JavaScript is disabled in your browser. Please enable JavaScript to view this website.
AB229863

Anti-PPP2R2D antibody

2

(1 Review)

|

(1 Publication)

Rabbit Polyclonal PPP2R2D antibody. Suitable for WB, IHC-P, ICC/IF and reacts with Human samples. Cited in 1 publication. Immunogen corresponding to Recombinant Fragment Protein within Human PPP2R2D aa 1-200.

View Alternative Names

KIAA1541, PPP2R2D, Serine/threonine-protein phosphatase 2A 55 kDa regulatory subunit B delta isoform, PP2A subunit B isoform B55-delta, PP2A subunit B isoform PR55-delta, PP2A subunit B isoform R2-delta, PP2A subunit B isoform delta

4 Images
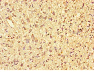
Immunohistochemistry (Formalin/PFA-fixed paraffin-embedded sections) - Anti-PPP2R2D antibody (AB229863)
  • IHC-P

Supplier Data

Immunohistochemistry (Formalin/PFA-fixed paraffin-embedded sections) - Anti-PPP2R2D antibody (AB229863)

Paraffin-embedded human glioma tissue stained for PPP2RD using ab229863 at 1/100 dilution in immunohistochemical analysis.

Immunocytochemistry/ Immunofluorescence - Anti-PPP2R2D antibody (AB229863)
  • ICC/IF

Supplier Data

Immunocytochemistry/ Immunofluorescence - Anti-PPP2R2D antibody (AB229863)

HeLa (human epithelial cell line from cervix adenocarcinoma) cells stained for PPP2RD (green) using ab229863 at 1/100 dilution in ICC/IF, followed by Alexa Fluor 488-conjugated Goat Anti-Rabbit IgG(H+L) secondary antibody.

Immunohistochemistry (Formalin/PFA-fixed paraffin-embedded sections) - Anti-PPP2R2D antibody (AB229863)
  • IHC-P

Supplier Data

Immunohistochemistry (Formalin/PFA-fixed paraffin-embedded sections) - Anti-PPP2R2D antibody (AB229863)

Paraffin-embedded human prostate cancer tissue stained for PP2R2D using ab229863 at 1/100 dilution in immunohistochemical analysis.

Western blot - Anti-PPP2R2D antibody (AB229863)
  • WB

Supplier Data

Western blot - Anti-PPP2R2D antibody (AB229863)

All lanes:

Western blot - Anti-PPP2R2D antibody (ab229863) at 1/1000 dilution

Lane 1:

SH-SY5Y (human neuroblastoma cell line from bone marrow) whole cell lysate

Lane 2:

HeLa (human epithelial cell line from cervix adenocarcinoma) whole cell lysate

Lane 3:

HEK-293T (human epithelial cell line from embryonic kidney transformed with large T antigen) whole cell lysate

Secondary

All lanes:

Goat polyclonal to rabbit IgG at 1/10000 dilution

Predicted band size: 52 kDa

Observed band size: 40 kDa,52 kDa

false

Key facts

Host species

Rabbit

Clonality

Polyclonal

Isotype

IgG

Carrier free

No

Reacts with

Human

Applications

WB, IHC-P, ICC/IF

applications

Immunogen

Recombinant Fragment Protein within Human PPP2R2D aa 1-200. The exact immunogen used to generate this antibody is proprietary information.

Q66LE6

Reactivity data

{ "title": "Reactivity Data", "filters": { "stats": ["", "Species", "Dilution Info", "Notes"], "tabs": { "all-applications": {"fullname" : "All Applications", "shortname": "All Applications"}, "WB" : {"fullname" : "Western blot", "shortname":"WB"}, "IHCP" : {"fullname" : "Immunohistochemistry (Formalin/PFA-fixed paraffin-embedded sections)", "shortname":"IHC-P"}, "ICCIF" : {"fullname" : "Immunocytochemistry/ Immunofluorescence", "shortname":"ICC/IF"} }, "product-promise": { "all": "all", "testedAndGuaranteed": "tested", "guaranteed": "expected", "predicted": "predicted", "notRecommended": "not-recommended" } }, "values": { "Human": { "WB-species-checked": "testedAndGuaranteed", "WB-species-dilution-info": "1/1000 - 1/5000", "WB-species-notes": "<p></p>", "IHCP-species-checked": "testedAndGuaranteed", "IHCP-species-dilution-info": "1/20 - 1/200", "IHCP-species-notes": "<p></p>", "ICCIF-species-checked": "testedAndGuaranteed", "ICCIF-species-dilution-info": "1/50 - 1/200", "ICCIF-species-notes": "<p></p>" }, "Mouse": { "WB-species-checked": "predicted", "WB-species-dilution-info": "", "WB-species-notes": "", "IHCP-species-checked": "predicted", "IHCP-species-dilution-info": "", "IHCP-species-notes": "", "ICCIF-species-checked": "predicted", "ICCIF-species-dilution-info": "", "ICCIF-species-notes": "" }, "Rat": { "WB-species-checked": "predicted", "WB-species-dilution-info": "", "WB-species-notes": "", "IHCP-species-checked": "predicted", "IHCP-species-dilution-info": "", "IHCP-species-notes": "", "ICCIF-species-checked": "predicted", "ICCIF-species-dilution-info": "", "ICCIF-species-notes": "" }, "Chicken": { "WB-species-checked": "predicted", "WB-species-dilution-info": "", "WB-species-notes": "", "IHCP-species-checked": "predicted", "IHCP-species-dilution-info": "", "IHCP-species-notes": "", "ICCIF-species-checked": "predicted", "ICCIF-species-dilution-info": "", "ICCIF-species-notes": "" }, "Xenopus laevis": { "WB-species-checked": "predicted", "WB-species-dilution-info": "", "WB-species-notes": "", "IHCP-species-checked": "predicted", "IHCP-species-dilution-info": "", "IHCP-species-notes": "", "ICCIF-species-checked": "predicted", "ICCIF-species-dilution-info": "", "ICCIF-species-notes": "" }, "Xenopus tropicalis": { "WB-species-checked": "predicted", "WB-species-dilution-info": "", "WB-species-notes": "", "IHCP-species-checked": "predicted", "IHCP-species-dilution-info": "", "IHCP-species-notes": "", "ICCIF-species-checked": "predicted", "ICCIF-species-dilution-info": "", "ICCIF-species-notes": "" }, "Zebrafish": { "WB-species-checked": "predicted", "WB-species-dilution-info": "", "WB-species-notes": "", "IHCP-species-checked": "predicted", "IHCP-species-dilution-info": "", "IHCP-species-notes": "", "ICCIF-species-checked": "predicted", "ICCIF-species-dilution-info": "", "ICCIF-species-notes": "" } } }

Properties and storage information

Form
Liquid
Purification technique
Affinity purification Protein G
Purification notes
Purity >95%.
Storage buffer
pH: 7.4 Preservative: 0.03% Proclin 300 Constituents: PBS, 50% Glycerol (glycerin, glycerine)
Shipped at conditions
Blue Ice
Appropriate short-term storage duration
1-2 weeks
Appropriate short-term storage conditions
+4°C
Appropriate long-term storage conditions
-20°C
Aliquoting information
Upon delivery aliquot
Storage information
Avoid freeze / thaw cycle

Supplementary information

This supplementary information is collated from multiple sources and compiled automatically.

The PPP2R2D protein also known as B regulatory subunit of phosphatase 2A (B55-Delta) is a part of the protein phosphatase 2 (PP2A) complex. It is an important element of the holoenzyme PP2A with an approximate molecular mass of 55 kilodaltons. This protein is expressed widely in human tissues including the brain and liver. PPP2R2D functions by regulating PP2A activity affecting various substrates and controlling the dephosphorylation process.
Biological function summary

PPP2R2D plays a role in cell cycle regulation and apoptosis. As a regulatory subunit of the PP2A complex it modulates the enzyme's activity and substrate specificity. This control makes PPP2R2D important in the mitotic spindle checkpoint facilitating proper chromosome segregation. Its influence on cell cycle arrest and apoptosis emerges from its ability to target several key signaling molecules thereby ensuring proper cell function and survival.

Pathways

The PP2A complex containing PPP2R2D is integral to the MAPK/ERK and PI3K/AKT pathways. Through these pathways PPP2R2D influences cellular processes like growth differentiation and survival. Related proteins in these pathways include RAF and AKT which interact with PP2A peptides to stabilize the signaling environment. PPP2R2D's functionality ensures the pathways remain balanced enabling cells to maintain normal physiological functions.

Aberrant expression or mutation of PPP2R2D associates with cancers and neurodegenerative diseases. In cancer altered PP2A activity often linked with related proteins such as MYC contributes to uncontrolled cell proliferation. Similarly in neurological conditions like Alzheimer's disease the dysregulation of PP2A-related processes can lead to tau hyperphosphorylation highlighting deficiencies in the apoptotic pathways. Understanding PPP2R2D's role can therefore highlight potential therapeutic targets for these conditions.

Product protocols

For this product, it's our understanding that no specific protocols are required. You can visit:

Target data

B regulatory subunit of protein phosphatase 2A (PP2A) that plays a key role in cell cycle by controlling mitosis entry and exit. The activity of PP2A complexes containing PPP2R2D (PR55-delta) fluctuate during the cell cycle : the activity is high in interphase and low in mitosis. During mitosis, activity of PP2A is inhibited via interaction with phosphorylated ENSA and ARPP19 inhibitors. Within the PP2A complexes, the B regulatory subunits modulate substrate selectivity and catalytic activity, and may also direct the localization of the catalytic enzyme to a particular subcellular compartment (By similarity).
See full target information PPP2R2D

Publications (1)

Recent publications for all applications. Explore the full list and refine your search

Molecular biotechnology 67:689-704 PubMed38456959

2024

O-sialoglycoprotein Endopeptidase (OSGEP) Suppresses Hepatic Ischemia-Reperfusion Injury-Induced Ferroptosis Through Modulating the MEK/ERK Signaling Pathway.

Applications

Unspecified application

Species

Unspecified reactive species

Yuanyuan Tao,Wanqing Zhou,Cheng Chen,Qian Zhang,Zhuoyi Liu,Pingping Xia,Zhi Ye,Chunling Li
View all publications

Product promise

We are committed to supporting your work with high-quality reagents, and we're here for you every step of the way. In the unlikely event that one of our products does not perform as expected, you're protected by our Product Promise.
For full details, please see our Terms & Conditions

Please note: All products are 'FOR RESEARCH USE ONLY. NOT FOR USE IN DIAGNOSTIC OR THERAPEUTIC PROCEDURES'.

For licensing inquiries, please contact partnerships@abcam.com