JavaScript is disabled in your browser. Please enable JavaScript to view this website.
AB133613

Anti-PR3 antibody [EPR6277]

Be the first to review this product! Submit a review

|

(5 Publications)

Rabbit Recombinant Monoclonal PR3 antibody. Suitable for IHC-P, WB and reacts with Human samples. Cited in 5 publications.

View Alternative Names

MBN, PRTN3, Myeloblastin, AGP7, C-ANCA antigen, Leukocyte proteinase 3, Neutrophil proteinase 4, P29, Wegener autoantigen, PR-3, PR3, NP-4

3 Images
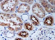
Immunohistochemistry (Formalin/PFA-fixed paraffin-embedded sections) - Anti-PR3 antibody [EPR6277] (AB133613)
  • IHC-P

Unknown

Immunohistochemistry (Formalin/PFA-fixed paraffin-embedded sections) - Anti-PR3 antibody [EPR6277] (AB133613)

Immunohistochemical analysis of PR3 in paraffin embedded Human kidney tissue labelled with ab133613 at a 1/100 dilution.

Perform heat mediated antigen retrieval before commencing with IHC staining protocol.

Western blot - Anti-PR3 antibody [EPR6277] (AB133613)
  • WB

Unknown

Western blot - Anti-PR3 antibody [EPR6277] (AB133613)

All lanes:

Western blot - Anti-PR3 antibody [EPR6277] (ab133613) at 1/1000 dilution

Lane 1:

HL60 lysate at 10 µg

Lane 2:

Human spleen lysate at 10 µg

Secondary

All lanes:

HRP labelled goat anti-rabbit at 1/2000 dilution

Predicted band size: 26 kDa,27 kDa,45 kDa,54 kDa,55 kDa,58 kDa,72 kDa,83 kDa,89 kDa

Observed band size: 26 kDa,46 kDa,55 kDa,59 kDa,65-75 kDa,72 kDa,74 kDa,89 kDa

false

OI-RD Scanning - Anti-PR3 antibody [EPR6277] (AB133613)
  • OI-RD Scanning

Unknown

OI-RD Scanning - Anti-PR3 antibody [EPR6277] (AB133613)

We have systematically measured KD (the equilibrium dissociation constant between the antibody and its antigen), of more than 840 recombinant antibodies to assess not only their individual KD values but also to see the average affinity of antibody. Based on the comparison with published literature values for mouse monoclonal antibodies, Recombinant antibodies appear to be on average 1-2 order of magnitude higher affinity.

Key facts

Host species

Rabbit

Clonality

Monoclonal

Clone number

EPR6277

Isotype

IgG

Carrier free

No

Reacts with

Human

Applications

IHC-P, WB

applications

Immunogen

The exact immunogen used to generate this antibody is proprietary information.

Reactivity data

{ "title": "Reactivity Data", "filters": { "stats": ["", "Species", "Dilution Info", "Notes"], "tabs": { "all-applications": {"fullname" : "All Applications", "shortname": "All Applications"}, "IHCP" : {"fullname" : "Immunohistochemistry (Formalin/PFA-fixed paraffin-embedded sections)", "shortname":"IHC-P"}, "ICCIF" : {"fullname" : "Immunocytochemistry/ Immunofluorescence", "shortname":"ICC/IF"}, "IP" : {"fullname" : "Immunoprecipitation", "shortname":"IP"}, "FlowCyt" : {"fullname" : "Flow Cytometry", "shortname":"Flow Cyt"}, "WB" : {"fullname" : "Western blot", "shortname":"WB"} }, "product-promise": { "all": "all", "testedAndGuaranteed": "tested", "guaranteed": "expected", "predicted": "predicted", "notRecommended": "not-recommended" } }, "values": { "Human": { "IHCP-species-checked": "testedAndGuaranteed", "IHCP-species-dilution-info": "1/100 - 1/250", "IHCP-species-notes": "<p></p>", "ICCIF-species-checked": "notRecommended", "ICCIF-species-dilution-info": "", "ICCIF-species-notes": "<p></p>", "IP-species-checked": "notRecommended", "IP-species-dilution-info": "", "IP-species-notes": "<p></p>", "FlowCyt-species-checked": "notRecommended", "FlowCyt-species-dilution-info": "", "FlowCyt-species-notes": "<p></p>", "WB-species-checked": "testedAndGuaranteed", "WB-species-dilution-info": "1/1000 - 1/10000", "WB-species-notes": "<p></p>" } } }

Product details

Species reactivity
Mouse, Rat: We have preliminary internal testing data to indicate this antibody may not react with these species.
Please contact us for more information.

Patented technology
Our RabMAb® technology is a patented hybridoma-based technology for making rabbit monoclonal antibodies. For details on our patents, please refer to RabMAb® patents.

What are the advantages of a recombinant monoclonal antibody?
This product is a recombinant monoclonal antibody, which offers several advantages including:

  • - High batch-to-batch consistency and reproducibility
  • - Improved sensitivity and specificity
  • - Long-term security of supply
  • - Animal-free batch production

For more information, read more on recombinant antibodies.

Properties and storage information

Form
Liquid
Purification technique
Affinity purification Protein A
Storage buffer
pH: 7.2 - 7.4 Preservative: 0.01% Sodium azide Constituents: PBS, 50% Tissue culture supernatant, 40% Glycerol (glycerin, glycerine), 0.05% BSA
Shipped at conditions
Blue Ice
Appropriate short-term storage conditions
+4°C
Appropriate long-term storage conditions
-20°C
Storage information
Stable for 12 months at -20°C

Supplementary information

This supplementary information is collated from multiple sources and compiled automatically.

Proteinase 3 (PR3) also known as PRTN3 is a serine protease with a mass of approximately 29 kDa. It belongs to the human neutrophil elastase (HNE) family and is mainly expressed in neutrophils. Within these immune cells PR3 localizes to azurophilic granules where it participates in early immune responses. The proteolytic activity of PR3 involves cleaving peptide bonds in target proteins contributing to the processing and degradation of various proteins important for immune function.
Biological function summary

Proteinase 3 serves multiple roles including modulating inflammation and immune responses. PR3 functions as part of a complex with azurophilic granules aiding in microbial defense mechanisms. In addition the protease regulates cytokine activation and deactivation which in turn influences cell signaling related to inflammation. Its enzymatic action ensures that PR3 can manage inflammatory processes by breaking down extracellular matrix components thereby allowing white blood cells to access infection sites.

Pathways

Proteinase 3 plays an important role within the serine protease and inflammatory pathways. It interacts with other proteins such as neutrophil elastase with which it shares a pathway to modulate immune responses. PR3 also partners with cathepsin G contributing to processes such as pathogen clearance and tissue remodeling providing a coordinated response during infection and injury. These interactions show PR3's involvement in regulating the balance between inflammation and tissue repair.

PR3 is notably associated with Wegener's granulomatosis also known as granulomatosis with polyangiitis. This autoimmune condition results in systemic vasculitis where anti-proteinase 3 antibodies notably characterize the disease. Additionally PR3 plays a part in chronic obstructive pulmonary disease (COPD) where its proteolytic activity contributes to tissue damage in the lungs. In both conditions PR3 interplays with related proteins like myeloperoxidase further demonstrating its importance in processes leading to these disorders.

Product protocols

For this product, it's our understanding that no specific protocols are required. You can visit:

Target data

Serine protease that degrades elastin, fibronectin, laminin, vitronectin, and collagen types I, III, and IV (in vitro) (PubMed : 2033050, PubMed : 28240246, PubMed : 3198760). By cleaving and activating receptor F2RL1/PAR-2, enhances endothelial cell barrier function and thus vascular integrity during neutrophil transendothelial migration (PubMed : 23202369). May play a role in neutrophil transendothelial migration, probably when associated with CD177 (PubMed : 22266279).
See full target information PRTN3

Publications (5)

Recent publications for all applications. Explore the full list and refine your search

Translational cancer research 14:1415-1427 PubMed40104702

2025

Low expression of PRTN3 regulates the progression of gastric cancer by inhibition of cell cycle and promotion of apoptosis.

Applications

Unspecified application

Species

Unspecified reactive species

Haoyu Zhu,Fei Wang,Xinran Lu,Hao Wu,Chao Shi,Silvio Matsas,Renata D'Alpino Peixoto,Marcelo Porfirio Sunagua Aruquipa,Chong Tang,Shichun Feng

Frontiers in pediatrics 10:822491 PubMed35281249

2022

Case Report: Proteinase 3 Antineutrophil Cytoplasmic Antibody-Associated Ulcerative Colitis Presenting as Recurrent Intestinal Pseudo-Obstruction in a Teenage Patient With Proteinase 3 Immunohistochemical Staining.

Applications

Unspecified application

Species

Unspecified reactive species

Ching-Wen Yang,Yu-Chien Kao,Pei-Chun Lin,Hsi-Yuan Chien,Sheng-Chieh Lin,Yu-Hsien Lee,Yen-Lin Huang,Shiuh-Bin Fang

The Journal of biological chemistry 293:12415-12428 PubMed29925593

2018

Consequences of cathepsin C inactivation for membrane exposure of proteinase 3, the target antigen in autoimmune vasculitis.

Applications

Unspecified application

Species

Unspecified reactive species

Seda Seren,Maha Rashed Abouzaid,Claudia Eulenberg-Gustavus,Josefine Hirschfeld,Hala Nasr Soliman,Uwe Jerke,Koffi N'Guessan,Sandrine Dallet-Choisy,Adam Lesner,Conni Lauritzen,Beate Schacher,Peter Eickholz,Nikoletta Nagy,Marta Szell,Cécile Croix,Marie-Claude Viaud-Massuard,Abdullah Al Farraj Aldosari,Shivanna Ragunatha,Mostafa Ibrahim Mostafa,Francesca Giampieri,Maurizio Battino,Hélène Cornillier,Gérard Lorette,Jean-Louis Stephan,Cyril Goizet,John Pedersen,Francis Gauthier,Dieter E Jenne,Sylvain Marchand-Adam,Iain L Chapple,Ralph Kettritz,Brice Korkmaz

Journal of proteome research 17:618-634 PubMed29182335

2017

Proteomic Landscape of Patient-Derived CD4+ T Cells in Recent-Onset Type 1 Diabetes.

Applications

Unspecified application

Species

Unspecified reactive species

Marlen F Lepper,Uli Ohmayer,Christine von Toerne,Nicole Maison,Anette-Gabriele Ziegler,Stefanie M Hauck

The Journal of allergy and clinical immunology 140:1288-1298 PubMed28633877

2017

Epithelial proteome profiling suggests the essential role of interferon-inducible proteins in patients with allergic rhinitis.

Applications

Unspecified application

Species

Unspecified reactive species

Joseph Ndika,Liisa Airaksinen,Hille Suojalehto,Piia Karisola,Nanna Fyhrquist,Anne Puustinen,Harri Alenius
View all publications

Product promise

We are committed to supporting your work with high-quality reagents, and we're here for you every step of the way. In the unlikely event that one of our products does not perform as expected, you're protected by our Product Promise.
For full details, please see our Terms & Conditions

Please note: All products are 'FOR RESEARCH USE ONLY. NOT FOR USE IN DIAGNOSTIC OR THERAPEUTIC PROCEDURES'.

For licensing inquiries, please contact partnerships@abcam.com