JavaScript is disabled in your browser. Please enable JavaScript to view this website.
AB250879

Anti-PPM1G antibody [EPR13362-31] - BSA and Azide free

Be the first to review this product! Submit a review

|

(0 Publication)

Rabbit Recombinant Monoclonal PPM1G antibody. Carrier free. Suitable for ICC/IF, WB, Flow Cyt (Intra), IHC-P and reacts with Human, Mouse samples.

View Alternative Names

PPM1C, PPM1G, Protein phosphatase 1G, Protein phosphatase 1C, Protein phosphatase 2C isoform gamma, Protein phosphatase magnesium-dependent 1 gamma, PP2C-gamma

6 Images
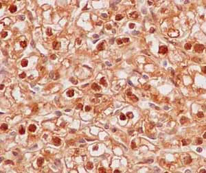
Immunohistochemistry (Formalin/PFA-fixed paraffin-embedded sections) - Anti-PPM1G antibody [EPR13362-31] - BSA and Azide free (AB250879)
  • IHC-P

Supplier Data

Immunohistochemistry (Formalin/PFA-fixed paraffin-embedded sections) - Anti-PPM1G antibody [EPR13362-31] - BSA and Azide free (AB250879)

This data was developed using ab186423, the same antibody clone in a different buffer formulation.

Immunohistochemical analysis of paraffin-embedded Human kidney clear cell carcinoma tissue labeling PPM1G with ab186423 at 1/500 dilution followed by prediluted HRP Polymer for Rabbit IgG. Counter stained with Hematoxylin.

Perform heat mediated antigen retrieval with EDTA buffer pH 9 before commencing with IHC staining protocol.

Immunocytochemistry/ Immunofluorescence - Anti-PPM1G antibody [EPR13362-31] - BSA and Azide free (AB250879)
  • ICC/IF

Supplier Data

Immunocytochemistry/ Immunofluorescence - Anti-PPM1G antibody [EPR13362-31] - BSA and Azide free (AB250879)

This data was developed using ab186423, the same antibody clone in a different buffer formulation.

Immunofluorescent analysis of 4% paraformaldehyde-fixed 293T cells labeling PPM1G with ab186423 at 1/100 dilution followed by Goat anti rabbit IgG (Alexa Fluor® 555) secondary antibody at 1/200 dilution. Counter stained with Dapi.

Immunocytochemistry/ Immunofluorescence - Anti-PPM1G antibody [EPR13362-31] - BSA and Azide free (AB250879)
  • ICC/IF

Supplier Data

Immunocytochemistry/ Immunofluorescence - Anti-PPM1G antibody [EPR13362-31] - BSA and Azide free (AB250879)

This data was developed using ab186423, the same antibody clone in a different buffer formulation.

Immunofluorescent analysis of 4% paraformaldehyde-fixed HeLa cells labeling PPM1G with ab186423 at 1/500 dilution followed by Goat anti rabbit IgG (Alexa Fluor® 488) secondary antibody at 1/200 dilution (Green). Counter stained with Dapi (Blue).

Flow Cytometry (Intracellular) - Anti-PPM1G antibody [EPR13362-31] - BSA and Azide free (AB250879)
  • Flow Cyt (Intra)

Supplier Data

Flow Cytometry (Intracellular) - Anti-PPM1G antibody [EPR13362-31] - BSA and Azide free (AB250879)

This data was developed using ab186423, the same antibody clone in a different buffer formulation.

Intracellular flow cytometric analysis of 2% paraformaldehyde-fixed 293 cells labeling PPM1G with ab186423 at 1/200 dilution (red) compared to a Rabbit monoclonal IgG isotype control (green), followed by Goat anti rabbit IgG (FITC) secondary antibody at 1/150 dilution.

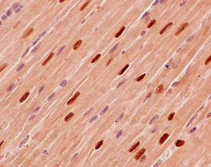
Immunohistochemistry (Formalin/PFA-fixed paraffin-embedded sections) - Anti-PPM1G antibody [EPR13362-31] - BSA and Azide free (AB250879)
  • IHC-P

Supplier Data

Immunohistochemistry (Formalin/PFA-fixed paraffin-embedded sections) - Anti-PPM1G antibody [EPR13362-31] - BSA and Azide free (AB250879)

This data was developed using ab186423, the same antibody clone in a different buffer formulation.

Immunohistochemical analysis of paraffin-embedded Mouse cardiac muscle tissue labeling PPM1G with ab186423 at 1/500 dilution followed by prediluted HRP Polymer for Rabbit IgG. Counter stained with Hematoxylin.

Perform heat mediated antigen retrieval with EDTA buffer pH 9 before commencing with IHC staining protocol.

Western blot - Anti-PPM1G antibody [EPR13362-31] - BSA and Azide free (AB250879)
  • WB

Supplier Data

Western blot - Anti-PPM1G antibody [EPR13362-31] - BSA and Azide free (AB250879)

This data was developed using ab186423, the same antibody clone in a different buffer formulation.

All lanes:

Western blot - Anti-PPM1G antibody [EPR13362-31] (<a href='/en-us/products/primary-antibodies/ppm1g-antibody-epr13362-31-ab186423'>ab186423</a>) at 1/10000 dilution

Lane 1:

293T cell lysate at 20 µg

Lane 2:

Jurkat cell lysate at 20 µg

Lane 3:

HeLa cell lysate at 20 µg

Lane 4:

MCF7 cell lysate at 20 µg

Secondary

All lanes:

Goat Anti-Rabbit IgG, (H+L), Peroxidase conjugate at 1/1000 dilution

Predicted band size: 59 kDa

false

Key facts

Host species

Rabbit

Clonality

Monoclonal

Clone number

EPR13362-31

Isotype

IgG

Carrier free

Yes

Reacts with

Mouse, Human

Applications

WB, Flow Cyt (Intra), ICC/IF, IHC-P

applications

Immunogen

The exact immunogen used to generate this antibody is proprietary information.

Reactivity data

{ "title": "Reactivity Data", "filters": { "stats": ["", "Species", "Dilution Info", "Notes"], "tabs": { "all-applications": {"fullname" : "All Applications", "shortname": "All Applications"}, "ICCIF" : {"fullname" : "Immunocytochemistry/ Immunofluorescence", "shortname":"ICC/IF"}, "WB" : {"fullname" : "Western blot", "shortname":"WB"}, "FlowCytIntra" : {"fullname" : "Flow Cytometry (Intracellular)", "shortname":"Flow Cyt (Intra)"}, "IHCP" : {"fullname" : "Immunohistochemistry (Formalin/PFA-fixed paraffin-embedded sections)", "shortname":"IHC-P"} }, "product-promise": { "all": "all", "testedAndGuaranteed": "tested", "guaranteed": "expected", "predicted": "predicted", "notRecommended": "not-recommended" } }, "values": { "Human": { "ICCIF-species-checked": "testedAndGuaranteed", "ICCIF-species-dilution-info": "", "ICCIF-species-notes": "<p></p>", "WB-species-checked": "testedAndGuaranteed", "WB-species-dilution-info": "", "WB-species-notes": "<p></p>", "FlowCytIntra-species-checked": "testedAndGuaranteed", "FlowCytIntra-species-dilution-info": "", "FlowCytIntra-species-notes": "<p></p>", "IHCP-species-checked": "testedAndGuaranteed", "IHCP-species-dilution-info": "", "IHCP-species-notes": "<p></p>" }, "Mouse": { "ICCIF-species-checked": "guaranteed", "ICCIF-species-dilution-info": "", "ICCIF-species-notes": "", "WB-species-checked": "guaranteed", "WB-species-dilution-info": "", "WB-species-notes": "", "FlowCytIntra-species-checked": "guaranteed", "FlowCytIntra-species-dilution-info": "", "FlowCytIntra-species-notes": "", "IHCP-species-checked": "testedAndGuaranteed", "IHCP-species-dilution-info": "", "IHCP-species-notes": "<p></p>" }, "Rat": { "ICCIF-species-checked": "predicted", "ICCIF-species-dilution-info": "", "ICCIF-species-notes": "", "WB-species-checked": "predicted", "WB-species-dilution-info": "", "WB-species-notes": "", "FlowCytIntra-species-checked": "predicted", "FlowCytIntra-species-dilution-info": "", "FlowCytIntra-species-notes": "", "IHCP-species-checked": "predicted", "IHCP-species-dilution-info": "", "IHCP-species-notes": "" } } }

Product details

ab250879 is the carrier-free version of ab186423.

Patented technology
Our RabMAb® technology is a patented hybridoma-based technology for making rabbit monoclonal antibodies. For details on our patents, please refer to RabMAb® patents.

What are the advantages of a recombinant monoclonal antibody?
This product is a recombinant monoclonal antibody, which offers several advantages including:

  • - High batch-to-batch consistency and reproducibility
  • - Improved sensitivity and specificity
  • - Long-term security of supply
  • - Animal-free batch production

For more information, read more on recombinant antibodies.

Conjugation ready
Our carrier-free antibodies are typically supplied in a PBS-only formulation, purified and free of BSA, sodium azide and glycerol. This conjugation-ready format is designed for use with fluorochromes, metal isotopes, oligonucleotides, and enzymes, which makes them ideal for antibody labelling, functional and cell-based assays, flow-based assays (e.g. mass cytometry) and Multiplex Imaging applications.

Use our conjugation kits for antibody conjugates that are ready-to-use in as little as 20 minutes with 1 minute hands-on-time and 100% antibody recovery: available for fluorescent dyes, HRP, biotin and gold.

Compatibility
This product is compatible with the Maxpar® Antibody Labeling Kit from Fluidigm, without the need for antibody preparation. Maxpar® is a trademark of Fluidigm Canada Inc.

Properties and storage information

Form
Liquid
Storage buffer
pH: 7.2 - 7.4 Constituents: PBS
Shipped at conditions
Blue Ice
Appropriate short-term storage conditions
+4°C
Appropriate long-term storage conditions
+4°C
Storage information
Do Not Freeze

Supplementary information

This supplementary information is collated from multiple sources and compiled automatically.

PPM1G also known as protein phosphatase 1G is a member of the protein phosphatase 2C (PP2C) family. This enzyme has a molecular mass of approximately 58 kDa. It localizes mainly in the nucleus and is expressed in various tissues including the brain testis and skeletal muscle. PPM1G functions as a serine/threonine phosphatase removing phosphate groups from target proteins and playing a role in the regulation of cellular stress responses and cell cycle progression.
Biological function summary

PPM1G contributes to several cellular functions by interacting with different substrates. As a component of the cellular machinery it is involved in processes such as RNA processing and regulation of mitosis. The enzyme participates in dephosphorylation events critical for the assembly and disassembly of the spliceosome complex which is important for accurate mRNA splicing. PPM1G's activity helps maintain the proper function of these cellular processes ensuring the stability and output of gene expression.

Pathways

Several significant cellular activities are influenced by PPM1G's regulatory mechanisms. It is implicated in the mitogen-activated protein kinase (MAPK) signaling pathway and the cell cycle regulation pathway. These pathways are vital for controlling cell growth and division. In these contexts PPM1G interacts with various other proteins such as p53 and cyclin-dependent kinases (CDKs) linking it to cell cycle checkpoints and stress responses. These interactions allow PPM1G to regulate and coordinate cellular responses to external and internal signals.

PPM1G has connections with illnesses like cancer and neurodegenerative diseases. In cancer its role in cell cycle regulation can affect tumor growth and progression often depending on its interactions with proteins like CDK. In neurodegenerative disorders PPM1G might play a part due to its involvement in RNA processing and protein dephosphorylation processes which are critical for neuron function. Any dysregulation in these interactions may contribute to disease pathology making PPM1G a point of interest for understanding and potentially treating these conditions.

Product protocols

For this product, it's our understanding that no specific protocols are required. You can visit:

Product promise

We are committed to supporting your work with high-quality reagents, and we're here for you every step of the way. In the unlikely event that one of our products does not perform as expected, you're protected by our Product Promise.
For full details, please see our Terms & Conditions

Please note: All products are 'FOR RESEARCH USE ONLY. NOT FOR USE IN DIAGNOSTIC OR THERAPEUTIC PROCEDURES'.

For licensing inquiries, please contact partnerships@abcam.com