JavaScript is disabled in your browser. Please enable JavaScript to view this website.
AB197194

Anti-PPP2R2A antibody

Be the first to review this product! Submit a review

|

(2 Publications)

Rabbit Polyclonal PPP2R2A antibody. Suitable for WB, IHC-P and reacts with Human samples. Cited in 2 publications. Immunogen corresponding to Recombinant Fragment Protein within Human PPP2R2A aa 1-300.

View Alternative Names

Serine/threonine-protein phosphatase 2A 55 kDa regulatory subunit B alpha isoform, PP2A subunit B isoform B55-alpha, PP2A subunit B isoform PR55-alpha, PP2A subunit B isoform R2-alpha, PP2A subunit B isoform alpha, PPP2R2A

2 Images
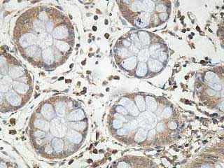
Immunohistochemistry (Formalin/PFA-fixed paraffin-embedded sections) - Anti-PPP2R2A antibody (AB197194)
  • IHC-P

Supplier Data

Immunohistochemistry (Formalin/PFA-fixed paraffin-embedded sections) - Anti-PPP2R2A antibody (AB197194)

Immunohistochemical analysis of formalin-fixed, paraffin-embedded Human fetal colon tissue labeling PPP2R2A with ab197194 at 1/100 dilution.

Western blot - Anti-PPP2R2A antibody (AB197194)
  • WB

Supplier Data

Western blot - Anti-PPP2R2A antibody (AB197194)

All lanes:

Western blot - Anti-PPP2R2A antibody (ab197194) at 1/500 dilution

Lane 1:

HepG2 cell lysate

Lane 2:

Human fetal kidney lysate

Predicted band size: 52 kDa

false

Key facts

Host species

Rabbit

Clonality

Polyclonal

Isotype

IgG

Carrier free

No

Reacts with

Human

Applications

WB, IHC-P

applications

Immunogen

Recombinant Fragment Protein within Human PPP2R2A aa 1-300. The exact immunogen used to generate this antibody is proprietary information.

P63151

Reactivity data

{ "title": "Reactivity Data", "filters": { "stats": ["", "Species", "Dilution Info", "Notes"], "tabs": { "all-applications": {"fullname" : "All Applications", "shortname": "All Applications"}, "WB" : {"fullname" : "Western blot", "shortname":"WB"}, "IHCP" : {"fullname" : "Immunohistochemistry (Formalin/PFA-fixed paraffin-embedded sections)", "shortname":"IHC-P"} }, "product-promise": { "all": "all", "testedAndGuaranteed": "tested", "guaranteed": "expected", "predicted": "predicted", "notRecommended": "not-recommended" } }, "values": { "Human": { "WB-species-checked": "testedAndGuaranteed", "WB-species-dilution-info": "1/1000 - 1/2000", "WB-species-notes": "<p></p>", "IHCP-species-checked": "testedAndGuaranteed", "IHCP-species-dilution-info": "1/100 - 1/500", "IHCP-species-notes": "<p></p>" }, "Mouse": { "WB-species-checked": "predicted", "WB-species-dilution-info": "", "WB-species-notes": "", "IHCP-species-checked": "predicted", "IHCP-species-dilution-info": "", "IHCP-species-notes": "" }, "Rat": { "WB-species-checked": "predicted", "WB-species-dilution-info": "", "WB-species-notes": "", "IHCP-species-checked": "predicted", "IHCP-species-dilution-info": "", "IHCP-species-notes": "" }, "Cynomolgus monkey": { "WB-species-checked": "predicted", "WB-species-dilution-info": "", "WB-species-notes": "", "IHCP-species-checked": "predicted", "IHCP-species-dilution-info": "", "IHCP-species-notes": "" }, "Pig": { "WB-species-checked": "predicted", "WB-species-dilution-info": "", "WB-species-notes": "", "IHCP-species-checked": "predicted", "IHCP-species-dilution-info": "", "IHCP-species-notes": "" }, "Rabbit": { "WB-species-checked": "predicted", "WB-species-dilution-info": "", "WB-species-notes": "", "IHCP-species-checked": "predicted", "IHCP-species-dilution-info": "", "IHCP-species-notes": "" } } }

Properties and storage information

Form
Lyophilized
Reconstitution
reconstitute with water at 200µL
Purification technique
Affinity purification Immunogen
Storage buffer
pH: 7.2 Preservative: 0.02% Sodium azide Constituents: PBS, 1% BSA
Shipped at conditions
Blue Ice
Appropriate short-term storage duration
1-2 weeks
Appropriate short-term storage conditions
+4°C
Appropriate long-term storage conditions
-20°C
Aliquoting information
Upon delivery aliquot
Storage information
Avoid freeze / thaw cycle

Supplementary information

This supplementary information is collated from multiple sources and compiled automatically.

Protein phosphatase 2 regulatory subunit B alpha (PPP2R2A) also known as B55α is a regulatory component of the protein phosphatase 2 (PP2A) complex. It is a 55 kDa subunit that modulates PP2A activity and substrate specificity. PPP2R2A is widely expressed in various human tissues with high levels in the brain heart and skeletal muscle. This regulatory subunit helps control the dephosphorylation of serine/threonine residues on target proteins playing an important role in cellular processes by directing the substrate selection of the PP2A complex.
Biological function summary

PPP2R2A influences several cellular processes through its integration into the PP2A holoenzyme complex. It directs the dephosphorylation of proteins like MAP kinases which are important for signal transduction. By associating with the catalytic and scaffolding subunits of PP2A PPP2R2A modulates cell cycle progression apoptosis and DNA replication. Its involvement in these processes highlights its importance in maintaining cellular homeostasis and function.

Pathways

PPP2R2A is integral to the MAPK/ERK and PI3K/AKT signaling pathways. It regulates the activity of several kinases and phosphatases in these pathways influencing cell growth and survival. In the MAPK/ERK pathway PPP2R2A interacts with proteins like MEK and ERK while in the PI3K/AKT pathway it can connect with the phosphatase PTEN highlighting its regulatory roles in critical cellular signaling networks.

PPP2R2A has been associated with cancer and neurodegenerative diseases. Its dysregulation can lead to aberrant cell proliferation as often seen in certain cancers. For instance altered expression of PPP2R2A has been noted in prostate cancer. In neurodegenerative conditions like Alzheimer's disease PPP2R2A interacts with tau protein affecting tau phosphorylation and potentially contributing to disease progression. The involvement of PPP2R2A in these diseases highlights its relevance as a potential therapeutic target.

Product protocols

For this product, it's our understanding that no specific protocols are required. You can visit:

Target data

The B regulatory subunit might modulate substrate selectivity and catalytic activity, and also might direct the localization of the catalytic enzyme to a particular subcellular compartment. Essential for serine/threonine-protein phosphatase 2A-mediated dephosphorylation of WEE1, preventing its ubiquitin-mediated proteolysis, increasing WEE1 protein levels, and promoting the G2/M checkpoint (PubMed : 33108758).
See full target information PPP2R2A

Publications (2)

Recent publications for all applications. Explore the full list and refine your search

Translational research : the journal of laboratory and clinical medicine 259:35-45 PubMed37085047

2023

Diabetes mellitus and aortic stenosis head to head: toward personalized medicine in patients with both pathologies.

Applications

Unspecified application

Species

Unspecified reactive species

Nerea Corbacho-Alonso,Tamara Sastre-Oliva,Luis F López-Almodovar,Jorge Solis,Luis R Padial,Teresa Tejerina,Montserrat Carrascal,Laura Mourino-Alvarez,Maria G Barderas

International journal of nanomedicine 16:6329-6343 PubMed34556984

2021

Exosomal miR-136-5p Derived from Anlotinib-Resistant NSCLC Cells Confers Anlotinib Resistance in Non-Small Cell Lung Cancer Through Targeting PPP2R2A.

Applications

Unspecified application

Species

Unspecified reactive species

Guoqing Gu,Chenxi Hu,Kaiyuan Hui,Huiqin Zhang,Ting Chen,Xin Zhang,Xiaodong Jiang
View all publications

Product promise

We are committed to supporting your work with high-quality reagents, and we're here for you every step of the way. In the unlikely event that one of our products does not perform as expected, you're protected by our Product Promise.
For full details, please see our Terms & Conditions

Please note: All products are 'FOR RESEARCH USE ONLY. NOT FOR USE IN DIAGNOSTIC OR THERAPEUTIC PROCEDURES'.

For licensing inquiries, please contact partnerships@abcam.com