JavaScript is disabled in your browser. Please enable JavaScript to view this website.
AB284701

Anti-PPP1CB antibody [EP1804Y] - BSA and Azide free

Be the first to review this product! Submit a review

|

(0 Publication)

Rabbit Recombinant Monoclonal PPP1CB antibody. Carrier free. Suitable for ICC/IF, IP, WB, IHC-P, Flow Cyt (Intra) and reacts with Human, Mouse, Rat samples.

View Alternative Names

Serine/threonine-protein phosphatase PP1-beta catalytic subunit, PP-1B, PPP1CD, PPP1CB

13 Images
Western blot - Anti-PPP1CB antibody [EP1804Y] - BSA and Azide free (AB284701)
  • WB

Supplier Data

Western blot - Anti-PPP1CB antibody [EP1804Y] - BSA and Azide free (AB284701)

This data was developed using ab53315, the same antibody clone in a different buffer formulation.

All lanes:

Western blot - Anti-PPP1CB antibody [EP1804Y] (<a href='/en-us/products/primary-antibodies/ppp1cb-antibody-ep1804y-ab53315'>ab53315</a>) at 1/20000 dilution

All lanes:

Jurkat cells at 20 µg

Secondary

All lanes:

Western blot - Goat Anti-Rabbit IgG H&L (HRP) (<a href='/en-us/products/secondary-antibodies/goat-rabbit-igg-h-l-hrp-ab97051'>ab97051</a>) at 1/1000 dilution

Predicted band size: 37 kDa

false

Immunohistochemistry (Formalin/PFA-fixed paraffin-embedded sections) - Anti-PPP1CB antibody [EP1804Y] - BSA and Azide free (AB284701)
  • IHC-P

Supplier Data

Immunohistochemistry (Formalin/PFA-fixed paraffin-embedded sections) - Anti-PPP1CB antibody [EP1804Y] - BSA and Azide free (AB284701)

This data was developed using ab53315, the same antibody clone in a different buffer formulation.

Immunohistochemical analysis of paraffin-embedded sections of mouse cardiac muscle labelling PPP1CB with unpurified ab53315 at 1/250 dilution. Prediluted ImmunoHistoprobe (ready to use) HRP Polymer for Rabbit IgG was used as a secondary antibody.

Counter stain = Hematoxylin. Heat mediated antigen retrieval using EDTA buffer at pH 9 was performed.

Immunohistochemistry (Formalin/PFA-fixed paraffin-embedded sections) - Anti-PPP1CB antibody [EP1804Y] - BSA and Azide free (AB284701)
  • IHC-P

Supplier Data

Immunohistochemistry (Formalin/PFA-fixed paraffin-embedded sections) - Anti-PPP1CB antibody [EP1804Y] - BSA and Azide free (AB284701)

This data was developed using ab53315, the same antibody clone in a different buffer formulation.

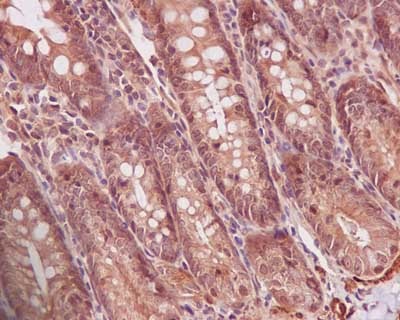
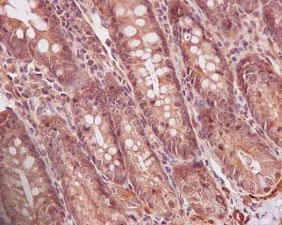
Immunohistochemical analysis of paraffin-embedded sections of rat colon labelling PPP1CB with unpurified ab53315 at 1/250 dilution. Prediluted ImmunoHistoprobe (ready to use) HRP Polymer for Rabbit IgG was used as a secondary antibody.

Counter stain = Hematoxylin. Heat mediated antigen retrieval using EDTA buffer at pH 9 was performed.

Immunohistochemistry (Formalin/PFA-fixed paraffin-embedded sections) - Anti-PPP1CB antibody [EP1804Y] - BSA and Azide free (AB284701)
  • IHC-P

Supplier Data

Immunohistochemistry (Formalin/PFA-fixed paraffin-embedded sections) - Anti-PPP1CB antibody [EP1804Y] - BSA and Azide free (AB284701)

This data was developed using ab53315, the same antibody clone in a different buffer formulation.

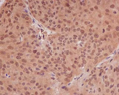
Immunohistochemical analysis of paraffin-embedded sections of human cervix carcinoma labelling PPP1CB with unpurified ab53315 at 1/250 dilution. Prediluted ImmunoHistoprobe (ready to use) HRP Polymer for Rabbit IgG was used as a secondary antibody.

Counter stain = Hematoxylin. Heat mediated antigen retrieval using EDTA buffer at pH 9 was performed.

Flow Cytometry (Intracellular) - Anti-PPP1CB antibody [EP1804Y] - BSA and Azide free (AB284701)
  • Flow Cyt (Intra)

Supplier Data

Flow Cytometry (Intracellular) - Anti-PPP1CB antibody [EP1804Y] - BSA and Azide free (AB284701)

This data was developed using ab53315, the same antibody clone in a different buffer formulation.

Flow Cytometry (Intracellular) analysis of HeLa cells labelling PPP1CB with unpurified ab53315 at 1/20 dilution. Goat anti rabbit IgG (H&L) (FITC) at 1/150 dilution was used as the secondary antibody. Isotype control = Rabbit monoclonal IgG. Fixative = 2% paraformaldehyde.

Immunocytochemistry/ Immunofluorescence - Anti-PPP1CB antibody [EP1804Y] - BSA and Azide free (AB284701)
  • ICC/IF

Lab

Immunocytochemistry/ Immunofluorescence - Anti-PPP1CB antibody [EP1804Y] - BSA and Azide free (AB284701)

This data was developed using ab53315, the same antibody clone in a different buffer formulation.

Unpurified ab53315 staining PPP1CB antibody in HeLa (human cervix adenocarcinoma) cells by ICC (Immunocytochemistry). Cells were fixed with 4% Paraformaldehyde and permeabilized with 0.1% Triton X-100. Samples were incubated with primary antibody at a dilution of 1/500. A goat anti rabbit IgG (Alexa Fluor® 488) (ab150077) was used as the secondary antibody at 1/1000 dilution.

DAPI was used as a nuclear counterstain and the negative control was PBS only.

Immunohistochemistry (Formalin/PFA-fixed paraffin-embedded sections) - Anti-PPP1CB antibody [EP1804Y] - BSA and Azide free (AB284701)
  • IHC-P

Lab

Immunohistochemistry (Formalin/PFA-fixed paraffin-embedded sections) - Anti-PPP1CB antibody [EP1804Y] - BSA and Azide free (AB284701)

This data was developed using ab53315, the same antibody clone in a different buffer formulation.

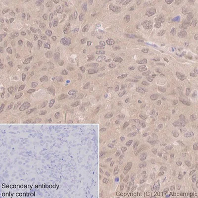
Immunohistochemistry (Formalin/PFA-fixed paraffin-embedded sections) analysis of Human cervical carcinoma tissue sections labeling PPP1CB with purified ab53315 at 1/400 dilution (1 μg/ml). Heat mediated antigen retrieval was performed using EDTA Buffer, pH 9.0. Tissue was counterstained with Hematoxylin. ImmunoHistoProbe one step HRP Polymer (ready to use) secondary antibody was used. PBS instead of the primary antibody was used as the negative control.

Immunohistochemistry (Formalin/PFA-fixed paraffin-embedded sections) - Anti-PPP1CB antibody [EP1804Y] - BSA and Azide free (AB284701)
  • IHC-P

Lab

Immunohistochemistry (Formalin/PFA-fixed paraffin-embedded sections) - Anti-PPP1CB antibody [EP1804Y] - BSA and Azide free (AB284701)

This data was developed using ab53315, the same antibody clone in a different buffer formulation.

Immunohistochemistry (Formalin/PFA-fixed paraffin-embedded sections) analysis of Mouse kidney tissue sections labeling PPP1CB with purified ab53315 at 1/400 dilution (1 μg/ml). Heat mediated antigen retrieval was performed using EDTA Buffer, pH 9.0. Tissue was counterstained with Hematoxylin. ImmunoHistoProbe one step HRP Polymer (ready to use) secondary antibody was used. PBS instead of the primary antibody was used as the negative control.

Immunocytochemistry/ Immunofluorescence - Anti-PPP1CB antibody [EP1804Y] - BSA and Azide free (AB284701)
  • ICC/IF

Lab

Immunocytochemistry/ Immunofluorescence - Anti-PPP1CB antibody [EP1804Y] - BSA and Azide free (AB284701)

This data was developed using ab53315, the same antibody clone in a different buffer formulation.

Immunocytochemistry analysis of MCF-7 (Human breast adenocarcinoma epithelial cell) cells labeling PPP1CB with Purified ab53315 at 1/250 dilution (1.6μg/ml). Cells were fixed in 4% Paraformaldehyde and permeabilized with 0.1% tritonX-100. Cells were counterstained with ab195889 Anti-alpha Tubulin antibody [DM1A] - Microtubule Marker (Alexa Fluor® 594) 1/200 (2.5 μg/ml). ab150077 Goat anti rabbit IgG(Alexa Fluor® 488) was used as the secondary antibody at 1/1000 dilution. DAPI nuclear counterstain. PBS instead of the primary antibody was used as the secondary antibody only control.

Immunohistochemistry (Formalin/PFA-fixed paraffin-embedded sections) - Anti-PPP1CB antibody [EP1804Y] - BSA and Azide free (AB284701)
  • IHC-P

Lab

Immunohistochemistry (Formalin/PFA-fixed paraffin-embedded sections) - Anti-PPP1CB antibody [EP1804Y] - BSA and Azide free (AB284701)

This data was developed using ab53315, the same antibody clone in a different buffer formulation.

Immunohistochemistry (Formalin/PFA-fixed paraffin-embedded sections) analysis of Rat kidney tissue sections labeling PPP1CB with purified ab53315 at 1/400 dilution (1 μg/ml). Heat mediated antigen retrieval was performed using EDTA Buffer, pH 9.0. Tissue was counterstained with Hematoxylin. ImmunoHistoProbe one step HRP Polymer (ready to use) secondary antibody was used. PBS instead of the primary antibody was used as the negative control.

Flow Cytometry (Intracellular) - Anti-PPP1CB antibody [EP1804Y] - BSA and Azide free (AB284701)
  • Flow Cyt (Intra)

Lab

Flow Cytometry (Intracellular) - Anti-PPP1CB antibody [EP1804Y] - BSA and Azide free (AB284701)

This data was developed using ab53315, the same antibody clone in a different buffer formulation.

Intracellular Flow Cytometry analysis of HeLa (Human cervix adenocarcinoma epithelial cell) cells labeling PPP1CB with purified ab53315 at 1/40 dilution (10 ug/ml) (red). Cells were fixed with 4% Paraformaldehyde. A Goat anti rabbit IgG (Alexa Fluorr® 488) secondary antibody was used at 1/2000 dilution. Isotype control - 90% methanol. Unlabeled control - Rabbit monoclonal IgG (Black). Cell without incubation with primary antibody and secondary antibody (Blue).

Immunoprecipitation - Anti-PPP1CB antibody [EP1804Y] - BSA and Azide free (AB284701)
  • IP

Lab

Immunoprecipitation - Anti-PPP1CB antibody [EP1804Y] - BSA and Azide free (AB284701)

This data was developed using ab53315, the same antibody clone in a different buffer formulation.

ab53315 (purified) at 1/100 dilution (2ug) immunoprecipitating Protein phosphatase 1 beta in Human fetal brain lysate.

Lane 1 (input) : Human fetal brain lysate 10ug

Lane 2 (+) : ab53315 & Human fetal brain lysate

Lane 3 (-) : Rabbit monoclonal IgG (ab172730) instead of ab53315 in Human fetal brain lysate

For western blotting, VeriBlot for IP Detection Reagent (HRP) (ab131366) was used for detection at 1/1000 dilution.

Blocking and diluting buffer : 5% NFDM/TBST.

All lanes:

Immunoprecipitation - Anti-PPP1CB antibody [EP1804Y] (<a href='/en-us/products/primary-antibodies/ppp1cb-antibody-ep1804y-ab53315'>ab53315</a>)

Predicted band size: 37 kDa

Observed band size: 38 kDa

false

Western blot - Anti-PPP1CB antibody [EP1804Y] - BSA and Azide free (AB284701)
  • WB

Lab

Western blot - Anti-PPP1CB antibody [EP1804Y] - BSA and Azide free (AB284701)

This data was developed using ab53315, the same antibody clone in a different buffer formulation.

Blocking and diluting buffer : 5% NFDM/TBST

All lanes:

Western blot - Anti-PPP1CB antibody [EP1804Y] (<a href='/en-us/products/primary-antibodies/ppp1cb-antibody-ep1804y-ab53315'>ab53315</a>) at 1/50000 dilution

Lane 1:

Jurkat (Human T cell leukemia T lymphocyte) whole cell lysates at 20 µg

Lane 2:

Mouse brain lysates at 20 µg

Lane 3:

Rat brain lysates at 20 µg

Secondary

All lanes:

Western blot - Goat Anti-Rabbit IgG H&L (HRP) (<a href='/en-us/products/secondary-antibodies/goat-rabbit-igg-h-l-hrp-ab97051'>ab97051</a>) at 1/20000 dilution

Predicted band size: 37 kDa

Observed band size: 38 kDa

false

  • Unconjugated

    Anti-PPP1CB antibody [EP1804Y]

  • 617 Alexa Fluor® 594

    Alexa Fluor® 594 Anti-Protein Phosphatase 1 beta antibody [EP1804Y]

  • 519 Alexa Fluor® 488

    Alexa Fluor® 488 Anti-Protein Phosphatase 1 beta antibody [EP1804Y]

  • 665 Alexa Fluor® 647

    Alexa Fluor® 647 Anti-Protein Phosphatase 1 beta antibody [EP1804Y]

  • 565 Alexa Fluor® 555

    Alexa Fluor® 555 Anti-Protein Phosphatase 1 beta antibody [EP1804Y]

  • 603 Alexa Fluor® 568

    Alexa Fluor® 568 Anti-PPP1CB antibody [EP1804Y]

  • 775 Alexa Fluor® 750

    Alexa Fluor® 750 Anti-PPP1CB antibody [EP1804Y]

  • 578 PE

    PE Anti-Protein Phosphatase 1 beta antibody [EP1804Y]

  • 660 APC

    APC Anti-Protein Phosphatase 1 beta antibody [EP1804Y]

  • HRP

    HRP Anti-Protein Phosphatase 1 beta antibody [EP1804Y]

Key facts

Host species

Rabbit

Clonality

Monoclonal

Clone number

EP1804Y

Isotype

IgG

Carrier free

Yes

Reacts with

Mouse, Human, Rat

Applications

WB, IHC-P, ICC/IF, IP, Flow Cyt (Intra)

applications

Immunogen

The exact immunogen used to generate this antibody is proprietary information.

Reactivity data

{ "title": "Reactivity Data", "filters": { "stats": ["", "Species", "Dilution Info", "Notes"], "tabs": { "all-applications": {"fullname" : "All Applications", "shortname": "All Applications"}, "ICCIF" : {"fullname" : "Immunocytochemistry/ Immunofluorescence", "shortname":"ICC/IF"}, "IP" : {"fullname" : "Immunoprecipitation", "shortname":"IP"}, "WB" : {"fullname" : "Western blot", "shortname":"WB"}, "IHCP" : {"fullname" : "Immunohistochemistry (Formalin/PFA-fixed paraffin-embedded sections)", "shortname":"IHC-P"}, "FlowCytIntra" : {"fullname" : "Flow Cytometry (Intracellular)", "shortname":"Flow Cyt (Intra)"} }, "product-promise": { "all": "all", "testedAndGuaranteed": "tested", "guaranteed": "expected", "predicted": "predicted", "notRecommended": "not-recommended" } }, "values": { "Human": { "ICCIF-species-checked": "testedAndGuaranteed", "ICCIF-species-dilution-info": "", "ICCIF-species-notes": "<p></p>", "IP-species-checked": "testedAndGuaranteed", "IP-species-dilution-info": "", "IP-species-notes": "<p></p>", "WB-species-checked": "testedAndGuaranteed", "WB-species-dilution-info": "", "WB-species-notes": "<p></p>", "IHCP-species-checked": "testedAndGuaranteed", "IHCP-species-dilution-info": "", "IHCP-species-notes": "<p></p> Perform heat-mediated antigen retrieval with Tris/EDTA buffer pH 9.0 before commencing with IHC staining protocol.", "FlowCytIntra-species-checked": "testedAndGuaranteed", "FlowCytIntra-species-dilution-info": "", "FlowCytIntra-species-notes": "<p></p>" }, "Mouse": { "ICCIF-species-checked": "guaranteed", "ICCIF-species-dilution-info": "", "ICCIF-species-notes": "", "IP-species-checked": "guaranteed", "IP-species-dilution-info": "", "IP-species-notes": "", "WB-species-checked": "testedAndGuaranteed", "WB-species-dilution-info": "", "WB-species-notes": "<p></p>", "IHCP-species-checked": "testedAndGuaranteed", "IHCP-species-dilution-info": "", "IHCP-species-notes": "<p></p> Perform heat-mediated antigen retrieval with Tris/EDTA buffer pH 9.0 before commencing with IHC staining protocol.", "FlowCytIntra-species-checked": "guaranteed", "FlowCytIntra-species-dilution-info": "", "FlowCytIntra-species-notes": "" }, "Rat": { "ICCIF-species-checked": "guaranteed", "ICCIF-species-dilution-info": "", "ICCIF-species-notes": "", "IP-species-checked": "guaranteed", "IP-species-dilution-info": "", "IP-species-notes": "", "WB-species-checked": "testedAndGuaranteed", "WB-species-dilution-info": "", "WB-species-notes": "<p></p>", "IHCP-species-checked": "testedAndGuaranteed", "IHCP-species-dilution-info": "", "IHCP-species-notes": "<p></p> Perform heat-mediated antigen retrieval with Tris/EDTA buffer pH 9.0 before commencing with IHC staining protocol.", "FlowCytIntra-species-checked": "guaranteed", "FlowCytIntra-species-dilution-info": "", "FlowCytIntra-species-notes": "" } } }

Product details

ab284701 is the carrier-free version of ab53315

Patented technology
Our RabMAb® technology is a patented hybridoma-based technology for making rabbit monoclonal antibodies. For details on our patents, please refer to RabMAb® patents.

Conjugation ready
Our carrier-free antibodies are typically supplied in a PBS-only formulation, purified and free of BSA, sodium azide and glycerol. This conjugation-ready format is designed for use with fluorochromes, metal isotopes, oligonucleotides, and enzymes, which makes them ideal for antibody labelling, functional and cell-based assays, flow-based assays (e.g. mass cytometry) and Multiplex Imaging applications.

Use our conjugation kits for antibody conjugates that are ready-to-use in as little as 20 minutes with 1 minute hands-on-time and 100% antibody recovery: available for fluorescent dyes, HRP, biotin and gold.

Compatibility
This product is compatible with the Maxpar® Antibody Labeling Kit from Fluidigm, without the need for antibody preparation. Maxpar® is a trademark of Fluidigm Canada Inc.

Properties and storage information

Form
Liquid
Purification technique
Affinity purification Protein A
Storage buffer
pH: 7.2 - 7.4 Constituents: 100% PBS
Shipped at conditions
Blue Ice
Appropriate short-term storage conditions
+4°C
Appropriate long-term storage conditions
+4°C

Supplementary information

This supplementary information is collated from multiple sources and compiled automatically.

PPP1CB also known as Protein Phosphatase 1 Catalytic Subunit Beta is a member of the catalytic subunit of Protein Phosphatase 1 (PP1). It has an approximate mass of 37 kDa. PPP1CB is expressed in various tissues throughout the human body including the heart brain and skeletal muscle. This phosphatase is primarily involved in the dephosphorylation of proteins a critical function to regulate cellular processes. As a catalytic subunit PPP1CB mediates various signaling cascades by removing phosphate groups from target proteins.
Biological function summary

PPP1CB plays key roles in cell division signal transduction and muscle contraction. It acts as part of a larger complex interacting with a variety of regulatory proteins and substrates to fine-tune cellular activities. Through dephosphorylation PPP1CB aids in the transition between different phases of cell cycles impacting cellular growth and proliferation. It is also involved in glycogen metabolism where it removes phosphate groups from glycogen phosphorylase ensuring proper energy balance in cells.

Pathways

PPP1CB participates significantly in the TGF-beta signaling and Wnt signaling pathways. It interacts with several proteins such as SMADs in the TGF-beta pathway contributing to the regulation of transcription and cellular responses to growth factors. In the Wnt signaling pathway PPP1CB deactivates key kinase members thereby modulating cell fate decisions and embryonic development. These pathways underline the phosphate turnover that PPP1CB controls impacting various cellular functions.

PPP1CB has been associated with cancer development and cardiovascular diseases. It contributes to oncogenesis when its regulatory role in cell cycle controls is disrupted leading to unchecked cell proliferation. Alterations in PPP1CB activity have also been linked to heart diseases where improper dephosphorylation affects muscle contraction and cardiac function. In cancer interactions with proteins such as PP2A alter the signaling balance while in heart disease proteins like PLN may connect to aberrant PPP1CB function emphasizing its critical role in maintaining cellular health.

Product protocols

For this product, it's our understanding that no specific protocols are required. You can visit:

Target data

Protein phosphatase that associates with over 200 regulatory proteins to form highly specific holoenzymes which dephosphorylate hundreds of biological targets. Protein phosphatase (PP1) is essential for cell division, it participates in the regulation of glycogen metabolism, muscle contractility and protein synthesis. Involved in regulation of ionic conductances and long-term synaptic plasticity. Component of the PTW/PP1 phosphatase complex, which plays a role in the control of chromatin structure and cell cycle progression during the transition from mitosis into interphase. In balance with CSNK1D and CSNK1E, determines the circadian period length, through the regulation of the speed and rhythmicity of PER1 and PER2 phosphorylation. May dephosphorylate CSNK1D and CSNK1E. Dephosphorylates the 'Ser-418' residue of FOXP3 in regulatory T-cells (Treg) from patients with rheumatoid arthritis, thereby inactivating FOXP3 and rendering Treg cells functionally defective (PubMed : 23396208). Core component of the SHOC2-MRAS-PP1c (SMP) holophosphatase complex that regulates the MAPK pathway activation (PubMed : 35768504, PubMed : 35831509, PubMed : 36175670). The SMP complex specifically dephosphorylates the inhibitory phosphorylation at 'Ser-259' of RAF1 kinase, 'Ser-365' of BRAF kinase and 'Ser-214' of ARAF kinase, stimulating their kinase activities (PubMed : 35768504, PubMed : 35831509, PubMed : 36175670). The SMP complex enhances the dephosphorylation activity and substrate specificity of PP1c (PubMed : 35768504, PubMed : 36175670).
See full target information PPP1CB

Product promise

We are committed to supporting your work with high-quality reagents, and we're here for you every step of the way. In the unlikely event that one of our products does not perform as expected, you're protected by our Product Promise.
For full details, please see our Terms & Conditions

Associated Products

Select an associated product type
Alternative Product
Primary Antibodies

AB305417

PE Anti-Protein Phosphatase 1 beta antibody [EP1804Y]

primary-antibodies

pe-protein-phosphatase-1-beta-antibody-ep1804y-ab305417

0

(0 reviews)

Alternative Product
Primary Antibodies

AB305418

APC Anti-Protein Phosphatase 1 beta antibody [EP1804Y]

primary-antibodies

apc-protein-phosphatase-1-beta-antibody-ep1804y-ab305418

0

(0 reviews)

Alternative Product
Primary Antibodies

AB305419

HRP Anti-Protein Phosphatase 1 beta antibody [EP1804Y]

primary-antibodies

hrp-protein-phosphatase-1-beta-antibody-ep1804y-ab305419

0

(0 reviews)

Please note: All products are 'FOR RESEARCH USE ONLY. NOT FOR USE IN DIAGNOSTIC OR THERAPEUTIC PROCEDURES'.

For licensing inquiries, please contact partnerships@abcam.com