JavaScript is disabled in your browser. Please enable JavaScript to view this website.
AB250952

Anti-PPP2R5D antibody [EPR15617] - BSA and Azide free

Be the first to review this product! Submit a review

|

(0 Publication)

Knockout Tested Rabbit Recombinant Monoclonal PPP2R5D antibody. Carrier free. Suitable for ICC/IF, IP, WB, Flow Cyt (Intra), IHC-P and reacts with Human, Rat samples.

View Alternative Names

Serine/threonine-protein phosphatase 2A 56 kDa regulatory subunit delta isoform, PP2A B subunit isoform B'-delta, PP2A B subunit isoform B56-delta, PP2A B subunit isoform PR61-delta, PP2A B subunit isoform R5-delta, PPP2R5D

8 Images
Immunocytochemistry/ Immunofluorescence - Anti-PPP2R5D antibody [EPR15617] - BSA and Azide free (AB250952)
  • ICC/IF

Lab

Immunocytochemistry/ Immunofluorescence - Anti-PPP2R5D antibody [EPR15617] - BSA and Azide free (AB250952)

This data was developed using the same antibody clone in a different buffer formulation (ab188323) ab188323 was shown to react with PPP2R5D in wild-type HAP1 cells in immunocytochemistry with loss of signal observed in a PPP2R5D knockout cell line. Wild-type and knockout cells were mixed and pelleted at a 1 : 1 ratio on coverslips. The cells were fixed with 4% paraformaldehyde (15 min) then permeabilized with 0.1% Triton X-100 (10min) and then blocked with 1x PBS, 0.01% Triton X-100, 5% BSA, 5% NGS. The cells were then incubated with ab188323 at dilution overnight at 4°C followed by a further incubation at room temperature for 1h with a goat anti-rabbit secondary antibody to (Alexa Fluor® 555) at 0.5 ?g/ml. Acquisition of the green (wild-type), red (antibody staining) and far-red (knockout) channels was performed. Representative grayscale images of the red channel are shown. Wild-type and knockout cells are outlined with yellow and magenta dashed line, respectively. Schematic representation of the mosaic strategy used is shown on the bottom-right panel. Image was acquired with a Zeiss(LSM-880).

This data was provided by YCharOS Inc., an open science company with the mission of characterizing commercially available antibody reagents for all human proteins. Abcam and YCharOS are working together to help address the reproducibility crisis by enabling the life science community to better evaluate commercially available antibodies.

Western blot - Anti-PPP2R5D antibody [EPR15617] - BSA and Azide free (AB250952)
  • WB

Lab

Western blot - Anti-PPP2R5D antibody [EPR15617] - BSA and Azide free (AB250952)

This data was developed using the same antibody clone in a different buffer formulation (ab188323)

ab188323 was shown to react with PPP2R5D in wild-type HAP1 cells in Western blot with loss of signal observed in a PPP2R5D knockout cell line. Wild-type HAP1 and PPP2R5D knockout cell lysates were subjected to SDS-PAGE. Membranes were blocked in 5% milk in TBST for 1 hr before incubation with ab188323 overnight at 4 °C at a 1/10000 dilution. Blots were incubated with secondary antibodies at 0.2ug/mL before imaging.

This data was provided by YCharOS Inc., an open science company with the mission of characterizing commercially available antibody reagents for all human proteins. Abcam and YCharOS are working together to help address the reproducibility crisis by enabling the life science community to better evaluate commercially available antibodies.

All lanes:

Western blot - Anti-PPP2R5D antibody [EPR15617] (<a href='/en-us/products/primary-antibodies/ppp2r5d-antibody-epr15617-ab188323'>ab188323</a>) at 1/10000 dilution

Lane 1:

Wild-type HAP1 lysate at 20 µg

Lane 2:

PPP2R5D knock-out HAP1 lysate at 20 µg

Observed band size: 70 kDa

false

Flow Cytometry (Intracellular) - Anti-PPP2R5D antibody [EPR15617] - BSA and Azide free (AB250952)
  • Flow Cyt (Intra)

Supplier Data

Flow Cytometry (Intracellular) - Anti-PPP2R5D antibody [EPR15617] - BSA and Azide free (AB250952)

This data was developed using ab188323, the same antibody clone in a different buffer formulation.

Intracellular Flow Cytometry analysis of HeLa cells labeling PPP2R5D using ab188323 at 1/40 dilution (pink). A Goat anti rabbit IgG (FITC) at 1/150 dilution was used as secondary antibody. Cells were fixed with 2% paraformaldehyde. Isotype control : Rabbit monoclonal IgG (green).

Immunocytochemistry/ Immunofluorescence - Anti-PPP2R5D antibody [EPR15617] - BSA and Azide free (AB250952)
  • ICC/IF

Supplier Data

Immunocytochemistry/ Immunofluorescence - Anti-PPP2R5D antibody [EPR15617] - BSA and Azide free (AB250952)

This data was developed using ab188323, the same antibody clone in a different buffer formulation.

Immunofluorescence analysis of HepG2 cells labeling PPP2R5D using ab188323 at 1/250 dilution. A Goat anti rabbit IgG (Alexa Fluor488) at 1/200 dilution was used as secondary antibody. Cells were fixed with 4% Paraformaldehyde. Counterstain : DAPI.

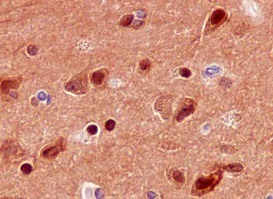
Immunohistochemistry (Formalin/PFA-fixed paraffin-embedded sections) - Anti-PPP2R5D antibody [EPR15617] - BSA and Azide free (AB250952)
  • IHC-P

Supplier Data

Immunohistochemistry (Formalin/PFA-fixed paraffin-embedded sections) - Anti-PPP2R5D antibody [EPR15617] - BSA and Azide free (AB250952)

This data was developed using ab188323, the same antibody clone in a different buffer formulation.

Immunohistochemical analysis of paraffin-embedded Human brain tissue labeling PPP2R5D using ab188323 at 1/100 dilution. A Ready to use HRP Polymer for Rabbit IgG (prediluted) was used as secondary. Counterstain : Hematoxylin.

Perform heat mediated antigen retrieval with Tris/EDTA buffer pH 9.0 before commencing with IHC staining protocol.

Immunoprecipitation - Anti-PPP2R5D antibody [EPR15617] - BSA and Azide free (AB250952)
  • IP

Supplier Data

Immunoprecipitation - Anti-PPP2R5D antibody [EPR15617] - BSA and Azide free (AB250952)

This data was developed using ab188323, the same antibody clone in a different buffer formulation.

Immunoprecipitation analysis of 293T cell lysate labeling PPP2R5D using ab188323 at 1/50 dilution. A Goat Anti-Rabbit IgG, (H+L), Peroxidase conjugated at 1/1500 was used as secondary antibody.

All lanes:

Immunoprecipitation - Anti-PPP2R5D antibody [EPR15617] (<a href='/en-us/products/primary-antibodies/ppp2r5d-antibody-epr15617-ab188323'>ab188323</a>)

Predicted band size: 70 kDa

false

Western blot - Anti-PPP2R5D antibody [EPR15617] - BSA and Azide free (AB250952)
  • WB

Supplier Data

Western blot - Anti-PPP2R5D antibody [EPR15617] - BSA and Azide free (AB250952)

This data was developed using ab188323, the same antibody clone in a different buffer formulation.

Based on the sequence analysis, ab188323 recognizes 3 isoforms with the predicted MWs of 58KDa, 66KDa and 70KDa, respectively.

All lanes:

Western blot - Anti-PPP2R5D antibody [EPR15617] (<a href='/en-us/products/primary-antibodies/ppp2r5d-antibody-epr15617-ab188323'>ab188323</a>) at 1/100000 dilution

Lane 1:

C6 cell lysate at 10 µg

Lane 2:

HepG2 cell lysate at 10 µg

Lane 3:

293T cell lysate at 10 µg

Lane 4:

HeLa cell lysate at 10 µg

Lane 5:

Jurkat cell lysate at 10 µg

Secondary

All lanes:

Goat Anti-Rabbit IgG, (H+L), Peroxidase conjugated at 1/1000 dilution

Predicted band size: 70 kDa

Observed band size: 70 kDa

false

Western blot - Anti-PPP2R5D antibody [EPR15617] - BSA and Azide free (AB250952)
  • WB

Lab

Western blot - Anti-PPP2R5D antibody [EPR15617] - BSA and Azide free (AB250952)

This data was developed using the same antibody clone in a different buffer formulation (ab188323).

Lanes 1 - 4 : Merged signal (red and green). Green - ab188323 observed at 60-65 kDa. Red - loading control ab8245 (Mouse anti-GAPDH antibody [6C5]) observed at 37kDa.

ab188323 was shown to react with PPP2R5D in wild-type A431 cells in western blot with loss of signal observed in PPP2R5D knockout sample. Wild-type and PPP2R5D knockout A431 cell lysates were subjected to SDS-PAGE. Membranes were blocked in 3% milk in TBS-T (0.1% Tween®) before incubation with ab188323 and ab8245 (Mouse anti-GAPDH antibody [6C5]) overnight at 4°C at a 1 in 10000 Dilution and a 1 in 20000 dilution respectively. Blots were incubated with Goat anti-Rabbit IgG H&L (IRDye® 800CW) preabsorbed (ab216773) and Goat anti-Mouse IgG H&L (IRDye® 680RD) preabsorbed (ab216776) secondary antibodies at 1 in 20000 dilution for 1 hour at room temperature before imaging.

All lanes:

Western blot - Anti-PPP2R5D antibody [EPR15617] (<a href='/en-us/products/primary-antibodies/ppp2r5d-antibody-epr15617-ab188323'>ab188323</a>) at 1/10000 dilution

Lane 1:

Wild-type A-431 (Human epidermoid carcinoma cell line) whole cell lysate at 20 µg

Lane 2:

PPP2R5D knockout A-431 (Human epidermoid carcinoma cell line) whole cell lysate at 20 µg

Lane 2:

Western blot - Human PPP2R5D knockout A-431 cell line (<a href='/en-us/products/cell-lines/human-ppp2r5d-knockout-a-431-cell-line-ab270476'>ab270476</a>)

Lane 3:

HeLa (Human epithelial cell line from cervix adenocarcinoma) whole cell lysate at 20 µg

Lane 4:

MCF7 (Human breast adenocarcinoma cell line) whole cell lysate at 20 µg

Predicted band size: 70 kDa

Observed band size: 60-65 kDa

false

Key facts

Host species

Rabbit

Clonality

Monoclonal

Clone number

EPR15617

Isotype

IgG

Carrier free

Yes

Reacts with

Rat, Human

Applications

ICC/IF, IHC-P, Flow Cyt (Intra), IP, WB

applications

Immunogen

The exact immunogen used to generate this antibody is proprietary information.

Reactivity data

{ "title": "Reactivity Data", "filters": { "stats": ["", "Species", "Dilution Info", "Notes"], "tabs": { "all-applications": {"fullname" : "All Applications", "shortname": "All Applications"}, "ICCIF" : {"fullname" : "Immunocytochemistry/ Immunofluorescence", "shortname":"ICC/IF"}, "IP" : {"fullname" : "Immunoprecipitation", "shortname":"IP"}, "WB" : {"fullname" : "Western blot", "shortname":"WB"}, "FlowCytIntra" : {"fullname" : "Flow Cytometry (Intracellular)", "shortname":"Flow Cyt (Intra)"}, "IHCP" : {"fullname" : "Immunohistochemistry (Formalin/PFA-fixed paraffin-embedded sections)", "shortname":"IHC-P"} }, "product-promise": { "all": "all", "testedAndGuaranteed": "tested", "guaranteed": "expected", "predicted": "predicted", "notRecommended": "not-recommended" } }, "values": { "Human": { "ICCIF-species-checked": "testedAndGuaranteed", "ICCIF-species-dilution-info": "", "ICCIF-species-notes": "<p></p> Perform heat-mediated antigen retrieval with Tris/EDTA buffer pH 9.0 before commencing with IHC staining protocol.", "IP-species-checked": "testedAndGuaranteed", "IP-species-dilution-info": "", "IP-species-notes": "<p></p>", "WB-species-checked": "testedAndGuaranteed", "WB-species-dilution-info": "", "WB-species-notes": "<p></p>", "FlowCytIntra-species-checked": "testedAndGuaranteed", "FlowCytIntra-species-dilution-info": "", "FlowCytIntra-species-notes": "<p></p>", "IHCP-species-checked": "testedAndGuaranteed", "IHCP-species-dilution-info": "", "IHCP-species-notes": "<p></p> Perform heat-mediated antigen retrieval with Tris/EDTA buffer pH 9.0 before commencing with IHC staining protocol." }, "Mouse": { "ICCIF-species-checked": "predicted", "ICCIF-species-dilution-info": "", "ICCIF-species-notes": "", "IP-species-checked": "predicted", "IP-species-dilution-info": "", "IP-species-notes": "", "WB-species-checked": "predicted", "WB-species-dilution-info": "", "WB-species-notes": "", "FlowCytIntra-species-checked": "predicted", "FlowCytIntra-species-dilution-info": "", "FlowCytIntra-species-notes": "", "IHCP-species-checked": "predicted", "IHCP-species-dilution-info": "", "IHCP-species-notes": "" }, "Rat": { "ICCIF-species-checked": "guaranteed", "ICCIF-species-dilution-info": "", "ICCIF-species-notes": "", "IP-species-checked": "guaranteed", "IP-species-dilution-info": "", "IP-species-notes": "", "WB-species-checked": "testedAndGuaranteed", "WB-species-dilution-info": "", "WB-species-notes": "<p></p>", "FlowCytIntra-species-checked": "guaranteed", "FlowCytIntra-species-dilution-info": "", "FlowCytIntra-species-notes": "", "IHCP-species-checked": "guaranteed", "IHCP-species-dilution-info": "", "IHCP-species-notes": "" } } }

Product details

ab250952 is the carrier-free version of ab188323.

Patented technology
Our RabMAb® technology is a patented hybridoma-based technology for making rabbit monoclonal antibodies. For details on our patents, please refer to RabMAb® patents.

What are the advantages of a recombinant monoclonal antibody?
This product is a recombinant monoclonal antibody, which offers several advantages including:

  • - High batch-to-batch consistency and reproducibility
  • - Improved sensitivity and specificity
  • - Long-term security of supply
  • - Animal-free batch production

For more information, read more on recombinant antibodies.

Conjugation ready
Our carrier-free antibodies are typically supplied in a PBS-only formulation, purified and free of BSA, sodium azide and glycerol. This conjugation-ready format is designed for use with fluorochromes, metal isotopes, oligonucleotides, and enzymes, which makes them ideal for antibody labelling, functional and cell-based assays, flow-based assays (e.g. mass cytometry) and Multiplex Imaging applications.

Use our conjugation kits for antibody conjugates that are ready-to-use in as little as 20 minutes with 1 minute hands-on-time and 100% antibody recovery: available for fluorescent dyes, HRP, biotin and gold.

Compatibility
This product is compatible with the Maxpar® Antibody Labeling Kit from Fluidigm, without the need for antibody preparation. Maxpar® is a trademark of Fluidigm Canada Inc.

Properties and storage information

Form
Liquid
Purification technique
Affinity purification Protein A
Storage buffer
pH: 7.2 - 7.4 Constituents: PBS
Shipped at conditions
Blue Ice
Appropriate short-term storage conditions
+4°C
Appropriate long-term storage conditions
+4°C
Storage information
Do Not Freeze

Supplementary information

This supplementary information is collated from multiple sources and compiled automatically.

PPP2R5D also known as B56δ forms part of the regulatory subunit of protein phosphatase 2A (PP2A). Protein phosphatase 2A is an important enzyme in cellular signaling that dephosphorylates target proteins. The approximate molecular mass of PPP2R5D is 72 kDa. It is found expressed in various tissues throughout the human body but its levels can vary between different cell types.
Biological function summary

PPP2R5D plays an essential role in the regulation of cell growth and division. This protein is part of the PP2A holoenzyme complex which assembles with catalytic and scaffolding subunits. Through its regulatory influence PPP2R5D affects the phosphorylation state of several substrates thereby impacting cellular processes like cell cycle progression and apoptosis.

Pathways

PPP2R5D significantly contributes to the MAPK signaling pathway and the Wnt pathway. It modulates phosphorylation states affecting signal transduction mechanisms. In the MAPK pathway PPP2R5D interacts with proteins like ERK1/2 by influencing their activity. Similarly in the Wnt pathway it acts on components important for maintaining cellular balance and signaling fidelity.

PPP2R5D mutations and dysregulation have been linked to intellectual disabilities and cancer. Changes in its function are associated with Autism Spectrum Disorder where it potentially interacts with other proteins involved in neuronal development. In cancer altered PPP2R5D activity may disrupt normal cellular growth control often involving proteins like c-Myc that are critical for proliferation and survival.

Product protocols

For this product, it's our understanding that no specific protocols are required. You can visit:

Target data

The B regulatory subunit might modulate substrate selectivity and catalytic activity, and also might direct the localization of the catalytic enzyme to a particular subcellular compartment.
See full target information Serine/threonine-protein phosphatase 2A 56 kDa regulatory subunit delta isoform

Product promise

We are committed to supporting your work with high-quality reagents, and we're here for you every step of the way. In the unlikely event that one of our products does not perform as expected, you're protected by our Product Promise.
For full details, please see our Terms & Conditions

Please note: All products are 'FOR RESEARCH USE ONLY. NOT FOR USE IN DIAGNOSTIC OR THERAPEUTIC PROCEDURES'.

For licensing inquiries, please contact partnerships@abcam.com