JavaScript is disabled in your browser. Please enable JavaScript to view this website.
AB100797

Anti-PQBP1 antibody

Be the first to review this product! Submit a review

|

(3 Publications)

Rabbit Polyclonal PQBP1 antibody. Suitable for IHC-P, IP, WB and reacts with Mouse, Human samples. Cited in 3 publications. Immunogen corresponding to Synthetic Peptide within Human PQBP1 aa 150-200.

View Alternative Names

NPW38, JM26, PQBP1, Polyglutamine-binding protein 1, PQBP-1, 38 kDa nuclear protein containing a WW domain, Polyglutamine tract-binding protein 1, Npw38

3 Images
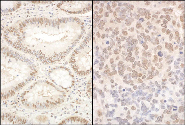
Immunohistochemistry (Formalin/PFA-fixed paraffin-embedded sections) - Anti-PQBP1 antibody (AB100797)
  • IHC-P

Unknown

Immunohistochemistry (Formalin/PFA-fixed paraffin-embedded sections) - Anti-PQBP1 antibody (AB100797)

Immunohistochemistry (Formalin/PFA-fixed paraffin-embedded sections) analysis of human breast carcinoma (left) and mouse teratoma (right) tissues labelling PQBP1 with ab100797 at 1/1000 (1µg/mg). Detection : DAB.

Immunoprecipitation - Anti-PQBP1 antibody (AB100797)
  • IP

Unknown

Immunoprecipitation - Anti-PQBP1 antibody (AB100797)

ab100797 at 1 µg/ml staining PQBP1 in HeLa cell lysate immunoprecipitated using ab100797 at 3 µg/mg lysate (1 mg/IP; 20% of IP loaded/lane). Exposure time : 10 seconds

All lanes:

Immunoprecipitation - Anti-PQBP1 antibody (ab100797)

Predicted band size: 30 kDa

false

Western blot - Anti-PQBP1 antibody (AB100797)
  • WB

Unknown

Western blot - Anti-PQBP1 antibody (AB100797)

All lanes:

Western blot - Anti-PQBP1 antibody (ab100797) at 0.1 µg/mL

Lane 1:

HeLa whole Cell Lysate at 50 µg

Lane 2:

HeLa whole Cell Lysate at 15 µg

Lane 3:

HeLa whole Cell Lysate at 5 µg

Lane 4:

293T whole Cell Lysate at 50 µg

Predicted band size: 30 kDa

false

Exposure time: 30s

Key facts

Host species

Rabbit

Clonality

Polyclonal

Isotype

IgG

Carrier free

No

Reacts with

Mouse, Human

Applications

IHC-P, WB, IP

applications

Immunogen

Synthetic Peptide within Human PQBP1 aa 150-200. The exact immunogen used to generate this antibody is proprietary information.

O60828

Reactivity data

{ "title": "Reactivity Data", "filters": { "stats": ["", "Species", "Dilution Info", "Notes"], "tabs": { "all-applications": {"fullname" : "All Applications", "shortname": "All Applications"}, "IHCP" : {"fullname" : "Immunohistochemistry (Formalin/PFA-fixed paraffin-embedded sections)", "shortname":"IHC-P"}, "IP" : {"fullname" : "Immunoprecipitation", "shortname":"IP"}, "WB" : {"fullname" : "Western blot", "shortname":"WB"} }, "product-promise": { "all": "all", "testedAndGuaranteed": "tested", "guaranteed": "expected", "predicted": "predicted", "notRecommended": "not-recommended" } }, "values": { "Human": { "IHCP-species-checked": "testedAndGuaranteed", "IHCP-species-dilution-info": "1/500 - 1/2000", "IHCP-species-notes": "<p></p> Perform heat-mediated antigen retrieval with citrate buffer pH 6 before commencing with IHC staining protocol.", "IP-species-checked": "testedAndGuaranteed", "IP-species-dilution-info": "2-5 µg/mg of lysate", "IP-species-notes": "<p></p>", "WB-species-checked": "testedAndGuaranteed", "WB-species-dilution-info": "1/2000 - 1/10000", "WB-species-notes": "<p></p>" }, "Mouse": { "IHCP-species-checked": "testedAndGuaranteed", "IHCP-species-dilution-info": "1/500 - 1/2000", "IHCP-species-notes": "<p></p> Perform heat-mediated antigen retrieval with citrate buffer pH 6 before commencing with IHC staining protocol.", "IP-species-checked": "guaranteed", "IP-species-dilution-info": "", "IP-species-notes": "", "WB-species-checked": "guaranteed", "WB-species-dilution-info": "", "WB-species-notes": "" }, "Chimpanzee": { "IHCP-species-checked": "predicted", "IHCP-species-dilution-info": "", "IHCP-species-notes": "", "IP-species-checked": "predicted", "IP-species-dilution-info": "", "IP-species-notes": "", "WB-species-checked": "predicted", "WB-species-dilution-info": "", "WB-species-notes": "" }, "Cow": { "IHCP-species-checked": "predicted", "IHCP-species-dilution-info": "", "IHCP-species-notes": "", "IP-species-checked": "predicted", "IP-species-dilution-info": "", "IP-species-notes": "", "WB-species-checked": "predicted", "WB-species-dilution-info": "", "WB-species-notes": "" }, "Dog": { "IHCP-species-checked": "predicted", "IHCP-species-dilution-info": "", "IHCP-species-notes": "", "IP-species-checked": "predicted", "IP-species-dilution-info": "", "IP-species-notes": "", "WB-species-checked": "predicted", "WB-species-dilution-info": "", "WB-species-notes": "" }, "Ferret": { "IHCP-species-checked": "predicted", "IHCP-species-dilution-info": "", "IHCP-species-notes": "", "IP-species-checked": "predicted", "IP-species-dilution-info": "", "IP-species-notes": "", "WB-species-checked": "predicted", "WB-species-dilution-info": "", "WB-species-notes": "" }, "Gorilla": { "IHCP-species-checked": "predicted", "IHCP-species-dilution-info": "", "IHCP-species-notes": "", "IP-species-checked": "predicted", "IP-species-dilution-info": "", "IP-species-notes": "", "WB-species-checked": "predicted", "WB-species-dilution-info": "", "WB-species-notes": "" }, "Horse": { "IHCP-species-checked": "predicted", "IHCP-species-dilution-info": "", "IHCP-species-notes": "", "IP-species-checked": "predicted", "IP-species-dilution-info": "", "IP-species-notes": "", "WB-species-checked": "predicted", "WB-species-dilution-info": "", "WB-species-notes": "" }, "Orangutan": { "IHCP-species-checked": "predicted", "IHCP-species-dilution-info": "", "IHCP-species-notes": "", "IP-species-checked": "predicted", "IP-species-dilution-info": "", "IP-species-notes": "", "WB-species-checked": "predicted", "WB-species-dilution-info": "", "WB-species-notes": "" }, "Pig": { "IHCP-species-checked": "predicted", "IHCP-species-dilution-info": "", "IHCP-species-notes": "", "IP-species-checked": "predicted", "IP-species-dilution-info": "", "IP-species-notes": "", "WB-species-checked": "predicted", "WB-species-dilution-info": "", "WB-species-notes": "" }, "Rhesus monkey": { "IHCP-species-checked": "predicted", "IHCP-species-dilution-info": "", "IHCP-species-notes": "", "IP-species-checked": "predicted", "IP-species-dilution-info": "", "IP-species-notes": "", "WB-species-checked": "predicted", "WB-species-dilution-info": "", "WB-species-notes": "" } } }

Properties and storage information

Form
Liquid
Purification technique
Affinity purification Immunogen
Purification notes
Antibody was affinity purified using an epitope specific to PQBP1 immobilized on solid support
Storage buffer
pH: 7 - 8 Preservative: 0.09% Sodium azide Constituents: Tris citrate/phosphate
Shipped at conditions
Blue Ice
Appropriate short-term storage conditions
+4°C
Appropriate long-term storage conditions
+4°C
Aliquoting information
Upon delivery aliquot
Storage information
Avoid freeze / thaw cycle

Supplementary information

This supplementary information is collated from multiple sources and compiled automatically.

PQBP1 also known as Polyglutamine-Binding Protein 1 is a protein that plays an important role in cellular functions. Its molecular mass is approximately 34 kDa. PQBP1 is expressed widely in human tissues with higher levels detected in the brain and muscle. It contains a WW domain which facilitates its interaction with other proteins through proline-rich sequences impacting various cellular processes such as transcriptional regulation and RNA splicing.
Biological function summary

PQBP1 interacts with other proteins through its ability to bind to polyglutamine tracts. This protein often participates as a subunit in large complexes influencing the transcriptional machinery. It plays a role by regulating gene expression and maintaining proper RNA splicing which are critical for normal cell function and development. The ability to form complexes enables PQBP1 to impact multiple pathways critical for cellular processes highlighting its functional versatility.

Pathways

PQBP1 actively participates in the RNA splicing pathway and transcription regulation. It interacts closely with the WNT signaling pathway which is vital for cellular proliferation and differentiation. Within these pathways PQBP1 associates with proteins like ATXN1 and SMN facilitating its role in gene expression modulation and maintaining cellular homeostasis.

PQBP1 mutations are linked to neurological conditions such as Renpenning syndrome and intellectual disability. These mutations can alter the PQBP1's interaction with other proteins including those in the WNT pathway potentially leading to disrupted cellular functions. The protein ATXN1 connected through disease pathways interacts with PQBP1 amplifying the effects of its mutations and contributing to the pathology of neurodegenerative diseases.

Product protocols

For this product, it's our understanding that no specific protocols are required. You can visit:

Target data

Intrinsically disordered protein that acts as a scaffold, and which is involved in different processes, such as pre-mRNA splicing, transcription regulation, innate immunity and neuron development (PubMed : 10198427, PubMed : 10332029, PubMed : 12062018, PubMed : 20410308, PubMed : 23512658). Interacts with splicing-related factors via the intrinsically disordered region and regulates alternative splicing of target pre-mRNA species (PubMed : 10332029, PubMed : 12062018, PubMed : 20410308, PubMed : 23512658). May suppress the ability of POU3F2 to transactivate the DRD1 gene in a POU3F2 dependent manner. Can activate transcription directly or via association with the transcription machinery (PubMed : 10198427). May be involved in ATXN1 mutant-induced cell death (PubMed : 12062018). The interaction with ATXN1 mutant reduces levels of phosphorylated RNA polymerase II large subunit (PubMed : 12062018). Involved in the assembly of cytoplasmic stress granule, possibly by participating in the transport of neuronal RNA granules (PubMed : 21933836). Also acts as an innate immune sensor of infection by retroviruses, such as HIV, by detecting the presence of reverse-transcribed DNA in the cytosol (PubMed : 26046437). Directly binds retroviral reverse-transcribed DNA in the cytosol and interacts with CGAS, leading to activate the cGAS-STING signaling pathway, triggering type-I interferon production (PubMed : 26046437).
See full target information PQBP1

Publications (3)

Recent publications for all applications. Explore the full list and refine your search

Frontiers in physiology 16:1547661 PubMed40110183

2025

Cardiac implications of chicken wooden breast myopathy.

Applications

Unspecified application

Species

Unspecified reactive species

Thea Parsberg Støle,Andreas Romaine,Thea Kleiberg,Vibeke Høst,Marianne Lunde,Almira Hasic,Tiril Aurora Lintvedt,Karen Wahlstrøm Sanden,Svein O Kolset,Jens Petter Wold,Addolorata Pisconti,Sissel Beate Rønning,Cathrine Rein Carlson,Mona Elisabeth Pedersen

JCI insight 6: PubMed34784299

2021

CPVL promotes glioma progression via STAT1 pathway inhibition through interactions with the BTK/p300 axis.

Applications

Unspecified application

Species

Unspecified reactive species

Hui Yang,Xiaocen Liu,Xiaolong Zhu,Xueqin Li,Lan Jiang,Min Zhong,Mengying Zhang,Tianbing Chen,Mingzhe Ma,Xiuming Liang,Kun Lv

Molecular cell 81:1425-1438.e10 PubMed33662272

2021

PQBP1 promotes translational elongation and regulates hippocampal mGluR-LTD by suppressing eEF2 phosphorylation.

Applications

Unspecified application

Species

Unspecified reactive species

Yuqian Shen,Zi Chao Zhang,Shanshan Cheng,An Liu,Jian Zuo,Shuting Xia,Xian Liu,Wenhua Liu,Zhengping Jia,Wei Xie,Junhai Han
View all publications

Product promise

We are committed to supporting your work with high-quality reagents, and we're here for you every step of the way. In the unlikely event that one of our products does not perform as expected, you're protected by our Product Promise.
For full details, please see our Terms & Conditions

Please note: All products are 'FOR RESEARCH USE ONLY. NOT FOR USE IN DIAGNOSTIC OR THERAPEUTIC PROCEDURES'.

For licensing inquiries, please contact partnerships@abcam.com