JavaScript is disabled in your browser. Please enable JavaScript to view this website.
AB196791

Anti-PPRC1 antibody

Be the first to review this product! Submit a review

|

(1 Publication)

Rabbit Polyclonal PPRC1 antibody. Suitable for IHC-P and reacts with Human samples. Cited in 1 publication. Immunogen corresponding to Synthetic Peptide within Human PPRC1.

View Alternative Names

KIAA0595, PPRC1, Peroxisome proliferator-activated receptor gamma coactivator-related protein 1, PGC-1-related coactivator, PRC

1 Images
Immunohistochemistry (Formalin/PFA-fixed paraffin-embedded sections) - Anti-PPRC1 antibody (AB196791)
  • IHC-P

Supplier Data

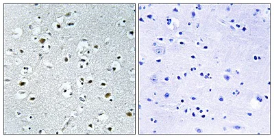
Immunohistochemistry (Formalin/PFA-fixed paraffin-embedded sections) - Anti-PPRC1 antibody (AB196791)

Immunohistochemical analysis of formalin-fixed, paraffin-embedded Human brain tissue sections labeling PPRC1 with ab196791 at 1/50 dilution. The image on the right has been pre-incubated with the blocking peptide.

Key facts

Host species

Rabbit

Clonality

Polyclonal

Isotype

IgG

Carrier free

No

Reacts with

Human

Applications

IHC-P

applications

Immunogen

Synthetic Peptide within Human PPRC1. The exact immunogen used to generate this antibody is proprietary information.

Q5VV67

Reactivity data

{ "title": "Reactivity Data", "filters": { "stats": ["", "Species", "Dilution Info", "Notes"], "tabs": { "all-applications": {"fullname" : "All Applications", "shortname": "All Applications"}, "IHCP" : {"fullname" : "Immunohistochemistry (Formalin/PFA-fixed paraffin-embedded sections)", "shortname":"IHC-P"} }, "product-promise": { "all": "all", "testedAndGuaranteed": "tested", "guaranteed": "expected", "predicted": "predicted", "notRecommended": "not-recommended" } }, "values": { "Human": { "IHCP-species-checked": "testedAndGuaranteed", "IHCP-species-dilution-info": "1/50 - 1/100", "IHCP-species-notes": "<p></p>" }, "Mouse": { "IHCP-species-checked": "predicted", "IHCP-species-dilution-info": "", "IHCP-species-notes": "" } } }

Properties and storage information

Form
Liquid
Purification technique
Affinity purification Immunogen
Purification notes
ab196791 was affinity-purified from rabbit antiserum by affinity-chromatography using epitope-specific immunogen.
Storage buffer
pH: 7.4 Preservative: 0.02% Sodium azide Constituents: PBS, 50% Glycerol (glycerin, glycerine), 0.87% Sodium chloride
Shipped at conditions
Blue Ice
Appropriate short-term storage duration
1-2 weeks
Appropriate short-term storage conditions
+4°C
Appropriate long-term storage conditions
-20°C
Aliquoting information
Upon delivery aliquot
Storage information
Avoid freeze / thaw cycle

Supplementary information

This supplementary information is collated from multiple sources and compiled automatically.

The PPRC1 also known as Peroxisome proliferator-activated receptor gamma coactivator-related protein 1 is a transcriptional coactivator protein. It has an approximate mass of 166 kDa. Researchers have found it expressed in various tissues notably in skeletal muscle and heart tissue. PPRC1 interacts with other proteins to regulate gene expression linked to metabolic processes.
Biological function summary

PPRC1 functions in cellular energy metabolism regulation. It forms part of a larger transcriptional complex where it interacts with PGC-1 family members including PGC-1α. PPRC1 plays an important role in mitochondrial biogenesis by coactivating nuclear receptors. It regulates the expression of genes associated with oxidative metabolism impacting cellular energy production and expenditure.

Pathways

PPRC1 engages in the mitochondrial biogenesis and oxidative phosphorylation pathways. These pathways are critical for energy metabolism in cells. PPRC1 interacts closely with PGC-1α and NRF1 partners that are essential for upregulating mitochondrial and respiratory chain genes. These interactions enhance the capacity for aerobic energy production and are important for cellular adaptation to energetic demands.

PPRC1 is associated with conditions linked to mitochondrial dysfunction and metabolic syndromes. Dysregulation of PPRC1 can contribute to diseases like type 2 diabetes and obesity. PGC-1α often partners with PPRC1 in these disorders affecting the expression of genes involved in glucose and lipid metabolism. Understanding PPRC1’s role offers insights into therapeutic targets for treating these metabolic conditions.

Product protocols

For this product, it's our understanding that no specific protocols are required. You can visit:

Target data

Acts as a coactivator during transcriptional activation of nuclear genes related to mitochondrial biogenesis and cell growth. Involved in the transcription coactivation of CREB and NRF1 target genes.
See full target information PPRC1

Publications (1)

Recent publications for all applications. Explore the full list and refine your search

Journal of cardiovascular pharmacology 79:858-872 PubMed35266909

2022

Sacubitril/Valsartan Improves Sexual Function and Fibrosis of the Clitoral and Vaginal Tissues in Female Spontaneously Hypertensive Rats.

Applications

Unspecified application

Species

Unspecified reactive species

Chenchen Zhuang,Guozi Yi,Wenjuan Wang,Runmin Sun,Miaomiao Qi,Jing Yu
View all publications

Product promise

We are committed to supporting your work with high-quality reagents, and we're here for you every step of the way. In the unlikely event that one of our products does not perform as expected, you're protected by our Product Promise.
For full details, please see our Terms & Conditions

Please note: All products are 'FOR RESEARCH USE ONLY. NOT FOR USE IN DIAGNOSTIC OR THERAPEUTIC PROCEDURES'.

For licensing inquiries, please contact partnerships@abcam.com