JavaScript is disabled in your browser. Please enable JavaScript to view this website.
AB151092

Anti-PRAM1 antibody

Be the first to review this product! Submit a review

|

(1 Publication)

Rabbit Polyclonal PRAM1 antibody. Suitable for IHC-P, WB and reacts with Human samples. Cited in 1 publication. Immunogen corresponding to Recombinant Fragment Protein within Human PML-RARA-regulated adapter molecule 1 aa 150-250.

View Alternative Names

PML-RARA-regulated adapter molecule 1, PRAM, PRAM-1, PRAM1

2 Images
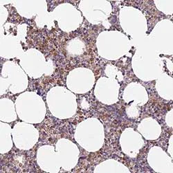
Immunohistochemistry (Formalin/PFA-fixed paraffin-embedded sections) - Anti-PRAM1 antibody (AB151092)
  • IHC-P

Unknown

Immunohistochemistry (Formalin/PFA-fixed paraffin-embedded sections) - Anti-PRAM1 antibody (AB151092)

Immunohistochemical analysis of paraffin-embedded Human bone marrow tissue labeling PRAM1 with ab151092 at 1/500 dilution.

Western blot - Anti-PRAM1 antibody (AB151092)
  • WB

Unknown

Western blot - Anti-PRAM1 antibody (AB151092)

All lanes:

Western blot - Anti-PRAM1 antibody (ab151092) at 1/250 dilution

Lane 1:

RT-4 lysate

Lane 2:

U-251 MG lysate

Lane 3:

Human plasma lysate

Lane 4:

Human liver lysate

Lane 5:

Human tonsil lysate

Predicted band size: 79 kDa

false

Key facts

Host species

Rabbit

Clonality

Polyclonal

Isotype

IgG

Carrier free

No

Reacts with

Human

Applications

WB, IHC-P

applications

Immunogen

Recombinant Fragment Protein within Human PML-RARA-regulated adapter molecule 1 aa 150-250. The exact immunogen used to generate this antibody is proprietary information.

Q96QH2

Reactivity data

{ "title": "Reactivity Data", "filters": { "stats": ["", "Species", "Dilution Info", "Notes"], "tabs": { "all-applications": {"fullname" : "All Applications", "shortname": "All Applications"}, "IHCP" : {"fullname" : "Immunohistochemistry (Formalin/PFA-fixed paraffin-embedded sections)", "shortname":"IHC-P"}, "WB" : {"fullname" : "Western blot", "shortname":"WB"} }, "product-promise": { "all": "all", "testedAndGuaranteed": "tested", "guaranteed": "expected", "predicted": "predicted", "notRecommended": "not-recommended" } }, "values": { "Human": { "IHCP-species-checked": "testedAndGuaranteed", "IHCP-species-dilution-info": "1/500 - 1/1000", "IHCP-species-notes": "<p></p> Perform heat-mediated antigen retrieval with citrate buffer pH 6 before commencing with IHC staining protocol.", "WB-species-checked": "testedAndGuaranteed", "WB-species-dilution-info": "1/250 - 1/500", "WB-species-notes": "<p></p>" } } }

Product details

The antibody solution should be gently mixed before use.

Properties and storage information

Form
Liquid
Purification technique
Affinity purification Immunogen
Storage buffer
pH: 7.2 Preservative: 0.02% Sodium azide Constituents: PBS, 40% Glycerol (glycerin, glycerine)
Shipped at conditions
Blue Ice
Appropriate short-term storage conditions
+4°C
Appropriate long-term storage conditions
-20°C
Aliquoting information
Upon delivery aliquot
Storage information
Avoid freeze / thaw cycle

Supplementary information

This supplementary information is collated from multiple sources and compiled automatically.

PRAM1 also known as PML-associated protein is an adaptor protein with a mass of approximately 101 kDa. The protein predominantly localizes in hematopoietic cells such as myeloid and lymphoid cells. PRAM1 plays an integral role in signal transduction processes by acting as a scaffolding protein. It possesses several domains facilitating interactions with other signaling molecules contributing to cellular communication and response.
Biological function summary

PRAM1 influences immune cell function by modulating intracellular signaling pathways. It does not work alone as it is part of larger signaling complexes interacting with other proteins to transmit extracellular signals into cellular responses. Through its adaptor role PRAM1 influences cellular processes like differentiation proliferation and apoptosis specifically in immune cells. This involvement highlights its importance in maintaining immune system balance and response to external stimuli.

Pathways

The PRAM1 protein participates in key signaling networks like the MAPK and NF-kB pathways. In these pathways PRAM1 interacts with proteins such as SOS and MEKK1 representing important nodes in the cascade. The MAPK pathway plays a significant role in cellular responses to stress and mitogenic signals while the NF-kB pathway is central to immune response regulation and inflammatory processes. PRAM1's participation in these critical pathways reflects its broader impact on cellular signaling and function.

Abnormalities in PRAM1 expression or function may contribute to leukemias and autoimmune conditions. For instance PRAM1 deregulation has links to acute promyelocytic leukemia (APL) where its interaction with the PML-RAR fusion protein influences the disease's pathophysiology. PRAM1 also relates to systemic lupus erythematosus potentially affecting disease progression through alterations in signal transduction pathways and immune cell function. Understanding PRAM1's role in these disorders highlights its potential as a therapeutic target in hematological malignancies and autoimmune disease management.

Product protocols

For this product, it's our understanding that no specific protocols are required. You can visit:

Target data

May be involved in myeloid differentiation. May be involved in integrin signaling in neutrophils. Binds to PtdIns(4)P.
See full target information PML-RARA-regulated adapter molecule 1

Publications (1)

Recent publications for all applications. Explore the full list and refine your search

Frontiers in immunology 14:1268141 PubMed38035073

2023

A comprehensive cuproptosis score and associated gene signatures reveal prognostic and immunological features of idiopathic pulmonary fibrosis.

Applications

Unspecified application

Species

Unspecified reactive species

Chuanqing Jing,Rong Fu,Xue Liu,Guodong Zang,Xue Zhu,Can Wang,Wei Zhang
View all publications

Product promise

We are committed to supporting your work with high-quality reagents, and we're here for you every step of the way. In the unlikely event that one of our products does not perform as expected, you're protected by our Product Promise.
For full details, please see our Terms & Conditions

Please note: All products are 'FOR RESEARCH USE ONLY. NOT FOR USE IN DIAGNOSTIC OR THERAPEUTIC PROCEDURES'.

For licensing inquiries, please contact partnerships@abcam.com