JavaScript is disabled in your browser. Please enable JavaScript to view this website.
AB89022

Anti-PPT1/PPT antibody

Be the first to review this product! Submit a review

|

(4 Publications)

Mouse Polyclonal PPT1/PPT antibody. Carrier free. Suitable for WB, IHC-P and reacts with Human samples. Cited in 4 publications. Immunogen corresponding to Recombinant Full Length Protein corresponding to Human PPT1.

View Alternative Names

CLN1, PPT, PPT1, Palmitoyl-protein thioesterase 1, PPT-1, Palmitoyl-protein hydrolase 1

3 Images
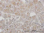
Immunohistochemistry (Formalin/PFA-fixed paraffin-embedded sections) - Anti-PPT1/PPT antibody (AB89022)
  • IHC-P

Unknown

Immunohistochemistry (Formalin/PFA-fixed paraffin-embedded sections) - Anti-PPT1/PPT antibody (AB89022)

ab89022 at 3μg/ml staining PPT1/PPT in Human salivary gland by Immunohistochemistry, Formalin-fixed, Paraffin-embedded tissue.

Western blot - Anti-PPT1/PPT antibody (AB89022)
  • WB

Unknown

Western blot - Anti-PPT1/PPT antibody (AB89022)

All lanes:

Western blot - Anti-PPT1/PPT antibody (ab89022) at 1 µg/mL

All lanes:

Human liver tissue lysate at 50 µg

Predicted band size: 34 kDa

Observed band size: 34 kDa

false

Western blot - Anti-PPT1/PPT antibody (AB89022)
  • WB

Unknown

Western blot - Anti-PPT1/PPT antibody (AB89022)

All lanes:

Western blot - Anti-PPT1/PPT antibody (ab89022) at 1 µg/mL

Lane 1:

PPT1/PPT transfected HEK-293T cell lysate at 25 µg

Lane 2:

Non-transfected lysate at 25 µg

Predicted band size: 34 kDa

Observed band size: 34 kDa

false

Key facts

Host species

Mouse

Clonality

Polyclonal

Isotype

IgG

Carrier free

Yes

Reacts with

Human

Applications

IHC-P, WB

applications

Immunogen

Recombinant Full Length Protein corresponding to Human PPT1.

P50897

Reactivity data

{ "title": "Reactivity Data", "filters": { "stats": ["", "Species", "Dilution Info", "Notes"], "tabs": { "all-applications": {"fullname" : "All Applications", "shortname": "All Applications"}, "WB" : {"fullname" : "Western blot", "shortname":"WB"}, "IHCP" : {"fullname" : "Immunohistochemistry (Formalin/PFA-fixed paraffin-embedded sections)", "shortname":"IHC-P"} }, "product-promise": { "all": "all", "testedAndGuaranteed": "tested", "guaranteed": "expected", "predicted": "predicted", "notRecommended": "not-recommended" } }, "values": { "Human": { "WB-species-checked": "testedAndGuaranteed", "WB-species-dilution-info": "1 µg/mL", "WB-species-notes": "<p></p>", "IHCP-species-checked": "testedAndGuaranteed", "IHCP-species-dilution-info": "3 µg/mL", "IHCP-species-notes": "<p></p>" } } }

Properties and storage information

Form
Liquid
Purification technique
Affinity purification Protein A
Storage buffer
pH: 7.4 Constituents: PBS
Shipped at conditions
Blue Ice
Appropriate short-term storage conditions
+4°C
Appropriate long-term storage conditions
-20°C
Aliquoting information
Upon delivery aliquot
Storage information
Avoid freeze / thaw cycle

Supplementary information

This supplementary information is collated from multiple sources and compiled automatically.

PPT1 also known as palmitoyl-protein thioesterase 1 is an enzyme that plays a critical role in protein metabolism by removing thioester-linked palmitate groups from proteins. This enzyme has a molecular weight of approximately 37 kDa. PPT1 is expressed widely in the body with significant expression in tissues such as the brain and liver. It localizes primarily in the lysosomes where it assists in lysosomal degradation pathways. Polyclonal antibodies against PPT1 can be utilized in protein analysis and help elucidate the structure and functionality of this enzyme further.
Biological function summary

PPT1 contributes to the turnover and stability of proteins by mediating their de-palmitoylation an important step in maintaining appropriate protein function and cellular homeostasis. This enzyme assists in the recycling and degradation process by facilitating the catabolism of proteins through the lysosomal pathway. PPT1 does not function as part of a larger complex but operates individually to execute the removal of palmitate which impacts a diverse range of substrates vital for controlling cellular mechanisms such as synaptic function.

Pathways

PPT1 is heavily involved in the protein degradation pathway within lysosomes. This pathway is important for the autophagic degradation process which directly associates with cellular waste management and the recycling of cellular components. PPT1's function is also connected to protein stability because improper palmitoylation can disrupt protein location and function. The enzyme shows functional interaction with proteins like CLN2 which also participates in lysosomal degradation processes and they share involvement in neuronal homeostasis.

Defects in PPT1 activity lead to neurodegenerative conditions notably the Infantile Neuronal Ceroid Lipofuscinosis (INCL). This disorder results from the accumulation of lipid-protein complexes in neurons emphasizing the need for proper PPT1 function. PPT1 has connections to the disease context through its interaction with the protein CLN3 another gene implicated in Batten disease part of the neuronal ceroid lipofuscinoses group. The study of PPT1 opens avenues for therapeutic approaches targeting these lysosomal storage disorders. Immunohistochemistry and immunocytochemistry are techniques often used to study the role of PPT1 in these pathological states.

Product protocols

For this product, it's our understanding that no specific protocols are required. You can visit:

Target data

Removes thioester-linked fatty acyl groups such as palmitate from modified cysteine residues in proteins or peptides during lysosomal degradation. Prefers acyl chain lengths of 14 to 18 carbons (PubMed : 8816748).
See full target information PPT1

Publications (4)

Recent publications for all applications. Explore the full list and refine your search

Journal for immunotherapy of cancer 11: PubMed37385725

2023

Intratumoral PPT1-positive macrophages determine immunosuppressive contexture and immunotherapy response in hepatocellular carcinoma.

Applications

Unspecified application

Species

Unspecified reactive species

Jialei Weng,Shaoqing Liu,Qiang Zhou,Wenxin Xu,Minghao Xu,Dongmei Gao,Yinghao Shen,Yong Yi,Yi Shi,Qiongzhu Dong,Chenhao Zhou,Ning Ren

Orphanet journal of rare diseases 13:54 PubMed29631617

2018

Neural stem cells for disease modeling and evaluation of therapeutics for infantile (CLN1/PPT1) and late infantile (CLN2/TPP1) neuronal ceroid lipofuscinoses.

Applications

WB

Species

Unspecified reactive species

Ni Sima,Rong Li,Wei Huang,Miao Xu,Jeanette Beers,Jizhong Zou,Steven Titus,Elizabeth A Ottinger,Juan J Marugan,Xing Xie,Wei Zheng

JIMD reports 36:85-92 PubMed28213849

2017

Widespread Expression of a Membrane-Tethered Version of the Soluble Lysosomal Enzyme Palmitoyl Protein Thioesterase-1.

Applications

Unspecified application

Species

Unspecified reactive species

Charles Shyng,Shannon L Macauley,Joshua T Dearborn,Mark S Sands

Biochemistry 52:7559-74 PubMed24083319

2013

Identification of palmitoyl protein thioesterase 1 in human THP1 monocytes and macrophages and characterization of unique biochemical activities for this enzyme.

Applications

Unspecified application

Species

Unspecified reactive species

Ran Wang,Abdolsamad Borazjani,Anberitha T Matthews,Lee C Mangum,Mariola J Edelmann,Matthew K Ross
View all publications

Product promise

We are committed to supporting your work with high-quality reagents, and we're here for you every step of the way. In the unlikely event that one of our products does not perform as expected, you're protected by our Product Promise.
For full details, please see our Terms & Conditions

Please note: All products are 'FOR RESEARCH USE ONLY. NOT FOR USE IN DIAGNOSTIC OR THERAPEUTIC PROCEDURES'.

For licensing inquiries, please contact partnerships@abcam.com