JavaScript is disabled in your browser. Please enable JavaScript to view this website.
AB51248

Anti-PRC1 antibody [EP1513Y]

4

(4 Reviews)

|

(18 Publications)

Rabbit Recombinant Monoclonal PRC1 antibody. Suitable for ICC/IF, WB, Flow Cyt (Intra) and reacts with Human, Mouse, Rat samples. Cited in 18 publications.

View Alternative Names

Protein regulator of cytokinesis 1, PRC1

5 Images
Flow Cytometry (Intracellular) - Anti-PRC1 antibody [EP1513Y] (AB51248)
  • Flow Cyt (Intra)

Lab

Flow Cytometry (Intracellular) - Anti-PRC1 antibody [EP1513Y] (AB51248)

Intracellular Flow Cytometry analysis of HeLa (Human cervix adenocarcinoma epithelial cell) cells labeling PRC1 with Purified 51248 at 1/30 dilution (10 μg/ml) (Red). Cells were fixed with 4% Paraformaldehyde and permeabilised with 90% Methanol. A Goat anti rabbit IgG (Alexa Fluor® 488, ab150077) secondary antibody was used at 1/2000. Isotype control - Rabbit monoclonal IgG (Black). Unlabeled control - Cell without incubation with primary antibody and secondary antibody (Blue).

Immunocytochemistry/ Immunofluorescence - Anti-PRC1 antibody [EP1513Y] (AB51248)
  • ICC/IF

Lab

Immunocytochemistry/ Immunofluorescence - Anti-PRC1 antibody [EP1513Y] (AB51248)

Immunocytochemistry analysis of HeLa (Human cervix adenocarcinoma epithelial cell) cells labeling PRC1 with Purified 238427 at 1 : 50 dilution (5.06 μg/ml). Cells were fixed in 4% Paraformaldehyde and permeabilized with 0.1% tritonX-100. Cells were counterstained with ab195889 Anti-alpha Tubulin antibody [DM1A] - Microtubule Marker (Alexa Fluor® 594) 1 : 200 (2.5 μg/ml). Goat anti rabbit IgG (Alexa Fluor® 488,ab150077) was used as the secondary antibody at 1 : 1000 (2 μg/ml) dilution. DAPI (blue) was used as nuclear counterstain. PBS instead of the primary antibody was used as the secondary antibody only control.

Immunocytochemistry/ Immunofluorescence - Anti-PRC1 antibody [EP1513Y] (AB51248)
  • ICC/IF

AbReview13261****

Immunocytochemistry/ Immunofluorescence - Anti-PRC1 antibody [EP1513Y] (AB51248)

ab51248 staining PRC1 in human breast cancer cells by ICC/IF. The cells were paraformaldehyde fixed and blocked in 1% serum for 1 hour at 37°C without permeation step. The primary antibody was diluted 1/100 (PBS) and incubated with sample for 1 hour at 20°C. An Alexa Fluor® 488 conjugated donkey polyclonal to rabbit IgG, diluted 1/200 was used as secondary.

This image is courtesy of an anonymous Abreview.

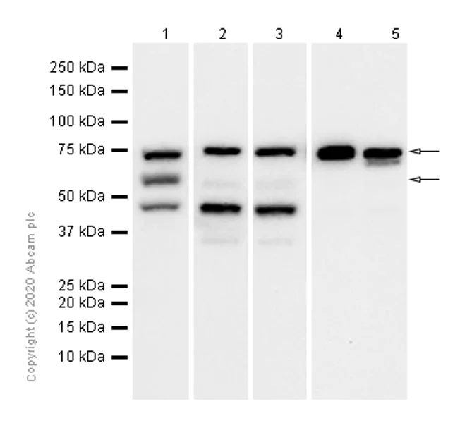
Western blot - Anti-PRC1 antibody [EP1513Y] (AB51248)
  • WB

Unknown

Western blot - Anti-PRC1 antibody [EP1513Y] (AB51248)

ab51248 recognise two isoforms of PRC1. But we are unsure how to define the extra bands at ~50kDa.

All lanes:

Western blot - Anti-PRC1 antibody [EP1513Y] (ab51248) at 1/1000 dilution

Lane 1:

HeLa (Human cervix adenocarcinoma epithelial cell) whole cell lysate at 20 µg

Lane 2:

C6 (Rat glial tumor glial cell) whole cell lysate at 20 µg

Lane 3:

C2C12 (Mouse myoblasts myoblast) whole cell lysate at 20 µg

Lane 4:

Mouse kidney lysate at 20 µg

Lane 5:

Rat kidney lysate at 20 µg

Secondary

All lanes:

Western blot - Goat Anti-Rabbit IgG H&L (HRP) (<a href='/en-us/products/secondary-antibodies/goat-rabbit-igg-h-l-hrp-ab97051'>ab97051</a>) at 1/20000 dilution

Predicted band size: 72 kDa

false

Western blot - Anti-PRC1 antibody [EP1513Y] (AB51248)
  • WB

CiteAb

Western blot - Anti-PRC1 antibody [EP1513Y] (AB51248)

PRC1 western blot using anti-PRC1 antibody [EP1513Y] ab51248. Publication image and figure legend from Dwivedi, D., Kumari, A., et al., 2019, J Cell Biol, PubMed 30674580.

ab51248 was used in this publication in western blot. This may not be the same as the application(s) guaranteed by Abcam. For a full list of applications guaranteed by Abcam for ab51248 please see the product overview.

Hook2 is required for p150glued and MKLP1 interaction during cytokinesis. (A) Lysates of HEK293T cells synchronized in either G2 phase or cytokinesis were IP with control IgG or anti-MKLP1 antibody and IB with indicated antibodies. (B) Ratio of normalized band intensity (cytokinesis lane) of IP p150glued and DIC to MKLP1 in A (n = 2). (C) Whole-cell lysates of HEK293T cells harvested during the cytokinesis stage were incubated with either MBP or MBP-tagged Hook2 N427 (WT, Q143A, and I150A) and IB for MKLP1. (D) Ratio of band intensity of pulldown to input Hook2 (WT/mutants) signal in C (n = 2). (E) Lysates of HEK293T cells treated with control or p150glued siRNA and harvested during cytokinesis stage were IP with control IgG or anti-Hook2 antibody and IB with the indicated antibodies. (F) Ratio of normalized band intensity (control siRNA) of coIP proteins (as indicated) to MKLP1 in E (n = 2). (G) Lysates of HEK293T cells transfected with indicated siRNA and harvested during cytokinesis stage were tested for dynactin association with MKLP1. (H) Ratio of normalized band intensity (control siRNA) of IP p150glued and DIC to MKLP1 in G (n = 3). (I) Representative images of HeLa cells ectopically expressing HA-tagged zebrafish Hook2 (HA-zHook2) costained for centrosomes, dynein, and dynactin. Bars, 10 μm; insets, 2 μm. (J) Lysates from asynchronous HEK293T cells treated with indicated siRNA and transfected with indicated plasmids were IP with control IgG or anti-DIC antibody and IB for p150glued. (K) Ratio of normalized band intensity (control siRNA) of IP p150glued to DIC in J (n = 2). (L) Representative differential interference contrast images of zebrafish embryos injected with either nontargeting control morpholino or indicated concentration of zHook2 morpholino immediately after fertilization and imaged at the indicated time. Each concentration of morpholino was injected in 100 fertilized embryos and monitored over time. Bars, 500 μm. Data represent mean ± SD (ns, not significant; ***, p < 0.001; Student's t test). (M) Proposed model depicting the role of Hook2 in mediating formation of dynein–dynactin complex and targeting of MKLP1 to the spindle midzone.

false

  • Carrier free

    Anti-PRC1 antibody [EP1513Y] - BSA and Azide free

Key facts

Host species

Rabbit

Clonality

Monoclonal

Clone number

EP1513Y

Isotype

IgG

Carrier free

No

Reacts with

Mouse, Rat, Human

Applications

ICC/IF, Flow Cyt (Intra), WB

applications

Immunogen

The exact immunogen used to generate this antibody is proprietary information.

Reactivity data

{ "title": "Reactivity Data", "filters": { "stats": ["", "Species", "Dilution Info", "Notes"], "tabs": { "all-applications": {"fullname" : "All Applications", "shortname": "All Applications"}, "ICCIF" : {"fullname" : "Immunocytochemistry/ Immunofluorescence", "shortname":"ICC/IF"}, "WB" : {"fullname" : "Western blot", "shortname":"WB"}, "FlowCytIntra" : {"fullname" : "Flow Cytometry (Intracellular)", "shortname":"Flow Cyt (Intra)"} }, "product-promise": { "all": "all", "testedAndGuaranteed": "tested", "guaranteed": "expected", "predicted": "predicted", "notRecommended": "not-recommended" } }, "values": { "Human": { "ICCIF-species-checked": "testedAndGuaranteed", "ICCIF-species-dilution-info": "1/50", "ICCIF-species-notes": "<p></p>", "WB-species-checked": "testedAndGuaranteed", "WB-species-dilution-info": "1/1000", "WB-species-notes": "<p></p>", "FlowCytIntra-species-checked": "testedAndGuaranteed", "FlowCytIntra-species-dilution-info": "1/30", "FlowCytIntra-species-notes": "<p><a href='/en-us/products/primary-antibodies/rabbit-igg-monoclonal-epr25a-isotype-control-ab172730'>ab172730</a> - Rabbit monoclonal IgG, is suitable for use as an isotype control with this antibody.</p>" }, "Mouse": { "ICCIF-species-checked": "guaranteed", "ICCIF-species-dilution-info": "", "ICCIF-species-notes": "", "WB-species-checked": "testedAndGuaranteed", "WB-species-dilution-info": "1/1000", "WB-species-notes": "<p></p>", "FlowCytIntra-species-checked": "guaranteed", "FlowCytIntra-species-dilution-info": "", "FlowCytIntra-species-notes": "" }, "Rat": { "ICCIF-species-checked": "guaranteed", "ICCIF-species-dilution-info": "", "ICCIF-species-notes": "", "WB-species-checked": "testedAndGuaranteed", "WB-species-dilution-info": "1/1000", "WB-species-notes": "<p></p>", "FlowCytIntra-species-checked": "guaranteed", "FlowCytIntra-species-dilution-info": "", "FlowCytIntra-species-notes": "" } } }

Product details

Patented technology
Our RabMAb® technology is a patented hybridoma-based technology for making rabbit monoclonal antibodies. For details on our patents, please refer to RabMAb® patents.

What are the advantages of a recombinant monoclonal antibody?
This product is a recombinant monoclonal antibody, which offers several advantages including:

  • - High batch-to-batch consistency and reproducibility
  • - Improved sensitivity and specificity
  • - Long-term security of supply
  • - Animal-free batch production

For more information, read more on recombinant antibodies.

Properties and storage information

Form
Liquid
Purification technique
Affinity purification Protein A
Storage buffer
pH: 7.2 - 7.4 Preservative: 0.01% Sodium azide Constituents: PBS, 50% Glycerol (glycerin, glycerine), 0.05% BSA
Shipped at conditions
Blue Ice
Appropriate short-term storage conditions
+4°C
Appropriate long-term storage conditions
-20°C
Aliquoting information
Upon delivery aliquot
Storage information
Avoid freeze / thaw cycle

Supplementary information

This supplementary information is collated from multiple sources and compiled automatically.

PRC1 also known as Protein Regulator of Cytokinesis 1 affiliates with cellular division mechanics. This protein weighs approximately 72 kDa. PRC1 localizes in the nucleus during the interphase and redistributes to the spindle midzone during mitosis. It plays a role in the stabilization of microtubules facilitating proper cytokinesis. Expression of PRC1 occurs in several human tissues notably in dividing cells.
Biological function summary

PRC1 functions in accurately regulating actin and microtubule interaction during cell division. As a part of the centralspindlin complex it ensures correct spindle midzone formation and serves as a marker for the cleavage furrow. Cellular events coordinated by PRC1 involve chromosomal segregation and rapidly proliferating cells express it to maintain integrity during mitotic processes.

Pathways

PRC1 contributes significantly to the mitotic spindle checkpoint. It participates in the Aurora B kinase pathway interacting with proteins like KIF4A and PLK1. This protein ensures the transition from metaphase to anaphase is precise preventing aneuploidy. As a pathway node PRC1 manages signal transduction facilitating cell cycle regulation and fidelity.

Dysregulation of PRC1 expression associates with cancer notably prostate and breast cancer. Tumor cells often display altered PRC1 activity linked to abnormal cell proliferation. The protein interacts with the oncogenic proteins such as p53 indicating a role in tumorigenesis and progression. Exploring therapeutic strategies targeting PRC1 could provide insights into cancer treatment.

Product protocols

For this product, it's our understanding that no specific protocols are required. You can visit:

Target data

Key regulator of cytokinesis that cross-links antiparrallel microtubules at an average distance of 35 nM. Essential for controlling the spatiotemporal formation of the midzone and successful cytokinesis. Required for KIF14 localization to the central spindle and midbody. Required to recruit PLK1 to the spindle. Stimulates PLK1 phosphorylation of RACGAP1 to allow recruitment of ECT2 to the central spindle. Acts as an oncogene for promoting bladder cancer cells proliferation, apoptosis inhibition and carcinogenic progression (PubMed : 17409436).
See full target information Protein regulator of cytokinesis 1

Publications (18)

Recent publications for all applications. Explore the full list and refine your search

Biology direct 20:94 PubMed40847353

2025

Inhibition of PRC1 elicits immunogenic cell death by triggering ROS-dependent ER stress in colorectal cancer via the Wnt/β-catenin signaling pathway.

Applications

Unspecified application

Species

Unspecified reactive species

Wei Wang,Lijiang Zhou,Xinyu Zhang,Zheng Li

Discover oncology 15:519 PubMed39361158

2024

Identification of key genes participating in copper-diethyldithiocarbamate-related cell death process and predicting the development of prostate cancer.

Applications

Unspecified application

Species

Unspecified reactive species

Xin'an Wang,Chengdang Xu,Junjie Ma,Xiao Wang,Xi Chen

Journal of biomedical research 39:184-197 PubMed38828848

2024

PAK2 promotes proliferation, migration, and invasion of lung squamous cell carcinoma through the LIMK1/cofilin signaling pathway.

Applications

Unspecified application

Species

Unspecified reactive species

Congcong Wang,Junyan Wang,Ruifeng Xu,Qiushuang Li,Xia Huang,Chenxi Zhang,Baiyin Yuan

Cell death & disease 13:314 PubMed35393397

2022

A noncoding regulatory RNA Gm31932 induces cell cycle arrest and differentiation in melanoma via the miR-344d-3-5p/Prc1 (and Nuf2) axis.

Applications

Unspecified application

Species

Unspecified reactive species

Dan Wang,Jianfei Chen,Bohan Li,Qingling Jiang,Ling Liu,Ziyi Xia,Qiusheng Zheng,Minjing Li,Defang Li

Proceedings of the National Academy of Sciences of 117:30498-30508 PubMed33199595

2020

The Cockayne syndrome group A and B proteins are part of a ubiquitin-proteasome degradation complex regulating cell division.

Applications

Unspecified application

Species

Unspecified reactive species

Elena Paccosi,Federico Costanzo,Michele Costantino,Alessio Balzerano,Laura Monteonofrio,Silvia Soddu,Giorgio Prantera,Stefano Brancorsini,Jean-Marc Egly,Luca Proietti-De-Santis

Frontiers in molecular biosciences 7:126 PubMed32766276

2020

ZFP36 Binds With PRC1 to Inhibit Tumor Growth and Increase 5-Fu Chemosensitivity of Hepatocellular Carcinoma.

Applications

Unspecified application

Species

Unspecified reactive species

Weiqian Chen,Minjiang Chen,Zhongwei Zhao,Qiaoyou Weng,Jingjing Song,Shiji Fang,Xulu Wu,Hailin Wang,Dengke Zhang,Weibin Yang,Zufei Wang,Min Xu,Jiansong Ji

Molecular therapy. Nucleic acids 21:428-440 PubMed32668390

2020

Overexpression of microRNA-203 Suppresses Proliferation, Invasion, and Migration while Accelerating Apoptosis of CSCC Cell Line SCL-1.

Applications

Unspecified application

Species

Unspecified reactive species

Wenyun Ting,Cheng Feng,Mingzi Zhang,Fei Long,Ming Bai

Cell reports 30:852-869.e4 PubMed31968258

2020

Ex Vivo Expanded 3D Human Kidney Spheres Engraft Long Term and Repair Chronic Renal Injury in Mice.

Applications

Unspecified application

Species

Unspecified reactive species

Orit Harari-Steinberg,Dorit Omer,Yehudit Gnatek,Oren Pleniceanu,Sanja Goldberg,Osnat Cohen-Zontag,Sara Pri-Chen,Itamar Kanter,Nissim Ben Haim,Eli Becker,Roi Ankawa,Yaron Fuchs,Tomer Kalisky,Zohar Dotan,Benjamin Dekel

International journal of oncology 56:685-696 PubMed31922238

2020

Overexpression of PRC1 indicates a poor prognosis in ovarian cancer.

Applications

Unspecified application

Species

Unspecified reactive species

Hualei Bu,Yingwei Li,Chengjuan Jin,Hongfeng Yu,Xiangxiang Wang,Jingying Chen,Yu Wang,Yana Ma,Youzhong Zhang,Beihua Kong

Cancer management and research 11:10307-10319 PubMed31849520

2019

Cervical Cancer Cells-Secreted Exosomal microRNA-221-3p Promotes Invasion, Migration and Angiogenesis of Microvascular Endothelial Cells in Cervical Cancer by Down-Regulating MAPK10 Expression.

Applications

Unspecified application

Species

Unspecified reactive species

Lu Zhang,Huihui Li,Ming Yuan,Mingbao Li,Shuquan Zhang
View all publications

Product promise

We are committed to supporting your work with high-quality reagents, and we're here for you every step of the way. In the unlikely event that one of our products does not perform as expected, you're protected by our Product Promise.
For full details, please see our Terms & Conditions

Please note: All products are 'FOR RESEARCH USE ONLY. NOT FOR USE IN DIAGNOSTIC OR THERAPEUTIC PROCEDURES'.

For licensing inquiries, please contact partnerships@abcam.com