JavaScript is disabled in your browser. Please enable JavaScript to view this website.
AB188325

Anti-PPP2R5D antibody [EPR15617-50]

Be the first to review this product! Submit a review

|

(2 Publications)

Knockout Tested Rabbit Recombinant Monoclonal PPP2R5D antibody. Suitable for IP, WB, IHC-P, ICC/IF and reacts with Human, Rat samples. Cited in 2 publications.

View Alternative Names

Serine/threonine-protein phosphatase 2A 56 kDa regulatory subunit delta isoform, PP2A B subunit isoform B'-delta, PP2A B subunit isoform B56-delta, PP2A B subunit isoform PR61-delta, PP2A B subunit isoform R5-delta, PPP2R5D

7 Images
Immunocytochemistry/ Immunofluorescence - Anti-PPP2R5D antibody [EPR15617-50] (AB188325)
  • ICC/IF

Lab

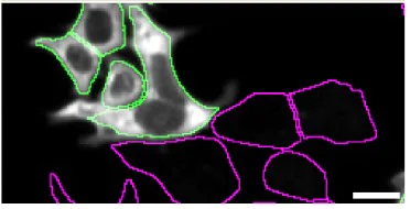
Immunocytochemistry/ Immunofluorescence - Anti-PPP2R5D antibody [EPR15617-50] (AB188325)

ab188325 was shown to react with PPP2R5D in wild-type HAP1 cells in immunocytochemistry with loss of signal observed in a PPP2R5D knockout cell line. Wild-type and knockout cells were mixed and pelleted at a 1 : 1 ratio on coverslips. The cells were fixed with 4% paraformaldehyde (15 min) then permeabilized with 0.1% Triton X-100 (10min) and then blocked with 1x PBS, 0.01% Triton X-100, 5% BSA, 5% NGS. The cells were then incubated with ab188325 at dilution overnight at 4°C followed by a further incubation at room temperature for 1h with a goat anti-rabbit secondary antibody to (Alexa Fluor® 555) at 0.5 ?g/ml. Acquisition of the green (wild-type), red (antibody staining) and far-red (knockout) channels was performed. Representative grayscale images of the red channel are shown. Wild-type and knockout cells are outlined with yellow and magenta dashed line, respectively. Schematic representation of the mosaic strategy used is shown on the bottom-right panel. Image was acquired with a Zeiss(LSM-880).

This data was provided by YCharOS Inc., an open science company with the mission of characterizing commercially available antibody reagents for all human proteins. Abcam and YCharOS are working together to help address the reproducibility crisis by enabling the life science community to better evaluate commercially available antibodies.

Immunohistochemistry (Formalin/PFA-fixed paraffin-embedded sections) - Anti-PPP2R5D antibody [EPR15617-50] (AB188325)
  • IHC-P

Supplier Data

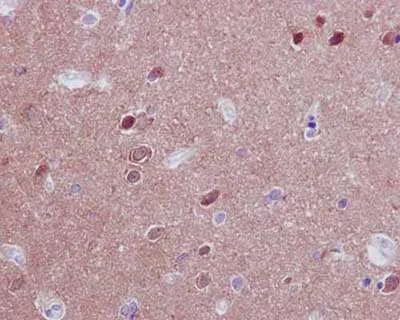
Immunohistochemistry (Formalin/PFA-fixed paraffin-embedded sections) - Anti-PPP2R5D antibody [EPR15617-50] (AB188325)

Immunohistochemical analysis of paraffin-embedded Human brain tissue labeling PPP2R5D with ab188325 at 1/100 dilution followed by prediluted HRP Polymer for Rabbit IgG. Counter stained with Hematoxylin.

Perform heat mediated antigen retrieval with Tris/EDTA buffer pH 9.0 before commencing with IHC staining protocol.

Immunohistochemistry (Formalin/PFA-fixed paraffin-embedded sections) - Anti-PPP2R5D antibody [EPR15617-50] (AB188325)
  • IHC-P

Supplier Data

Immunohistochemistry (Formalin/PFA-fixed paraffin-embedded sections) - Anti-PPP2R5D antibody [EPR15617-50] (AB188325)

Immunohistochemical analysis of paraffin-embedded Human astrocytoma tissue labeling PPP2R5D with ab188325 at 1/100 dilution followed by prediluted HRP Polymer for Rabbit IgG. Counter stained with Hematoxylin.

Perform heat mediated antigen retrieval with Tris/EDTA buffer pH 9.0 before commencing with IHC staining protocol.

Western blot - Anti-PPP2R5D antibody [EPR15617-50] (AB188325)
  • WB

Lab

Western blot - Anti-PPP2R5D antibody [EPR15617-50] (AB188325)

ab188325 was shown to react with PPP2R5D in wild-type HAP1 cells in Western blot with loss of signal observed in a PPP2R5D knockout cell line. Wild-type HAP1 and PPP2R5D knockout cell lysates were subjected to SDS-PAGE. Membranes were blocked in 5% milk in TBST for 1 hr before incubation with ab188325 overnight at 4 °C at a 1/10000 dilution. Blots were incubated with secondary antibodies at 0.2ug/mL before imaging.

This data was provided by YCharOS Inc., an open science company with the mission of characterizing commercially available antibody reagents for all human proteins. Abcam and YCharOS are working together to help address the reproducibility crisis by enabling the life science community to better evaluate commercially available antibodies.

All lanes:

Western blot - Anti-PPP2R5D antibody [EPR15617-50] (ab188325) at 1/10000 dilution

Lane 1:

Wild-type HAP1 lysate at 20 µg

Lane 2:

PPP2R5D knock-out HAP1 lysate at 20 µg

Observed band size: 70 kDa

false

Immunoprecipitation - Anti-PPP2R5D antibody [EPR15617-50] (AB188325)
  • IP

Supplier Data

Immunoprecipitation - Anti-PPP2R5D antibody [EPR15617-50] (AB188325)

Western blot analysis of PPP2R5D in 293T cell lysate immunoprecipitated with ab188325 at 1/50 dilution. A Goat Anti-Rabbit IgG, (H+L), Peroxidase conjugate at 1/1500 was used as secondary antibody.

All lanes:

Immunoprecipitation - Anti-PPP2R5D antibody [EPR15617-50] (ab188325)

Predicted band size: 70 kDa

false

Western blot - Anti-PPP2R5D antibody [EPR15617-50] (AB188325)
  • WB

Supplier Data

Western blot - Anti-PPP2R5D antibody [EPR15617-50] (AB188325)

All lanes:

Western blot - Anti-PPP2R5D antibody [EPR15617-50] (ab188325) at 1/50000 dilution

Lane 1:

C6 cell lysate at 10 µg

Lane 2:

HepG2 cell lysate at 10 µg

Lane 3:

293T cell lysate at 10 µg

Lane 4:

HeLa cell lysate at 10 µg

Lane 5:

Jurkat cell lysate at 10 µg

Secondary

All lanes:

Goat Anti-Rabbit IgG, (H+L), Peroxidase conjugated at 1/1000 dilution

Predicted band size: 70 kDa

false

Western blot - Anti-PPP2R5D antibody [EPR15617-50] (AB188325)
  • WB

Lab

Western blot - Anti-PPP2R5D antibody [EPR15617-50] (AB188325)

Lanes 1 - 4 : Merged signal (red and green). Green - ab188325 observed at 60-65 kDa. Red - loading control ab8245 (Mouse anti-GAPDH antibody [6C5]) observed at 37kDa.

ab188325 was shown to react with PPP2R5D in wild-type A431 cells in western blot with loss of signal observed in PPP2R5D knockout sample. Wild-type and PPP2R5D knockout A431 cell lysates were subjected to SDS-PAGE. Membranes were blocked in 3% milk in TBS-T (0.1% Tween®) before incubation with ab188325 and ab8245 (Mouse anti-GAPDH antibody [6C5]) overnight at 4°C at a 1 in 10000 Dilution and a 1 in 20000 dilution respectively. Blots were incubated with Goat anti-Rabbit IgG H&L (IRDye® 800CW) preabsorbed (ab216773) and Goat anti-Mouse IgG H&L (IRDye® 680RD) preabsorbed (ab216776) secondary antibodies at 1 in 20000 dilution for 1 hour at room temperature before imaging.

All lanes:

Western blot - Anti-PPP2R5D antibody [EPR15617-50] (ab188325) at 1/10000 dilution

Lane 1:

Wild-type A-431 (Human epidermoid carcinoma cell line) whole cell lysate at 20 µg

Lane 2:

PPP2R5D knockout A-431 (Human epidermoid carcinoma cell line) whole cell lysate at 20 µg

Lane 2:

Western blot - Human PPP2R5D knockout A-431 cell line (<a href='/en-us/products/cell-lines/human-ppp2r5d-knockout-a-431-cell-line-ab270476'>ab270476</a>)

Lane 3:

HeLa (Human epithelial cell line from cervix adenocarcinoma) whole cell lysate at 20 µg

Lane 4:

MCF7 (Human breast adenocarcinoma cell line) whole cell lysate at 20 µg

Predicted band size: 70 kDa

Observed band size: 60-65 kDa

false

  • Carrier free

    Anti-PPP2R5D antibody [EPR15617-50] - BSA and Azide free

Key facts

Host species

Rabbit

Clonality

Monoclonal

Clone number

EPR15617-50

Isotype

IgG

Carrier free

No

Reacts with

Rat, Human

Applications

ICC/IF, IHC-P, WB, IP

applications

Immunogen

The exact immunogen used to generate this antibody is proprietary information.

Specificity

Based on sequence analysis, ab188325 recognizes 3 isoforms with the predicted MWs of 58kDa, 66kDa and 70kDa, respectively

Reactivity data

{ "title": "Reactivity Data", "filters": { "stats": ["", "Species", "Dilution Info", "Notes"], "tabs": { "all-applications": {"fullname" : "All Applications", "shortname": "All Applications"}, "IP" : {"fullname" : "Immunoprecipitation", "shortname":"IP"}, "WB" : {"fullname" : "Western blot", "shortname":"WB"}, "IHCP" : {"fullname" : "Immunohistochemistry (Formalin/PFA-fixed paraffin-embedded sections)", "shortname":"IHC-P"}, "ICCIF" : {"fullname" : "Immunocytochemistry/ Immunofluorescence", "shortname":"ICC/IF"} }, "product-promise": { "all": "all", "testedAndGuaranteed": "tested", "guaranteed": "expected", "predicted": "predicted", "notRecommended": "not-recommended" } }, "values": { "Human": { "IP-species-checked": "testedAndGuaranteed", "IP-species-dilution-info": "1/40 - 1/60", "IP-species-notes": "<p></p>", "WB-species-checked": "testedAndGuaranteed", "WB-species-dilution-info": "1/10000 - 1/50000", "WB-species-notes": "<p></p>", "IHCP-species-checked": "testedAndGuaranteed", "IHCP-species-dilution-info": "1/50 - 1/100", "IHCP-species-notes": "<p></p> Perform heat-mediated antigen retrieval with Tris/EDTA buffer pH 9.0 before commencing with IHC staining protocol.", "ICCIF-species-checked": "testedAndGuaranteed", "ICCIF-species-dilution-info": "1/300", "ICCIF-species-notes": "<p></p>" }, "Mouse": { "IP-species-checked": "predicted", "IP-species-dilution-info": "", "IP-species-notes": "", "WB-species-checked": "predicted", "WB-species-dilution-info": "", "WB-species-notes": "", "IHCP-species-checked": "predicted", "IHCP-species-dilution-info": "", "IHCP-species-notes": "", "ICCIF-species-checked": "predicted", "ICCIF-species-dilution-info": "", "ICCIF-species-notes": "" }, "Rat": { "IP-species-checked": "guaranteed", "IP-species-dilution-info": "", "IP-species-notes": "", "WB-species-checked": "testedAndGuaranteed", "WB-species-dilution-info": "1/10000 - 1/50000", "WB-species-notes": "<p></p>", "IHCP-species-checked": "guaranteed", "IHCP-species-dilution-info": "", "IHCP-species-notes": "", "ICCIF-species-checked": "guaranteed", "ICCIF-species-dilution-info": "", "ICCIF-species-notes": "" } } }

Product details

Patented technology
Our RabMAb® technology is a patented hybridoma-based technology for making rabbit monoclonal antibodies. For details on our patents, please refer to RabMAb® patents.

What are the advantages of a recombinant monoclonal antibody?
This product is a recombinant monoclonal antibody, which offers several advantages including:

  • - High batch-to-batch consistency and reproducibility
  • - Improved sensitivity and specificity
  • - Long-term security of supply
  • - Animal-free batch production

For more information, read more on recombinant antibodies.

Properties and storage information

Form
Liquid
Purification technique
Affinity purification Protein A
Storage buffer
pH: 7.2 - 7.4 Preservative: 0.01% Sodium azide Constituents: PBS, 40% Glycerol (glycerin, glycerine), 0.05% BSA
Shipped at conditions
Blue Ice
Appropriate short-term storage duration
1-2 weeks
Appropriate short-term storage conditions
+4°C
Appropriate long-term storage conditions
-20°C
Aliquoting information
Upon delivery aliquot
Storage information
Avoid freeze / thaw cycle

Supplementary information

This supplementary information is collated from multiple sources and compiled automatically.

PPP2R5D also known as B56δ forms part of the regulatory subunit of protein phosphatase 2A (PP2A). Protein phosphatase 2A is an important enzyme in cellular signaling that dephosphorylates target proteins. The approximate molecular mass of PPP2R5D is 72 kDa. It is found expressed in various tissues throughout the human body but its levels can vary between different cell types.
Biological function summary

PPP2R5D plays an essential role in the regulation of cell growth and division. This protein is part of the PP2A holoenzyme complex which assembles with catalytic and scaffolding subunits. Through its regulatory influence PPP2R5D affects the phosphorylation state of several substrates thereby impacting cellular processes like cell cycle progression and apoptosis.

Pathways

PPP2R5D significantly contributes to the MAPK signaling pathway and the Wnt pathway. It modulates phosphorylation states affecting signal transduction mechanisms. In the MAPK pathway PPP2R5D interacts with proteins like ERK1/2 by influencing their activity. Similarly in the Wnt pathway it acts on components important for maintaining cellular balance and signaling fidelity.

PPP2R5D mutations and dysregulation have been linked to intellectual disabilities and cancer. Changes in its function are associated with Autism Spectrum Disorder where it potentially interacts with other proteins involved in neuronal development. In cancer altered PPP2R5D activity may disrupt normal cellular growth control often involving proteins like c-Myc that are critical for proliferation and survival.

Product protocols

For this product, it's our understanding that no specific protocols are required. You can visit:

Target data

The B regulatory subunit might modulate substrate selectivity and catalytic activity, and also might direct the localization of the catalytic enzyme to a particular subcellular compartment.
See full target information Serine/threonine-protein phosphatase 2A 56 kDa regulatory subunit delta isoform

Publications (2)

Recent publications for all applications. Explore the full list and refine your search

F1000Research 13:1 PubMed39935523

2025

A guide to selecting high-performing antibodies for Serine/threonine-protein phosphatase 2A 56 kDa regulatory subunit delta isoform (PPP2R5D) for use in Western Blot, immunoprecipitation and immunofluorescence.

Applications

WB, ICC, IP

Species

Human, Human, Human

Riham Ayoubi,Maryam Fotouhi,Charles Alende,Kathleen Southern,Carl Laflamme

FASEB journal : official publication of the Federation of American Societies for Experimental Biology 33:13131-13144 PubMed31638431

2019

p38γ MAPK contributes to left ventricular remodeling after pathologic stress and disinhibits calpain through phosphorylation of calpastatin.

Applications

Unspecified application

Species

Unspecified reactive species

Aminah A Loonat,E Denise Martin,Negin Sarafraz-Shekary,Katharina Tilgner,Nicholas T Hertz,Rebecca Levin,Kevan M Shokat,Alma L Burlingame,Pelin Arabacilar,Shahzan Uddin,Max Thomas,Michael S Marber,James E Clark
View all publications

Product promise

We are committed to supporting your work with high-quality reagents, and we're here for you every step of the way. In the unlikely event that one of our products does not perform as expected, you're protected by our Product Promise.
For full details, please see our Terms & Conditions

Please note: All products are 'FOR RESEARCH USE ONLY. NOT FOR USE IN DIAGNOSTIC OR THERAPEUTIC PROCEDURES'.

For licensing inquiries, please contact partnerships@abcam.com