JavaScript is disabled in your browser. Please enable JavaScript to view this website.
AB316932

Anti-PPP1R1A antibody [EPR28192-90] - BSA and Azide free

Be the first to review this product! Submit a review

|

(0 Publication)

Rabbit Recombinant Monoclonal PPP1R1A antibody. Carrier free. Suitable for IP, Flow Cyt (Intra), IHC-P, ICC/IF, WB and reacts with Mouse samples.

View Alternative Names

Protein phosphatase 1 regulatory subunit 1A, Protein phosphatase inhibitor 1, I-1, IPP-1

8 Images
Immunohistochemistry (Formalin/PFA-fixed paraffin-embedded sections) - Anti-PPP1R1A antibody [EPR28192-90] - BSA and Azide free (AB316932)
  • IHC-P

Supplier Data

Immunohistochemistry (Formalin/PFA-fixed paraffin-embedded sections) - Anti-PPP1R1A antibody [EPR28192-90] - BSA and Azide free (AB316932)

This data was developed using ab316931, the same antibody clone in a different buffer formulation.

Immunohistochemical analysis of paraffin-embedded Mouse liver tissue labeling PPP1R1A with ab316931 at 1/2000 (0.25 ug/ml) dilution, followed by a ready to use LeicaDS9800 (Bond™ Polymer Refine Detection).

Negative control : no staining on mouse liver. The section was incubated with ab316931 for 30 mins at room temperature.
The immunostaining was performed on a Leica Biosystems BOND® RX instrument.

Counterstained with Hematoxylin.

Secondary antibody only control : Secondary antibody is a ready to use LeicaDS9800 (Bond™ Polymer Refine Detection).

Heat mediated antigen retrieval was performed with Tris-EDTA buffer (pH 9.0, Epitope Retrieval Solution2) for 20 mins.

Immunohistochemistry (Formalin/PFA-fixed paraffin-embedded sections) - Anti-PPP1R1A antibody [EPR28192-90] - BSA and Azide free (AB316932)
  • IHC-P

Supplier Data

Immunohistochemistry (Formalin/PFA-fixed paraffin-embedded sections) - Anti-PPP1R1A antibody [EPR28192-90] - BSA and Azide free (AB316932)

This data was developed using ab316931, the same antibody clone in a different buffer formulation.

Immunohistochemical analysis of paraffin-embedded Mouse spleen tissue labeling PPP1R1A with ab316931 at 1/2000 (0.25 ug/ml) dilution, followed by a ready to use LeicaDS9800 (Bond™ Polymer Refine Detection).

Negative control : no staining on mouse spleen. The section was incubated with ab316931 for 30 mins at room temperature.
The immunostaining was performed on a Leica Biosystems BOND® RX instrument.

Counterstained with Hematoxylin.

Secondary antibody only control : Secondary antibody is a ready to use LeicaDS9800 (Bond™ Polymer Refine Detection).

Heat mediated antigen retrieval was performed with Tris-EDTA buffer (pH 9.0, Epitope Retrieval Solution2) for 20 mins.

Immunohistochemistry (Formalin/PFA-fixed paraffin-embedded sections) - Anti-PPP1R1A antibody [EPR28192-90] - BSA and Azide free (AB316932)
  • IHC-P

Supplier Data

Immunohistochemistry (Formalin/PFA-fixed paraffin-embedded sections) - Anti-PPP1R1A antibody [EPR28192-90] - BSA and Azide free (AB316932)

This data was developed using ab316931, the same antibody clone in a different buffer formulation.

Immunohistochemical analysis of paraffin-embedded Mouse kidney tissue labeling PPP1R1A with ab316931 at 1/2000 (0.25 ug/ml) dilution, followed by a ready to use LeicaDS9800 (Bond™ Polymer Refine Detection).

Positive staining on distal convoluted tubule in mouse kidney (PMID : 24231659). The section was incubated with ab316931 for 30 mins at room temperature.
The immunostaining was performed on a Leica Biosystems BOND® RX instrument.

Counterstained with Hematoxylin.

Secondary antibody only control : Secondary antibody is a ready to use LeicaDS9800 (Bond™ Polymer Refine Detection).

Heat mediated antigen retrieval was performed with Tris-EDTA buffer (pH 9.0, Epitope Retrieval Solution2) for 20 mins.

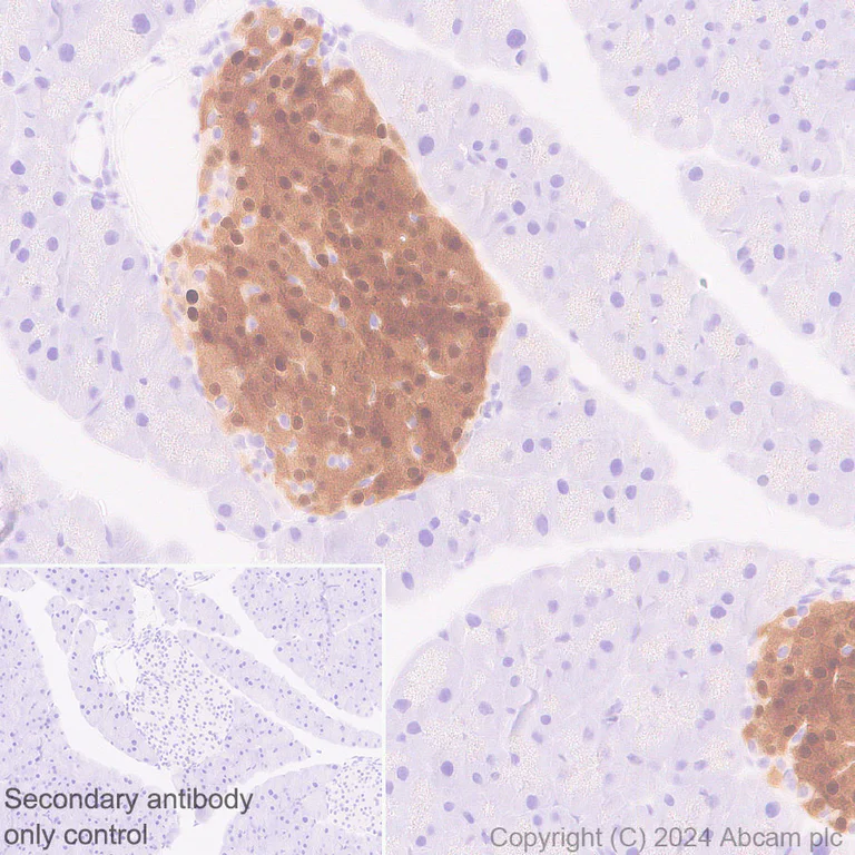
Immunohistochemistry (Formalin/PFA-fixed paraffin-embedded sections) - Anti-PPP1R1A antibody [EPR28192-90] - BSA and Azide free (AB316932)
  • IHC-P

Supplier Data

Immunohistochemistry (Formalin/PFA-fixed paraffin-embedded sections) - Anti-PPP1R1A antibody [EPR28192-90] - BSA and Azide free (AB316932)

This data was developed using ab316931, the same antibody clone in a different buffer formulation.

Immunohistochemical analysis of paraffin-embedded Mouse pancreas tissue labeling PPP1R1A with ab316931 at 1/2000 (0.25 ug/ml) dilution, followed by a ready to use LeicaDS9800 (Bond™ Polymer Refine Detection).

Positive staining on islet of mouse pancreas (PMID : 23557701). The section was incubated with ab316931 for 30 mins at room temperature.
The immunostaining was performed on a Leica Biosystems BOND® RX instrument.

Counterstained with Hematoxylin.

Secondary antibody only control : Secondary antibody is a ready to use LeicaDS9800 (Bond™ Polymer Refine Detection).

Heat mediated antigen retrieval was performed with Tris-EDTA buffer (pH 9.0, Epitope Retrieval Solution2) for 20 mins.

Immunocytochemistry/ Immunofluorescence - Anti-PPP1R1A antibody [EPR28192-90] - BSA and Azide free (AB316932)
  • ICC/IF

Supplier Data

Immunocytochemistry/ Immunofluorescence - Anti-PPP1R1A antibody [EPR28192-90] - BSA and Azide free (AB316932)

This data was developed using ab316931, the same antibody clone in a different buffer formulation.

Immunofluorescent analysis of 4% Paraformaldehyde-fixed, 0.1% TritonX-100 permeabilized Beta-TC-6 (mouse pancreas insulinoma beta cell) cells labellingPPP1R1A with ab316931 at 1/500 (1.0 ug/ml) dilution, followed by ab150081 Goat Anti-Rabbit IgG H&L (Alexa Fluor® 488) preadsorbed antibody at 1/1000 (2 ug/ml) dilution

Confocal image showing cytoplasmic with nuclear staining in Beta-TC-6 cell line (shown in green). The counterstain was observed in magenta. Nuclear DNA was labeled with DAPI (shown in blue).
Negative control : RAW 264.7 (PMID : 29444892).
Image was taken with a confocal microscope (Leica-Microsystems, TCS SP8).

ab195889 Anti-alpha Tubulin mouse monoclonal antibody - Microtubule Marker (Alexa Fluor® 594) was used to counterstain tubulin at 1/200 (2.5 ug/ml) dilution. The Nuclear counterstain was DAPI

Secondary antibody only control : Secondary antibody is ab150081 Goat Anti-Rabbit IgG H&L (Alexa Fluor® 488) preadsorbed at 1/1000 (2 ug/ml) dilution.

Flow Cytometry (Intracellular) - Anti-PPP1R1A antibody [EPR28192-90] - BSA and Azide free (AB316932)
  • Flow Cyt (Intra)

Supplier Data

Flow Cytometry (Intracellular) - Anti-PPP1R1A antibody [EPR28192-90] - BSA and Azide free (AB316932)

This data was developed using ab316931, the same antibody clone in a different buffer formulation.

Flow cytometric analysis of 4% paraformaldehyde fixed 90% methanol permeabilized RAW 264.7 (mouse Abelson murine leukemia virus-induced tumor macrophage, Left) / Beta-TC-6 (mouse pancreas insulinoma beta cell, Right) cells labelling PPP1R1A with ab316931 at 1/500 dilution (0.1 ug)/Red (Red) compared with a Rabbit monoclonal IgG (ab172730) (Black) isotype control and an unlabelled control (cells without incubation with primary antibody and secondary antibody) (Blue).

Goat Anti-Rabbit IgG (Alexa Fluor® 488, ab150081) at 1/5000 dilution was used as the secondary antibody.

Negative control : RAW 264.7

Immunoprecipitation - Anti-PPP1R1A antibody [EPR28192-90] - BSA and Azide free (AB316932)
  • IP

Supplier Data

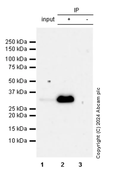
Immunoprecipitation - Anti-PPP1R1A antibody [EPR28192-90] - BSA and Azide free (AB316932)

This data was developed using ab316931, the same antibody clone in a different buffer formulation.

PPP1R1A was immunoprecipitated from 0.35 mg Beta-TC-6 (mouse pancreas insulinoma beta cell) whole cell lysate with ab316931 at 1/30 dilution (2ug in 0.35mg lysates). Western blot was performed on the immunoprecipitate using ab316931 at 1/1000 dilution. VeriBlot for IP secondary antibody(HRP)(ab131366) was used at 1/5000 dilution.

Lane 1 : Beta-TC-6 (mouse pancreas insulinoma beta cell) whole cell lysate
Lane 2 : ab316931 IP in Beta-TC-6 (mouse pancreas insulinoma beta cell) whole cell lysate
Lane 3 : Rabbit monoclonal IgG (ab172730) instead of ab316931 in Beta-TC-6 whole cell lysate

All lanes:

Immunoprecipitation - Anti-PPP1R1A antibody [EPR28192-90] (<a href='/en-us/products/primary-antibodies/ppp1r1a-antibody-epr28192-90-ab316931'>ab316931</a>) at 1/30 dilution

All lanes:

Beta-TC-6 (mouse pancreas insulinoma beta cell) whole cell lysate with 5% NFDM/TBST

Secondary

All lanes:

Immunoprecipitation - VeriBlot for IP Detection Reagent (HRP) (<a href='/en-us/products/reagents/veriblot-for-ip-detection-reagent-hrp-ab131366'>ab131366</a>) at 1/5000 dilution

false

Exposure time: 67s

Western blot - Anti-PPP1R1A antibody [EPR28192-90] - BSA and Azide free (AB316932)
  • WB

Lab

Western blot - Anti-PPP1R1A antibody [EPR28192-90] - BSA and Azide free (AB316932)

This data was developed using ab316931, the same antibody clone in a different buffer formulation.

Blocking and diluting buffer and concentration : 5% NFDM/TBST

Negative control : RAW 264.7, MEF (PMID : 29444892).

ab181602 was used as a GAPDH loading control at 1/200000 dilution

All lanes:

Western blot - Anti-PPP1R1A antibody [EPR28192-90] (<a href='/en-us/products/primary-antibodies/ppp1r1a-antibody-epr28192-90-ab316931'>ab316931</a>) at 1/1000 dilution

Lane 1:

Beta-TC-6 (mouse pancreas insulinoma beta cell) whole cell lysate at 40 µg

Lane 2:

RAW 264.7 (mouse Abelson murine leukemia virus-induced tumor macrophage) whole cell lysate at 40 µg

Lane 3:

MEF (mouse embryo fibroblast) whole cell lysate at 40 µg

Secondary

All lanes:

Western blot - Goat Anti-Rabbit IgG H&L (HRP) (<a href='/en-us/products/secondary-antibodies/goat-rabbit-igg-h-l-hrp-ab97051'>ab97051</a>) at 1/20000 dilution

Observed band size: 27 kDa

false

Exposure time: 37s

Key facts

Host species

Rabbit

Clonality

Monoclonal

Clone number

EPR28192-90

Isotype

IgG

Carrier free

Yes

Reacts with

Mouse

Applications

IHC-P, WB, ICC/IF, IP, Flow Cyt (Intra)

applications

Immunogen

The exact immunogen used to generate this antibody is proprietary information.

Reactivity data

{ "title": "Reactivity Data", "filters": { "stats": ["", "Species", "Dilution Info", "Notes"], "tabs": { "all-applications": {"fullname" : "All Applications", "shortname": "All Applications"}, "IP" : {"fullname" : "Immunoprecipitation", "shortname":"IP"}, "FlowCytIntra" : {"fullname" : "Flow Cytometry (Intracellular)", "shortname":"Flow Cyt (Intra)"}, "IHCP" : {"fullname" : "Immunohistochemistry (Formalin/PFA-fixed paraffin-embedded sections)", "shortname":"IHC-P"}, "ICCIF" : {"fullname" : "Immunocytochemistry/ Immunofluorescence", "shortname":"ICC/IF"}, "WB" : {"fullname" : "Western blot", "shortname":"WB"} }, "product-promise": { "all": "all", "testedAndGuaranteed": "tested", "guaranteed": "expected", "predicted": "predicted", "notRecommended": "not-recommended" } }, "values": { "Human": { "IP-species-checked": "notRecommended", "IP-species-dilution-info": "", "IP-species-notes": "", "FlowCytIntra-species-checked": "notRecommended", "FlowCytIntra-species-dilution-info": "", "FlowCytIntra-species-notes": "", "IHCP-species-checked": "notRecommended", "IHCP-species-dilution-info": "", "IHCP-species-notes": "<p></p>", "ICCIF-species-checked": "notRecommended", "ICCIF-species-dilution-info": "", "ICCIF-species-notes": "", "WB-species-checked": "notRecommended", "WB-species-dilution-info": "", "WB-species-notes": "" }, "Mouse": { "IP-species-checked": "testedAndGuaranteed", "IP-species-dilution-info": "", "IP-species-notes": "<p></p>", "FlowCytIntra-species-checked": "testedAndGuaranteed", "FlowCytIntra-species-dilution-info": "", "FlowCytIntra-species-notes": "<p></p>", "IHCP-species-checked": "testedAndGuaranteed", "IHCP-species-dilution-info": "", "IHCP-species-notes": "<p></p>", "ICCIF-species-checked": "testedAndGuaranteed", "ICCIF-species-dilution-info": "", "ICCIF-species-notes": "<p></p>", "WB-species-checked": "testedAndGuaranteed", "WB-species-dilution-info": "", "WB-species-notes": "<p></p>" }, "Rat": { "IP-species-checked": "notRecommended", "IP-species-dilution-info": "", "IP-species-notes": "", "FlowCytIntra-species-checked": "notRecommended", "FlowCytIntra-species-dilution-info": "", "FlowCytIntra-species-notes": "", "IHCP-species-checked": "notRecommended", "IHCP-species-dilution-info": "", "IHCP-species-notes": "<p></p>", "ICCIF-species-checked": "notRecommended", "ICCIF-species-dilution-info": "", "ICCIF-species-notes": "", "WB-species-checked": "notRecommended", "WB-species-dilution-info": "", "WB-species-notes": "" } } }

Product details

ab316932 is the carrirer-free version of ab316931.

Patented technology
Our RabMAb® technology is a patented hybridoma-based technology for making rabbit monoclonal antibodies. For details on our patents, please refer to RabMAb® patents.

What are the advantages of a recombinant monoclonal antibody?
This product is a recombinant monoclonal antibody, which offers several advantages including:

  • - High batch-to-batch consistency and reproducibility
  • - Improved sensitivity and specificity
  • - Long-term security of supply
  • - Animal-free batch production

For more information, read more on recombinant antibodies.

Conjugation ready
Our carrier-free antibodies are typically supplied in a PBS-only formulation, purified and free of BSA, sodium azide and glycerol. This conjugation-ready format is designed for use with fluorochromes, metal isotopes, oligonucleotides, and enzymes, which makes them ideal for antibody labelling, functional and cell-based assays, flow-based assays (e.g. mass cytometry) and Multiplex Imaging applications.

Use our conjugation kits for antibody conjugates that are ready-to-use in as little as 20 minutes with 1 minute hands-on-time and 100% antibody recovery: available for fluorescent dyes, HRP, biotin and gold.

Compatibility
This product is compatible with the Maxpar® Antibody Labeling Kit from Fluidigm, without the need for antibody preparation. Maxpar® is a trademark of Fluidigm Canada Inc.

Properties and storage information

Form
Liquid
Purification technique
Affinity purification Protein A
Storage buffer
pH: 7.2 - 7.4 Constituents: PBS
Shipped at conditions
Blue Ice
Appropriate short-term storage conditions
+4°C
Appropriate long-term storage conditions
+4°C

Supplementary information

This supplementary information is collated from multiple sources and compiled automatically.

The protein phosphatase 1 regulatory inhibitor subunit 1A also known as PPP1R1A or inhibitor-1 (I-1) plays a significant role in cellular regulation as a phosphatase inhibitor. Mechanically it regulates the activity of protein phosphatase 1 (PP1) an essential enzyme in various cellular processes. Its molecular weight is approximately 19 kDa. PPP1R1A is expressed in many tissues showing notable levels in cardiac and skeletal muscle where it helps modulate responses to various stimuli.
Biological function summary

PPP1R1A modulates signaling pathways by influencing the dephosphorylation of substrates which is a critical step in signal transduction. It is not typically part of a complex but interacts closely with protein phosphatase 1. This interaction allows for the effective regulation of phosphorylation states within cells impacting cell cycle control muscle contraction glycogen metabolism and more. Its regulatory capabilities are important for maintaining cellular homeostasis.

Pathways

The regulatory activities of PPP1R1A significantly impact the cAMP signaling pathway and the regulation of glycogen metabolism. Within the cAMP pathway PPP1R1A regulates the activity of PP1 influencing processes like muscle contraction and gene expression. It interacts with proteins such as PKA which phosphorylates PPP1R1A activating its inhibitory function. This regulation affects downstream cellular activities by modulating phosphorylation levels of key substrates within these pathways.

Alterations in PPP1R1A expression or function have implications in cardiac diseases and diabetes. Increased or decreased activity of PPP1R1A can disrupt normal heart function due to its regulatory role in cardiac muscle contraction. Altered regulation within the cAMP and glycogen metabolism pathways can contribute to metabolic disorders like diabetes. Interactions with proteins such as PP1 and PKA are critical for these conditions highlighting PPP1R1A's role in disease progression and potential therapeutic targeting.

Product protocols

For this product, it's our understanding that no specific protocols are required. You can visit:

Target data

Inhibitor of protein-phosphatase 1. This protein may be important in hormonal control of glycogen metabolism. Hormones that elevate intracellular cAMP increase I-1 activity in many tissues. I-1 activation may impose cAMP control over proteins that are not directly phosphorylated by PKA. Following a rise in intracellular calcium, I-1 is inactivated by calcineurin (or PP2B). Does not inhibit type-2 phosphatases.
See full target information Ppp1r1a

Product promise

We are committed to supporting your work with high-quality reagents, and we're here for you every step of the way. In the unlikely event that one of our products does not perform as expected, you're protected by our Product Promise.
For full details, please see our Terms & Conditions

Please note: All products are 'FOR RESEARCH USE ONLY. NOT FOR USE IN DIAGNOSTIC OR THERAPEUTIC PROCEDURES'.

For licensing inquiries, please contact partnerships@abcam.com