JavaScript is disabled in your browser. Please enable JavaScript to view this website.
AB236884

Anti-PPM1F/POPX2 antibody

Be the first to review this product! Submit a review

|

(1 Publication)

Rabbit Polyclonal PPM1F/POPX2 antibody. Suitable for IHC-P, ICC/IF and reacts with Human samples. Cited in 1 publication. Immunogen corresponding to Recombinant Fragment Protein within Human PPM1F aa 1-100.

View Alternative Names

KIAA0015, POPX2, PPM1F, Protein phosphatase 1F, Ca(2+)/calmodulin-dependent protein kinase phosphatase, Partner of PIX 2, Protein fem-2 homolog, CaM-kinase phosphatase, CaMKPase, hFem-2

3 Images
Immunohistochemistry (Formalin/PFA-fixed paraffin-embedded sections) - Anti-PPM1F/POPX2 antibody (AB236884)
  • IHC-P

Supplier Data

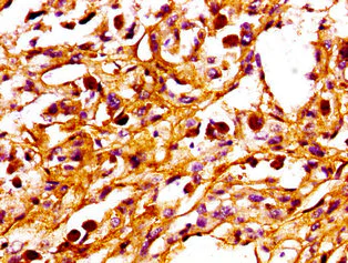
Immunohistochemistry (Formalin/PFA-fixed paraffin-embedded sections) - Anti-PPM1F/POPX2 antibody (AB236884)

Paraffin-embedded human pancreas cancer tissue stained for PPM1F/POPX2 with ab236884 at a 1/100 dilution in immunohistochemical analysis.

After dewaxing and hydration, antigen retrieval was mediated by high pressure in a citrate buffer (pH 6.0). Section was blocked with 10% normal goat serum 30 minutes at RT. Then primary antibody (1% BSA) was incubated at 4°C overnight. The primary is detected by a biotinylated secondary antibody and visualized using an HRP conjugated SP system.

Immunohistochemistry (Formalin/PFA-fixed paraffin-embedded sections) - Anti-PPM1F/POPX2 antibody (AB236884)
  • IHC-P

Supplier Data

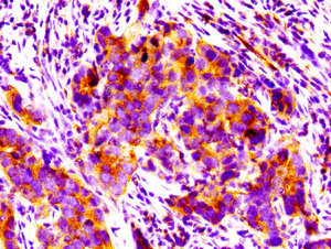
Immunohistochemistry (Formalin/PFA-fixed paraffin-embedded sections) - Anti-PPM1F/POPX2 antibody (AB236884)

Paraffin-embedded human melanoma tissue stained for PPM1F/POPX2 with ab236884 at a 1/100 dilution in immunohistochemical analysis.

After dewaxing and hydration, antigen retrieval was mediated by high pressure in a citrate buffer (pH 6.0). Section was blocked with 10% normal goat serum 30 minutes at RT. Then primary antibody (1% BSA) was incubated at 4°C overnight. The primary is detected by a biotinylated secondary antibody and visualized using an HRP conjugated SP system.

Immunocytochemistry/ Immunofluorescence - Anti-PPM1F/POPX2 antibody (AB236884)
  • ICC/IF

Supplier Data

Immunocytochemistry/ Immunofluorescence - Anti-PPM1F/POPX2 antibody (AB236884)

HepG2 (Human liver hepatocellular carcinoma cell line) cells stained for PPM1F/POPX2 (green) using ab236884 at a dilution of 1/100 in ICC/IF. The cells were fixed in 4% formaldehyde, permeabilized using 0.2% Triton X-100 and blocked in 10% normal goat serum. The cells were then incubated with the primary antibody overnight at 4°C. Secondary used is an Alexa-Fluor®488-conjugated Goat Anti-Rabbit IgG (H+L). Counterstained with DAPI.

Key facts

Host species

Rabbit

Clonality

Polyclonal

Isotype

IgG

Carrier free

No

Reacts with

Human

Applications

ICC/IF, IHC-P

applications

Immunogen

Recombinant Fragment Protein within Human PPM1F aa 1-100. The exact immunogen used to generate this antibody is proprietary information.

P49593

Reactivity data

{ "title": "Reactivity Data", "filters": { "stats": ["", "Species", "Dilution Info", "Notes"], "tabs": { "all-applications": {"fullname" : "All Applications", "shortname": "All Applications"}, "IHCP" : {"fullname" : "Immunohistochemistry (Formalin/PFA-fixed paraffin-embedded sections)", "shortname":"IHC-P"}, "ICCIF" : {"fullname" : "Immunocytochemistry/ Immunofluorescence", "shortname":"ICC/IF"} }, "product-promise": { "all": "all", "testedAndGuaranteed": "tested", "guaranteed": "expected", "predicted": "predicted", "notRecommended": "not-recommended" } }, "values": { "Human": { "IHCP-species-checked": "testedAndGuaranteed", "IHCP-species-dilution-info": "1/20 - 1/200", "IHCP-species-notes": "<p></p>", "ICCIF-species-checked": "testedAndGuaranteed", "ICCIF-species-dilution-info": "1/50 - 1/200", "ICCIF-species-notes": "<p></p>" } } }

Properties and storage information

Form
Liquid
Purification technique
Affinity purification Protein G
Purification notes
Purity >95%
Storage buffer
pH: 7.4 Preservative: 0.03% Proclin 300 Constituents: PBS, 50% Glycerol (glycerin, glycerine)
Shipped at conditions
Blue Ice
Appropriate short-term storage duration
1-2 weeks
Appropriate short-term storage conditions
+4°C
Appropriate long-term storage conditions
-20°C
Aliquoting information
Upon delivery aliquot
Storage information
Avoid freeze / thaw cycle

Supplementary information

This supplementary information is collated from multiple sources and compiled automatically.

PPM1F also known as POPX2 is a protein phosphatase that belongs to the PP2C family. It functions as a serine/threonine phosphatase and has a molecular mass of approximately 48 kDa. PPM1F is expressed across various tissues including the brain muscle and liver. It plays a role in dephosphorylating proteins involved in numerous cellular processes. By regulating phosphorylation status PPM1F impacts cellular activities such as cell cycle progress and apoptotic pathways.
Biological function summary

This protein phosphatase is instrumental in modulating signaling events related to cytoskeletal dynamics and stress responses. PPM1F does not operate in isolation but rather interacts with other proteins to form complexes that fine-tune its activity and stability. For instance PPM1F associates with components of the actin cytoskeleton and stress-related kinases influencing cellular movement and survival responses. Its ability to deactivate key kinases highlights its biological importance in maintaining cellular function.

Pathways

Recent research places PPM1F in mechanistic contexts related to the MAPK signaling and apoptosis pathways. It interacts closely with proteins like MAPKs and CAMKII to mediate responses to external stimuli influencing cellular proliferation and stress outcomes. The modulation of these pathways by PPM1F highlights its role in facilitating the balance between cell survival and apoptotic signaling. This phosphatase therefore has a significant regulatory function in cellular signaling networks.

Alterations in PPM1F function have correlations with cancer and neurodegenerative diseases. In cancer PPM1F's dephosphorylation roles impact pathways relevant to cell proliferation and apoptosis contributing to tumor progression. Abnormal regulation of PPM1F has also been observed in certain neurodegenerative disorders where its interactions with proteins such as MAPKs affect neuronal survival and distress responses. The link between PPM1F and these conditions highlights its potential as a therapeutic target in disease management.

Product protocols

For this product, it's our understanding that no specific protocols are required. You can visit:

Target data

Dephosphorylates and concomitantly deactivates CaM-kinase II activated upon autophosphorylation, and CaM-kinases IV and I activated upon phosphorylation by CaM-kinase kinase. Promotes apoptosis.
See full target information PPM1F

Publications (1)

Recent publications for all applications. Explore the full list and refine your search

Translational oncology 22:101454 PubMed35617811

2022

Suppression of FAM83D Inhibits Glioma Proliferation, Invasion and Migration by Regulating the AKT/mTOR Signaling Pathway.

Applications

Unspecified application

Species

Unspecified reactive species

Xia Li,Cui Sun,Jing Chen,Ji-Fen Ma,Yi-Heng Pan
View all publications

Product promise

We are committed to supporting your work with high-quality reagents, and we're here for you every step of the way. In the unlikely event that one of our products does not perform as expected, you're protected by our Product Promise.
For full details, please see our Terms & Conditions

Please note: All products are 'FOR RESEARCH USE ONLY. NOT FOR USE IN DIAGNOSTIC OR THERAPEUTIC PROCEDURES'.

For licensing inquiries, please contact partnerships@abcam.com