JavaScript is disabled in your browser. Please enable JavaScript to view this website.
AB302896

Anti-PPT1/PPT antibody [EPR27163-2] (BSA and Azide free)

Be the first to review this product! Submit a review

|

(0 Publication)

Rabbit Recombinant Monoclonal PPT1/PPT antibody. Carrier free. Suitable for WB, IHC-P, ICC/IF, Flow Cyt (Intra), IP and reacts with Human samples.

View Alternative Names

CLN1, PPT, PPT1, Palmitoyl-protein thioesterase 1, PPT-1, Palmitoyl-protein hydrolase 1

6 Images
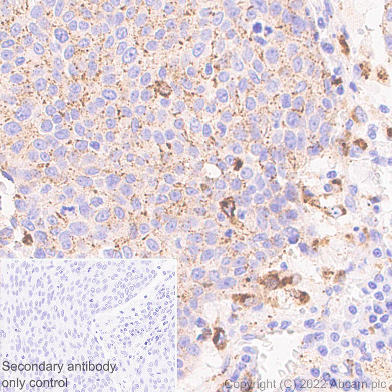
Immunohistochemistry - Anti-PPT1/PPT antibody [EPR27163-2] (BSA and Azide free) (AB302896)
  • IHC

Supplier Data

Immunohistochemistry - Anti-PPT1/PPT antibody [EPR27163-2] (BSA and Azide free) (AB302896)

This data was developed using ab302895, the same antibody clone in a different buffer formulation. Immunohistochemical analysis of paraffin-embedded Human lung cancer tissue labeling PPT1/PPT with ab302895 at 1/5000 (0.092 ug/ml) followed by a LeicaDS9800 (Bond™ Polymer Refine Detection) was used at Ready to use dilution. Positive staining on human lung cancer. The section was incubated with ab302895 for 30 mins at room temperature.The immunostaining was performed on a Leica Biosystems BOND® RX instrument Counterstained with Hematoxylin. Secondary antibody only control : Secondary antibody is LeicaDS9800 (Bond™ Polymer Refine Detection) was used at Ready to use dilution. Heat mediated antigen retrieval was performed with Tris-EDTA buffer (pH 9.0, Epitope Retrieval Solution2) for 20 mins

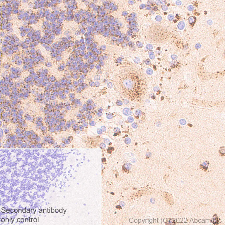
Immunohistochemistry - Anti-PPT1/PPT antibody [EPR27163-2] (BSA and Azide free) (AB302896)
  • IHC

Supplier Data

Immunohistochemistry - Anti-PPT1/PPT antibody [EPR27163-2] (BSA and Azide free) (AB302896)

This data was developed using ab302895, the same antibody clone in a different buffer formulation. Immunohistochemical analysis of paraffin-embedded Human cerebrum tissue labeling PPT1/PPT with ab302895 at 1/5000 (0.092 ug/ml) followed by a LeicaDS9800 (Bond™ Polymer Refine Detection) was used at Ready to use dilution. Positive staining on human cerebrum. The section was incubated with ab302895 for 30 mins at room temperature. The immunostaining was performed on a Leica Biosystems BOND® RX instrument Counterstained with Hematoxylin. Secondary antibody only control : Secondary antibody is LeicaDS9800 (Bond™ Polymer Refine Detection) was used at Ready to use dilution. Heat mediated antigen retrieval was performed with Tris-EDTA buffer (pH 9.0, Epitope Retrieval Solution2) for 20 mins

Immunohistochemistry - Anti-PPT1/PPT antibody [EPR27163-2] (BSA and Azide free) (AB302896)
  • IHC

Supplier Data

Immunohistochemistry - Anti-PPT1/PPT antibody [EPR27163-2] (BSA and Azide free) (AB302896)

This data was developed using ab302895, the same antibody clone in a different buffer formulation. Immunohistochemical analysis of paraffin-embedded Human cerebellum tissue labeling PPT1/PPT with ab302895 at 1/5000 (0.092 ug/ml) followed by a LeicaDS9800 (Bond™ Polymer Refine Detection) was used at Ready to use dilution. Positive staining on human cerebellum. The section was incubated with ab302895 for 30 mins at room temperature.The immunostaining was performed on a Leica Biosystems BOND® RX instrument Counterstained with Hematoxylin. Secondary antibody only control : Secondary antibody is LeicaDS9800 (Bond™ Polymer Refine Detection) was used at Ready to use dilution. Heat mediated antigen retrieval was performed with Tris-EDTA buffer (pH 9.0, Epitope Retrieval Solution2) for 20 mins

Flow Cytometry (Intracellular) - Anti-PPT1/PPT antibody [EPR27163-2] (BSA and Azide free) (AB302896)
  • Flow Cyt (Intra)

Supplier Data

Flow Cytometry (Intracellular) - Anti-PPT1/PPT antibody [EPR27163-2] (BSA and Azide free) (AB302896)

This data was developed using ab302895, the same antibody clone in a different buffer formulation.Flow cytometric analysis of 4% paraformaldehyde fixed 90% methanol permeabilized THP-1 (human monocytic leukemia monocyte) cells labelling PPT1/PPT with ab302895 at 1/500 dilution (0.1ug) (Red) (Red) compared with a Rabbit monoclonal IgG (ab172730) (Black) isotype control and an unlabelled control (cells without incubation with primary antibody and secondary antibody) (Blue). A Goat Anti-Rabbit IgG (Alexa Fluor® 488, ab150081) at 1/2000 dilution was used as the secondary antibody.

Immunocytochemistry - Anti-PPT1/PPT antibody [EPR27163-2] (BSA and Azide free) (AB302896)
  • ICC

Supplier Data

Immunocytochemistry - Anti-PPT1/PPT antibody [EPR27163-2] (BSA and Azide free) (AB302896)

This data was developed using ab302895, the same antibody clone in a different buffer formulation.Immunofluorescent analysis of 80% Methanol-fixed, 0.1% TritonX-100 permeabilized THP-1 (human monocytic leukemia monocyte) cells labelling PPT1/PPT with ab302895 at 1/50 (9.24 ug/ml) dilution, followed by ab150081 Goat Anti-Rabbit IgG H&L (Alexa Fluor® 488) preadsorbed antibody at 1/1000 2ug/ml dilution (Green). Confocal image showing cytoplasmic staining in THP-1 cell line. is observed. ab195889 Anti-alpha Tubulin mouse monoclonal antibody - Microtubule Marker (Alexa Fluor® 594) was used to counterstain tubulin at 1/200 2.5ug/ml dilution (Red). The Nuclear counterstain was DAPI (Blue). Secondary antibody only control : Secondary antibody is ab150081 Goat Anti-Rabbit IgG H&L (Alexa Fluor® 488) preadsorbed at 1/1000 2ug/ml dilution.

Western blot - Anti-PPT1/PPT antibody [EPR27163-2] (BSA and Azide free) (AB302896)
  • WB

Supplier Data

Western blot - Anti-PPT1/PPT antibody [EPR27163-2] (BSA and Azide free) (AB302896)

This data was developed using ab302895, the same antibody clone in a different buffer formulation.

Blocking / Diluting buffer and concentration : 5% NFDM/TBST

Exposure time :

Lane 1 : 15 seconds

Lanes 2-3 : 180 seconds

All lanes:

Western blot - Anti-PPT1/PPT antibody [EPR27163-2] (<a href='/en-us/products/primary-antibodies/ppt1-ppt-antibody-epr27163-2-ab302895'>ab302895</a>) at 1/1000 dilution

Lane 1:

Human cerebellum tissue lysate at 20 µg

Lane 2:

Human hypothalamus tissue lysate at 20 µg

Lane 3:

Human lung cancer tissue lysate at 20 µg

Secondary

All lanes:

Goat Anti-Rabbit IgG (HRP) with minimal cross-reactivity with human IgG at 1/2000 dilution

Predicted band size: 34 kDa

Observed band size: 31-35 kDa

false

Key facts

Host species

Rabbit

Clonality

Monoclonal

Clone number

EPR27163-2

Isotype

IgG

Carrier free

Yes

Reacts with

Human

Applications

Flow Cyt (Intra), IP, IHC-P, ICC/IF, WB

applications

Immunogen

The exact immunogen used to generate this antibody is proprietary information.

Reactivity data

{ "title": "Reactivity Data", "filters": { "stats": ["", "Species", "Dilution Info", "Notes"], "tabs": { "all-applications": {"fullname" : "All Applications", "shortname": "All Applications"}, "WB" : {"fullname" : "Western blot", "shortname":"WB"}, "IHCP" : {"fullname" : "Immunohistochemistry (Formalin/PFA-fixed paraffin-embedded sections)", "shortname":"IHC-P"}, "ICCIF" : {"fullname" : "Immunocytochemistry/ Immunofluorescence", "shortname":"ICC/IF"}, "FlowCytIntra" : {"fullname" : "Flow Cytometry (Intracellular)", "shortname":"Flow Cyt (Intra)"}, "IP" : {"fullname" : "Immunoprecipitation", "shortname":"IP"} }, "product-promise": { "all": "all", "testedAndGuaranteed": "tested", "guaranteed": "expected", "predicted": "predicted", "notRecommended": "not-recommended" } }, "values": { "Human": { "WB-species-checked": "testedAndGuaranteed", "WB-species-dilution-info": "", "WB-species-notes": "<p></p>", "IHCP-species-checked": "testedAndGuaranteed", "IHCP-species-dilution-info": "", "IHCP-species-notes": "<p></p>", "ICCIF-species-checked": "testedAndGuaranteed", "ICCIF-species-dilution-info": "", "ICCIF-species-notes": "<p></p>", "FlowCytIntra-species-checked": "testedAndGuaranteed", "FlowCytIntra-species-dilution-info": "", "FlowCytIntra-species-notes": "<p></p>", "IP-species-checked": "testedAndGuaranteed", "IP-species-dilution-info": "", "IP-species-notes": "<p></p>" }, "Mouse": { "WB-species-checked": "notRecommended", "WB-species-dilution-info": "", "WB-species-notes": "<p></p>", "IHCP-species-checked": "notRecommended", "IHCP-species-dilution-info": "", "IHCP-species-notes": "<p></p>", "ICCIF-species-checked": "notRecommended", "ICCIF-species-dilution-info": "", "ICCIF-species-notes": "", "FlowCytIntra-species-checked": "notRecommended", "FlowCytIntra-species-dilution-info": "", "FlowCytIntra-species-notes": "", "IP-species-checked": "notRecommended", "IP-species-dilution-info": "", "IP-species-notes": "" }, "Rat": { "WB-species-checked": "notRecommended", "WB-species-dilution-info": "", "WB-species-notes": "<p></p>", "IHCP-species-checked": "notRecommended", "IHCP-species-dilution-info": "", "IHCP-species-notes": "<p></p>", "ICCIF-species-checked": "notRecommended", "ICCIF-species-dilution-info": "", "ICCIF-species-notes": "", "FlowCytIntra-species-checked": "notRecommended", "FlowCytIntra-species-dilution-info": "", "FlowCytIntra-species-notes": "", "IP-species-checked": "notRecommended", "IP-species-dilution-info": "", "IP-species-notes": "" } } }

Product details

Conjugation ready
Our carrier-free antibodies are typically supplied in a PBS-only formulation, purified and free of BSA, sodium azide and glycerol. This conjugation-ready format is designed for use with fluorochromes, metal isotopes, oligonucleotides, and enzymes, which makes them ideal for antibody labelling, functional and cell-based assays, flow-based assays (e.g. mass cytometry) and Multiplex Imaging applications.

Use our conjugation kits for antibody conjugates that are ready-to-use in as little as 20 minutes with 1 minute hands-on-time and 100% antibody recovery: available for fluorescent dyes, HRP, biotin and gold.

Compatibility
This product is compatible with the Maxpar® Antibody Labeling Kit from Fluidigm, without the need for antibody preparation. Maxpar® is a trademark of Fluidigm Canada Inc.

Patented technology
Our RabMAb® technology is a patented hybridoma-based technology for making rabbit monoclonal antibodies. For details on our patents, please refer to RabMAb® patents.

What are the advantages of a recombinant monoclonal antibody?
This product is a recombinant monoclonal antibody, which offers several advantages including:

  • - High batch-to-batch consistency and reproducibility
  • - Improved sensitivity and specificity
  • - Long-term security of supply
  • - Animal-free batch production

For more information, read more on recombinant antibodies.

Properties and storage information

Form
Liquid
Purification technique
Affinity purification Protein A
Storage buffer
pH: 7.2 - 7.4 Constituents: PBS
Shipped at conditions
Blue Ice
Appropriate short-term storage conditions
+4°C
Appropriate long-term storage conditions
+4°C
Storage information
Do Not Freeze

Supplementary information

This supplementary information is collated from multiple sources and compiled automatically.

PPT1 also known as palmitoyl-protein thioesterase 1 is an enzyme that plays a critical role in protein metabolism by removing thioester-linked palmitate groups from proteins. This enzyme has a molecular weight of approximately 37 kDa. PPT1 is expressed widely in the body with significant expression in tissues such as the brain and liver. It localizes primarily in the lysosomes where it assists in lysosomal degradation pathways. Polyclonal antibodies against PPT1 can be utilized in protein analysis and help elucidate the structure and functionality of this enzyme further.
Biological function summary

PPT1 contributes to the turnover and stability of proteins by mediating their de-palmitoylation an important step in maintaining appropriate protein function and cellular homeostasis. This enzyme assists in the recycling and degradation process by facilitating the catabolism of proteins through the lysosomal pathway. PPT1 does not function as part of a larger complex but operates individually to execute the removal of palmitate which impacts a diverse range of substrates vital for controlling cellular mechanisms such as synaptic function.

Pathways

PPT1 is heavily involved in the protein degradation pathway within lysosomes. This pathway is important for the autophagic degradation process which directly associates with cellular waste management and the recycling of cellular components. PPT1's function is also connected to protein stability because improper palmitoylation can disrupt protein location and function. The enzyme shows functional interaction with proteins like CLN2 which also participates in lysosomal degradation processes and they share involvement in neuronal homeostasis.

Defects in PPT1 activity lead to neurodegenerative conditions notably the Infantile Neuronal Ceroid Lipofuscinosis (INCL). This disorder results from the accumulation of lipid-protein complexes in neurons emphasizing the need for proper PPT1 function. PPT1 has connections to the disease context through its interaction with the protein CLN3 another gene implicated in Batten disease part of the neuronal ceroid lipofuscinoses group. The study of PPT1 opens avenues for therapeutic approaches targeting these lysosomal storage disorders. Immunohistochemistry and immunocytochemistry are techniques often used to study the role of PPT1 in these pathological states.

Product protocols

For this product, it's our understanding that no specific protocols are required. You can visit:

Target data

Removes thioester-linked fatty acyl groups such as palmitate from modified cysteine residues in proteins or peptides during lysosomal degradation. Prefers acyl chain lengths of 14 to 18 carbons (PubMed : 8816748).
See full target information PPT1

Product promise

We are committed to supporting your work with high-quality reagents, and we're here for you every step of the way. In the unlikely event that one of our products does not perform as expected, you're protected by our Product Promise.
For full details, please see our Terms & Conditions

Please note: All products are 'FOR RESEARCH USE ONLY. NOT FOR USE IN DIAGNOSTIC OR THERAPEUTIC PROCEDURES'.

For licensing inquiries, please contact partnerships@abcam.com