JavaScript is disabled in your browser. Please enable JavaScript to view this website.
AB126195

Anti-PPP2R3A antibody

0

(1 Review)

|

(2 Publications)

Rabbit Polyclonal PPP2R3A antibody. Suitable for IHC-P, WB and reacts with Human samples. Cited in 2 publications. Immunogen corresponding to Recombinant Fragment Protein within Human PPP2R3A aa 900 to C-terminus.

View Alternative Names

PPP2R3, PPP2R3A, Serine/threonine-protein phosphatase 2A regulatory subunit B'' subunit alpha, PP2A subunit B isoform PR72/PR130, PP2A subunit B isoform R3 isoform, PP2A subunit B isoforms B''-PR72/PR130, PP2A subunit B isoforms B72/B130, Serine/threonine-protein phosphatase 2A 72/130 kDa regulatory subunit B

2 Images
Immunohistochemistry (Formalin/PFA-fixed paraffin-embedded sections) - Anti-PPP2R3A antibody (AB126195)
  • IHC-P

Unknown

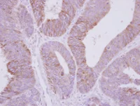
Immunohistochemistry (Formalin/PFA-fixed paraffin-embedded sections) - Anti-PPP2R3A antibody (AB126195)

ab126195, at 1/250 dilution, staining PPP2R3A in Paraffin-embedded Human Colon carcinoma tissue by Immunohistochemistry.

Western blot - Anti-PPP2R3A antibody (AB126195)
  • WB

Unknown

Western blot - Anti-PPP2R3A antibody (AB126195)

5% SDS PAGE

All lanes:

Western blot - Anti-PPP2R3A antibody (ab126195) at 1/1000 dilution

Lane 1:

NT2D1 whole cell lysate at 30 µg

Lane 2:

U-87 MG whole cell lysate at 30 µg

Predicted band size: 130 kDa

false

Key facts

Host species

Rabbit

Clonality

Polyclonal

Isotype

IgG

Carrier free

No

Reacts with

Human

Applications

IHC-P, WB

applications

Immunogen

Recombinant Fragment Protein within Human PPP2R3A aa 900 to C-terminus. The exact immunogen used to generate this antibody is proprietary information.

Q06190

Reactivity data

{ "title": "Reactivity Data", "filters": { "stats": ["", "Species", "Dilution Info", "Notes"], "tabs": { "all-applications": {"fullname" : "All Applications", "shortname": "All Applications"}, "IHCP" : {"fullname" : "Immunohistochemistry (Formalin/PFA-fixed paraffin-embedded sections)", "shortname":"IHC-P"}, "WB" : {"fullname" : "Western blot", "shortname":"WB"} }, "product-promise": { "all": "all", "testedAndGuaranteed": "tested", "guaranteed": "expected", "predicted": "predicted", "notRecommended": "not-recommended" } }, "values": { "Human": { "IHCP-species-checked": "testedAndGuaranteed", "IHCP-species-dilution-info": "1/100 - 1/500", "IHCP-species-notes": "<p></p> Perform heat-mediated antigen retrieval with citrate buffer pH 6 before commencing with IHC staining protocol.", "WB-species-checked": "testedAndGuaranteed", "WB-species-dilution-info": "1/500 - 1/3000", "WB-species-notes": "<p></p>" } } }

Properties and storage information

Form
Liquid
Purification technique
Affinity purification Immunogen
Storage buffer
pH: 7 Preservative: 0.01% Thimerosal (merthiolate) Constituents: PBS, 20% Glycerol (glycerin, glycerine), 1% BSA
Shipped at conditions
Blue Ice
Appropriate short-term storage conditions
+4°C
Appropriate long-term storage conditions
-20°C
Aliquoting information
Upon delivery aliquot
Storage information
Avoid freeze / thaw cycle

Supplementary information

This supplementary information is collated from multiple sources and compiled automatically.

The protein PPP2R3A also known as PR72 is a regulatory subunit of protein phosphatase 2A (PP2A) with a mass of about 57 kDa. It influences the activity of PP2A one of the key serine/threonine phosphatases which is important for various cellular processes. PPP2R3A is expressed in many tissues but shows higher expression in the heart and skeletal muscles. Its role is linked to assembling the PP2A holoenzyme which is significant for cell signaling.
Biological function summary

This protein interacts with the PP2A core enzyme as part of a larger holoenzyme complex. The PPP2R3A subunit provides specificity and control of PP2A catalytic activity. This regulation influences processes such as cell growth division and apoptosis by modulating the phosphorylation state of target proteins. Its regulatory function supports cellular balance impacting protein synthesis and degradation.

Pathways

The PPP2R3A protein participates in important signaling pathways including the PI3K/AKT and MAPK pathways. PPP2R3A regulates proteins within these pathways affecting cell survival and proliferation. This regulatory role modulates the response to growth factors and other signaling molecules linking PPP2R3A to proteins like AKT and ERK. Understanding these interactions helps to clarify the broader role of PP2A in cellular homeostasis.

PPP2R3A is associated with cardiac dysfunctions and certain cancers. Changes in its expression or mutations can disrupt normal PP2A activity causing abnormal signaling events. For example altered PPP2R3A levels can impact cardiac hypertrophy via interaction with the AKT protein. In cancer dysregulation of PP2A mediated by PPP2R3A might contribute to uncontrolled cell growth highlighting its significance in tumorigenesis.

Product protocols

For this product, it's our understanding that no specific protocols are required. You can visit:

Target data

The B regulatory subunit might modulate substrate selectivity and catalytic activity, and might also direct the localization of the catalytic enzyme to a particular subcellular compartment.
See full target information PPP2R3A

Publications (2)

Recent publications for all applications. Explore the full list and refine your search

PloS one 13:e0206883 PubMed30481179

2018

Deletion of Pr72 causes cardiac developmental defects in Zebrafish.

Applications

Unspecified application

Species

Unspecified reactive species

Guibo Song,Mingjun Han,Zuhua Li,Xuedong Gan,Xiaowen Chen,Jie Yang,Sufang Dong,Ming Yan,Jun Wan,Yanggan Wang,Zhuliang Huang,Zhan Yin,Fang Zheng

International journal of molecular sciences 17: PubMed27845735

2016

Deletion of Pr130 Interrupts Cardiac Development in Zebrafish.

Applications

WB

Species

Zebrafish

Jie Yang,Zuhua Li,Xuedong Gan,Gang Zhai,Jiajia Gao,Chenling Xiong,Xueping Qiu,Xuebin Wang,Zhan Yin,Fang Zheng
View all publications

Product promise

We are committed to supporting your work with high-quality reagents, and we're here for you every step of the way. In the unlikely event that one of our products does not perform as expected, you're protected by our Product Promise.
For full details, please see our Terms & Conditions

Please note: All products are 'FOR RESEARCH USE ONLY. NOT FOR USE IN DIAGNOSTIC OR THERAPEUTIC PROCEDURES'.

For licensing inquiries, please contact partnerships@abcam.com