JavaScript is disabled in your browser. Please enable JavaScript to view this website.
AB270610

Anti-PR3 antibody [EPR23253-35] - BSA and Azide free

Be the first to review this product! Submit a review

|

(0 Publication)

Rabbit Recombinant Monoclonal PR3 antibody. Carrier free. Suitable for ICC/IF, IHC-P and reacts with Mouse, Human, Rat samples.

View Alternative Names

MBN, PRTN3, Myeloblastin, AGP7, C-ANCA antigen, Leukocyte proteinase 3, Neutrophil proteinase 4, P29, Wegener autoantigen, PR-3, PR3, NP-4

8 Images
Immunohistochemistry (Formalin/PFA-fixed paraffin-embedded sections) - Anti-PR3 antibody [EPR23253-35] - BSA and Azide free (AB270610)
  • IHC-P

Unknown

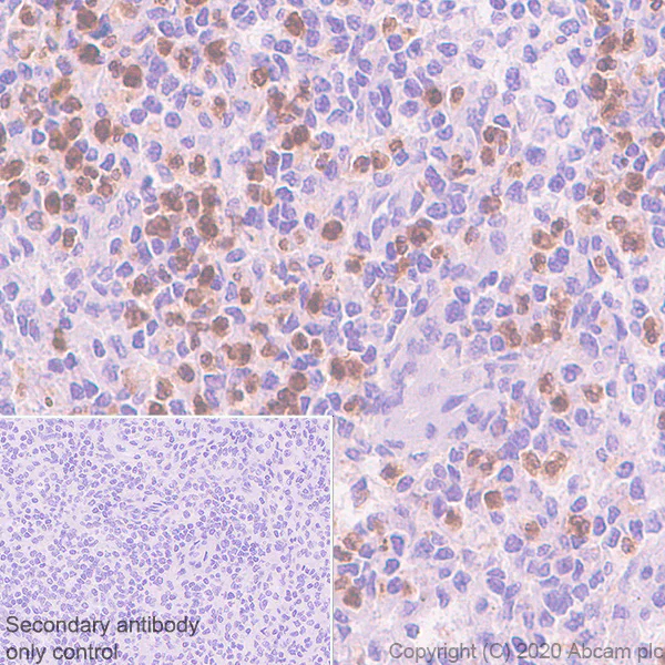
Immunohistochemistry (Formalin/PFA-fixed paraffin-embedded sections) - Anti-PR3 antibody [EPR23253-35] - BSA and Azide free (AB270610)

Immunohistochemical analysis of paraffin-embedded Human spleen tissue labeling PR3 with ab270441 at 1/100 dilution followed by a ready to use LeicaDS9800 (Bond™, Polymer Refine Detection) was used. Positive staining on neutrophils in human spleen.The section was incubated with ab270441 for 30 mins at room temperature.The immunostaining was performed on a Leica Biosystems BOND® RX instrument. Counterstained with Hematoxylin.

Secondary antibody only control : Secondary antibody is a ready to use LeicaDS9800 (Bond™, Polymer Refine Detection) was used.

Heat mediated antigen retrieval with Tris-EDTA buffer (pH 9.0, epitope retrieval solution2) for 20 mins.

This data was developed using the same antibody clone in a different buffer formulation containing PBS, BSA, glycerol, and sodium azide (ab270441).

Immunocytochemistry/ Immunofluorescence - Anti-PR3 antibody [EPR23253-35] - BSA and Azide free (AB270610)
  • ICC/IF

Lab

Immunocytochemistry/ Immunofluorescence - Anti-PR3 antibody [EPR23253-35] - BSA and Azide free (AB270610)

This data was developed using the same antibody clone in a different buffer formulation containing PBS, BSA, glycerol, and sodium azide (ab270441).

ab270441 staining PR3 in HL-60 cells, with negative expression in K562 cells. The cells were fixed with 4% formaldehyde (10 min), permeabilised with 0.1% Triton x-100 for 5 minutes and then blocked with 1% BSA/10% normal goat serum/0.3M glycine in 0.1% PBS-Tween for 1h. The cells were then incubated overnight at +4°C with ab270441 at 5 μg/ml and ab7291, Mouse monoclonal [DM1A] to alpha Tubulin at 0.5 μg/ml. Cells were then incubated with ab150081, Goat polyclonal Secondary Antibody to Rabbit IgG - H&L (Alexa Fluor® 488), pre-adsorbed at 1/1000 dilution (shown in green) and ab150119, Goat polyclonal Secondary Antibody to Mouse IgG - H&L (Alexa Fluor® 647), pre-adsorbed at 1/1000 dilution (shown in red). Nuclear DNA was labelled with DAPI (shown in blue).

Image was acquired with a confocal microscope (Leica-Microsystems TCS SP8) and a single confocal section is shown.

Immunohistochemistry (Formalin/PFA-fixed paraffin-embedded sections) - Anti-PR3 antibody [EPR23253-35] - BSA and Azide free (AB270610)
  • IHC-P

Unknown

Immunohistochemistry (Formalin/PFA-fixed paraffin-embedded sections) - Anti-PR3 antibody [EPR23253-35] - BSA and Azide free (AB270610)

Immunohistochemical analysis of paraffin-embedded Mouse spleen tissue labeling PR3 with ab270441 at 1/2000 dilution followed by a ready to use LeicaDS9800 (Bond™, Polymer Refine Detection) was used. Positive staining on neutrophils in mouse spleen. The section was incubated with ab270441 for 30 mins at room temperature.The immunostaining was performed on a Leica Biosystems BOND® RX instrument. Counterstained with Hematoxylin.

Secondary antibody only control : Secondary antibody is a ready to use LeicaDS9800 (Bond™, Polymer Refine Detection) was used.

Heat mediated antigen retrieval with Tris-EDTA buffer (pH 9.0, epitope retrieval solution2) for 20 mins.

This data was developed using the same antibody clone in a different buffer formulation containing PBS, BSA, glycerol, and sodium azide (ab270441).

Immunocytochemistry/ Immunofluorescence - Anti-PR3 antibody [EPR23253-35] - BSA and Azide free (AB270610)
  • ICC/IF

Unknown

Immunocytochemistry/ Immunofluorescence - Anti-PR3 antibody [EPR23253-35] - BSA and Azide free (AB270610)

Immunofluorescent analysis of 4% Paraformaldehyde-fixed, 0.1% TritonX-100 permeabilized mouse bone marrow or EL4 cells labelling PR3 with ab270441 at 1/100 dilution, followed by ab150077 Goat Anti-Rabbit IgG H&L (Alexa Fluor® 488) antibody at 1/1000 dilution (Green). Confocal image showing membranous and cytoplasmic staining in a subset of mouse bone marrow cells. Negative control : EL4 (PMID : 9211743). ab195889 Anti-alpha Tubulin antibody [DM1A] - Microtubule Marker (Alexa Fluor® 594) was used to counterstain tubulin at 1/200 dilution (Red). The Nuclear counterstain was DAPI (Blue).

Secondary antibody only control : Secondary antibody is ab150077 Goat Anti-Rabbit IgG H&L (Alexa Fluor® 488) at 1/1000 dilution.

This data was developed using the same antibody clone in a different buffer formulation containing PBS, BSA, glycerol, and sodium azide (ab270441).

Immunohistochemistry (Formalin/PFA-fixed paraffin-embedded sections) - Anti-PR3 antibody [EPR23253-35] - BSA and Azide free (AB270610)
  • IHC-P

Unknown

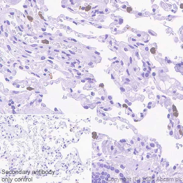
Immunohistochemistry (Formalin/PFA-fixed paraffin-embedded sections) - Anti-PR3 antibody [EPR23253-35] - BSA and Azide free (AB270610)

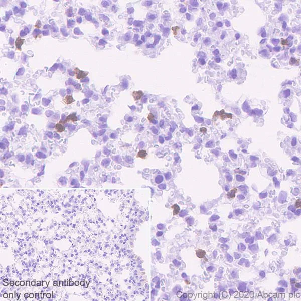
Immunohistochemical analysis of paraffin-embedded Human lung tissue labeling PR3 with ab270441 at 1/100 dilution followed by a ready to use LeicaDS9800 (Bond™, Polymer Refine Detection) was used. Positive staining on neutrophils in human lung (PMID : 22247758).The section was incubated with ab270441 for 30 mins at room temperature.The immunostaining was performed on a Leica Biosystems BOND® RX instrument. Counterstained with Hematoxylin.

Secondary antibody only control : Secondary antibody is a ready to use LeicaDS9800 (Bond™, Polymer Refine Detection) was used.

Heat mediated antigen retrieval with Tris-EDTA buffer (pH 9.0, epitope retrieval solution2) for 20 mins.

This data was developed using the same antibody clone in a different buffer formulation containing PBS, BSA, glycerol, and sodium azide (ab270441).

Immunohistochemistry (Formalin/PFA-fixed paraffin-embedded sections) - Anti-PR3 antibody [EPR23253-35] - BSA and Azide free (AB270610)
  • IHC-P

Unknown

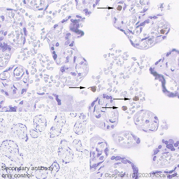
Immunohistochemistry (Formalin/PFA-fixed paraffin-embedded sections) - Anti-PR3 antibody [EPR23253-35] - BSA and Azide free (AB270610)

Immunohistochemical analysis of paraffin-embedded Human placenta tissue labeling PR3 with ab270441 at 1/100 dilution followed by a ready to use LeicaDS9800 (Bond™, Polymer Refine Detection) was used. Positive staining on neutrophils in human placenta.The section was incubated with ab270441 for 30 mins at room temperature.The immunostaining was performed on a Leica Biosystems BOND® RX instrument. Counterstained with Hematoxylin.

Secondary antibody only control : Secondary antibody is a ready to use LeicaDS9800 (Bond™, Polymer Refine Detection) was used.

Heat mediated antigen retrieval with Tris-EDTA buffer (pH 9.0, epitope retrieval solution2) for 20 mins.

This data was developed using the same antibody clone in a different buffer formulation containing PBS, BSA, glycerol, and sodium azide (ab270441).

Immunohistochemistry (Formalin/PFA-fixed paraffin-embedded sections) - Anti-PR3 antibody [EPR23253-35] - BSA and Azide free (AB270610)
  • IHC-P

Unknown

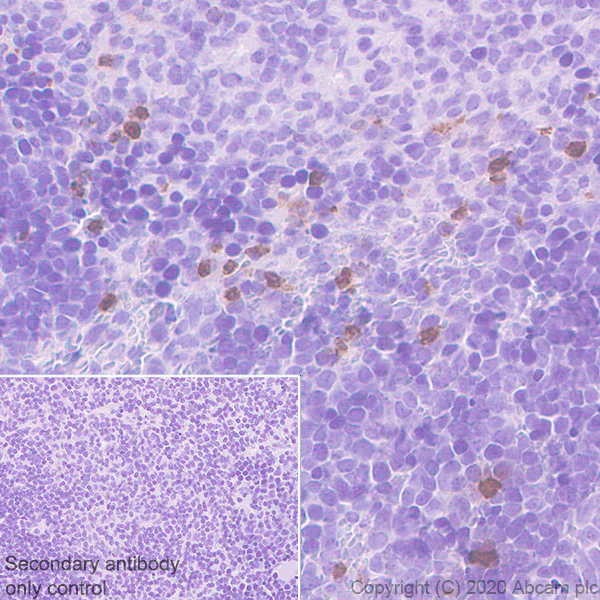
Immunohistochemistry (Formalin/PFA-fixed paraffin-embedded sections) - Anti-PR3 antibody [EPR23253-35] - BSA and Azide free (AB270610)

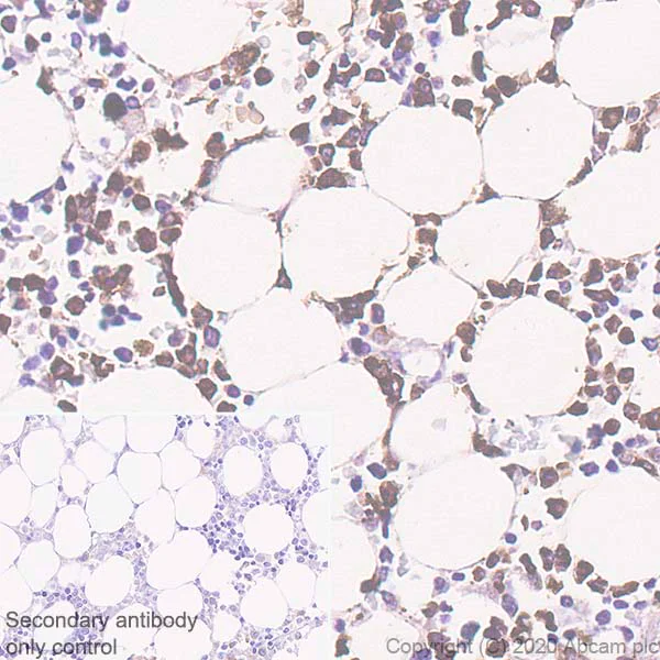
Immunohistochemical analysis of paraffin-embedded Human bone marrow tissue labeling PR3 with ab270441 at 1/100 dilution followed by a ready to use LeicaDS9800 (Bond™, Polymer Refine Detection) was used. Positive staining on human bone marrow (PMID : 22247758).The section was incubated with ab270441 for 30 mins at room temperature. The immunostaining was performed on a Leica Biosystems BOND® RX instrument. Counterstained with Hematoxylin.

Secondary antibody only control : Secondary antibody is a ready to use LeicaDS9800 (Bond™, Polymer Refine Detection) was used.

Heat mediated antigen retrieval with Tris-EDTA buffer (pH 9.0, epitope retrieval solution2) for 20 mins.

This data was developed using the same antibody clone in a different buffer formulation containing PBS, BSA, glycerol, and sodium azide (ab270441).

Immunohistochemistry (Formalin/PFA-fixed paraffin-embedded sections) - Anti-PR3 antibody [EPR23253-35] - BSA and Azide free (AB270610)
  • IHC-P

Unknown

Immunohistochemistry (Formalin/PFA-fixed paraffin-embedded sections) - Anti-PR3 antibody [EPR23253-35] - BSA and Azide free (AB270610)

Immunohistochemical analysis of paraffin-embedded Mouse lung tissue labeling PR3 with ab270441 at 1/2000 dilution followed by a ready to use LeicaDS9800 (Bond™, Polymer Refine Detection) was used. Positive staining on neutrophils in mouse lung (PMID : 22247758).The section was incubated with ab270441 for 30 mins at room temperature.The immunostaining was performed on a Leica Biosystems BOND® RX instrument. Counterstained with Hematoxylin.

Secondary antibody only control : Secondary antibody is a ready to use LeicaDS9800 (Bond™, Polymer Refine Detection) was used.

Heat mediated antigen retrieval with Tris-EDTA buffer (pH 9.0, epitope retrieval solution2) for 20 mins.

This data was developed using the same antibody clone in a different buffer formulation containing PBS, BSA, glycerol, and sodium azide (ab270441).

Key facts

Host species

Rabbit

Clonality

Monoclonal

Clone number

EPR23253-35

Isotype

IgG

Carrier free

Yes

Reacts with

Mouse, Human

Applications

IHC-P, ICC/IF

applications

Immunogen

The exact immunogen used to generate this antibody is proprietary information.

Reactivity data

{ "title": "Reactivity Data", "filters": { "stats": ["", "Species", "Dilution Info", "Notes"], "tabs": { "all-applications": {"fullname" : "All Applications", "shortname": "All Applications"}, "IP" : {"fullname" : "Immunoprecipitation", "shortname":"IP"}, "FlowCyt" : {"fullname" : "Flow Cytometry", "shortname":"Flow Cyt"}, "WB" : {"fullname" : "Western blot", "shortname":"WB"}, "ICCIF" : {"fullname" : "Immunocytochemistry/ Immunofluorescence", "shortname":"ICC/IF"}, "IHCP" : {"fullname" : "Immunohistochemistry (Formalin/PFA-fixed paraffin-embedded sections)", "shortname":"IHC-P"} }, "product-promise": { "all": "all", "testedAndGuaranteed": "tested", "guaranteed": "expected", "predicted": "predicted", "notRecommended": "not-recommended" } }, "values": { "Human": { "IP-species-checked": "notRecommended", "IP-species-dilution-info": "", "IP-species-notes": "<p></p>", "FlowCyt-species-checked": "notRecommended", "FlowCyt-species-dilution-info": "", "FlowCyt-species-notes": "<p></p>", "WB-species-checked": "notRecommended", "WB-species-dilution-info": "", "WB-species-notes": "<p></p>", "ICCIF-species-checked": "guaranteed", "ICCIF-species-dilution-info": "", "ICCIF-species-notes": "", "IHCP-species-checked": "testedAndGuaranteed", "IHCP-species-dilution-info": "", "IHCP-species-notes": "<p></p>" }, "Mouse": { "IP-species-checked": "notRecommended", "IP-species-dilution-info": "", "IP-species-notes": "<p></p>", "FlowCyt-species-checked": "notRecommended", "FlowCyt-species-dilution-info": "", "FlowCyt-species-notes": "<p></p>", "WB-species-checked": "notRecommended", "WB-species-dilution-info": "", "WB-species-notes": "<p></p>", "ICCIF-species-checked": "testedAndGuaranteed", "ICCIF-species-dilution-info": "", "ICCIF-species-notes": "<p></p>", "IHCP-species-checked": "guaranteed", "IHCP-species-dilution-info": "", "IHCP-species-notes": "" }, "Rat": { "IP-species-checked": "notRecommended", "IP-species-dilution-info": "", "IP-species-notes": "", "FlowCyt-species-checked": "notRecommended", "FlowCyt-species-dilution-info": "", "FlowCyt-species-notes": "", "WB-species-checked": "notRecommended", "WB-species-dilution-info": "", "WB-species-notes": "<p></p>", "ICCIF-species-checked": "guaranteed", "ICCIF-species-dilution-info": "", "ICCIF-species-notes": "", "IHCP-species-checked": "testedAndGuaranteed", "IHCP-species-dilution-info": "", "IHCP-species-notes": "<p></p>" } } }

Product details

ab270610 is the carrier-free version of ab270441.

Patented technology
Our RabMAb® technology is a patented hybridoma-based technology for making rabbit monoclonal antibodies. For details on our patents, please refer to RabMAb® patents.

What are the advantages of a recombinant monoclonal antibody?
This product is a recombinant monoclonal antibody, which offers several advantages including:

  • - High batch-to-batch consistency and reproducibility
  • - Improved sensitivity and specificity
  • - Long-term security of supply
  • - Animal-free batch production

For more information, read more on recombinant antibodies.

Conjugation ready
Our carrier-free antibodies are typically supplied in a PBS-only formulation, purified and free of BSA, sodium azide and glycerol. This conjugation-ready format is designed for use with fluorochromes, metal isotopes, oligonucleotides, and enzymes, which makes them ideal for antibody labelling, functional and cell-based assays, flow-based assays (e.g. mass cytometry) and Multiplex Imaging applications.

Use our conjugation kits for antibody conjugates that are ready-to-use in as little as 20 minutes with 1 minute hands-on-time and 100% antibody recovery: available for fluorescent dyes, HRP, biotin and gold.

Compatibility
This product is compatible with the Maxpar® Antibody Labeling Kit from Fluidigm, without the need for antibody preparation. Maxpar® is a trademark of Fluidigm Canada Inc.

Properties and storage information

Form
Liquid
Purification technique
Affinity purification Protein A
Storage buffer
pH: 7.2 - 7.4 Constituents: PBS
Shipped at conditions
Blue Ice
Appropriate short-term storage conditions
+4°C
Appropriate long-term storage conditions
+4°C
Storage information
Do Not Freeze

Supplementary information

This supplementary information is collated from multiple sources and compiled automatically.

Proteinase 3 (PR3) also known as PRTN3 is a serine protease with a mass of approximately 29 kDa. It belongs to the human neutrophil elastase (HNE) family and is mainly expressed in neutrophils. Within these immune cells PR3 localizes to azurophilic granules where it participates in early immune responses. The proteolytic activity of PR3 involves cleaving peptide bonds in target proteins contributing to the processing and degradation of various proteins important for immune function.
Biological function summary

Proteinase 3 serves multiple roles including modulating inflammation and immune responses. PR3 functions as part of a complex with azurophilic granules aiding in microbial defense mechanisms. In addition the protease regulates cytokine activation and deactivation which in turn influences cell signaling related to inflammation. Its enzymatic action ensures that PR3 can manage inflammatory processes by breaking down extracellular matrix components thereby allowing white blood cells to access infection sites.

Pathways

Proteinase 3 plays an important role within the serine protease and inflammatory pathways. It interacts with other proteins such as neutrophil elastase with which it shares a pathway to modulate immune responses. PR3 also partners with cathepsin G contributing to processes such as pathogen clearance and tissue remodeling providing a coordinated response during infection and injury. These interactions show PR3's involvement in regulating the balance between inflammation and tissue repair.

PR3 is notably associated with Wegener's granulomatosis also known as granulomatosis with polyangiitis. This autoimmune condition results in systemic vasculitis where anti-proteinase 3 antibodies notably characterize the disease. Additionally PR3 plays a part in chronic obstructive pulmonary disease (COPD) where its proteolytic activity contributes to tissue damage in the lungs. In both conditions PR3 interplays with related proteins like myeloperoxidase further demonstrating its importance in processes leading to these disorders.

Product protocols

For this product, it's our understanding that no specific protocols are required. You can visit:

Target data

Serine protease that degrades elastin, fibronectin, laminin, vitronectin, and collagen types I, III, and IV (in vitro) (PubMed : 2033050, PubMed : 28240246, PubMed : 3198760). By cleaving and activating receptor F2RL1/PAR-2, enhances endothelial cell barrier function and thus vascular integrity during neutrophil transendothelial migration (PubMed : 23202369). May play a role in neutrophil transendothelial migration, probably when associated with CD177 (PubMed : 22266279).
See full target information PRTN3

Product promise

We are committed to supporting your work with high-quality reagents, and we're here for you every step of the way. In the unlikely event that one of our products does not perform as expected, you're protected by our Product Promise.
For full details, please see our Terms & Conditions

Please note: All products are 'FOR RESEARCH USE ONLY. NOT FOR USE IN DIAGNOSTIC OR THERAPEUTIC PROCEDURES'.

For licensing inquiries, please contact partnerships@abcam.com