JavaScript is disabled in your browser. Please enable JavaScript to view this website.
AB234731

Anti-PPP2R3B antibody

Be the first to review this product! Submit a review

|

(1 Publication)

Rabbit Polyclonal PPP2R3B antibody. Suitable for WB, IHC-P and reacts with Human samples. Cited in 1 publication. Immunogen corresponding to Recombinant Fragment Protein within Human PPP2R3B aa 350 to C-terminus.

View Alternative Names

PPP2R3L, PPP2R3B, Serine/threonine-protein phosphatase 2A regulatory subunit B'' subunit beta, PP2A subunit B isoform PR48, Protein phosphatase 2A 48 kDa regulatory subunit

3 Images
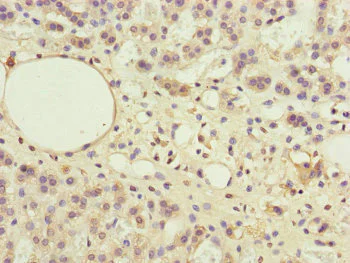
Immunohistochemistry (Formalin/PFA-fixed paraffin-embedded sections) - Anti-PPP2R3B antibody (AB234731)
  • IHC-P

Supplier Data

Immunohistochemistry (Formalin/PFA-fixed paraffin-embedded sections) - Anti-PPP2R3B antibody (AB234731)

Paraffin-embedded human liver cancer tissue stained for PPP2R3B with ab234731 at 1/100 dilution in immunohistochemical analysis.

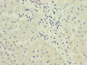
Immunohistochemistry (Formalin/PFA-fixed paraffin-embedded sections) - Anti-PPP2R3B antibody (AB234731)
  • IHC-P

Supplier Data

Immunohistochemistry (Formalin/PFA-fixed paraffin-embedded sections) - Anti-PPP2R3B antibody (AB234731)

Paraffin-embedded human adrenal gland tissue stained for PPP2R3B with ab234731 at 1/100 dilution in immunohistochemical analysis.

Western blot - Anti-PPP2R3B antibody (AB234731)
  • WB

Supplier Data

Western blot - Anti-PPP2R3B antibody (AB234731)

All lanes:

Western blot - Anti-PPP2R3B antibody (ab234731) at 1/1000 dilution

All lanes:

HL-60 (human promyelocytic leukemia cell line) whole cell lysate

Secondary

All lanes:

Goat polyclonal to rabbit IgG at 1/10000 dilution

Predicted band size: 65 kDa

Observed band size: 66 kDa

false

Key facts

Host species

Rabbit

Clonality

Polyclonal

Isotype

IgG

Carrier free

No

Reacts with

Human

Applications

WB, IHC-P

applications

Immunogen

Recombinant Fragment Protein within Human PPP2R3B aa 350 to C-terminus. The exact immunogen used to generate this antibody is proprietary information.

Q9Y5P8

Reactivity data

{ "title": "Reactivity Data", "filters": { "stats": ["", "Species", "Dilution Info", "Notes"], "tabs": { "all-applications": {"fullname" : "All Applications", "shortname": "All Applications"}, "WB" : {"fullname" : "Western blot", "shortname":"WB"}, "IHCP" : {"fullname" : "Immunohistochemistry (Formalin/PFA-fixed paraffin-embedded sections)", "shortname":"IHC-P"} }, "product-promise": { "all": "all", "testedAndGuaranteed": "tested", "guaranteed": "expected", "predicted": "predicted", "notRecommended": "not-recommended" } }, "values": { "Human": { "WB-species-checked": "testedAndGuaranteed", "WB-species-dilution-info": "1/1000 - 1/5000", "WB-species-notes": "<p></p>", "IHCP-species-checked": "testedAndGuaranteed", "IHCP-species-dilution-info": "1/20 - 1/200", "IHCP-species-notes": "<p></p>" } } }

Properties and storage information

Form
Liquid
Purification technique
Affinity purification Immunogen
Storage buffer
pH: 7.3 Preservative: 0.02% Sodium azide Constituents: PBS, 50% Glycerol (glycerin, glycerine)
Shipped at conditions
Blue Ice
Appropriate short-term storage duration
1-2 weeks
Appropriate short-term storage conditions
+4°C
Appropriate long-term storage conditions
-20°C
Aliquoting information
Upon delivery aliquot
Storage information
Avoid freeze / thaw cycle

Supplementary information

This supplementary information is collated from multiple sources and compiled automatically.

PPP2R3B also known as Protein Phosphatase 2 Regulatory Subunit B'' is a regulatory subunit of the protein phosphatase 2A (PP2A) complex. This protein plays a role in modulating the activity of the PP2A enzyme complex which is a critical enzyme in cell signaling. PPP2R3B has a molecular weight of approximately 57 kDa. It is expressed in various tissues with notable expression in the heart and skeletal muscle suggesting its importance in these tissues. The regulatory function of PPP2R3B involves interaction with the catalytic and scaffold subunits of PP2A.
Biological function summary

PPP2R3B influences a variety of cellular processes through its role in the PP2A complex. PP2A is involved in cell growth division and apoptosis by regulating phosphorylation states of serine and threonine residues on target proteins. As a regulatory subunit PPP2R3B can modify the specificity and localization of the PP2A complex impacting cellular signaling pathways. It does not act alone but as part of a larger protein complex it helps ensure accurate and timely signal transduction within cells.

Pathways

The activity of PPP2R3B within the PP2A complex influences the Wnt and MAPK signaling pathways. These pathways are important in regulating cell fate decisions and proliferative responses. Within the Wnt pathway PPP2R3B associates with proteins like Axin and GSK-3β influencing the stability and activity of β-catenin. In the MAPK pathway it can impact the activation state of key signaling proteins such as Raf-1 linking it with cell proliferation and differentiation.

Dysregulation of PPP2R3B has implications in cancer and cardiac disorders. In certain cancers altered expression or mutations can disrupt normal cell proliferation control contributing to tumorigenesis. The interaction of PPP2R3B with proteins such as MYC is evident in some cancer contexts as it affects MYC stabilization and function. In cardiac disorders changes in PP2A complex activity influenced by PPP2R3B can lead to improper cardiac development or function connecting it to diseases like cardiomyopathies.

Product protocols

For this product, it's our understanding that no specific protocols are required. You can visit:

Target data

The B regulatory subunit might modulate substrate selectivity and catalytic activity, and also might direct the localization of the catalytic enzyme to a particular subcellular compartment.
See full target information PPP2R3B

Publications (1)

Recent publications for all applications. Explore the full list and refine your search

International journal of molecular sciences 24: PubMed37298594

2023

Thyroid Hormone Transporters MCT8 and OATP1C1 Are Expressed in Projection Neurons and Interneurons of Basal Ganglia and Motor Thalamus in the Adult Human and Macaque Brains.

Applications

Unspecified application

Species

Unspecified reactive species

Ting Wang,Yu Wang,Ana Montero-Pedrazuela,Lucía Prensa,Ana Guadaño-Ferraz,Estrella Rausell
View all publications

Product promise

We are committed to supporting your work with high-quality reagents, and we're here for you every step of the way. In the unlikely event that one of our products does not perform as expected, you're protected by our Product Promise.
For full details, please see our Terms & Conditions

Please note: All products are 'FOR RESEARCH USE ONLY. NOT FOR USE IN DIAGNOSTIC OR THERAPEUTIC PROCEDURES'.

For licensing inquiries, please contact partnerships@abcam.com