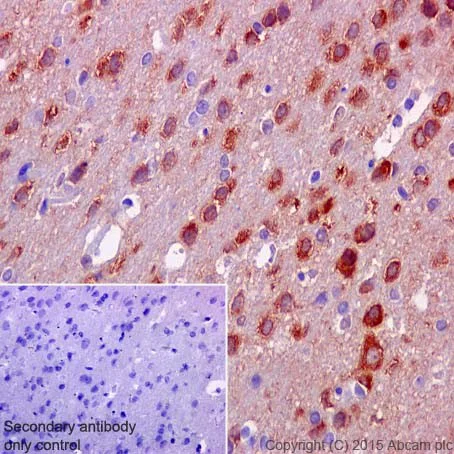
Immunohistochemistry (Formalin/PFA-fixed paraffin-embedded sections) - Anti-PPCEL/PREPL antibody [EPR17752] (AB203111)

Immunohistochemical analysis of paraffin-embedded Mouse cerebral cortex tissue labeling PPCEL/PREPL with ab203111 at 1/250 dilution followed by ab97051 Goat Anti-Rabbit IgG H&L (HRP) at a 1/500 dilution. Cytoplasmic staining on Mouse cerebral cortex tissue is observed. Counter stained with Hematoxylin.

Negative control : Used PBS instead of primary antibody secondary antibody is ab97051 Goat Anti-Rabbit IgG H&L (HRP).

Perform heat mediated antigen retrieval with Tris/EDTA buffer pH 9.0 before commencing with IHC staining protocol.

Immunohistochemistry (Formalin/PFA-fixed paraffin-embedded sections) - Anti-PPCEL/PREPL antibody [EPR17752] (AB203111)
  • IHC-P

Supplier Data

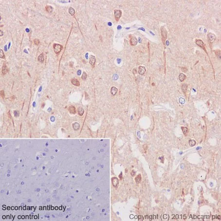
Immunohistochemistry (Formalin/PFA-fixed paraffin-embedded sections) - Anti-PPCEL/PREPL antibody [EPR17752] (AB203111)

Immunohistochemical analysis of paraffin-embedded Rat cerebral cortex tissue labeling PPCEL/PREPL with ab203111 at 1/250 dilution followed by ab97051 Goat Anti-Rabbit IgG H&L (HRP) at a 1/500 dilution. Cytoplasmic staining on Rat cerebral cortex tissue is observed. Counter stained with Hematoxylin.

Negative control : Used PBS instead of primary antibody secondary antibody is ab97051 Goat Anti-Rabbit IgG H&L (HRP).

Perform heat mediated antigen retrieval with Tris/EDTA buffer pH 9.0 before commencing with IHC staining protocol.

Immunoprecipitation - Anti-PPCEL/PREPL antibody [EPR17752] (AB203111)
  • IP

Supplier Data

Immunoprecipitation - Anti-PPCEL/PREPL antibody [EPR17752] (AB203111)

PPCEL/PREPL was immunoprecipitated from 1mg of NIH/3T3 (Mouse embyro fibroblast cells) whole cell extract with ab203111 at 1/30 dilution. Western blot was performed from the immunoprecipitate using ab203111 at 1/1000 dilution. Anti-Rabbit IgG (HRP), specific to the non-reduced form of IgG, was used as secondary antibody at 1/1500 dilution.

Lane 1 : NIH/3T3 whole cell extract 10 μg (Input). Lane 2 : ab203111 IP in NIH/3T3 whole cell extract. Lane 3 : Rabbit monoclonal IgG (ab172730) instead of ab203111 in NIH/3T3 whole cell extract.
Blocking and dilution buffer and concentration : 5% NFDM/TBST.

Exposure time : 10 seconds

Blocking/Dilution Buffer : 5% NFDM/TBST

All lanes:

Immunoprecipitation - Anti-PPCEL/PREPL antibody [EPR17752] (ab203111)

Predicted band size: 84 kDa

false

Western blot - Anti-PPCEL/PREPL antibody [EPR17752] (AB203111)
  • WB

Supplier Data

Western blot - Anti-PPCEL/PREPL antibody [EPR17752] (AB203111)

Blocking/Dilution buffer 5% NFDM/TBST.

The observed MW is consistent with what has been described in the literature PMID : 16385448.

All lanes:

Western blot - Anti-PPCEL/PREPL antibody [EPR17752] (ab203111) at 1/2000 dilution

Lane 1:

Human fetal brain lysate at 20 µg

Lane 2:

MCF-7 (Human breast adenocarcinoma cell line) whole cell lysate at 20 µg

Secondary

All lanes:

Anti-Rabbit IgG (HRP), specific to the non-reduced form of IgG at 1/2000 dilution

Predicted band size: 84 kDa

Observed band size: 72 kDa

false

Exposure time: 1min

Western blot - Anti-PPCEL/PREPL antibody [EPR17752] (AB203111)
  • WB

Supplier Data

Western blot - Anti-PPCEL/PREPL antibody [EPR17752] (AB203111)

Blocking/DIlution buffer 5% NFDM/TBST.

The observed MW is consistent with what has been described in the literature PMID : 16385448.

All lanes:

Western blot - Anti-PPCEL/PREPL antibody [EPR17752] (ab203111) at 1/2000 dilution

Lane 1:

Mouse brain whole cell lysate at 10 µg

Lane 2:

Rat brain whole cell lysate at 10 µg

Secondary

All lanes:

Goat Anti-Rabbit IgG, (H+L), Peroxidase conjugated at 1/1000 dilution

Predicted band size: 84 kDa

Observed band size: 72 kDa

false

Exposure time: 15s

Western blot - Anti-PPCEL/PREPL antibody [EPR17752] (AB203111)
  • WB

Supplier Data

Western blot - Anti-PPCEL/PREPL antibody [EPR17752] (AB203111)

Blocking/Dilution buffer 5% NFDM/TBST.

The observed MW is consistent with what has been described in the literature PMID : 16385448.

All lanes:

Western blot - Anti-PPCEL/PREPL antibody [EPR17752] (ab203111) at 1/2000 dilution

Lane 1:

C6 (Rat glial tumor cells) whole cell lysate at 10 µg

Lane 2:

Raw264.7 (Mouse macrophage cells transformed with Abelson murine leukemia virus whole cell lysate at 10 µg

Lane 3:

PC-12 (Rat adrenal gland pheochromocytoma) whole cell lysate at 10 µg

Lane 4:

NIH/3T3 (Mouse embyro fibroblast cells) whole cell lysate at 10 µg

Secondary

All lanes:

Goat Anti-Rabbit IgG, (H+L), Peroxidase conjugated at 1/1000 dilution

Predicted band size: 84 kDa

Observed band size: 72 kDa

false

Exposure time: 30s

Western blot - Anti-PPCEL/PREPL antibody [EPR17752] (AB203111)
  • WB

Lab

Western blot - Anti-PPCEL/PREPL antibody [EPR17752] (AB203111)

Exposure time :

Lane 1 : 3 seconds.

Lane 2 : 3 minutes.

Blocking and dilution buffer : 5% NFDM/TBST.

Lane 1:

Western blot - Anti-PPCEL/PREPL antibody [EPR17752] (ab203111) at 1/1000 dilution

Lane 2:

Western blot - Anti-PPCEL/PREPL antibody [EPR17752] (ab203111) at 1/10000 dilution

All lanes:

Recombinant Human PPCEL/PREPL protein (<a href='/en-us/products/unavailable/recombinant-human-ppcelprepl-protein-ab160557'>ab160557</a>) at 0.01 µg

Secondary

All lanes:

Western blot - Goat Anti-Rabbit IgG H&L (HRP) (<a href='/en-us/products/secondary-antibodies/goat-rabbit-igg-h-l-hrp-ab97051'>ab97051</a>) at 1/20000 dilution

Predicted band size: 84 kDa

Observed band size: 109 kDa

false

  • Carrier free

    Anti-PPCEL/PREPL antibody [EPR17752] - BSA and Azide free

Key facts

Host species

Rabbit

Clonality

Monoclonal

Clone number

EPR17752

Isotype

IgG

Carrier free

No

Reacts with

Mouse, Rat, Human

Applications

WB, IHC-P, IP, ICC/IF

applications

Immunogen

The exact immunogen used to generate this antibody is proprietary information.

Reactivity data

{ "title": "Reactivity Data", "filters": { "stats": ["", "Species", "Dilution Info", "Notes"], "tabs": { "all-applications": {"fullname" : "All Applications", "shortname": "All Applications"}, "IP" : {"fullname" : "Immunoprecipitation", "shortname":"IP"}, "WB" : {"fullname" : "Western blot", "shortname":"WB"}, "ICCIF" : {"fullname" : "Immunocytochemistry/ Immunofluorescence", "shortname":"ICC/IF"}, "IHCP" : {"fullname" : "Immunohistochemistry (Formalin/PFA-fixed paraffin-embedded sections)", "shortname":"IHC-P"} }, "product-promise": { "all": "all", "testedAndGuaranteed": "tested", "guaranteed": "expected", "predicted": "predicted", "notRecommended": "not-recommended" } }, "values": { "Human": { "IP-species-checked": "guaranteed", "IP-species-dilution-info": "", "IP-species-notes": "", "WB-species-checked": "testedAndGuaranteed", "WB-species-dilution-info": "1/2000", "WB-species-notes": "<p></p>", "ICCIF-species-checked": "testedAndGuaranteed", "ICCIF-species-dilution-info": "1/250", "ICCIF-species-notes": "<p></p>", "IHCP-species-checked": "testedAndGuaranteed", "IHCP-species-dilution-info": "1/250", "IHCP-species-notes": "<p></p>" }, "Mouse": { "IP-species-checked": "testedAndGuaranteed", "IP-species-dilution-info": "1/30", "IP-species-notes": "<p></p>", "WB-species-checked": "testedAndGuaranteed", "WB-species-dilution-info": "1/2000", "WB-species-notes": "<p></p>", "ICCIF-species-checked": "guaranteed", "ICCIF-species-dilution-info": "", "ICCIF-species-notes": "", "IHCP-species-checked": "testedAndGuaranteed", "IHCP-species-dilution-info": "1/250", "IHCP-species-notes": "<p></p>" }, "Rat": { "IP-species-checked": "guaranteed", "IP-species-dilution-info": "", "IP-species-notes": "", "WB-species-checked": "testedAndGuaranteed", "WB-species-dilution-info": "1/2000", "WB-species-notes": "<p></p>", "ICCIF-species-checked": "guaranteed", "ICCIF-species-dilution-info": "", "ICCIF-species-notes": "", "IHCP-species-checked": "testedAndGuaranteed", "IHCP-species-dilution-info": "1/250", "IHCP-species-notes": "<p></p>" } } }

Product details

Patented technology
Our RabMAb® technology is a patented hybridoma-based technology for making rabbit monoclonal antibodies. For details on our patents, please refer to RabMAb® patents.

What are the advantages of a recombinant monoclonal antibody?
This product is a recombinant monoclonal antibody, which offers several advantages including:

  • - High batch-to-batch consistency and reproducibility
  • - Improved sensitivity and specificity
  • - Long-term security of supply
  • - Animal-free batch production

For more information, read more on recombinant antibodies.

Properties and storage information

Form
Liquid
Purification technique
Affinity purification Protein A
Storage buffer
pH: 7.2 - 7.4 Preservative: 0.01% Sodium azide Constituents: PBS, 40% Glycerol (glycerin, glycerine), 0.05% BSA
Shipped at conditions
Blue Ice
Appropriate short-term storage duration
1-2 weeks
Appropriate short-term storage conditions
+4°C
Appropriate long-term storage conditions
-20°C
Aliquoting information
Upon delivery aliquot
Storage information
Avoid freeze / thaw cycle

Product protocols

For this product, it's our understanding that no specific protocols are required. You can visit:

Target data

Serine peptidase whose precise substrate specificity remains unclear (PubMed : 16143824, PubMed : 16385448, PubMed : 28726805). Does not cleave peptides after a arginine or lysine residue (PubMed : 16143824). Regulates trans-Golgi network morphology and sorting by regulating the membrane binding of the AP-1 complex (PubMed : 23321636). May play a role in the regulation of synaptic vesicle exocytosis (PubMed : 24610330).
See full target information PREPL

Publications (2)

Recent publications for all applications. Explore the full list and refine your search

Bioactive materials 53:459-479 PubMed40747455

2025

Metformin carbon dots-based osteogenic and protein delivery system to promote bone regeneration in periodontitis.

Applications

Unspecified application

Species

Unspecified reactive species

Jingjing Wei,Kai Wang,Yongkai Li,Jiao Huang,Ping Deng,Xianbo Xia,Cong Yang,Ling Xu,Junji Xu

Frontiers in genetics 11:565479 PubMed33250918

2020

Comprehensive Proteomic Profiling of Urinary Exosomes and Identification of Potential Non-invasive Early Biomarkers of Alzheimer's Disease in 5XFAD Mouse Model.

Applications

Unspecified application

Species

Unspecified reactive species

Zhiqi Song,Yanfeng Xu,Ling Zhang,Li Zhou,Yu Zhang,Yunlin Han,Xianglei Li,Pin Yu,Yajin Qu,Wenjie Zhao,Chuan Qin
View all publications

Product promise

We are committed to supporting your work with high-quality reagents, and we're here for you every step of the way. In the unlikely event that one of our products does not perform as expected, you're protected by our Product Promise.
For full details, please see our Terms & Conditions

Please note: All products are 'FOR RESEARCH USE ONLY. NOT FOR USE IN DIAGNOSTIC OR THERAPEUTIC PROCEDURES'.

For licensing inquiries, please contact partnerships@abcam.com