JavaScript is disabled in your browser. Please enable JavaScript to view this website.
AB188323

Anti-PPP2R5D antibody [EPR15617]

Be the first to review this product! Submit a review

|

(12 Publications)

Knockout Tested Rabbit Recombinant Monoclonal PPP2R5D antibody. Suitable for IP, WB, ICC/IF, Flow Cyt (Intra), IHC-P and reacts with Human, Rat samples. Cited in 12 publications.

View Alternative Names

Serine/threonine-protein phosphatase 2A 56 kDa regulatory subunit delta isoform, PP2A B subunit isoform B'-delta, PP2A B subunit isoform B56-delta, PP2A B subunit isoform PR61-delta, PP2A B subunit isoform R5-delta, PPP2R5D

8 Images
Immunocytochemistry/ Immunofluorescence - Anti-PPP2R5D antibody [EPR15617] (AB188323)
  • ICC/IF

Lab

Immunocytochemistry/ Immunofluorescence - Anti-PPP2R5D antibody [EPR15617] (AB188323)

ab188323 was shown to react with PPP2R5D in wild-type HAP1 cells in immunocytochemistry with loss of signal observed in a PPP2R5D knockout cell line. Wild-type and knockout cells were mixed and pelleted at a 1 : 1 ratio on coverslips. The cells were fixed with 4% paraformaldehyde (15 min) then permeabilized with 0.1% Triton X-100 (10min) and then blocked with 1x PBS, 0.01% Triton X-100, 5% BSA, 5% NGS. The cells were then incubated with ab188323 at dilution overnight at 4°C followed by a further incubation at room temperature for 1h with a goat anti-rabbit secondary antibody to (Alexa Fluor® 555) at 0.5 ?g/ml. Acquisition of the green (wild-type), red (antibody staining) and far-red (knockout) channels was performed. Representative grayscale images of the red channel are shown. Wild-type and knockout cells are outlined with yellow and magenta dashed line, respectively. Schematic representation of the mosaic strategy used is shown on the bottom-right panel. Image was acquired with a Zeiss(LSM-880).

This data was provided by YCharOS Inc., an open science company with the mission of characterizing commercially available antibody reagents for all human proteins. Abcam and YCharOS are working together to help address the reproducibility crisis by enabling the life science community to better evaluate commercially available antibodies.

Flow Cytometry (Intracellular) - Anti-PPP2R5D antibody [EPR15617] (AB188323)
  • Flow Cyt (Intra)

Supplier Data

Flow Cytometry (Intracellular) - Anti-PPP2R5D antibody [EPR15617] (AB188323)

Intracellular Flow Cytometry analysis of HeLa cells labeling PPP2R5D using ab188323 at 1/40 dilution (pink). A Goat anti rabbit IgG (FITC) at 1/150 dilution was used as secondary antibody. Cells were fixed with 2% paraformaldehyde. Isotype control : Rabbit monoclonal IgG (green).

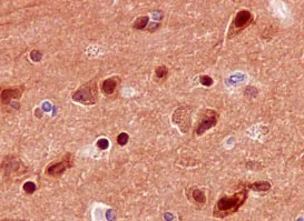
Immunohistochemistry (Formalin/PFA-fixed paraffin-embedded sections) - Anti-PPP2R5D antibody [EPR15617] (AB188323)
  • IHC-P

Supplier Data

Immunohistochemistry (Formalin/PFA-fixed paraffin-embedded sections) - Anti-PPP2R5D antibody [EPR15617] (AB188323)

Immunohistochemical analysis of paraffin-embedded Human brain tissue labeling PPP2R5D using ab188323 at 1/100 dilution. A Ready to use HRP Polymer for Rabbit IgG (prediluted) was used as secondary. Counterstain : Hematoxylin.

Perform heat mediated antigen retrieval with Tris/EDTA buffer pH 9.0 before commencing with IHC staining protocol.

Immunocytochemistry/ Immunofluorescence - Anti-PPP2R5D antibody [EPR15617] (AB188323)
  • ICC/IF

Supplier Data

Immunocytochemistry/ Immunofluorescence - Anti-PPP2R5D antibody [EPR15617] (AB188323)

Immunofluorescence analysis of HepG2 cells labeling PPP2R5D using ab188323 at 1/250 dilution. A Goat anti rabbit IgG (Alexa Fluor488) at 1/200 dilution was used as secondary antibody. Cells were fixed with 4% Paraformaldehyde. Counterstain : DAPI.

Western blot - Anti-PPP2R5D antibody [EPR15617] (AB188323)
  • WB

Lab

Western blot - Anti-PPP2R5D antibody [EPR15617] (AB188323)

ab188323 was shown to react with PPP2R5D in wild-type HAP1 cells in Western blot with loss of signal observed in a PPP2R5D knockout cell line. Wild-type HAP1 and PPP2R5D knockout cell lysates were subjected to SDS-PAGE. Membranes were blocked in 5% milk in TBST for 1 hr before incubation with ab188323 overnight at 4 °C at a 1/10000 dilution. Blots were incubated with secondary antibodies at 0.2ug/mL before imaging.

This data was provided by YCharOS Inc., an open science company with the mission of characterizing commercially available antibody reagents for all human proteins. Abcam and YCharOS are working together to help address the reproducibility crisis by enabling the life science community to better evaluate commercially available antibodies.

All lanes:

Western blot - Anti-PPP2R5D antibody [EPR15617] (ab188323) at 1/10000 dilution

Lane 1:

Wild-type HAP1 lysate at 20 µg

Lane 2:

PPP2R5D knock-out HAP1 lysate at 20 µg

Observed band size: 70 kDa

false

Immunoprecipitation - Anti-PPP2R5D antibody [EPR15617] (AB188323)
  • IP

Supplier Data

Immunoprecipitation - Anti-PPP2R5D antibody [EPR15617] (AB188323)

Immunoprecipitation analysis of 293T cell lysate labeling PPP2R5D using ab188323 at 1/50 dilution. A Goat Anti-Rabbit IgG, (H+L), Peroxidase conjugated at 1/1500 was used as secondary antibody.

All lanes:

Immunoprecipitation - Anti-PPP2R5D antibody [EPR15617] (ab188323)

Predicted band size: 70 kDa

false

Western blot - Anti-PPP2R5D antibody [EPR15617] (AB188323)
  • WB

Supplier Data

Western blot - Anti-PPP2R5D antibody [EPR15617] (AB188323)

Based on the sequence analysis, ab188323 recognizes 3 isoforms with the predicted MWs of 58KDa, 66KDa and 70KDa, respectively.

All lanes:

Western blot - Anti-PPP2R5D antibody [EPR15617] (ab188323) at 1/100000 dilution

Lane 1:

C6 cell lysate at 10 µg

Lane 2:

HepG2 cell lysate at 10 µg

Lane 3:

293T cell lysate at 10 µg

Lane 4:

HeLa cell lysate at 10 µg

Lane 5:

Jurkat cell lysate at 10 µg

Secondary

All lanes:

Goat Anti-Rabbit IgG, (H+L), Peroxidase conjugated at 1/1000 dilution

Predicted band size: 70 kDa

Observed band size: 70 kDa

false

Western blot - Anti-PPP2R5D antibody [EPR15617] (AB188323)
  • WB

Lab

Western blot - Anti-PPP2R5D antibody [EPR15617] (AB188323)

Lanes 1 - 4 : Merged signal (red and green). Green - ab188323 observed at 60-65 kDa. Red - loading control ab8245 (Mouse anti-GAPDH antibody [6C5]) observed at 37kDa.

ab188323 was shown to react with PPP2R5D in wild-type A431 cells in western blot with loss of signal observed in PPP2R5D knockout sample. Wild-type and PPP2R5D knockout A431 cell lysates were subjected to SDS-PAGE. Membranes were blocked in 3% milk in TBS-T (0.1% Tween®) before incubation with ab188323 and ab8245 (Mouse anti-GAPDH antibody [6C5]) overnight at 4°C at a 1 in 10000 Dilution and a 1 in 20000 dilution respectively. Blots were incubated with Goat anti-Rabbit IgG H&L (IRDye® 800CW) preabsorbed (ab216773) and Goat anti-Mouse IgG H&L (IRDye® 680RD) preabsorbed (ab216776) secondary antibodies at 1 in 20000 dilution for 1 hour at room temperature before imaging.

All lanes:

Western blot - Anti-PPP2R5D antibody [EPR15617] (ab188323) at 1/10000 dilution

Lane 1:

Wild-type A-431 (Human epidermoid carcinoma cell line) whole cell lysate at 20 µg

Lane 2:

PPP2R5D knockout A-431 (Human epidermoid carcinoma cell line) whole cell lysate at 20 µg

Lane 2:

Western blot - Human PPP2R5D knockout A-431 cell line (<a href='/en-us/products/cell-lines/human-ppp2r5d-knockout-a-431-cell-line-ab270476'>ab270476</a>)

Lane 3:

HeLa (Human epithelial cell line from cervix adenocarcinoma) whole cell lysate at 20 µg

Lane 4:

MCF7 (Human breast adenocarcinoma cell line) whole cell lysate at 20 µg

Predicted band size: 70 kDa

Observed band size: 60-65 kDa

false

Key facts

Host species

Rabbit

Clonality

Monoclonal

Clone number

EPR15617

Isotype

IgG

Carrier free

No

Reacts with

Rat, Human

Applications

Flow Cyt (Intra), ICC/IF, WB, IHC-P, IP

applications

Immunogen

The exact immunogen used to generate this antibody is proprietary information.

Reactivity data

{ "title": "Reactivity Data", "filters": { "stats": ["", "Species", "Dilution Info", "Notes"], "tabs": { "all-applications": {"fullname" : "All Applications", "shortname": "All Applications"}, "IP" : {"fullname" : "Immunoprecipitation", "shortname":"IP"}, "WB" : {"fullname" : "Western blot", "shortname":"WB"}, "ICCIF" : {"fullname" : "Immunocytochemistry/ Immunofluorescence", "shortname":"ICC/IF"}, "FlowCytIntra" : {"fullname" : "Flow Cytometry (Intracellular)", "shortname":"Flow Cyt (Intra)"}, "IHCP" : {"fullname" : "Immunohistochemistry (Formalin/PFA-fixed paraffin-embedded sections)", "shortname":"IHC-P"} }, "product-promise": { "all": "all", "testedAndGuaranteed": "tested", "guaranteed": "expected", "predicted": "predicted", "notRecommended": "not-recommended" } }, "values": { "Human": { "IP-species-checked": "testedAndGuaranteed", "IP-species-dilution-info": "1/40 - 1/60", "IP-species-notes": "<p></p>", "WB-species-checked": "testedAndGuaranteed", "WB-species-dilution-info": "1/10000 - 1/50000", "WB-species-notes": "<p></p>", "ICCIF-species-checked": "testedAndGuaranteed", "ICCIF-species-dilution-info": "1/250", "ICCIF-species-notes": "<p></p>", "FlowCytIntra-species-checked": "testedAndGuaranteed", "FlowCytIntra-species-dilution-info": "1/40", "FlowCytIntra-species-notes": "<p><a href='/en-us/products/primary-antibodies/rabbit-igg-monoclonal-epr25a-isotype-control-ab172730'>ab172730</a> - Rabbit monoclonal IgG, is suitable for use as an isotype control with this antibody.</p>", "IHCP-species-checked": "testedAndGuaranteed", "IHCP-species-dilution-info": "1/50 - 1/100", "IHCP-species-notes": "<p></p> Perform heat-mediated antigen retrieval with Tris/EDTA buffer pH 9.0 before commencing with IHC staining protocol." }, "Mouse": { "IP-species-checked": "predicted", "IP-species-dilution-info": "", "IP-species-notes": "", "WB-species-checked": "predicted", "WB-species-dilution-info": "", "WB-species-notes": "", "ICCIF-species-checked": "predicted", "ICCIF-species-dilution-info": "", "ICCIF-species-notes": "", "FlowCytIntra-species-checked": "predicted", "FlowCytIntra-species-dilution-info": "", "FlowCytIntra-species-notes": "", "IHCP-species-checked": "predicted", "IHCP-species-dilution-info": "", "IHCP-species-notes": "" }, "Rat": { "IP-species-checked": "guaranteed", "IP-species-dilution-info": "", "IP-species-notes": "", "WB-species-checked": "testedAndGuaranteed", "WB-species-dilution-info": "1/10000 - 1/50000", "WB-species-notes": "<p></p>", "ICCIF-species-checked": "guaranteed", "ICCIF-species-dilution-info": "", "ICCIF-species-notes": "", "FlowCytIntra-species-checked": "guaranteed", "FlowCytIntra-species-dilution-info": "", "FlowCytIntra-species-notes": "", "IHCP-species-checked": "guaranteed", "IHCP-species-dilution-info": "", "IHCP-species-notes": "" } } }

Product details

Patented technology
Our RabMAb® technology is a patented hybridoma-based technology for making rabbit monoclonal antibodies. For details on our patents, please refer to RabMAb® patents.

What are the advantages of a recombinant monoclonal antibody?
This product is a recombinant monoclonal antibody, which offers several advantages including:

  • - High batch-to-batch consistency and reproducibility
  • - Improved sensitivity and specificity
  • - Long-term security of supply
  • - Animal-free batch production

For more information, read more on recombinant antibodies.

Properties and storage information

Form
Liquid
Purification technique
Affinity purification Protein A
Storage buffer
pH: 7.2 - 7.4 Preservative: 0.01% Sodium azide Constituents: PBS, 40% Glycerol (glycerin, glycerine), 0.05% BSA
Shipped at conditions
Blue Ice
Appropriate short-term storage duration
1-2 weeks
Appropriate short-term storage conditions
+4°C
Appropriate long-term storage conditions
-20°C
Aliquoting information
Upon delivery aliquot
Storage information
Avoid freeze / thaw cycle

Supplementary information

This supplementary information is collated from multiple sources and compiled automatically.

PPP2R5D also known as B56δ forms part of the regulatory subunit of protein phosphatase 2A (PP2A). Protein phosphatase 2A is an important enzyme in cellular signaling that dephosphorylates target proteins. The approximate molecular mass of PPP2R5D is 72 kDa. It is found expressed in various tissues throughout the human body but its levels can vary between different cell types.
Biological function summary

PPP2R5D plays an essential role in the regulation of cell growth and division. This protein is part of the PP2A holoenzyme complex which assembles with catalytic and scaffolding subunits. Through its regulatory influence PPP2R5D affects the phosphorylation state of several substrates thereby impacting cellular processes like cell cycle progression and apoptosis.

Pathways

PPP2R5D significantly contributes to the MAPK signaling pathway and the Wnt pathway. It modulates phosphorylation states affecting signal transduction mechanisms. In the MAPK pathway PPP2R5D interacts with proteins like ERK1/2 by influencing their activity. Similarly in the Wnt pathway it acts on components important for maintaining cellular balance and signaling fidelity.

PPP2R5D mutations and dysregulation have been linked to intellectual disabilities and cancer. Changes in its function are associated with Autism Spectrum Disorder where it potentially interacts with other proteins involved in neuronal development. In cancer altered PPP2R5D activity may disrupt normal cellular growth control often involving proteins like c-Myc that are critical for proliferation and survival.

Product protocols

For this product, it's our understanding that no specific protocols are required. You can visit:

Target data

The B regulatory subunit might modulate substrate selectivity and catalytic activity, and also might direct the localization of the catalytic enzyme to a particular subcellular compartment.
See full target information Serine/threonine-protein phosphatase 2A 56 kDa regulatory subunit delta isoform

Publications (12)

Recent publications for all applications. Explore the full list and refine your search

The Journal of biological chemistry 301:110349 PubMed40484382

2025

The phosphatase activity of the PPP2R5D-PP2A holoenzyme modulates liprin-α1 liquid-liquid phase separation.

Applications

Unspecified application

Species

Unspecified reactive species

Abigail Mayer,Rita Derua,Elijah Spahn,Iris Verbinnen,Yang Zhang,Michelle Guzman,Mark R Swingle,Brian E Wadzinski,Richard Honkanen,Veerle Janssens,Houhui Xia

F1000Research 13:1 PubMed39935523

2025

A guide to selecting high-performing antibodies for Serine/threonine-protein phosphatase 2A 56 kDa regulatory subunit delta isoform (PPP2R5D) for use in Western Blot, immunoprecipitation and immunofluorescence.

Applications

WB, ICC, IP

Species

Human, Human, Human

Riham Ayoubi,Maryam Fotouhi,Charles Alende,Kathleen Southern,Carl Laflamme

Human molecular genetics 34:193-203 PubMed39565297

2024

De novo missense variants in the PP2A regulatory subunit PPP2R2B in a neurodevelopmental syndrome: potential links to mitochondrial dynamics and spinocerebellar ataxias.

Applications

Unspecified application

Species

Unspecified reactive species

Priyanka Sandal,Chian Ju Jong,Ronald A Merrill,Grace J Kollman,Austin H Paden,Eric G Bend,Jennifer Sullivan,Rebecca C Spillmann,Vandana Shashi,Anneke T Vulto-van Silfhout,Rolph Pfundt,Bert B A de Vries,Pan P Li,Louise S Bicknell,Stefan Strack

Children (Basel, Switzerland) 11: PubMed39201832

2024

Thirteen New Patients of Gene Mutation and the Fine Profile of Genotype-Phenotype Correlation Unraveling the Pathogenic Mechanism Underlying Macrocephaly Phenotype.

Applications

Unspecified application

Species

Unspecified reactive species

Yinmo Jiang,Bingbing Wu,Xi Zhang,Lin Yang,Sujuan Wang,Huiping Li,Shuizhen Zhou,Yanyan Qian,Huijun Wang

Cancers 15: PubMed37627221

2023

A Novel Mouse Model of Combined Hepatocellular-Cholangiocarcinoma Induced by Diethylnitrosamine and Loss of .

Applications

Unspecified application

Species

Unspecified reactive species

Judit Domènech Omella,Emanuela E Cortesi,Iris Verbinnen,Michiel Remmerie,Hanghang Wu,Francisco J Cubero,Tania Roskams,Veerle Janssens

The Journal of biological chemistry 299:105154 PubMed37572851

2023

Quantitative proteomics and phosphoproteomics of PP2A-PPP2R5D variants reveal deregulation of RPS6 phosphorylation via converging signaling cascades.

Applications

Unspecified application

Species

Unspecified reactive species

Kali A Smolen,Cinta M Papke,Mark R Swingle,Alla Musiyenko,Chenchen Li,E Alan Salter,Ashley D Camp,Richard E Honkanen,Arminja N Kettenbach

The Journal of biological chemistry 296:100313 PubMed33482199

2021

A disorder-related variant (E420K) of a PP2A-regulatory subunit (PPP2R5D) causes constitutively active AKT-mTOR signaling and uncoordinated cell growth.

Applications

Unspecified application

Species

Unspecified reactive species

Cinta M Papke,Kali A Smolen,Mark R Swingle,Lauren Cressey,Richard A Heng,Mourad Toporsian,Liyong Deng,Jacob Hagen,Yufeng Shen,Wendy K Chung,Arminja N Kettenbach,Richard E Honkanen

eLife 9: PubMed32292164

2020

Antagonism of PP2A is an independent and conserved function of HIV-1 Vif and causes cell cycle arrest.

Applications

Unspecified application

Species

Unspecified reactive species

Sara Marelli,James C Williamson,Anna V Protasio,Adi Naamati,Edward Jd Greenwood,Janet E Deane,Paul J Lehner,Nicholas J Matheson

The Journal of biological chemistry 295:5654-5668 PubMed32156701

2020

Reduction of protein phosphatase 2A (PP2A) complexity reveals cellular functions and dephosphorylation motifs of the PP2A/B'δ holoenzyme.

Applications

Unspecified application

Species

Unspecified reactive species

Chian Ju Jong,Ronald A Merrill,Emily M Wilkerson,Laura E Herring,Lee M Graves,Stefan Strack

eLife 8: PubMed30857592

2019

Functional proteomic atlas of HIV infection in primary human CD4+ T cells.

Applications

Unspecified application

Species

Unspecified reactive species

Adi Naamati,James C Williamson,Edward Jd Greenwood,Sara Marelli,Paul J Lehner,Nicholas J Matheson
View all publications

Product promise

We are committed to supporting your work with high-quality reagents, and we're here for you every step of the way. In the unlikely event that one of our products does not perform as expected, you're protected by our Product Promise.
For full details, please see our Terms & Conditions

Please note: All products are 'FOR RESEARCH USE ONLY. NOT FOR USE IN DIAGNOSTIC OR THERAPEUTIC PROCEDURES'.

For licensing inquiries, please contact partnerships@abcam.com