JavaScript is disabled in your browser. Please enable JavaScript to view this website.
AB191374

Anti-PPP3CB antibody

Be the first to review this product! Submit a review

|

(1 Publication)

Rabbit Polyclonal PPP3CB antibody. Suitable for IHC-P, WB and reacts with Human, Mouse samples. Cited in 1 publication. Immunogen corresponding to Recombinant Fragment Protein within Human PPP3CB aa 1-250.

View Alternative Names

CALNA2, CALNB, CNA2, PPP3CB, Serine/threonine-protein phosphatase 2B catalytic subunit beta isoform, CAM-PRP catalytic subunit, Calmodulin-dependent calcineurin A subunit beta isoform, CNA beta

3 Images
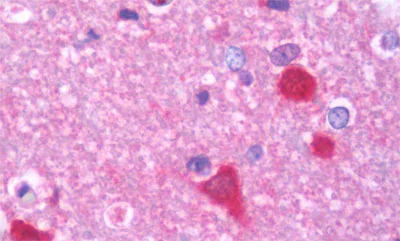
Immunohistochemistry (Formalin/PFA-fixed paraffin-embedded sections) - Anti-PPP3CB antibody (AB191374)
  • IHC-P

Supplier Data

Immunohistochemistry (Formalin/PFA-fixed paraffin-embedded sections) - Anti-PPP3CB antibody (AB191374)

Immunohistochemical analysis of formalin fixed paraffin embedded human brain cortex labeling PPP3CB with ab191374 at 7.5 μg/ml

Western blot - Anti-PPP3CB antibody (AB191374)
  • WB

Supplier Data

Western blot - Anti-PPP3CB antibody (AB191374)

7.5 % SDS PAGE

All lanes:

Western blot - Anti-PPP3CB antibody (ab191374) at 1/5000 dilution

All lanes:

Molt-4 cell lysate at 30 µg

Predicted band size: 59 kDa

false

Western blot - Anti-PPP3CB antibody (AB191374)
  • WB

Supplier Data

Western blot - Anti-PPP3CB antibody (AB191374)

7.5% SDS PAGE

All lanes:

Western blot - Anti-PPP3CB antibody (ab191374) at 1/1000 dilution

All lanes:

Mouse brain lysate at 50 µg

Predicted band size: 59 kDa

false

Key facts

Host species

Rabbit

Clonality

Polyclonal

Isotype

IgG

Carrier free

No

Reacts with

Mouse, Human

Applications

IHC-P, WB

applications

Immunogen

Recombinant Fragment Protein within Human PPP3CB aa 1-250. The exact immunogen used to generate this antibody is proprietary information.

P16298

Reactivity data

{ "title": "Reactivity Data", "filters": { "stats": ["", "Species", "Dilution Info", "Notes"], "tabs": { "all-applications": {"fullname" : "All Applications", "shortname": "All Applications"}, "IHCP" : {"fullname" : "Immunohistochemistry (Formalin/PFA-fixed paraffin-embedded sections)", "shortname":"IHC-P"}, "WB" : {"fullname" : "Western blot", "shortname":"WB"} }, "product-promise": { "all": "all", "testedAndGuaranteed": "tested", "guaranteed": "expected", "predicted": "predicted", "notRecommended": "not-recommended" } }, "values": { "Human": { "IHCP-species-checked": "testedAndGuaranteed", "IHCP-species-dilution-info": "7.5 µg/mL", "IHCP-species-notes": "<p>Suggested antigen retrieval using heat mediated 10 mM Citrate buffer (pH 6.0) or Tris-EDTA buffer (pH 8.0).</p> Perform heat-mediated antigen retrieval with citrate buffer pH 6 before commencing with IHC staining protocol.", "WB-species-checked": "testedAndGuaranteed", "WB-species-dilution-info": "1/1000 - 1/10000", "WB-species-notes": "<p></p>" }, "Mouse": { "IHCP-species-checked": "guaranteed", "IHCP-species-dilution-info": "", "IHCP-species-notes": "", "WB-species-checked": "testedAndGuaranteed", "WB-species-dilution-info": "1/1000 - 1/10000", "WB-species-notes": "<p></p>" } } }

Properties and storage information

Form
Liquid
Purification technique
Affinity purification Immunogen
Storage buffer
pH: 7 Preservative: 0.01% Thimerosal (merthiolate) Constituents: 89% Tris glycine, 10% Glycerol (glycerin, glycerine)
Shipped at conditions
Blue Ice
Appropriate short-term storage duration
1-2 weeks
Appropriate short-term storage conditions
+4°C
Appropriate long-term storage conditions
-20°C
Aliquoting information
Upon delivery aliquot
Storage information
Avoid freeze / thaw cycle

Supplementary information

This supplementary information is collated from multiple sources and compiled automatically.

The protein PPP3CB also known as Calcineurin subunit B type 2 plays an important role in cellular signal transduction. It is a catalytic subunit of the protein phosphatase 3 which requires calcium ions and calmodulin to become activated. PPP3CB is expressed in many tissues with significant levels in the brain and immune cells. Its molecular mass is approximately 59.6 kDa. The protein’s primary mechanical function involves dephosphorylation of serine-threonine residues in proteins which affects various cellular processes.
Biological function summary

PPP3CB is essential in neuronal and immune system function. It is a component of the calcineurin complex composed of a catalytic A subunit and a regulatory B subunit. In neurons it regulates synaptic plasticity and memory functions by modulating neurotransmitter responses. In the immune system it controls T-cell activation and differentiation by mediating the nuclear factor of activated T-cells (NFAT) signaling pathway which is important for the transcription of interleukin-2 and other cytokines.

Pathways

PPP3CB has major involvement in both the calcium signaling and immune response pathways. In the calcium signaling pathway its interaction with calmodulin allows for the activation of downstream signals that influence cellular responses such as growth differentiation and apoptosis. In immune response pathways PPP3CB by controlling NFATc dephosphorylation influences genes critical for immune cell function. It relates closely to proteins like calmodulin and NFAT which play roles in these pathways.

PPP3CB shows a significant link to Alzheimer's disease and autoimmune diseases. Alzheimer's disease involves impaired calcineurin activity which affects synaptic plasticity and memory function. Autoimmune diseases often involve aberrant T-cell activation where PPP3CB plays a modulatory role through NFAT signaling. Dysregulation in this pathway connected to proteins like NFAT can contribute to conditions such as rheumatoid arthritis or systemic lupus erythematosus.

Product protocols

For this product, it's our understanding that no specific protocols are required. You can visit:

Target data

Calcium-dependent, calmodulin-stimulated protein phosphatase which plays an essential role in the transduction of intracellular Ca(2+)-mediated signals (PubMed : 19154138, PubMed : 25720963, PubMed : 26794871, PubMed : 32753672). Dephosphorylates TFEB in response to lysosomal Ca(2+) release, resulting in TFEB nuclear translocation and stimulation of lysosomal biogenesis (PubMed : 25720963, PubMed : 32753672). Dephosphorylates and activates transcription factor NFATC1 (PubMed : 19154138). Dephosphorylates and inactivates transcription factor ELK1 (PubMed : 19154138). Dephosphorylates DARPP32 (PubMed : 19154138). Negatively regulates MAP3K14/NIK signaling via inhibition of nuclear translocation of the transcription factors RELA and RELB (By similarity). May play a role in skeletal muscle fiber type specification (By similarity).
See full target information PPP3CB

Publications (1)

Recent publications for all applications. Explore the full list and refine your search

Nature communications 8:2270 PubMed29273768

2017

Small-molecule TFEB pathway agonists that ameliorate metabolic syndrome in mice and extend C. elegans lifespan.

Applications

Unspecified application

Species

Unspecified reactive species

Chensu Wang,Hanspeter Niederstrasser,Peter M Douglas,Rueyling Lin,Juan Jaramillo,Yang Li,Nathaniel W Oswald,Anwu Zhou,Elizabeth A McMillan,Saurabh Mendiratta,Zhaohui Wang,Tian Zhao,Zhiqaing Lin,Min Luo,Gang Huang,Rolf A Brekken,Bruce A Posner,John B MacMillan,Jinming Gao,Michael A White
View all publications

Product promise

We are committed to supporting your work with high-quality reagents, and we're here for you every step of the way. In the unlikely event that one of our products does not perform as expected, you're protected by our Product Promise.
For full details, please see our Terms & Conditions

Please note: All products are 'FOR RESEARCH USE ONLY. NOT FOR USE IN DIAGNOSTIC OR THERAPEUTIC PROCEDURES'.

For licensing inquiries, please contact partnerships@abcam.com