JavaScript is disabled in your browser. Please enable JavaScript to view this website.
AB317832

Anti-Ppp1r17 antibody [EPR29124-227] - BSA and Azide free

  • BOND RX™ Validated
  • Recombinant
  • Advanced Validation
  • RabMAb
  • What is this?

Be the first to review this product! Submit a review

|

(0 Publication)

Rabbit Recombinant Monoclonal PPR17 antibody. Carrier free. Suitable for IHC-P, WB, IP, IHC-Fr, mIHC and reacts with Mouse, Rat samples.

View Alternative Names

Gsbs, Protein phosphatase 1 regulatory subunit 17, G substrate

16 Images
Immunohistochemistry (Formalin/PFA-fixed paraffin-embedded sections) - Anti-Ppp1r17 antibody [EPR29124-227] - BSA and Azide free (AB317832)
  • IHC-P

Supplier Data

Immunohistochemistry (Formalin/PFA-fixed paraffin-embedded sections) - Anti-Ppp1r17 antibody [EPR29124-227] - BSA and Azide free (AB317832)

This data was developed using ab317831, the same antibody clone in a different buffer formulation.

Immunohistochemical analysis of paraffin-embedded Mouse cerebellum tissue labeling Ppp1r17 with ab317831 at 1/2000 (0.262 ug/ml) dilution, followed by a ready to use LeicaDS9800 (Bond™ Polymer Refine Detection).

Positive staining on mouse cerebellum (PMID : 9920894, 22340725).
The section was incubated with ab317831 for 30 mins at room temperature.
The immunostaining was performed on a Leica Biosystems BOND® RX instrument
Incubate slides with 3% Hydrogen Peroxide for 10 mins at room temperature after secondary antibody incubation to reduce the background

Counterstained with Hematoxylin.

Secondary antibody only control : Secondary antibody is a ready to use LeicaDS9800 (Bond™ Polymer Refine Detection).

Heat mediated antigen retrieval was performed with Tris-EDTA buffer (pH 9.0, Epitope Retrieval Solution2) for 20 mins

Immunohistochemistry (Formalin/PFA-fixed paraffin-embedded sections) - Anti-Ppp1r17 antibody [EPR29124-227] - BSA and Azide free (AB317832)
  • IHC-P

Supplier Data

Immunohistochemistry (Formalin/PFA-fixed paraffin-embedded sections) - Anti-Ppp1r17 antibody [EPR29124-227] - BSA and Azide free (AB317832)

This data was developed using ab317831, the same antibody clone in a different buffer formulation.

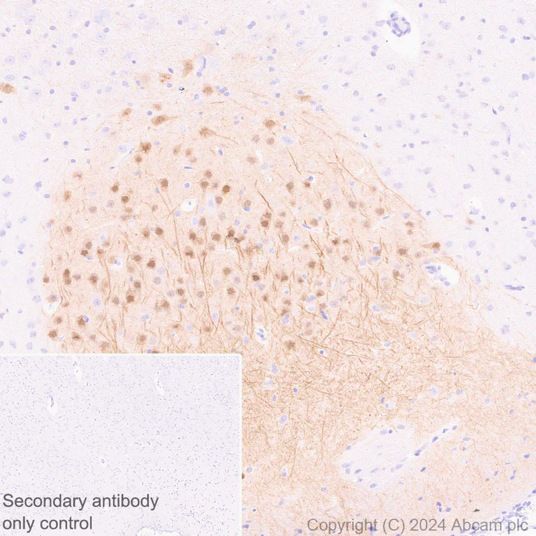
Immunohistochemical analysis of paraffin-embedded Mouse hypothalamus tissue labeling Ppp1r17 with ab317831 at 1/2000 (0.262 ug/ml) dilution, followed by a ready to use LeicaDS9800 (Bond™ Polymer Refine Detection).

Positive staining on mouse hypothalamus (PMID : 9920894, 22340725, 33753517).
The section was incubated with ab317831 for 30 mins at room temperature.
The immunostaining was performed on a Leica Biosystems BOND® RX instrument
Incubate slides with 3% Hydrogen Peroxide for 10 mins at room temperature after secondary antibody incubation to reduce the background

Counterstained with Hematoxylin.

Secondary antibody only control : Secondary antibody is a ready to use LeicaDS9800 (Bond™ Polymer Refine Detection).

Heat mediated antigen retrieval was performed with Tris-EDTA buffer (pH 9.0, Epitope Retrieval Solution2) for 20 mins

Immunohistochemistry (Formalin/PFA-fixed paraffin-embedded sections) - Anti-Ppp1r17 antibody [EPR29124-227] - BSA and Azide free (AB317832)
  • IHC-P

Supplier Data

Immunohistochemistry (Formalin/PFA-fixed paraffin-embedded sections) - Anti-Ppp1r17 antibody [EPR29124-227] - BSA and Azide free (AB317832)

This data was developed using ab317831, the same antibody clone in a different buffer formulation.

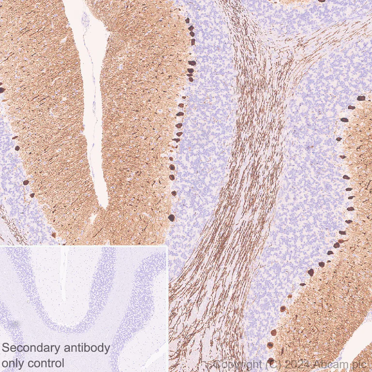
Immunohistochemical analysis of paraffin-embedded Mouse whole brain (sagittal plane) tissue labeling Ppp1r17 with ab317831 at 1/2000 (0.262 ug/ml) dilution, followed by a ready to use LeicaDS9800 (Bond™ Polymer Refine Detection).

Positive staining on cerebellum and hypothalamus of mouse whole brain section (PMID : 9920894, 22340725, 33753517).
The section was incubated with ab317831 for 30 mins at room temperature.
The immunostaining was performed on a Leica Biosystems BOND® RX instrument
Incubate slides with 3% Hydrogen Peroxide for 10 mins at room temperature after secondary antibody incubation to reduce the background

Counterstained with Hematoxylin.

Secondary antibody only control : Secondary antibody is a ready to use LeicaDS9800 (Bond™ Polymer Refine Detection).

Heat mediated antigen retrieval was performed with Tris-EDTA buffer (pH 9.0, Epitope Retrieval Solution2) for 20 mins

Immunohistochemistry (Formalin/PFA-fixed paraffin-embedded sections) - Anti-Ppp1r17 antibody [EPR29124-227] - BSA and Azide free (AB317832)
  • IHC-P

Supplier Data

Immunohistochemistry (Formalin/PFA-fixed paraffin-embedded sections) - Anti-Ppp1r17 antibody [EPR29124-227] - BSA and Azide free (AB317832)

This data was developed using ab317831, the same antibody clone in a different buffer formulation.

Immunohistochemical analysis of paraffin-embedded Rat hypothalamus tissue labeling Ppp1r17 with ab317831 at 1/2000 (0.262 ug/ml) dilution, followed by a ready to use LeicaDS9800 (Bond™ Polymer Refine Detection).

Positive staining on rat hypothalamus.
The section was incubated with ab317831 for 30 mins at room temperature.
The immunostaining was performed on a Leica Biosystems BOND® RX instrument
Incubate slides with 3% Hydrogen Peroxide for 10 mins at room temperature after secondary antibody incubation to reduce the background

Counterstained with Hematoxylin.

Secondary antibody only control : Secondary antibody is a ready to use LeicaDS9800 (Bond™ Polymer Refine Detection).

Heat mediated antigen retrieval was performed with Tris-EDTA buffer (pH 9.0, Epitope Retrieval Solution2) for 20 mins

Immunohistochemistry (Formalin/PFA-fixed paraffin-embedded sections) - Anti-Ppp1r17 antibody [EPR29124-227] - BSA and Azide free (AB317832)
  • IHC-P

Supplier Data

Immunohistochemistry (Formalin/PFA-fixed paraffin-embedded sections) - Anti-Ppp1r17 antibody [EPR29124-227] - BSA and Azide free (AB317832)

This data was developed using ab317831, the same antibody clone in a different buffer formulation.

Immunohistochemical analysis of paraffin-embedded Rat liver tissue labeling Ppp1r17 with ab317831 at 1/2000 (0.262 ug/ml) dilution, followed by a ready to use LeicaDS9800 (Bond™ Polymer Refine Detection).

Negative control : no staining on rat liver.
The section was incubated with ab317831 for 30 mins at room temperature.
The immunostaining was performed on a Leica Biosystems BOND® RX instrument
Incubate slides with 3% Hydrogen Peroxide for 10 mins at room temperature after secondary antibody incubation to reduce the background

Counterstained with Hematoxylin.

Secondary antibody only control : Secondary antibody is a ready to use LeicaDS9800 (Bond™ Polymer Refine Detection).

Heat mediated antigen retrieval was performed with Tris-EDTA buffer (pH 9.0, Epitope Retrieval Solution2) for 20 mins

Immunohistochemistry (Formalin/PFA-fixed paraffin-embedded sections) - Anti-Ppp1r17 antibody [EPR29124-227] - BSA and Azide free (AB317832)
  • IHC-P

Supplier Data

Immunohistochemistry (Formalin/PFA-fixed paraffin-embedded sections) - Anti-Ppp1r17 antibody [EPR29124-227] - BSA and Azide free (AB317832)

This data was developed using ab317831, the same antibody clone in a different buffer formulation.

Immunohistochemical analysis of paraffin-embedded Mouse liver tissue labeling Ppp1r17 with ab317831 at 1/2000 (0.262 ug/ml) dilution, followed by a ready to use LeicaDS9800 (Bond™ Polymer Refine Detection).

Negative control : no staining on mouse liver.
The section was incubated with ab317831 for 30 mins at room temperature.
The immunostaining was performed on a Leica Biosystems BOND® RX instrument
Incubate slides with 3% Hydrogen Peroxide for 10 mins at room temperature after secondary antibody incubation to reduce the background

Counterstained with Hematoxylin.

Secondary antibody only control : Secondary antibody is a ready to use LeicaDS9800 (Bond™ Polymer Refine Detection).

Heat mediated antigen retrieval was performed with Tris-EDTA buffer (pH 9.0, Epitope Retrieval Solution2) for 20 mins

Immunohistochemistry (Frozen sections) - Anti-Ppp1r17 antibody [EPR29124-227] - BSA and Azide free (AB317832)
  • IHC-Fr

Lab

Immunohistochemistry (Frozen sections) - Anti-Ppp1r17 antibody [EPR29124-227] - BSA and Azide free (AB317832)

This data was developed using ab317831, the same antibody clone in a different buffer formulation.

Immunohistochemical analysis of 4% PFA-fixed, 0.2% Triton X-100 permeabilized Mouse liver (perfused-fixed) tissue labeling Ppp1r17 with ab317831 at a 1/500 (1.046 µg/ml) dilution followed by ab150081 Goat Anti-Rabbit IgG H&L (Alexa Fluor® 488) preadsorbed at a 1/1000 (2 µg/mL) dilution.

Negative control : confocal image showing no staining on mouse liver. The nuclear counterstain was DAPI (Blue). The section was incubated with ab317831 for 60 mins at room temperature. The section was then mounted using Fluoromount®.The immunostaining was performed on a Leica Biosystems BOND® RX instrument. Image was taken with a confocal microscope (Leica-Microsystems, TCS SP8).

Heat mediated antigen retrieval using sodium citrate buffer (10mM citrate pH 6.0 + 0.05% Tween-20)

Immunohistochemistry (Frozen sections) - Anti-Ppp1r17 antibody [EPR29124-227] - BSA and Azide free (AB317832)
  • IHC-Fr

Lab

Immunohistochemistry (Frozen sections) - Anti-Ppp1r17 antibody [EPR29124-227] - BSA and Azide free (AB317832)

This data was developed using ab317831, the same antibody clone in a different buffer formulation.

Immunohistochemical analysis of 4% PFA-fixed, 0.2% Triton X-100 permeabilized Rat liver (perfused-fixed) tissue labeling Ppp1r17 with ab317831 at a 1/500 (1.046 µg/ml) dilution followed by ab150081 Goat Anti-Rabbit IgG H&L (Alexa Fluor® 488) preadsorbed at a 1/1000 (2 µg/mL) dilution.

Negative control : confocal image showing no staining on rat liver. The nuclear counterstain was DAPI (Blue). The section was incubated with ab317831 for 60 mins at room temperature. The section was then mounted using Fluoromount®.The immunostaining was performed on a Leica Biosystems BOND® RX instrument. Image was taken with a confocal microscope (Leica-Microsystems, TCS SP8).

Heat mediated antigen retrieval using sodium citrate buffer (10mM citrate pH 6.0 + 0.05% Tween-20)

Immunohistochemistry (Frozen sections) - Anti-Ppp1r17 antibody [EPR29124-227] - BSA and Azide free (AB317832)
  • IHC-Fr

Lab

Immunohistochemistry (Frozen sections) - Anti-Ppp1r17 antibody [EPR29124-227] - BSA and Azide free (AB317832)

This data was developed using ab317831, the same antibody clone in a different buffer formulation.

Immunohistochemical analysis of 4% PFA-fixed, 0.2% Triton X-100 permeabilized Rat cerebellum (perfused-fixed) tissue labeling Ppp1r17 with ab317831 at a 1/500 (1.046 µg/ml) dilution followed by ab150081 Goat Anti-Rabbit IgG H&L (Alexa Fluor® 488) preadsorbed at a 1/1000 (2 µg/mL) dilution.

Panel A : merged staining of anti-Ppp1r17 (ab317831, green), anti-NeuN (ab190565, grey) and anti-GFAP (ab201732, magenta) on rat cerebellum.
Panel B : anti-Ppp1r17 stained on rat cerebellum.
Panel C : anti-NeuN stained in neurons of rat cerebellum.
Panel D : anti-GFAP stained in astrocytes of rat cerebellum.

The section was incubated in two rounds of staining : in the order of ab317831 and ab190565, ab201732 for 1 hr at room temperature. The nuclear counterstain was DAPI (Blue). The section was then mounted using Fluoromount®.The immunostaining was performed on a Leica Biosystems BOND® RX instrument. Image was taken with a confocal microscope (Leica-Microsystems, TCS SP8).

Heat mediated antigen retrieval using sodium citrate buffer (10mM citrate pH 6.0 + 0.05% Tween-20)

Immunohistochemistry (Frozen sections) - Anti-Ppp1r17 antibody [EPR29124-227] - BSA and Azide free (AB317832)
  • IHC-Fr

Lab

Immunohistochemistry (Frozen sections) - Anti-Ppp1r17 antibody [EPR29124-227] - BSA and Azide free (AB317832)

This data was developed using ab317831, the same antibody clone in a different buffer formulation.

Immunohistochemical analysis of 4% PFA-fixed, 0.2% Triton X-100 permeabilized Mouse cerebellum (perfused-fixed) tissue labeling Ppp1r17 with ab317831 at a 1/500 (1.046 µg/ml) dilution followed by ab150081 Goat Anti-Rabbit IgG H&L (Alexa Fluor® 488) preadsorbed at a 1/1000 (2 µg/mL) dilution.

Panel A : merged staining of anti-Ppp1r17 (ab317831, green), anti-NeuN (ab190565, grey) and anti-GFAP (ab201732, magenta) on mouse cerebellum.
Panel B : anti-Ppp1r17 stained on mouse cerebellum.
Panel C : anti-NeuN stained in neurons of mouse cerebellum.
Panel D : anti-GFAP stained in astrocytes of mouse cerebellum.

The section was incubated in two rounds of staining : in the order of ab317831 and ab190565, ab201732 for 1 hr at room temperature. The nuclear counterstain was DAPI (Blue). The section was then mounted using Fluoromount®.The immunostaining was performed on a Leica Biosystems BOND® RX instrument. Image was taken with a confocal microscope (Leica-Microsystems, TCS SP8).

Heat mediated antigen retrieval using sodium citrate buffer (10mM citrate pH 6.0 + 0.05% Tween-20)

Multiplex immunohistochemistry - Anti-Ppp1r17 antibody [EPR29124-227] - BSA and Azide free (AB317832)
  • mIHC

Lab

Multiplex immunohistochemistry - Anti-Ppp1r17 antibody [EPR29124-227] - BSA and Azide free (AB317832)

This data was developed using ab317831, the same antibody clone in a different buffer formulation.

Multiplex immunohistochemistry analysis of Formalin/PFA-fixed paraffin-embedded sections of Rat cerebellum tissue staining with ab317831 at 1/2000 dilution, ab313624 at 1/4000 dilution, ab307710 at 1/2000 dilution. Secondary used was Opal Polymer HRP Ms + Rb. Panel A : merged staining of anti-Ppp1r17 (magenta; Opal™690), anti-KCNA2 (green; Opal™520) and anti-KCND2 (gray; Opal™570) on rat cerebellum. Panel B : anti-Ppp1r17 staining the Purkinje cells in rat cerebellum. Panel C : anti-KCNA2 staining the basket cells in rat cerebellum. Panel D : anti-KCND2 staining the granule cell layer in rat cerebellum. Nuclear DNA was labeled with DAPI (shown in blue). The section was incubated in three rounds of staining : in the order of ab317831, ab313624 and ab307710 for 30 mins at room temperature. Each round was followed by a separate fluorescent tyramide signal amplification system. The immunostaining was performed on a Leica Biosystems BOND® RX instrument with an Opal™ 4-color kit. Image acquisition was performed with Leica SP8 confocal microscope.

Multiplex immunohistochemistry - Anti-Ppp1r17 antibody [EPR29124-227] - BSA and Azide free (AB317832)
  • mIHC

Lab

Multiplex immunohistochemistry - Anti-Ppp1r17 antibody [EPR29124-227] - BSA and Azide free (AB317832)

This data was developed using ab317831, the same antibody clone in a different buffer formulation.

Multiplex immunohistochemistry analysis of Formalin/PFA-fixed paraffin-embedded sections of Mouse cerebellum tissue staining with ab317831 at 1/2000 dilution, ab313624 at 1/4000 dilution, ab307710 at 1/2000 dilution. Secondary used was Opal Polymer HRP Ms + Rb. Panel A : merged staining of anti-Ppp1r17 (magenta; Opal™690), anti-KCNA2 (green; Opal™520) and anti-KCND2 (gray; Opal™570) on mouse cerebellum. Panel B : anti-Ppp1r17 staining the Purkinje cells in mouse cerebellum. Panel C : anti-KCNA2 staining the basket cells in mouse cerebellum. Panel D : anti-KCND2 staining the granule cell layer in mouse cerebellum. Nuclear DNA was labeled with DAPI (shown in blue). The section was incubated in three rounds of staining : in the order of ab317831, ab313624 and ab307710 for 30 mins at room temperature. Each round was followed by a separate fluorescent tyramide signal amplification system. The immunostaining was performed on a Leica Biosystems BOND® RX instrument with an Opal™ 4-color kit. Image acquisition was performed with Leica SP8 confocal microscope.

Immunohistochemistry (Formalin/PFA-fixed paraffin-embedded sections) - Anti-Ppp1r17 antibody [EPR29124-227] - BSA and Azide free (AB317832)
  • IHC-P

Supplier Data

Immunohistochemistry (Formalin/PFA-fixed paraffin-embedded sections) - Anti-Ppp1r17 antibody [EPR29124-227] - BSA and Azide free (AB317832)

This data was developed using ab317831, the same antibody clone in a different buffer formulation.

Immunohistochemical analysis of paraffin-embedded Rat cerebellum tissue labeling Ppp1r17 with ab317831 at 1/2000 (0.262 ug/ml) dilution, followed by a ready to use LeicaDS9800 (Bond™ Polymer Refine Detection).

Positive staining on rat cerebellum.
The section was incubated with ab317831 for 30 mins at room temperature.
The immunostaining was performed on a Leica Biosystems BOND® RX instrument
Incubate slides with 3% Hydrogen Peroxide for 10 mins at room temperature after secondary antibody incubation to reduce the background

Counterstained with Hematoxylin.

Secondary antibody only control : Secondary antibody is a ready to use LeicaDS9800 (Bond™ Polymer Refine Detection).

Heat mediated antigen retrieval was performed with Tris-EDTA buffer (pH 9.0, Epitope Retrieval Solution2) for 20 mins

Immunoprecipitation - Anti-Ppp1r17 antibody [EPR29124-227] - BSA and Azide free (AB317832)
  • IP

Supplier Data

Immunoprecipitation - Anti-Ppp1r17 antibody [EPR29124-227] - BSA and Azide free (AB317832)

This data was developed using ab317831, the same antibody clone in a different buffer formulation.

Ppp1r17 was immunoprecipitated from 0.35 mg Mouse cerebellum tissue lysate with ab317831 at 1/30 dilution (2ug in 0.35mg lysates). Western blot was performed on the immunoprecipitate using ab317831 at 1/1000 dilution. VeriBlot for IP secondary antibody(HRP)(ab131366) was used at 1/5000 dilution.

Lane 1 : Mouse cerebellum tissue lysate
Lane 2 : ab317831 IP in Mouse cerebellum tissue lysate
Lane 3 : Rabbit monoclonal IgG (ab172730) instead of ab317831 in Mouse cerebellum tissue lysate

All lanes:

Immunoprecipitation - Anti-Ppp1r17 antibody [EPR29124-227] (<a href='/en-us/products/primary-antibodies/ppp1r17-antibody-epr29124-227-ab317831'>ab317831</a>) at 1/30 dilution

All lanes:

Mouse cerebellum tissue lysate

Secondary

All lanes:

Immunoprecipitation - VeriBlot for IP Detection Reagent (HRP) (<a href='/en-us/products/reagents/veriblot-for-ip-detection-reagent-hrp-ab131366'>ab131366</a>) at 1/5000 dilution

false

Exposure time: 180s

Western blot - Anti-Ppp1r17 antibody [EPR29124-227] - BSA and Azide free (AB317832)
  • WB

Supplier Data

Western blot - Anti-Ppp1r17 antibody [EPR29124-227] - BSA and Azide free (AB317832)

This data was developed using ab317831, the same antibody clone in a different buffer formulation.

Negative control : cerebral cortex, liver, lung.

In Western blot, Anti-GAPDH antibody [EPR16891] - Loading Control (ab181602) staining at 1/200000 dilution.

All lanes:

Western blot - Anti-Ppp1r17 antibody [EPR29124-227] (<a href='/en-us/products/primary-antibodies/ppp1r17-antibody-epr29124-227-ab317831'>ab317831</a>) at 1/1000 dilution

Lane 1:

Mouse brain tissue lysate at 20 µg

Lane 2:

Mouse cerebellum tissue lysate at 20 µg

Lane 3:

Mouse cerebral cortex tissue lysate at 20 µg

Lane 4:

Mouse liver tissue lysate at 20 µg

Lane 5:

Mouse lung tissue lysate at 20 µg

Secondary

All lanes:

Western blot - Goat Anti-Rabbit IgG H&L (HRP) (<a href='/en-us/products/secondary-antibodies/goat-rabbit-igg-h-l-hrp-ab97051'>ab97051</a>) at 1/100000 dilution

Observed band size: 23 kDa,36 kDa

true

Exposure time: 92s

Western blot - Anti-Ppp1r17 antibody [EPR29124-227] - BSA and Azide free (AB317832)
  • WB

Supplier Data

Western blot - Anti-Ppp1r17 antibody [EPR29124-227] - BSA and Azide free (AB317832)

This data was developed using ab317831, the same antibody clone in a different buffer formulation.

Negative control : cerebral cortex, liver, spleen.

In Western blot, Anti-GAPDH antibody [EPR16891] - Loading Control (ab181602) staining at 1/200000 dilution.

All lanes:

Western blot - Anti-Ppp1r17 antibody [EPR29124-227] (<a href='/en-us/products/primary-antibodies/ppp1r17-antibody-epr29124-227-ab317831'>ab317831</a>) at 1/1000 dilution

Lane 1:

Rat cerebellum tissue lysate at 20 µg

Lane 2:

Rat cerebral cortex tissue lysate at 20 µg

Lane 3:

Rat liver tissue lysate at 20 µg

Lane 4:

Rat spleen tissue lysate at 20 µg

Secondary

All lanes:

Western blot - Goat Anti-Rabbit IgG H&L (HRP) (<a href='/en-us/products/secondary-antibodies/goat-rabbit-igg-h-l-hrp-ab97051'>ab97051</a>) at 1/100000 dilution

Observed band size: 23 kDa,36 kDa

true

Exposure time: 180s

Key facts

Host species

Rabbit

Clonality

Monoclonal

Clone number

EPR29124-227

Isotype

IgG

Carrier free

Yes

Reacts with

Mouse, Rat

Applications

WB, IHC-Fr, IHC-P, mIHC, IP

applications

Immunogen

The exact immunogen used to generate this antibody is proprietary information.

Reactivity data

{ "title": "Reactivity Data", "filters": { "stats": ["", "Species", "Dilution Info", "Notes"], "tabs": { "all-applications": {"fullname" : "All Applications", "shortname": "All Applications"}, "IHCP" : {"fullname" : "Immunohistochemistry (Formalin/PFA-fixed paraffin-embedded sections)", "shortname":"IHC-P"}, "WB" : {"fullname" : "Western blot", "shortname":"WB"}, "IP" : {"fullname" : "Immunoprecipitation", "shortname":"IP"}, "FlowCytIntra" : {"fullname" : "Flow Cytometry (Intracellular)", "shortname":"Flow Cyt (Intra)"}, "IHCFr" : {"fullname" : "Immunohistochemistry (Frozen sections)", "shortname":"IHC-Fr"}, "mIHC" : {"fullname" : "Multiplex immunohistochemistry", "shortname":"mIHC"} }, "product-promise": { "all": "all", "testedAndGuaranteed": "tested", "guaranteed": "expected", "predicted": "predicted", "notRecommended": "not-recommended" } }, "values": { "Human": { "IHCP-species-checked": "notRecommended", "IHCP-species-dilution-info": "", "IHCP-species-notes": "<p></p>", "WB-species-checked": "notRecommended", "WB-species-dilution-info": "", "WB-species-notes": "<p></p>", "IP-species-checked": "notRecommended", "IP-species-dilution-info": "", "IP-species-notes": "", "FlowCytIntra-species-checked": "notRecommended", "FlowCytIntra-species-dilution-info": "", "FlowCytIntra-species-notes": "", "IHCFr-species-checked": "notRecommended", "IHCFr-species-dilution-info": "", "IHCFr-species-notes": "", "mIHC-species-checked": "notRecommended", "mIHC-species-dilution-info": "", "mIHC-species-notes": "" }, "Mouse": { "IHCP-species-checked": "testedAndGuaranteed", "IHCP-species-dilution-info": "", "IHCP-species-notes": "<p></p>", "WB-species-checked": "testedAndGuaranteed", "WB-species-dilution-info": "", "WB-species-notes": "<p></p>", "IP-species-checked": "testedAndGuaranteed", "IP-species-dilution-info": "", "IP-species-notes": "<p></p>", "FlowCytIntra-species-checked": "notRecommended", "FlowCytIntra-species-dilution-info": "", "FlowCytIntra-species-notes": "<p></p>", "IHCFr-species-checked": "testedAndGuaranteed", "IHCFr-species-dilution-info": "", "IHCFr-species-notes": "<p></p>", "mIHC-species-checked": "testedAndGuaranteed", "mIHC-species-dilution-info": "", "mIHC-species-notes": "<p></p>" }, "Rat": { "IHCP-species-checked": "testedAndGuaranteed", "IHCP-species-dilution-info": "", "IHCP-species-notes": "<p></p>", "WB-species-checked": "testedAndGuaranteed", "WB-species-dilution-info": "", "WB-species-notes": "<p></p>", "IP-species-checked": "guaranteed", "IP-species-dilution-info": "", "IP-species-notes": "", "FlowCytIntra-species-checked": "notRecommended", "FlowCytIntra-species-dilution-info": "", "FlowCytIntra-species-notes": "", "IHCFr-species-checked": "testedAndGuaranteed", "IHCFr-species-dilution-info": "", "IHCFr-species-notes": "<p></p>", "mIHC-species-checked": "testedAndGuaranteed", "mIHC-species-dilution-info": "", "mIHC-species-notes": "<p></p>" } } }

Product details

ab317832 is the carrier-free version of ab317831.

Patented technology
Our RabMAb® technology is a patented hybridoma-based technology for making rabbit monoclonal antibodies. For details on our patents, please refer to RabMAb® patents.

What are the advantages of a recombinant monoclonal antibody?
This product is a recombinant monoclonal antibody, which offers several advantages including:

  • - High batch-to-batch consistency and reproducibility
  • - Improved sensitivity and specificity
  • - Long-term security of supply
  • - Animal-free batch production

For more information, read more on recombinant antibodies.

Conjugation ready
Our carrier-free antibodies are typically supplied in a PBS-only formulation, purified and free of BSA, sodium azide and glycerol. This conjugation-ready format is designed for use with fluorochromes, metal isotopes, oligonucleotides, and enzymes, which makes them ideal for antibody labelling, functional and cell-based assays, flow-based assays (e.g. mass cytometry) and Multiplex Imaging applications.

Use our conjugation kits for antibody conjugates that are ready-to-use in as little as 20 minutes with 1 minute hands-on-time and 100% antibody recovery: available for fluorescent dyes, HRP, biotin and gold.

Compatibility
This product is compatible with the Maxpar® Antibody Labeling Kit from Fluidigm, without the need for antibody preparation. Maxpar® is a trademark of Fluidigm Canada Inc.

Properties and storage information

Form
Liquid
Purification technique
Affinity purification Protein A
Storage buffer
pH: 7.2 - 7.4 Constituents: PBS
Shipped at conditions
Blue Ice
Appropriate short-term storage conditions
+4°C
Appropriate long-term storage conditions
+4°C

Supplementary information

This supplementary information is collated from multiple sources and compiled automatically.

Ppp1r17 also known as Protein Phosphatase 1 Regulatory Subunit 17 is a regulatory protein that modifies the activity of protein phosphatase 1 (PP1). It weighs approximately 10.5 kDa. Ppp1r17 acts by inhibiting PP1's ability to dephosphorylate its substrate proteins. It is expressed predominantly in the cerebellum and to some extent in other brain areas. The ability of Ppp1r17 to regulate PP1 suggests its importance in finely tuning brain functions and activities.
Biological function summary

Ppp1r17 serves a regulatory function in neuronal signaling and synaptic plasticity. It is not known to be part of a larger protein complex but rather it exists as a regulatory component modulating PP1 activity. Ppp1r17 plays a role in the regulation of signal transduction impacting processes such as synaptic strength and plasticity which are key for learning and memory in the brain. Its expression pattern reflects its potential involvement in modulating neuronal function and possibly other cell signaling processes.

Pathways

Ppp1r17 participates primarily in neuronal signaling cascades. It is involved in pathways linked to the modulation of synaptic plasticity and learning processes such as long-term potentiation and depression. Through these pathways Ppp1r17 is associated with proteins like PP1 itself and those involved in the regulation of synaptic strength such as NMDA receptors. This places Ppp1r17 within significant neuronal signaling frameworks that dictate responses to stimuli and environmental learning.

Ppp1r17's regulation of PP1 activity links it to neurological conditions like cerebellar ataxia and potentially schizophrenia. Misregulation of PP1 activity often affected by modifications in Ppp1r17 function can result in altered neuronal activity and contribute to these disorders. The interaction between Ppp1r17 and PP1 can be further connected to proteins like DARPP-32 which also influence dopaminergic neurotransmission and are implicated in neuropsychiatric conditions. By affecting these essential pathways and processes Ppp1r17's functional integrity is critical for maintaining healthy brain physiology.

Product protocols

For this product, it's our understanding that no specific protocols are required. You can visit:

Target data

Inhibits phosphatase activities of protein phosphatase 1 (PP1) and protein phosphatase 2A (PP2A) complexes.
See full target information Ppp1r17

Product promise

We are committed to supporting your work with high-quality reagents, and we're here for you every step of the way. In the unlikely event that one of our products does not perform as expected, you're protected by our Product Promise.
For full details, please see our Terms & Conditions

Please note: All products are 'FOR RESEARCH USE ONLY. NOT FOR USE IN DIAGNOSTIC OR THERAPEUTIC PROCEDURES'.

For licensing inquiries, please contact partnerships@abcam.com