JavaScript is disabled in your browser. Please enable JavaScript to view this website.
AB264338

Anti-PPP2R5C antibody

Be the first to review this product! Submit a review

|

(0 Publication)

Rabbit Polyclonal PPP2R5C antibody. Suitable for IHC-P, IP, WB and reacts with Human samples. Immunogen corresponding to Synthetic Peptide within Human PPP2R5C aa 450 to C-terminus.

View Alternative Names

KIAA0044, PPP2R5C, Serine/threonine-protein phosphatase 2A 56 kDa regulatory subunit gamma isoform, PP2A B subunit isoform B'-gamma, PP2A B subunit isoform B56-gamma, PP2A B subunit isoform PR61-gamma, PP2A B subunit isoform R5-gamma, Renal carcinoma antigen NY-REN-29

3 Images
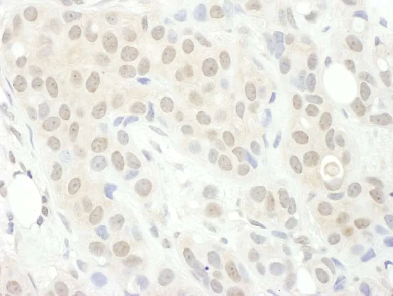
Immunohistochemistry (Formalin/PFA-fixed paraffin-embedded sections) - Anti-PPP2R5C antibody (AB264338)
  • IHC-P

Unknown

Immunohistochemistry (Formalin/PFA-fixed paraffin-embedded sections) - Anti-PPP2R5C antibody (AB264338)

Immunohistochemical analysis of FFPE human breast carcinoma tissue section labeling PPP2R5C with ab264338 at 1/1000 dilution. Hematoxylin was used as counterstain. Detection : DAB.

Epitope retrieval with citrate buffer pH 6.0 is recommended for FFPE tissue sections.

Immunoprecipitation - Anti-PPP2R5C antibody (AB264338)
  • IP

Supplier Data

Immunoprecipitation - Anti-PPP2R5C antibody (AB264338)

PPP2R5C was immunoprecipitated from 1mg of HeLa (Human epithelial cell line from cervix adenocarcinoma) whole cell lysate with ab264338 at 6 μg/mg lysate. Western blot was performed from the immunoprecipitate using ab264338 at 1 μg/ml.

Lane 1 : ab264338 IP in HeLa whole cell lysate.
Lane 2 : Control IgG.

Exposure time : 30 secs.

All lanes:

Immunoprecipitation - Anti-PPP2R5C antibody (ab264338)

Predicted band size: 61 kDa

false

Western blot - Anti-PPP2R5C antibody (AB264338)
  • WB

Supplier Data

Western blot - Anti-PPP2R5C antibody (AB264338)

All lanes:

Western blot - Anti-PPP2R5C antibody (ab264338) at 0.04 µg/mL

Lane 1:

HEK-293T whole cell lysate at 50 µg

Lane 2:

HEK-293T whole cell lysate at 15 µg

Lane 3:

HeLa whole cell lysate at 50 µg

Lane 4:

Jurkat whole cell lysate at 50 µg

Predicted band size: 61 kDa

true

Exposure time: 3min

Key facts

Host species

Rabbit

Clonality

Polyclonal

Isotype

IgG

Carrier free

No

Reacts with

Human

Applications

WB, IHC-P, IP

applications

Immunogen

Synthetic Peptide within Human PPP2R5C aa 450 to C-terminus. The exact immunogen used to generate this antibody is proprietary information.

Q13362

Reactivity data

{ "title": "Reactivity Data", "filters": { "stats": ["", "Species", "Dilution Info", "Notes"], "tabs": { "all-applications": {"fullname" : "All Applications", "shortname": "All Applications"}, "IHCP" : {"fullname" : "Immunohistochemistry (Formalin/PFA-fixed paraffin-embedded sections)", "shortname":"IHC-P"}, "IP" : {"fullname" : "Immunoprecipitation", "shortname":"IP"}, "WB" : {"fullname" : "Western blot", "shortname":"WB"} }, "product-promise": { "all": "all", "testedAndGuaranteed": "tested", "guaranteed": "expected", "predicted": "predicted", "notRecommended": "not-recommended" } }, "values": { "Human": { "IHCP-species-checked": "testedAndGuaranteed", "IHCP-species-dilution-info": "1/500 - 1/2000", "IHCP-species-notes": "<p></p> Perform heat-mediated antigen retrieval with citrate buffer pH 6 before commencing with IHC staining protocol.", "IP-species-checked": "testedAndGuaranteed", "IP-species-dilution-info": "2-10 µg/mg of lysate", "IP-species-notes": "<p></p>", "WB-species-checked": "testedAndGuaranteed", "WB-species-dilution-info": "1/1000 - 1/5000", "WB-species-notes": "<p></p>" } } }

Properties and storage information

Form
Liquid
Purification technique
Affinity purification Immunogen
Storage buffer
pH: 7 - 8 Preservative: 0.09% Sodium azide Constituents: Tris citrate/phosphate
Shipped at conditions
Blue Ice
Appropriate short-term storage duration
1-2 weeks
Appropriate short-term storage conditions
+4°C
Appropriate long-term storage conditions
+4°C
Aliquoting information
Upon delivery aliquot
Storage information
Avoid freeze / thaw cycle

Supplementary information

This supplementary information is collated from multiple sources and compiled automatically.

The protein phosphatase 2 regulatory subunit B' gamma also known as PPP2R5C is a regulatory component of the protein phosphatase 2A (PP2A) holoenzyme. PPP2R5C has a molecular weight of approximately 59 kDa. This protein shows expression in various tissues including brain kidney spleen and liver. PPP2R5C serves as a modulator by altering the substrate selectivity or catalytic activity of the PP2A core enzyme which consists of a catalytic subunit and a structural subunit.
Biological function summary

The protein plays a role in mediating cellular processes through its participation as part of the PP2A holoenzyme complex. PP2A regulates various cellular activities including cell cycle progression apoptosis and signal transduction. PPP2R5C contributes to these biological processes by modulating enzyme activity and directing the PP2A holoenzyme to specific subcellular compartments or substrates. This makes PPP2R5C essential for maintaining cellular homeostasis and response to environmental signals.

Pathways

PPP2R5C functions in key signaling pathways such as the MAPK/ERK pathway and the PI3K/AKT pathway. In the MAPK/ERK pathway PPP2R5C affects phosphorylation states and downstream signaling outcomes. The protein also interacts with other components such as AKT enabling regulation of cellular growth metabolism and survival mechanisms. These interactions define the influence of PPP2R5C on signal propagation and impact the overall cellular response.

Alterations in PPP2R5C have been implicated in cancer and neurodegenerative diseases. In cancer abnormal PP2A activity linked with PPP2R5C affects cell cycle regulation and tumorigenesis interacting with cancer-related pathways and proteins like MYC. In neurodegenerative diseases dysfunctions in signaling mechanisms where PPP2R5C is involved contribute to disease progression affecting proteins related to neuron survival and function. Understanding the role of PPP2R5C in these diseases provides insight into potential therapeutic targets.

Product protocols

For this product, it's our understanding that no specific protocols are required. You can visit:

Target data

The B regulatory subunit might modulate substrate selectivity and catalytic activity, and also might direct the localization of the catalytic enzyme to a particular subcellular compartment. The PP2A-PPP2R5C holoenzyme may specifically dephosphorylate and activate TP53 and play a role in DNA damage-induced inhibition of cell proliferation. PP2A-PPP2R5C may also regulate the ERK signaling pathway through ERK dephosphorylation.
See full target information PPP2R5C

Product promise

We are committed to supporting your work with high-quality reagents, and we're here for you every step of the way. In the unlikely event that one of our products does not perform as expected, you're protected by our Product Promise.
For full details, please see our Terms & Conditions

Please note: All products are 'FOR RESEARCH USE ONLY. NOT FOR USE IN DIAGNOSTIC OR THERAPEUTIC PROCEDURES'.

For licensing inquiries, please contact partnerships@abcam.com