JavaScript is disabled in your browser. Please enable JavaScript to view this website.
AB204406

Anti-PPFIA1 antibody

Be the first to review this product! Submit a review

|

(1 Publication)

Rabbit Polyclonal PPFIA1 antibody. Suitable for IHC-P, WB, ICC/IF and reacts with Human samples. Cited in 1 publication. Immunogen corresponding to Recombinant Fragment Protein within Human PPFIA1 aa 450-650.

View Alternative Names

LIP1, PPFIA1, Liprin-alpha-1, LAR-interacting protein 1, Protein tyrosine phosphatase receptor type f polypeptide-interacting protein alpha-1, LIP-1, PTPRF-interacting protein alpha-1

3 Images
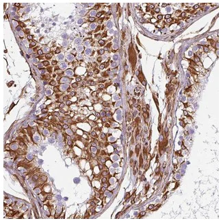
Immunohistochemistry (Formalin/PFA-fixed paraffin-embedded sections) - Anti-PPFIA1 antibody (AB204406)
  • IHC-P

Supplier Data

Immunohistochemistry (Formalin/PFA-fixed paraffin-embedded sections) - Anti-PPFIA1 antibody (AB204406)

Immunohistochemical analysis of paraffin-embedded Human testis tissue labeling PPFIA1 with ab204406 antibody at 1/2500 dilution.

Immunocytochemistry/ Immunofluorescence - Anti-PPFIA1 antibody (AB204406)
  • ICC/IF

Supplier Data

Immunocytochemistry/ Immunofluorescence - Anti-PPFIA1 antibody (AB204406)

Immunofluorescent analysis of U-2 OS cells labeling PPFIA1 with ab204406 at 4 μg/mL. Fixation/Permeabilization : PFA/Triton X-100.

Western blot - Anti-PPFIA1 antibody (AB204406)
  • WB

Supplier Data

Western blot - Anti-PPFIA1 antibody (AB204406)

All lanes:

Anti-ATP9A antibody (<a href='/en-us/products/unavailable/atp9a-antibody-ab204404'>ab204404</a>) at 1/100 dilution

Lane 1:

RT-4 cell lysate

Lane 2:

U-251 MG cell lysate

Predicted band size: 136 kDa

true

Key facts

Host species

Rabbit

Clonality

Polyclonal

Isotype

IgG

Carrier free

No

Reacts with

Human

Applications

WB, IHC-P, ICC/IF

applications

Immunogen

Recombinant Fragment Protein within Human PPFIA1 aa 450-650. The exact immunogen used to generate this antibody is proprietary information.

Q13136

Reactivity data

{ "title": "Reactivity Data", "filters": { "stats": ["", "Species", "Dilution Info", "Notes"], "tabs": { "all-applications": {"fullname" : "All Applications", "shortname": "All Applications"}, "IHCP" : {"fullname" : "Immunohistochemistry (Formalin/PFA-fixed paraffin-embedded sections)", "shortname":"IHC-P"}, "WB" : {"fullname" : "Western blot", "shortname":"WB"}, "ICCIF" : {"fullname" : "Immunocytochemistry/ Immunofluorescence", "shortname":"ICC/IF"} }, "product-promise": { "all": "all", "testedAndGuaranteed": "tested", "guaranteed": "expected", "predicted": "predicted", "notRecommended": "not-recommended" } }, "values": { "Human": { "IHCP-species-checked": "testedAndGuaranteed", "IHCP-species-dilution-info": "1/2500 - 1/5000", "IHCP-species-notes": "<p></p> Perform heat-mediated antigen retrieval with citrate buffer pH 6 before commencing with IHC staining protocol.", "WB-species-checked": "testedAndGuaranteed", "WB-species-dilution-info": "1/100 - 1/250", "WB-species-notes": "<p></p>", "ICCIF-species-checked": "testedAndGuaranteed", "ICCIF-species-dilution-info": "0.25-2 µg/mL", "ICCIF-species-notes": "<p></p>" }, "Mouse": { "IHCP-species-checked": "predicted", "IHCP-species-dilution-info": "", "IHCP-species-notes": "", "WB-species-checked": "predicted", "WB-species-dilution-info": "", "WB-species-notes": "", "ICCIF-species-checked": "predicted", "ICCIF-species-dilution-info": "", "ICCIF-species-notes": "" }, "Rat": { "IHCP-species-checked": "predicted", "IHCP-species-dilution-info": "", "IHCP-species-notes": "", "WB-species-checked": "predicted", "WB-species-dilution-info": "", "WB-species-notes": "", "ICCIF-species-checked": "predicted", "ICCIF-species-dilution-info": "", "ICCIF-species-notes": "" } } }

Properties and storage information

Form
Liquid
Purification technique
Affinity purification Immunogen
Storage buffer
pH: 7.2 Preservative: 0.02% Sodium azide Constituents: PBS, 40% Glycerol (glycerin, glycerine)
Shipped at conditions
Blue Ice
Appropriate short-term storage duration
1-2 weeks
Appropriate short-term storage conditions
+4°C
Appropriate long-term storage conditions
-20°C
Aliquoting information
Upon delivery aliquot
Storage information
Avoid freeze / thaw cycle

Product protocols

For this product, it's our understanding that no specific protocols are required. You can visit:

Target data

May regulate the disassembly of focal adhesions. May localize receptor-like tyrosine phosphatases type 2A at specific sites on the plasma membrane, possibly regulating their interaction with the extracellular environment and their association with substrates.
See full target information PPFIA1

Publications (1)

Recent publications for all applications. Explore the full list and refine your search

Cell communication and signaling : CCS 22:140 PubMed38378560

2024

Crosstalk between KDEL receptor and EGF receptor mediates cell proliferation and migration via STAT3 signaling.

Applications

Unspecified application

Species

Unspecified reactive species

Jie Jia,Lianhui Zhu,Xihua Yue,Shuocheng Tang,Shuaiyang Jing,Chuanting Tan,Yulei Du,Jingkai Gao,Intaek Lee,Yi Qian
View all publications

Product promise

We are committed to supporting your work with high-quality reagents, and we're here for you every step of the way. In the unlikely event that one of our products does not perform as expected, you're protected by our Product Promise.
For full details, please see our Terms & Conditions

Please note: All products are 'FOR RESEARCH USE ONLY. NOT FOR USE IN DIAGNOSTIC OR THERAPEUTIC PROCEDURES'.

For licensing inquiries, please contact partnerships@abcam.com