JavaScript is disabled in your browser. Please enable JavaScript to view this website.
AB309534

Anti-PRAK/MK5 antibody [EPR26844-237] - BSA and Azide free

Be the first to review this product! Submit a review

|

(0 Publication)

Rabbit Recombinant Monoclonal PRAK/MK5 antibody. Carrier free. Suitable for WB, IP and reacts with Transfected cell lysate - Mouse, Human, Mouse, Rat samples.

View Alternative Names

MAP kinase-activated protein kinase 5, MAPK-activated protein kinase 5, MAPKAP kinase 5, MAPKAPK-5, Mapkapk5

8 Images
Immunoprecipitation - Anti-PRAK/MK5 antibody [EPR26844-237] - BSA and Azide free (AB309534)
  • IP

Supplier Data

Immunoprecipitation - Anti-PRAK/MK5 antibody [EPR26844-237] - BSA and Azide free (AB309534)

This data was developed using ab309533, the same antibody clone in a different buffer formulation. MAPKAPK5 was immunoprecipitated from 0.35 mg HeLa (human cervix adenocarcinoma epithelial cell) whole cell lysate with ab309533 at 1/30 dilution (2ug in 0.35mg lysates). Western blot was performed on the immunoprecipitate using ab309533 at 1/1000 dilution. VeriBlot for IP secondary antibody(HRP)(ab131366) was used at 1/5000 dilution. Lane 1 : HeLa (human cervix adenocarcinoma epithelial cell) whole cell lysate Lane 2 : ab309533 IP in HeLa (human cervix adenocarcinoma epithelial cell) whole cell lysate Lane 3 : Rabbit monoclonal IgG (ab172730) instead of ab309533 in HeLa whole cell lysate Blocking and dilution buffer and concentration : 5% NFDM/TBST. Exposure time : 180 seconds

All lanes:

Immunoprecipitation - Anti-PRAK/MK5 antibody [EPR26844-237] (<a href='/en-us/products/primary-antibodies/prak-mk5-antibody-epr26844-237-ab309533'>ab309533</a>) at 1/30 dilution

All lanes:

HeLa (human cervix adenocarcinoma epithelial cell) whole cell lysate

Secondary

All lanes:

Immunoprecipitation - VeriBlot for IP Detection Reagent (HRP) (<a href='/en-us/products/reagents/veriblot-for-ip-detection-reagent-hrp-ab131366'>ab131366</a>) at 1/5000 dilution

false

Exposure time: 180s

Immunoprecipitation - Anti-PRAK/MK5 antibody [EPR26844-237] - BSA and Azide free (AB309534)
  • IP

Supplier Data

Immunoprecipitation - Anti-PRAK/MK5 antibody [EPR26844-237] - BSA and Azide free (AB309534)

This data was developed using ab309533, the same antibody clone in a different buffer formulation. MAPKAPK5 was immunoprecipitated from 0.35 mg Mouse brain tissue lysate with ab309533 at 1/30 dilution (2ug in 0.35mg lysates). Western blot was performed on the immunoprecipitate using ab309533 at 1/1000 dilution. VeriBlot for IP secondary antibody(HRP)(ab131366) was used at 1/5000 dilution. Lane 1 : Mouse brain tissue lysate Lane 2 : ab309533 IP in Mouse brain tissue lysate Lane 3 : Rabbit monoclonal IgG (ab172730) instead of ab309533 in mouse brain tissue lysate Blocking and dilution buffer and concentration : 5% NFDM/TBST. Exposure time : 180 seconds

All lanes:

Immunoprecipitation - Anti-PRAK/MK5 antibody [EPR26844-237] (<a href='/en-us/products/primary-antibodies/prak-mk5-antibody-epr26844-237-ab309533'>ab309533</a>) at 1/30 dilution

All lanes:

Mouse brain tissue lysate

Secondary

All lanes:

Immunoprecipitation - VeriBlot for IP Detection Reagent (HRP) (<a href='/en-us/products/reagents/veriblot-for-ip-detection-reagent-hrp-ab131366'>ab131366</a>) at 1/5000 dilution

false

Exposure time: 180s

Western blot - Anti-PRAK/MK5 antibody [EPR26844-237] - BSA and Azide free (AB309534)
  • WB

Supplier Data

Western blot - Anti-PRAK/MK5 antibody [EPR26844-237] - BSA and Azide free (AB309534)

This data was developed using ab309533, the same antibody clone in a different buffer formulation.

Blocking and diluting buffer and concentration : 5% NFDM/TBST.

The expression profile/ molecular weight observed is consistent with what has been described in the literature (PMID : 33442026).

This blot was developed using a high sensitivity ECL substrate. The high-sensitivity ECL substrate used allows for the detection of proteins in the mid-femtogram range.

In Western blot, anti-GAPDH antibody (ab181602) loading control staining at 1/200000 dilution.

All lanes:

Western blot - Anti-PRAK/MK5 antibody [EPR26844-237] (<a href='/en-us/products/primary-antibodies/prak-mk5-antibody-epr26844-237-ab309533'>ab309533</a>) at 1/1000 dilution

All lanes:

Human brain tissue lysate at 20 µg

Secondary

All lanes:

Goat Anti-Rabbit IgG (HRP) with minimal cross-reactivity with human IgG at 1/2000 dilution

Observed band size: 50 kDa,66 kDa

true

Exposure time: 180s

Western blot - Anti-PRAK/MK5 antibody [EPR26844-237] - BSA and Azide free (AB309534)
  • WB

Lab

Western blot - Anti-PRAK/MK5 antibody [EPR26844-237] - BSA and Azide free (AB309534)

This data was developed using ab309533, the same antibody clone in a different buffer formulation.

In Western blot, Anti-GAPDH antibody [EPR16891] - Loading Control (ab181602) staining at 1/1000000 dilution.

The expression profile/ molecular weight observed is consistent with what has been described in the literature (PMID : 28432058).

All lanes:

Western blot - Anti-PRAK/MK5 antibody [EPR26844-237] (<a href='/en-us/products/primary-antibodies/prak-mk5-antibody-epr26844-237-ab309533'>ab309533</a>) at 1/1000 dilution

Lane 1:

Wild-type 293T (human embryonic kidney epithelial cell) whole cell lysate at 20 µg

Lane 2:

MAPKAPK5 knockout 293T whole cell lysate at 20 µg

Secondary

All lanes:

Western blot - Goat Anti-Rabbit IgG H&L (HRP) (<a href='/en-us/products/secondary-antibodies/goat-rabbit-igg-h-l-hrp-ab97051'>ab97051</a>) at 1/20000 dilution

Observed band size: 50 kDa,66 kDa

false

Exposure time: 40s

Western blot - Anti-PRAK/MK5 antibody [EPR26844-237] - BSA and Azide free (AB309534)
  • WB

Supplier Data

Western blot - Anti-PRAK/MK5 antibody [EPR26844-237] - BSA and Azide free (AB309534)

This data was developed using ab309533, the same antibody clone in a different buffer formulation. Blocking and diluting buffer and concentration : 5% NFDM/TBST The expression profile/ molecular weight observed is consistent with what has been described in the literature (PMID : 33442026). In Western blot, anti-GAPDH antibody (ab181602) loading control staining at 1/200000 dilution. Exposure time : 180 seconds

All lanes:

Western blot - Anti-PRAK/MK5 antibody [EPR26844-237] (<a href='/en-us/products/primary-antibodies/prak-mk5-antibody-epr26844-237-ab309533'>ab309533</a>) at 1/1000 dilution

Lane 1:

HeLa (human cervix adenocarcinoma epithelial cell) whole cell lysate at 20 µg

Lane 2:

HCT116 (human colorectal carcinoma epithelial cell) whole cell lysate at 20 µg

Lane 3:

MEF (mouse embryonic fibroblast (immortalized)) whole cell lysate at 20 µg

Lane 4:

NIH/3T3 (mouse embryonic fibroblast) whole cell lysate at 20 µg

Lane 5:

C6 (rat glial tumor glial cell) whole cell lysate at 20 µg

Secondary

All lanes:

Western blot - Goat Anti-Rabbit IgG H&L (HRP) (<a href='/en-us/products/secondary-antibodies/goat-rabbit-igg-h-l-hrp-ab97051'>ab97051</a>) at 1/20000 dilution

Observed band size: 50 kDa,66 kDa

false

Exposure time: 180s

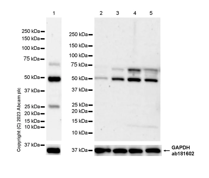
Western blot - Anti-PRAK/MK5 antibody [EPR26844-237] - BSA and Azide free (AB309534)
  • WB

Supplier Data

Western blot - Anti-PRAK/MK5 antibody [EPR26844-237] - BSA and Azide free (AB309534)

This data was developed using ab309533, the same antibody clone in a different buffer formulation. Blocking and diluting buffer and concentration : 5% NFDM/TBST The expression profile/ molecular weight observed is consistent with what has been described in the literature (PMID : 33442026). In Western blot, anti-GAPDH antibody (ab181602) loading control staining at 1/200000 dilution. Exposure time : 180 seconds

All lanes:

Western blot - Anti-PRAK/MK5 antibody [EPR26844-237] (<a href='/en-us/products/primary-antibodies/prak-mk5-antibody-epr26844-237-ab309533'>ab309533</a>) at 1/1000 dilution

Lane 1:

Mouse brain tissue lysate at 20 µg

Lane 2:

Mouse heart tissue lysate at 20 µg

Lane 3:

Mouse kidney tissue lysate at 20 µg

Lane 4:

Rat brain tissue lysate at 20 µg

Secondary

All lanes:

Western blot - Goat Anti-Rabbit IgG H&L (HRP) (<a href='/en-us/products/secondary-antibodies/goat-rabbit-igg-h-l-hrp-ab97051'>ab97051</a>) at 1/20000 dilution

Observed band size: 50 kDa,66 kDa

false

Exposure time: 180s

Western blot - Anti-PRAK/MK5 antibody [EPR26844-237] - BSA and Azide free (AB309534)
  • WB

Supplier Data

Western blot - Anti-PRAK/MK5 antibody [EPR26844-237] - BSA and Azide free (AB309534)

This data was developed using ab309533, the same antibody clone in a different buffer formulation.

Blocking and diluting buffer and concentration : 5% NFDM/TBST.

The expression profile/ molecular weight observed is consistent with what has been described in the literature (PMID : 33442026).

In Western blot, ab309533 was shown to bind specifically to MAPKAPK5. Two bands were observed at 50 kDa and 66 kDa in wild-type L-929 cell lysates with whereas no signal observed at this size in MAPKAPK5 knockout cell line.

The lysates were kindly provided by an anonymous collaborator.

This blot was developed using a high sensitivity ECL substrate. The high-sensitivity ECL substrate used allows for the detection of proteins in the mid-femtogram range.

In Western blot, anti-GAPDH antibody (ab181602) loading control staining at 1/200000 dilution.

All lanes:

Western blot - Anti-PRAK/MK5 antibody [EPR26844-237] (<a href='/en-us/products/primary-antibodies/prak-mk5-antibody-epr26844-237-ab309533'>ab309533</a>) at 1/1000 dilution

Lane 1:

Wild-type L-929 (mouse connective tissue fibroblast) whole cell lysate at 20 µg

Lane 2:

MAPKAPK5 knockout L929 whole cell lysate at 20 µg

Secondary

All lanes:

Western blot - Goat Anti-Rabbit IgG H&L (HRP) (<a href='/en-us/products/secondary-antibodies/goat-rabbit-igg-h-l-hrp-ab97051'>ab97051</a>) at 1/100000 dilution

Observed band size: 50 kDa,66 kDa

true

Exposure time: 125s

Western blot - Anti-PRAK/MK5 antibody [EPR26844-237] - BSA and Azide free (AB309534)
  • WB

Supplier Data

Western blot - Anti-PRAK/MK5 antibody [EPR26844-237] - BSA and Azide free (AB309534)

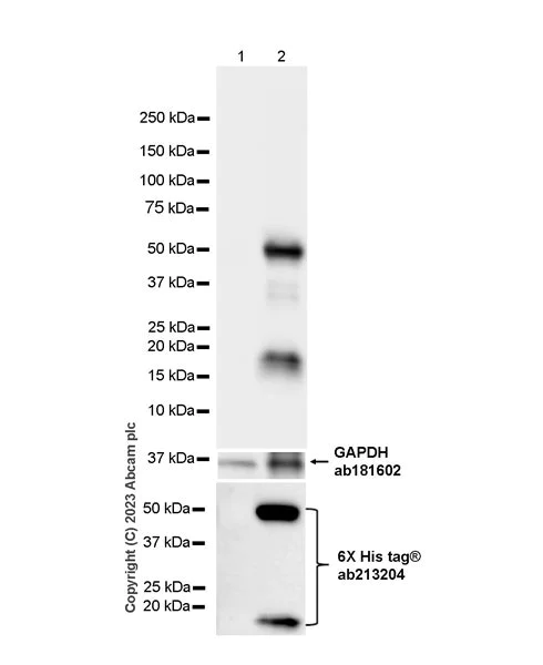
This data was developed using ab309533, the same antibody clone in a different buffer formulation. Blocking and diluting buffer and concentration : 5% NFDM/TBST In Western blot, anti-His antibody (ab213204) staining at 1/5000 dilution. Anti-GAPDH antibody (ab181602) loading control staining at 1/200000 dilution. Exposure time : 1 second

All lanes:

Western blot - Anti-PRAK/MK5 antibody [EPR26844-237] (<a href='/en-us/products/primary-antibodies/prak-mk5-antibody-epr26844-237-ab309533'>ab309533</a>) at 1/1000 dilution

Lane 1:

293T cells transfected with an empty vector containi a His-tag whole cell lysate at 20 µg

Lane 2:

293T cells transfected with a Mouse MAPKAPK5 expression vector containi a His-tag whole cell lysate at 20 µg

Secondary

All lanes:

Western blot - Goat Anti-Rabbit IgG H&L (HRP) (<a href='/en-us/products/secondary-antibodies/goat-rabbit-igg-h-l-hrp-ab97051'>ab97051</a>) at 1/100000 dilution

Observed band size: 50 kDa

false

Exposure time: 1s

Key facts

Host species

Rabbit

Clonality

Monoclonal

Clone number

EPR26844-237

Isotype

IgG

Carrier free

Yes

Reacts with

Human, Mouse, Rat

Applications

IP, WB

applications

Immunogen

The exact immunogen used to generate this antibody is proprietary information.

Reactivity data

{ "title": "Reactivity Data", "filters": { "stats": ["", "Species", "Dilution Info", "Notes"], "tabs": { "all-applications": {"fullname" : "All Applications", "shortname": "All Applications"}, "WB" : {"fullname" : "Western blot", "shortname":"WB"}, "IP" : {"fullname" : "Immunoprecipitation", "shortname":"IP"}, "IHCP" : {"fullname" : "Immunohistochemistry (Formalin/PFA-fixed paraffin-embedded sections)", "shortname":"IHC-P"}, "ICCIF" : {"fullname" : "Immunocytochemistry/ Immunofluorescence", "shortname":"ICC/IF"}, "FlowCytIntra" : {"fullname" : "Flow Cytometry (Intracellular)", "shortname":"Flow Cyt (Intra)"} }, "product-promise": { "all": "all", "testedAndGuaranteed": "tested", "guaranteed": "expected", "predicted": "predicted", "notRecommended": "not-recommended" } }, "values": { "Human": { "WB-species-checked": "testedAndGuaranteed", "WB-species-dilution-info": "", "WB-species-notes": "<p></p>", "IP-species-checked": "testedAndGuaranteed", "IP-species-dilution-info": "", "IP-species-notes": "<p></p>", "IHCP-species-checked": "notRecommended", "IHCP-species-dilution-info": "", "IHCP-species-notes": "<p></p>", "ICCIF-species-checked": "notRecommended", "ICCIF-species-dilution-info": "", "ICCIF-species-notes": "<p></p>", "FlowCytIntra-species-checked": "notRecommended", "FlowCytIntra-species-dilution-info": "", "FlowCytIntra-species-notes": "<p></p>" }, "Mouse": { "WB-species-checked": "testedAndGuaranteed", "WB-species-dilution-info": "", "WB-species-notes": "<p></p>", "IP-species-checked": "testedAndGuaranteed", "IP-species-dilution-info": "", "IP-species-notes": "<p></p>", "IHCP-species-checked": "notRecommended", "IHCP-species-dilution-info": "", "IHCP-species-notes": "<p></p>", "ICCIF-species-checked": "notRecommended", "ICCIF-species-dilution-info": "", "ICCIF-species-notes": "<p></p>", "FlowCytIntra-species-checked": "notRecommended", "FlowCytIntra-species-dilution-info": "", "FlowCytIntra-species-notes": "<p></p>" }, "Rat": { "WB-species-checked": "testedAndGuaranteed", "WB-species-dilution-info": "", "WB-species-notes": "<p></p>", "IP-species-checked": "guaranteed", "IP-species-dilution-info": "", "IP-species-notes": "", "IHCP-species-checked": "notRecommended", "IHCP-species-dilution-info": "", "IHCP-species-notes": "<p></p>", "ICCIF-species-checked": "notRecommended", "ICCIF-species-dilution-info": "", "ICCIF-species-notes": "", "FlowCytIntra-species-checked": "notRecommended", "FlowCytIntra-species-dilution-info": "", "FlowCytIntra-species-notes": "" }, "Transfected cell lysate - Mouse": { "WB-species-checked": "testedAndGuaranteed", "WB-species-dilution-info": "", "WB-species-notes": "<p></p>", "IP-species-checked": "notRecommended", "IP-species-dilution-info": "", "IP-species-notes": "", "IHCP-species-checked": "notRecommended", "IHCP-species-dilution-info": "", "IHCP-species-notes": "", "ICCIF-species-checked": "notRecommended", "ICCIF-species-dilution-info": "", "ICCIF-species-notes": "", "FlowCytIntra-species-checked": "notRecommended", "FlowCytIntra-species-dilution-info": "", "FlowCytIntra-species-notes": "" } } }

Product details

Patented technology
Our RabMAb® technology is a patented hybridoma-based technology for making rabbit monoclonal antibodies. For details on our patents, please refer to RabMAb® patents.

What are the advantages of a recombinant monoclonal antibody?
This product is a recombinant monoclonal antibody, which offers several advantages including:

  • - High batch-to-batch consistency and reproducibility
  • - Improved sensitivity and specificity
  • - Long-term security of supply
  • - Animal-free batch production

For more information, read more on recombinant antibodies.

Conjugation ready
Our carrier-free antibodies are typically supplied in a PBS-only formulation, purified and free of BSA, sodium azide and glycerol. This conjugation-ready format is designed for use with fluorochromes, metal isotopes, oligonucleotides, and enzymes, which makes them ideal for antibody labelling, functional and cell-based assays, flow-based assays (e.g. mass cytometry) and Multiplex Imaging applications.

Use our conjugation kits for antibody conjugates that are ready-to-use in as little as 20 minutes with 1 minute hands-on-time and 100% antibody recovery: available for fluorescent dyes, HRP, biotin and gold.

Compatibility
This product is compatible with the Maxpar® Antibody Labeling Kit from Fluidigm, without the need for antibody preparation. Maxpar® is a trademark of Fluidigm Canada Inc.

Properties and storage information

Form
Liquid
Purification technique
Affinity purification Protein A
Storage buffer
pH: 7.2 - 7.4 Constituents: PBS
Shipped at conditions
Blue Ice
Appropriate short-term storage conditions
+4°C
Appropriate long-term storage conditions
+4°C

Supplementary information

This supplementary information is collated from multiple sources and compiled automatically.

PRAK also known as MK5 is a serine/threonine protein kinase with a molecular weight of approximately 54 kDa. It is expressed in various tissues like the heart brain liver and skeletal muscle. PRAK belongs to the mitogen-activated protein kinase (MAPK) signaling pathway and gets activated by phosphorylation. Mechanically PRAK interacts with and phosphorylates other proteins which affects their activity and function playing an important role in regulating cellular processes such as stress response and the cell cycle.
Biological function summary

PRAK/MK5 is a critical component in the regulation of cellular responses to stress stimuli. It is a participant in the activation loop of the MAPK p38 signaling pathway where it serves to influence the phosphorylation state and activity of downstream effectors. PRAK is not typically known to be part of a large complex but it interacts directly with other kinases to amplify or dampen the stress response signal. This allows cells to adapt to varied stress conditions by modulating gene expression apoptosis and other cell fate decisions.

Pathways

PRAK/MK5 plays essential roles within the p38 MAPK and ERK signaling pathways. It closely associates with p38 MAPK which phosphorylates and activates PRAK enabling it to further disseminate the signal. In these pathways PRAK interplays with proteins such as MAPKAPK-2 and HSP27 facilitating diverse cellular activities like inflammation and differentiation. These signaling networks allow PRAK to serve as a link between external stimuli and internal cellular outcomes.

PRAK/MK5 influences cancer and cardiovascular diseases. Its activity connects closely with tumor suppression wherein it regulates actions involving proteins like p53 and HSP27 impacting cell cycle arrest and apoptosis. In cardiovascular contexts altered PRAK function can relate to heart disease since it regulates stress-induced cardiac responses. Understanding PRAK's interplay with these proteins sheds light on its potential as a therapeutic target for treating diseases related to stress signaling dysfunction.

Product protocols

For this product, it's our understanding that no specific protocols are required. You can visit:

Target data

Tumor suppressor serine/threonine-protein kinase involved in mTORC1 signaling and post-transcriptional regulation. Phosphorylates FOXO3, ERK3/MAPK6, ERK4/MAPK4, HSP27/HSPB1, p53/TP53 and RHEB. Acts as a tumor suppressor by mediating Ras-induced senescence and phosphorylating p53/TP53. Involved in post-transcriptional regulation of MYC by mediating phosphorylation of FOXO3 : phosphorylation of FOXO3 leads to promote nuclear localization of FOXO3, enabling expression of miR-34b and miR-34c, 2 post-transcriptional regulators of MYC that bind to the 3'UTR of MYC transcript and prevent MYC translation. Acts as a negative regulator of mTORC1 signaling by mediating phosphorylation and inhibition of RHEB. Part of the atypical MAPK signaling via its interaction with ERK3/MAPK6 or ERK4/MAPK4 : the precise role of the complex formed with ERK3/MAPK6 or ERK4/MAPK4 is still unclear, but the complex follows a complex set of phosphorylation events : upon interaction with atypical MAPK (ERK3/MAPK6 or ERK4/MAPK4), ERK3/MAPK6 (or ERK4/MAPK4) is phosphorylated and then mediates phosphorylation and activation of MAPKAPK5, which in turn phosphorylates ERK3/MAPK6 (or ERK4/MAPK4). Mediates phosphorylation of HSP27/HSPB1 in response to PKA/PRKACA stimulation, inducing F-actin rearrangement.
See full target information Mapkapk5

Product promise

We are committed to supporting your work with high-quality reagents, and we're here for you every step of the way. In the unlikely event that one of our products does not perform as expected, you're protected by our Product Promise.
For full details, please see our Terms & Conditions

Please note: All products are 'FOR RESEARCH USE ONLY. NOT FOR USE IN DIAGNOSTIC OR THERAPEUTIC PROCEDURES'.

For licensing inquiries, please contact partnerships@abcam.com