JavaScript is disabled in your browser. Please enable JavaScript to view this website.
AB202968

Anti-PR3 antibody

Be the first to review this product! Submit a review

|

(1 Publication)

Rabbit Polyclonal PR3 antibody. Suitable for IHC-P and reacts with Mouse, Rat samples. Cited in 1 publication. Immunogen corresponding to Synthetic Peptide within Human PRTN3 conjugated to Keyhole Limpet Haemocyanin.

View Alternative Names

MBN, PRTN3, Myeloblastin, AGP7, C-ANCA antigen, Leukocyte proteinase 3, Neutrophil proteinase 4, P29, Wegener autoantigen, PR-3, PR3, NP-4

2 Images
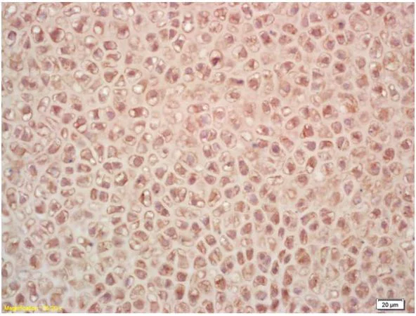
Immunohistochemistry (Formalin/PFA-fixed paraffin-embedded sections) - Anti-PR3 antibody (AB202968)
  • IHC-P

Supplier Data

Immunohistochemistry (Formalin/PFA-fixed paraffin-embedded sections) - Anti-PR3 antibody (AB202968)

Immunohistochemical analysis of formalin-fixed, paraffin-embedded Mouse embryo labeling PR3 with ab202968 at 1/200 dilution followed by conjugation to the secondary antibody and DAB staining.

Immunohistochemistry (Formalin/PFA-fixed paraffin-embedded sections) - Anti-PR3 antibody (AB202968)
  • IHC-P

Supplier Data

Immunohistochemistry (Formalin/PFA-fixed paraffin-embedded sections) - Anti-PR3 antibody (AB202968)

Immunohistochemical analysis of formalin-fixed, paraffin-embedded Rat brain labeling PR3 with ab202968 at 1/200 dilution followed by conjugation to the secondary antibody and DAB staining.

Key facts

Host species

Rabbit

Clonality

Polyclonal

Isotype

IgG

Carrier free

No

Reacts with

Mouse, Rat

Applications

IHC-P

applications

Immunogen

Synthetic Peptide within Human PRTN3 conjugated to Keyhole Limpet Haemocyanin. The exact immunogen used to generate this antibody is proprietary information.

P24158

Reactivity data

{ "title": "Reactivity Data", "filters": { "stats": ["", "Species", "Dilution Info", "Notes"], "tabs": { "all-applications": {"fullname" : "All Applications", "shortname": "All Applications"}, "IHCP" : {"fullname" : "Immunohistochemistry (Formalin/PFA-fixed paraffin-embedded sections)", "shortname":"IHC-P"} }, "product-promise": { "all": "all", "testedAndGuaranteed": "tested", "guaranteed": "expected", "predicted": "predicted", "notRecommended": "not-recommended" } }, "values": { "Mouse": { "IHCP-species-checked": "testedAndGuaranteed", "IHCP-species-dilution-info": "1/100 - 1/500", "IHCP-species-notes": "<p>Use at 1/50 - 1/200 with fluorescent detection methods.</p> Perform heat-mediated antigen retrieval with citrate buffer pH 6 before commencing with IHC staining protocol." }, "Rat": { "IHCP-species-checked": "testedAndGuaranteed", "IHCP-species-dilution-info": "1/100 - 1/500", "IHCP-species-notes": "<p>Use at 1/50 - 1/200 with fluorescent detection methods.</p> Perform heat-mediated antigen retrieval with citrate buffer pH 6 before commencing with IHC staining protocol." } } }

Properties and storage information

Form
Liquid
Purification technique
Affinity purification Protein A
Storage buffer
pH: 7.4 Preservative: 0.02% Proclin 300 Constituents: 50% Glycerol (glycerin, glycerine), 48.98% TBS, 1X, 1% BSA
Shipped at conditions
Blue Ice
Appropriate short-term storage duration
1-2 weeks
Appropriate short-term storage conditions
+4°C
Appropriate long-term storage conditions
-20°C
Aliquoting information
Upon delivery aliquot
Storage information
Avoid freeze / thaw cycle

Supplementary information

This supplementary information is collated from multiple sources and compiled automatically.

Proteinase 3 (PR3) also known as PRTN3 is a serine protease with a mass of approximately 29 kDa. It belongs to the human neutrophil elastase (HNE) family and is mainly expressed in neutrophils. Within these immune cells PR3 localizes to azurophilic granules where it participates in early immune responses. The proteolytic activity of PR3 involves cleaving peptide bonds in target proteins contributing to the processing and degradation of various proteins important for immune function.
Biological function summary

Proteinase 3 serves multiple roles including modulating inflammation and immune responses. PR3 functions as part of a complex with azurophilic granules aiding in microbial defense mechanisms. In addition the protease regulates cytokine activation and deactivation which in turn influences cell signaling related to inflammation. Its enzymatic action ensures that PR3 can manage inflammatory processes by breaking down extracellular matrix components thereby allowing white blood cells to access infection sites.

Pathways

Proteinase 3 plays an important role within the serine protease and inflammatory pathways. It interacts with other proteins such as neutrophil elastase with which it shares a pathway to modulate immune responses. PR3 also partners with cathepsin G contributing to processes such as pathogen clearance and tissue remodeling providing a coordinated response during infection and injury. These interactions show PR3's involvement in regulating the balance between inflammation and tissue repair.

PR3 is notably associated with Wegener's granulomatosis also known as granulomatosis with polyangiitis. This autoimmune condition results in systemic vasculitis where anti-proteinase 3 antibodies notably characterize the disease. Additionally PR3 plays a part in chronic obstructive pulmonary disease (COPD) where its proteolytic activity contributes to tissue damage in the lungs. In both conditions PR3 interplays with related proteins like myeloperoxidase further demonstrating its importance in processes leading to these disorders.

Product protocols

For this product, it's our understanding that no specific protocols are required. You can visit:

Target data

Serine protease that degrades elastin, fibronectin, laminin, vitronectin, and collagen types I, III, and IV (in vitro) (PubMed : 2033050, PubMed : 28240246, PubMed : 3198760). By cleaving and activating receptor F2RL1/PAR-2, enhances endothelial cell barrier function and thus vascular integrity during neutrophil transendothelial migration (PubMed : 23202369). May play a role in neutrophil transendothelial migration, probably when associated with CD177 (PubMed : 22266279).
See full target information PRTN3

Publications (1)

Recent publications for all applications. Explore the full list and refine your search

Thoracic cancer 13:986-996 PubMed35166026

2022

Cisplatin resistance and malignant behaviors of lung cancer cells are promoted by circ_0002360 via targeting miR-6751-3p to regulate the expression of ZNF300.

Applications

Unspecified application

Species

Unspecified reactive species

Lingyan Ding,Lizhi Li,Zhaohui Tang
View all publications

Product promise

We are committed to supporting your work with high-quality reagents, and we're here for you every step of the way. In the unlikely event that one of our products does not perform as expected, you're protected by our Product Promise.
For full details, please see our Terms & Conditions

Please note: All products are 'FOR RESEARCH USE ONLY. NOT FOR USE IN DIAGNOSTIC OR THERAPEUTIC PROCEDURES'.

For licensing inquiries, please contact partnerships@abcam.com