JavaScript is disabled in your browser. Please enable JavaScript to view this website.
AB154551

Anti-PPP2R1A antibody

4

(1 Review)

|

(3 Publications)

Rabbit Polyclonal PPP2R1A antibody. Suitable for WB, ICC/IF, IHC-P and reacts with Mouse, Human samples. Cited in 3 publications. Immunogen corresponding to Recombinant Fragment Protein within Human Serine/threonine-protein phosphatase 2A 65 kDa regulatory subunit A alpha isoform aa 300 to C-terminus.

View Alternative Names

Serine/threonine-protein phosphatase 2A 65 kDa regulatory subunit A alpha isoform, Medium tumor antigen-associated 61 kDa protein, PP2A subunit A isoform PR65-alpha, PP2A subunit A isoform R1-alpha, PPP2R1A

3 Images
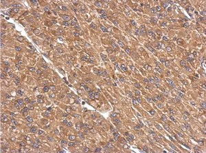
Immunohistochemistry (Formalin/PFA-fixed paraffin-embedded sections) - Anti-PPP2R1A antibody (AB154551)
  • IHC-P

Unknown

Immunohistochemistry (Formalin/PFA-fixed paraffin-embedded sections) - Anti-PPP2R1A antibody (AB154551)

Immunohistochemical analysis of paraffin-embedded U87 xenograft labeling PPP2R1A with ab154551 antibody at 1/500 dilution.

Immunocytochemistry/ Immunofluorescence - Anti-PPP2R1A antibody (AB154551)
  • ICC/IF

Supplier Data

Immunocytochemistry/ Immunofluorescence - Anti-PPP2R1A antibody (AB154551)

Immunofluorescent analysis of methanol-fixed HeLa cells labeling PPP2R1A with ab154551 antibody at 1/500 dilution. Lower panel co-stained with Hoechst 33342.

Western blot - Anti-PPP2R1A antibody (AB154551)
  • WB

Unknown

Western blot - Anti-PPP2R1A antibody (AB154551)

7.5% SDS PAGE

All lanes:

Western blot - Anti-PPP2R1A antibody (ab154551) at 1/5000 dilution

Lane 1:

NIH-3T3 whole cell lysate at 30 µg

Lane 2:

JC whole cell lysate at 30 µg

Lane 3:

BCL-1 whole cell lysate at 30 µg

Predicted band size: 65 kDa

false

Key facts

Host species

Rabbit

Clonality

Polyclonal

Isotype

IgG

Carrier free

No

Reacts with

Mouse, Human

Applications

WB, ICC/IF, IHC-P

applications

Immunogen

Recombinant Fragment Protein within Human Serine/threonine-protein phosphatase 2A 65 kDa regulatory subunit A alpha isoform aa 300 to C-terminus. The exact immunogen used to generate this antibody is proprietary information.

P30153

Reactivity data

{ "title": "Reactivity Data", "filters": { "stats": ["", "Species", "Dilution Info", "Notes"], "tabs": { "all-applications": {"fullname" : "All Applications", "shortname": "All Applications"}, "WB" : {"fullname" : "Western blot", "shortname":"WB"}, "ICCIF" : {"fullname" : "Immunocytochemistry/ Immunofluorescence", "shortname":"ICC/IF"}, "IHCP" : {"fullname" : "Immunohistochemistry (Formalin/PFA-fixed paraffin-embedded sections)", "shortname":"IHC-P"} }, "product-promise": { "all": "all", "testedAndGuaranteed": "tested", "guaranteed": "expected", "predicted": "predicted", "notRecommended": "not-recommended" } }, "values": { "Human": { "WB-species-checked": "guaranteed", "WB-species-dilution-info": "1/500 - 1/10000", "WB-species-notes": "<p></p>", "ICCIF-species-checked": "testedAndGuaranteed", "ICCIF-species-dilution-info": "1/100 - 1/1000", "ICCIF-species-notes": "<p></p>", "IHCP-species-checked": "testedAndGuaranteed", "IHCP-species-dilution-info": "1/100 - 1/2500", "IHCP-species-notes": "<p></p>" }, "Mouse": { "WB-species-checked": "testedAndGuaranteed", "WB-species-dilution-info": "1/500 - 1/10000", "WB-species-notes": "<p></p>", "ICCIF-species-checked": "guaranteed", "ICCIF-species-dilution-info": "", "ICCIF-species-notes": "", "IHCP-species-checked": "guaranteed", "IHCP-species-dilution-info": "", "IHCP-species-notes": "" }, "Rat": { "WB-species-checked": "predicted", "WB-species-dilution-info": "", "WB-species-notes": "", "ICCIF-species-checked": "predicted", "ICCIF-species-dilution-info": "", "ICCIF-species-notes": "", "IHCP-species-checked": "predicted", "IHCP-species-dilution-info": "", "IHCP-species-notes": "" }, "Cow": { "WB-species-checked": "predicted", "WB-species-dilution-info": "", "WB-species-notes": "", "ICCIF-species-checked": "predicted", "ICCIF-species-dilution-info": "", "ICCIF-species-notes": "", "IHCP-species-checked": "predicted", "IHCP-species-dilution-info": "", "IHCP-species-notes": "" }, "Pig": { "WB-species-checked": "predicted", "WB-species-dilution-info": "", "WB-species-notes": "", "ICCIF-species-checked": "predicted", "ICCIF-species-dilution-info": "", "ICCIF-species-notes": "", "IHCP-species-checked": "predicted", "IHCP-species-dilution-info": "", "IHCP-species-notes": "" }, "Xenopus tropicalis": { "WB-species-checked": "predicted", "WB-species-dilution-info": "", "WB-species-notes": "", "ICCIF-species-checked": "predicted", "ICCIF-species-dilution-info": "", "ICCIF-species-notes": "", "IHCP-species-checked": "predicted", "IHCP-species-dilution-info": "", "IHCP-species-notes": "" } } }

Properties and storage information

Form
Liquid
Purification technique
Affinity purification Immunogen
Storage buffer
pH: 7 Preservative: 0.025% Proclin 300 Constituents: PBS, 20% Glycerol (glycerin, glycerine)
Shipped at conditions
Blue Ice
Appropriate short-term storage conditions
+4°C
Appropriate long-term storage conditions
-20°C
Aliquoting information
Upon delivery aliquot
Storage information
Avoid freeze / thaw cycle

Supplementary information

This supplementary information is collated from multiple sources and compiled automatically.

The protein phosphatase 2 scaffold subunit A alpha isoform (PPP2R1A) functions as an important regulatory component of the serine/threonine phosphatase PP2A complex. Alternate names for PPP2R1A include PR65A and Aalpha. This protein has a mass of approximately 65 kDa and is widely expressed in many tissues including the brain heart and lungs. It serves as a scaffold for regulatory and catalytic subunits facilitating their assembly into the active enzyme complex.
Biological function summary

The PP2A complex plays a role in cell cycle control apoptosis and signal transduction. PPP2R1A forms a dimer with one catalytic and one regulatory subunit. This arrangement influences various cell signaling processes controlling cell growth and division. Through its position in the PP2A complex PPP2R1A moderates phosphorylation status of target proteins impacting diverse cellular activities.

Pathways

PPP2R1A participates in pathways like the Wnt signaling and the MAPK pathways acting as a brake on kinase-driven signaling. In the Wnt signaling pathway PP2A mediates beta-catenin degradation which influences gene expression related to cell growth. Within the MAPK pathway PPP2R1A interacts with kinases to modulate cellular responses to growth factors. Proteins such as AXIN1 in the Wnt signaling context are associated with the regulatory effects mediated by PPP2R1A.

Alterations in PPP2R1A have been implicated in cancers like ovarian and uterine serous carcinoma. Mutations within this gene can disrupt PP2A activity leading to unchecked cell proliferation. Associations with beta-catenin highlight a significant role in tumorigenesis. In these contexts PPP2R1A's relationship with proteins such as beta-catenin and other components of the Wnt pathway indicates its importance in maintaining cellular homeostasis and its potential as a therapeutic target.

Product protocols

For this product, it's our understanding that no specific protocols are required. You can visit:

Target data

The PR65 subunit of protein phosphatase 2A serves as a scaffolding molecule to coordinate the assembly of the catalytic subunit and a variable regulatory B subunit. Upon interaction with GNA12 promotes dephosphorylation of microtubule associated protein TAU/MAPT (PubMed : 15525651). Required for proper chromosome segregation and for centromeric localization of SGO1 in mitosis (PubMed : 16580887). Together with RACK1 adapter, mediates dephosphorylation of AKT1 at 'Ser-473', preventing AKT1 activation and AKT-mTOR signaling pathway (By similarity). Dephosphorylation of AKT1 is essential for regulatory T-cells (Treg) homeostasis and stability (By similarity). Part of the striatin-interacting phosphatase and kinase (STRIPAK) complexes. STRIPAK complexes have critical roles in protein (de)phosphorylation and are regulators of multiple signaling pathways including Hippo, MAPK, nuclear receptor and cytoskeleton remodeling. Different types of STRIPAK complexes are involved in a variety of biological processes such as cell growth, differentiation, apoptosis, metabolism and immune regulation (PubMed : 18782753, PubMed : 33633399). Regulates the recruitment of the SKA complex to kinetochores (PubMed : 28982702).
See full target information Serine/threonine-protein phosphatase 2A 65 kDa regulatory subunit A alpha isoform

Publications (3)

Recent publications for all applications. Explore the full list and refine your search

International journal of molecular sciences 24: PubMed37762002

2023

Advanced Optical Microscopy: Unveiling Functional Insights Regarding a Novel Variant and Its Unreported Phenotype.

Applications

Unspecified application

Species

Unspecified reactive species

Mònica Roldán,Gregorio Alexander Nolasco,Lluís Armengol,Marcos Frías,Marta Morell,Manel García-Aragonés,Florencia Epifani,Jordi Muchart,María Luisa Ramírez-Almaraz,Loreto Martorell,Cristina Hernando-Davalillo,Roser Urreizti,Mercedes Serrano

British journal of pharmacology 176:1745-1763 PubMed30825189

2019

Hypoxia modulates protein phosphatase 2A through HIF-1α dependent and independent mechanisms in human aortic smooth muscle cells and ventricular cardiomyocytes.

Applications

Unspecified application

Species

Unspecified reactive species

Ismail Suliman Elgenaidi,James Paul Spiers

Science translational medicine 9: PubMed28835516

2017

An RNA interference screen identifies druggable regulators of MeCP2 stability.

Applications

Unspecified application

Species

Unspecified reactive species

Laura M Lombardi,Manar Zaghlula,Yehezkel Sztainberg,Steven A Baker,Tiemo J Klisch,Amy A Tang,Eric J Huang,Huda Y Zoghbi
View all publications

Product promise

We are committed to supporting your work with high-quality reagents, and we're here for you every step of the way. In the unlikely event that one of our products does not perform as expected, you're protected by our Product Promise.
For full details, please see our Terms & Conditions

Please note: All products are 'FOR RESEARCH USE ONLY. NOT FOR USE IN DIAGNOSTIC OR THERAPEUTIC PROCEDURES'.

For licensing inquiries, please contact partnerships@abcam.com