JavaScript is disabled in your browser. Please enable JavaScript to view this website.
AB239844

Anti-PPP1CA + PPP1CB antibody [EP1511Y] - BSA and Azide free

Be the first to review this product! Submit a review

|

(1 Publication)

Rabbit Recombinant Monoclonal PPP1A/PPP1CA antibody. Carrier free. Suitable for IP, ICC/IF, Flow Cyt (Intra), IHC-P, WB and reacts with Human, Mouse, Rat samples. Cited in 1 publication.

View Alternative Names

PPP1A, PPP1CA, Serine/threonine-protein phosphatase PP1-alpha catalytic subunit, PP-1A

5 Images
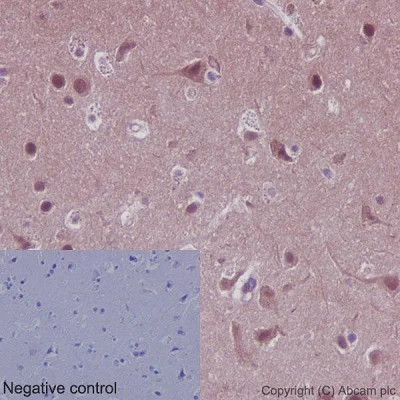
Immunohistochemistry (Formalin/PFA-fixed paraffin-embedded sections) - Anti-PPP1CA + PPP1CB antibody [EP1511Y] - BSA and Azide free (AB239844)
  • IHC-P

Unknown

Immunohistochemistry (Formalin/PFA-fixed paraffin-embedded sections) - Anti-PPP1CA + PPP1CB antibody [EP1511Y] - BSA and Azide free (AB239844)

ab52619 staining PP1CA + 1CB in Human cerebrum cortex tissue sections by Immunohistochemistry (IHC-P - paraformaldehyde-fixed, paraffin-embedded sections). Tissue was fixed and paraffin-embedded, antigen retrieval was by heat mediation in Tris/EDTA buffer pH9. Samples were incubated with primary antibody (1/50). An undiluted HRP-conjugated mouse anti-rabbit IgG was used as the secondary antibody. Tissue counterstained with Hematoxylin. PBS was used in the negative control rather than the Primary antibody.

This data was developed using the same antibody clone in a different buffer formulation containing PBS, BSA, glycerol, and sodium azide (ab52619).

Immunocytochemistry/ Immunofluorescence - Anti-PPP1CA + PPP1CB antibody [EP1511Y] - BSA and Azide free (AB239844)
  • ICC/IF

Unknown

Immunocytochemistry/ Immunofluorescence - Anti-PPP1CA + PPP1CB antibody [EP1511Y] - BSA and Azide free (AB239844)

ab52619 staining PPP1CA + 1CB in the HepG2 cell line by ICC/IF (Immunocytochemistry/immunofluorescence). Cells were fixed with 4% Paraformaldehyde permeabilized with 0.1% Triton X-100. Samples were incubated with primary antibody (1/50). ab150077(1/500) an Alexa Fluor®488-conjugated Goat anti-rabbit IgG was used as the secondary antibody. Nuclei were counterstained with DAPI.

This data was developed using the same antibody clone in a different buffer formulation containing PBS, BSA, glycerol, and sodium azide (ab52619).

Flow Cytometry (Intracellular) - Anti-PPP1CA + PPP1CB antibody [EP1511Y] - BSA and Azide free (AB239844)
  • Flow Cyt (Intra)

Unknown

Flow Cytometry (Intracellular) - Anti-PPP1CA + PPP1CB antibody [EP1511Y] - BSA and Azide free (AB239844)

Overlay histogram showing HeLa cells stained with ab52619, unpurified (red line). The cells were fixed with 80% methanol (5 min) and then permeabilized with 0.1% PBS-Tween for 20 min. The cells were then incubated in 1x PBS / 10% normal goat serum / 0.3M glycine to block non-specific protein-protein interactions followed by the antibody (ab52619, 1/100 dilution) for 30 min at 22°C. The secondary antibody used was DyLight® 488 goat anti-rabbit IgG (H+L) (ab96899) at 1/500 dilution for 30 min at 22°C. Isotype control antibody (black line) was rabbit IgG (monoclonal) (1μg/1x106 cells) used under the same conditions. Acquisition of >5,000 events was performed.

This data was developed using the same antibody clone in a different buffer formulation containing PBS, BSA, glycerol, and sodium azide (ab52619).

Flow Cytometry (Intracellular) - Anti-PPP1CA + PPP1CB antibody [EP1511Y] - BSA and Azide free (AB239844)
  • Flow Cyt (Intra)

Unknown

Flow Cytometry (Intracellular) - Anti-PPP1CA + PPP1CB antibody [EP1511Y] - BSA and Azide free (AB239844)

Overlay histogram showing HeLa cells stained with ab52619 (red line) at 1/150 dilution. The cells were fixed with 80% methanol. The secondary antibody used was a FITC conjugated goat anti-rabbit IgG at 1/150 dilution. Isotype control antibody (black line) was rabbit monoclonal IgG used under the same conditions. Cells also incubated without primary antibody and secondary antibody (blue line)

This data was developed using the same antibody clone in a different buffer formulation containing PBS, BSA, glycerol, and sodium azide (ab52619).

Immunoprecipitation - Anti-PPP1CA + PPP1CB antibody [EP1511Y] - BSA and Azide free (AB239844)
  • IP

Unknown

Immunoprecipitation - Anti-PPP1CA + PPP1CB antibody [EP1511Y] - BSA and Azide free (AB239844)

ab52619 (purified) at 1/30 immunoprecipitating PPP1CA + 1CB in Jurkat cell lysate. For western blotting, a HRP-conjugated Goat anti-rabbit IgG, specific to the non-reduced form of IgG was used as the secondary antibody (1/1000).

Blocking buffer and concentration : 5% NFDM/TBST.

Diluting buffer and concentration : 5% NFDM /TBST.

This data was developed using the same antibody clone in a different buffer formulation containing PBS, BSA, glycerol, and sodium azide (ab52619).

All lanes:

Immunoprecipitation - Anti-PPP1CA + PPP1CB antibody [EP1511Y] (<a href='/en-us/products/primary-antibodies/ppp1ca-ppp1cb-antibody-ep1511y-ab52619'>ab52619</a>)

Predicted band size: 37 kDa

false

  • Unconjugated

    Anti-PPP1CA + PPP1CB antibody [EP1511Y]

  • HRP

    HRP Anti-PPP1CA + PPP1CB antibody [EP1511Y]

Key facts

Host species

Rabbit

Clonality

Monoclonal

Clone number

EP1511Y

Isotype

IgG

Carrier free

Yes

Reacts with

Mouse, Rat, Human

Applications

IHC-P, ICC/IF, IP, Flow Cyt (Intra), WB

applications

Immunogen

The exact immunogen used to generate this antibody is proprietary information.

Specificity

The immunogen for this antibody is 100% homologous with Human PPP1CA and PPP1CB

Reactivity data

{ "title": "Reactivity Data", "filters": { "stats": ["", "Species", "Dilution Info", "Notes"], "tabs": { "all-applications": {"fullname" : "All Applications", "shortname": "All Applications"}, "IP" : {"fullname" : "Immunoprecipitation", "shortname":"IP"}, "ICCIF" : {"fullname" : "Immunocytochemistry/ Immunofluorescence", "shortname":"ICC/IF"}, "FlowCytIntra" : {"fullname" : "Flow Cytometry (Intracellular)", "shortname":"Flow Cyt (Intra)"}, "IHCP" : {"fullname" : "Immunohistochemistry (Formalin/PFA-fixed paraffin-embedded sections)", "shortname":"IHC-P"}, "WB" : {"fullname" : "Western blot", "shortname":"WB"} }, "product-promise": { "all": "all", "testedAndGuaranteed": "tested", "guaranteed": "expected", "predicted": "predicted", "notRecommended": "not-recommended" } }, "values": { "Human": { "IP-species-checked": "testedAndGuaranteed", "IP-species-dilution-info": "", "IP-species-notes": "<p></p>", "ICCIF-species-checked": "testedAndGuaranteed", "ICCIF-species-dilution-info": "", "ICCIF-species-notes": "<p></p>", "FlowCytIntra-species-checked": "testedAndGuaranteed", "FlowCytIntra-species-dilution-info": "", "FlowCytIntra-species-notes": "<p><a href='/en-us/products/primary-antibodies/rabbit-igg-monoclonal-epr25a-isotype-control-low-endotoxin-azide-free-ab199376'>ab199376</a> - Rabbit monoclonal IgG, is suitable for use as an isotype control with this antibody.</p>", "IHCP-species-checked": "testedAndGuaranteed", "IHCP-species-dilution-info": "", "IHCP-species-notes": "<p></p>", "WB-species-checked": "testedAndGuaranteed", "WB-species-dilution-info": "", "WB-species-notes": "<p></p>" }, "Mouse": { "IP-species-checked": "guaranteed", "IP-species-dilution-info": "", "IP-species-notes": "", "ICCIF-species-checked": "guaranteed", "ICCIF-species-dilution-info": "", "ICCIF-species-notes": "", "FlowCytIntra-species-checked": "guaranteed", "FlowCytIntra-species-dilution-info": "", "FlowCytIntra-species-notes": "", "IHCP-species-checked": "guaranteed", "IHCP-species-dilution-info": "", "IHCP-species-notes": "", "WB-species-checked": "testedAndGuaranteed", "WB-species-dilution-info": "", "WB-species-notes": "<p></p>" }, "Rat": { "IP-species-checked": "guaranteed", "IP-species-dilution-info": "", "IP-species-notes": "", "ICCIF-species-checked": "guaranteed", "ICCIF-species-dilution-info": "", "ICCIF-species-notes": "", "FlowCytIntra-species-checked": "guaranteed", "FlowCytIntra-species-dilution-info": "", "FlowCytIntra-species-notes": "", "IHCP-species-checked": "guaranteed", "IHCP-species-dilution-info": "", "IHCP-species-notes": "", "WB-species-checked": "testedAndGuaranteed", "WB-species-dilution-info": "", "WB-species-notes": "<p></p>" } } }

Product details

ab239844 is the carrier-free version of ab52619.

Patented technology
Our RabMAb® technology is a patented hybridoma-based technology for making rabbit monoclonal antibodies. For details on our patents, please refer to RabMAb® patents.

What are the advantages of a recombinant monoclonal antibody?
This product is a recombinant monoclonal antibody, which offers several advantages including:

  • - High batch-to-batch consistency and reproducibility
  • - Improved sensitivity and specificity
  • - Long-term security of supply
  • - Animal-free batch production

For more information, read more on recombinant antibodies.

Conjugation ready
Our carrier-free antibodies are typically supplied in a PBS-only formulation, purified and free of BSA, sodium azide and glycerol. This conjugation-ready format is designed for use with fluorochromes, metal isotopes, oligonucleotides, and enzymes, which makes them ideal for antibody labelling, functional and cell-based assays, flow-based assays (e.g. mass cytometry) and Multiplex Imaging applications.

Use our conjugation kits for antibody conjugates that are ready-to-use in as little as 20 minutes with 1 minute hands-on-time and 100% antibody recovery: available for fluorescent dyes, HRP, biotin and gold.

Compatibility
This product is compatible with the Maxpar® Antibody Labeling Kit from Fluidigm, without the need for antibody preparation. Maxpar® is a trademark of Fluidigm Canada Inc.

Properties and storage information

Form
Liquid
Purification technique
Affinity purification Protein A
Storage buffer
pH: 7.2 - 7.4 Constituents: PBS
Shipped at conditions
Blue Ice
Appropriate short-term storage conditions
+4°C
Appropriate long-term storage conditions
+4°C
Storage information
Do Not Freeze

Supplementary information

This supplementary information is collated from multiple sources and compiled automatically.

The protein targets PPP1CA and PPP1CB also known as protein phosphatase 1 catalytic subunits alpha and beta function as serine/threonine phosphatases. They both play roles in a range of cellular processes. The molecular weight of PPP1CA is approximately 37 kDa while PPP1CB is around 38 kDa. These phosphatases express widely across various tissues including the brain muscle and liver contributing to their involvement in diverse cellular functions. Their distribution suggests a broad range of activities across different physiological systems.
Biological function summary

Protein phosphatase 1 catalytic subunits like PPP1CA and PPP1CB regulate important processes such as cell division and glycogen metabolism. These subunits typically are part of larger multiprotein complexes allowing for specific substrate targeting. By dephosphorylating specific proteins they act as regulatory signals within cellular systems influencing numerous biochemical pathways and responses. In neuronal tissues for example these phosphatases impact learning and memory by regulating synaptic plasticity through dephosphorylation cycles.

Pathways

These phosphatase subunits engage in the MAP kinase and PI3K-Akt signaling pathways. In the MAP kinase pathway they interact with proteins such as ERK helping regulate cell proliferation and differentiation. In the PI3K-Akt pathway they modulate the activity of key components influencing processes like cell survival and growth. The regulatory function of PPP1CA and PPP1CB within these pathways facilitates critical cellular responses to various extracellular signals thereby affecting the overall cellular physiology.

Alterations in PPP1CA and PPP1CB activity have links to several health concerns including cancer and diabetes. In certain cancers abnormal expression or mutation of these phosphatases affects cell cycle control leading to unchecked cell growth. In diabetes PPP1CA and PPP1CB influence glycogen metabolism where their dysregulation contributes to impaired glucose homeostasis. These targets connect to other proteins like GSK-3 in cancer and AKT1 in diabetes highlighting their diverse interactions and potential as targets for therapeutic intervention.

Product protocols

For this product, it's our understanding that no specific protocols are required. You can visit:

Target data

Protein phosphatase that associates with over 200 regulatory proteins to form highly specific holoenzymes which dephosphorylate hundreds of biological targets. Protein phosphatase 1 (PP1) is essential for cell division, and participates in the regulation of glycogen metabolism, muscle contractility and protein synthesis. Involved in regulation of ionic conductances and long-term synaptic plasticity. May play an important role in dephosphorylating substrates such as the postsynaptic density-associated Ca(2+)/calmodulin dependent protein kinase II. Component of the PTW/PP1 phosphatase complex, which plays a role in the control of chromatin structure and cell cycle progression during the transition from mitosis into interphase. Regulates NEK2 function in terms of kinase activity and centrosome number and splitting, both in the presence and absence of radiation-induced DNA damage. Regulator of neural tube and optic fissure closure, and enteric neural crest cell (ENCCs) migration during development. In balance with CSNK1D and CSNK1E, determines the circadian period length, through the regulation of the speed and rhythmicity of PER1 and PER2 phosphorylation. May dephosphorylate CSNK1D and CSNK1E. Dephosphorylates the 'Ser-418' residue of FOXP3 in regulatory T-cells (Treg) from patients with rheumatoid arthritis, thereby inactivating FOXP3 and rendering Treg cells functionally defective (PubMed : 23396208). Dephosphorylates CENPA (PubMed : 25556658). Dephosphorylates the 'Ser-139' residue of ATG16L1 causing dissociation of ATG12-ATG5-ATG16L1 complex, thereby inhibiting autophagy (PubMed : 26083323). Together with PPP1CC (PP1-gamma subunit), dephosphorylates IFIH1/MDA5 and RIG-I leading to their activation and a functional innate immune response (PubMed : 23499489). Core component of the SHOC2-MRAS-PP1c (SMP) holophosphatase complex that regulates the MAPK pathway activation (PubMed : 35768504, PubMed : 35830882, PubMed : 35831509, PubMed : 36175670). The SMP complex specifically dephosphorylates the inhibitory phosphorylation at 'Ser-259' of RAF1 kinase, 'Ser-365' of BRAF kinase and 'Ser-214' of ARAF kinase, stimulating their kinase activities (PubMed : 35768504, PubMed : 35830882, PubMed : 35831509, PubMed : 36175670). The SMP complex enhances the dephosphorylation activity and substrate specificity of PP1c (PubMed : 35768504, PubMed : 36175670).. (Microbial infection) Necessary for alphaviruses replication.
See full target information PPP1CA

Additional targets

PPP1CB

Publications (1)

Recent publications for all applications. Explore the full list and refine your search

Journal of nanobiotechnology 20:159 PubMed35351151

2022

SPIONs mediated magnetic actuation promotes nerve regeneration by inducing and maintaining repair-supportive phenotypes in Schwann cells.

Applications

Unspecified application

Species

Unspecified reactive species

Ting Liu,Yang Wang,Laijin Lu,Yi Liu
View all publications

Product promise

We are committed to supporting your work with high-quality reagents, and we're here for you every step of the way. In the unlikely event that one of our products does not perform as expected, you're protected by our Product Promise.
For full details, please see our Terms & Conditions

Please note: All products are 'FOR RESEARCH USE ONLY. NOT FOR USE IN DIAGNOSTIC OR THERAPEUTIC PROCEDURES'.

For licensing inquiries, please contact partnerships@abcam.com