JavaScript is disabled in your browser. Please enable JavaScript to view this website.
AB62366

Anti-PRC1 (phospho T481) antibody [EP1514Y]

Be the first to review this product! Submit a review

|

(10 Publications)

Rabbit Recombinant Monoclonal PRC1 phospho T481 antibody. Suitable for Dot, WB and reacts with Synthetic peptide, Human samples. Cited in 10 publications.

View Alternative Names

Protein regulator of cytokinesis 1, PRC1

2 Images
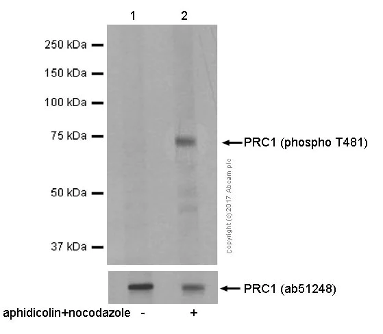
Western blot - Anti-PRC1 (phospho T481) antibody [EP1514Y] (AB62366)
  • WB

Unknown

Western blot - Anti-PRC1 (phospho T481) antibody [EP1514Y] (AB62366)

All lanes:

Western blot - Anti-PRC1 (phospho T481) antibody [EP1514Y] (ab62366) at 1/500 dilution

Lane 1:

HeLa cell lysates (untreated) at 10 µg

Lane 2:

HeLa cell lysates treated with aphidicolin + nocodazole at 10 µg

Secondary

All lanes:

goat anti-rabbit HRP labeled, at 1/2000 dilution

Predicted band size: 72 kDa

Observed band size: 72 kDa

false

Dot Blot - Anti-PRC1 (phospho T481) antibody [EP1514Y] (AB62366)
  • Dot

Unknown

Dot Blot - Anti-PRC1 (phospho T481) antibody [EP1514Y] (AB62366)

Primary ab dilution 1 : 1000 dilution. Secondary ab description and code (ab id) Goat Anti-Rabbit IgG (H+L) Peroxidase conjugated (ab97051). Secondary ab dilution 1 : 100000 dilution. Blocking buffer and concentration 5% NFDM/TBST. Lane 1 : PRC1 (pT481) phospho peptide Lane 2 : PRC1 non-phospho peptide. Exposure time 3 minutes

  • Carrier free

    Anti-PRC1 (phospho T481) antibody [EP1514Y] - BSA and Azide free

Key facts

Host species

Rabbit

Clonality

Monoclonal

Clone number

EP1514Y

Isotype

IgG

Carrier free

No

Reacts with

Human

Applications

WB, Dot

applications

Immunogen

The exact immunogen used to generate this antibody is proprietary information.

Reactivity data

{ "title": "Reactivity Data", "filters": { "stats": ["", "Species", "Dilution Info", "Notes"], "tabs": { "all-applications": {"fullname" : "All Applications", "shortname": "All Applications"}, "IP" : {"fullname" : "Immunoprecipitation", "shortname":"IP"}, "FlowCyt" : {"fullname" : "Flow Cytometry", "shortname":"Flow Cyt"}, "Dot" : {"fullname" : "Dot Blot", "shortname":"Dot"}, "WB" : {"fullname" : "Western blot", "shortname":"WB"} }, "product-promise": { "all": "all", "testedAndGuaranteed": "tested", "guaranteed": "expected", "predicted": "predicted", "notRecommended": "not-recommended" } }, "values": { "Human": { "IP-species-checked": "notRecommended", "IP-species-dilution-info": "", "IP-species-notes": "<p></p>", "FlowCyt-species-checked": "notRecommended", "FlowCyt-species-dilution-info": "", "FlowCyt-species-notes": "<p></p>", "Dot-species-checked": "guaranteed", "Dot-species-dilution-info": "", "Dot-species-notes": "", "WB-species-checked": "testedAndGuaranteed", "WB-species-dilution-info": "1/500", "WB-species-notes": "<p></p>" }, "Synthetic peptide": { "IP-species-checked": "notRecommended", "IP-species-dilution-info": "", "IP-species-notes": "", "FlowCyt-species-checked": "notRecommended", "FlowCyt-species-dilution-info": "", "FlowCyt-species-notes": "", "Dot-species-checked": "testedAndGuaranteed", "Dot-species-dilution-info": "", "Dot-species-notes": "<p></p>", "WB-species-checked": "notRecommended", "WB-species-dilution-info": "", "WB-species-notes": "" } } }

Product details

Species reactivity
Mouse, Rat: We have preliminary internal testing data to indicate this antibody may not react with these species.
Please contact us for more information.

Patented technology
Our RabMAb® technology is a patented hybridoma-based technology for making rabbit monoclonal antibodies. For details on our patents, please refer to RabMAb® patents.

What are the advantages of a recombinant monoclonal antibody?
This product is a recombinant monoclonal antibody, which offers several advantages including:

  • - High batch-to-batch consistency and reproducibility
  • - Improved sensitivity and specificity
  • - Long-term security of supply
  • - Animal-free batch production

For more information, read more on recombinant antibodies.

Properties and storage information

Form
Liquid
Purification technique
Affinity purification Protein A
Storage buffer
pH: 7.2 - 7.4 Preservative: 0.05% Sodium azide Constituents: 50% Tissue culture supernatant, 40% Glycerol (glycerin, glycerine), 9.85% Tris glycine, 0.1% BSA
Shipped at conditions
Blue Ice
Appropriate short-term storage conditions
+4°C
Appropriate long-term storage conditions
-20°C
Storage information
Stable for 12 months at -20°C

Supplementary information

This supplementary information is collated from multiple sources and compiled automatically.

PRC1 also known as Protein Regulator of Cytokinesis 1 affiliates with cellular division mechanics. This protein weighs approximately 72 kDa. PRC1 localizes in the nucleus during the interphase and redistributes to the spindle midzone during mitosis. It plays a role in the stabilization of microtubules facilitating proper cytokinesis. Expression of PRC1 occurs in several human tissues notably in dividing cells.
Biological function summary

PRC1 functions in accurately regulating actin and microtubule interaction during cell division. As a part of the centralspindlin complex it ensures correct spindle midzone formation and serves as a marker for the cleavage furrow. Cellular events coordinated by PRC1 involve chromosomal segregation and rapidly proliferating cells express it to maintain integrity during mitotic processes.

Pathways

PRC1 contributes significantly to the mitotic spindle checkpoint. It participates in the Aurora B kinase pathway interacting with proteins like KIF4A and PLK1. This protein ensures the transition from metaphase to anaphase is precise preventing aneuploidy. As a pathway node PRC1 manages signal transduction facilitating cell cycle regulation and fidelity.

Dysregulation of PRC1 expression associates with cancer notably prostate and breast cancer. Tumor cells often display altered PRC1 activity linked to abnormal cell proliferation. The protein interacts with the oncogenic proteins such as p53 indicating a role in tumorigenesis and progression. Exploring therapeutic strategies targeting PRC1 could provide insights into cancer treatment.

Product protocols

For this product, it's our understanding that no specific protocols are required. You can visit:

Target data

Key regulator of cytokinesis that cross-links antiparrallel microtubules at an average distance of 35 nM. Essential for controlling the spatiotemporal formation of the midzone and successful cytokinesis. Required for KIF14 localization to the central spindle and midbody. Required to recruit PLK1 to the spindle. Stimulates PLK1 phosphorylation of RACGAP1 to allow recruitment of ECT2 to the central spindle. Acts as an oncogene for promoting bladder cancer cells proliferation, apoptosis inhibition and carcinogenic progression (PubMed : 17409436).
See full target information Protein regulator of cytokinesis 1 phospho T481

Publications (10)

Recent publications for all applications. Explore the full list and refine your search

Nature communications 15:10782 PubMed39737931

2024

Chk2 sustains PLK1 activity in mitosis to ensure proper chromosome segregation.

Applications

Unspecified application

Species

Unspecified reactive species

Elizabeth M Black,Carlos Andrés Ramírez Parrado,Isabelle Trier,Wenxue Li,Yoon Ki Joo,Jennifer Pichurin,Yansheng Liu,Lilian Kabeche

The EMBO journal 43:5381-5420 PubMed39327527

2024

CEP192 localises mitotic Aurora-A activity by priming its interaction with TPX2.

Applications

Unspecified application

Species

Unspecified reactive species

James Holder,Jennifer A Miles,Matthew Batchelor,Harrison Popple,Martin Walko,Wayland Yeung,Natarajan Kannan,Andrew J Wilson,Richard Bayliss,Fanni Gergely

The Journal of cell biology 222: PubMed36897279

2023

PP6 regulation of Aurora A-TPX2 limits NDC80 phosphorylation and mitotic spindle size.

Applications

Unspecified application

Species

Unspecified reactive species

Tomoaki Sobajima,Katarzyna M Kowalczyk,Stefanos Skylakakis,Daniel Hayward,Luke J Fulcher,Colette Neary,Caleb Batley,Samvid Kurlekar,Emile Roberts,Ulrike Gruneberg,Francis A Barr

Molecular cell 81:2640-2655.e8 PubMed34019811

2021

Unrestrained poly-ADP-ribosylation provides insights into chromatin regulation and human disease.

Applications

Unspecified application

Species

Unspecified reactive species

Evgeniia Prokhorova,Thomas Agnew,Anne R Wondisford,Michael Tellier,Nicole Kaminski,Danique Beijer,James Holder,Josephine Groslambert,Marcin J Suskiewicz,Kang Zhu,Julia M Reber,Sarah C Krassnig,Luca Palazzo,Shona Murphy,Michael L Nielsen,Aswin Mangerich,Dragana Ahel,Jonathan Baets,Roderick J O'Sullivan,Ivan Ahel

The EMBO journal 40:e99692 PubMed33856059

2021

USP7 limits CDK1 activity throughout the cell cycle.

Applications

Unspecified application

Species

Unspecified reactive species

Antonio Galarreta,Pablo Valledor,Patricia Ubieto-Capella,Vanesa Lafarga,Eduardo Zarzuela,Javier Muñoz,Marcos Malumbres,Emilio Lecona,Oscar Fernandez-Capetillo

eLife 9: PubMed32869743

2020

Ordered dephosphorylation initiated by the selective proteolysis of cyclin B drives mitotic exit.

Applications

Unspecified application

Species

Unspecified reactive species

James Holder,Shabaz Mohammed,Francis A Barr

The Journal of cell biology 219: PubMed32356865

2020

Molecular basis of MKLP2-dependent Aurora B transport from chromatin to the anaphase central spindle.

Applications

Unspecified application

Species

Unspecified reactive species

Michela Serena,Ricardo Nunes Bastos,Paul R Elliott,Francis A Barr

Nature communications 10:4513 PubMed31586073

2019

The midbody interactome reveals unexpected roles for PP1 phosphatases in cytokinesis.

Applications

Unspecified application

Species

Unspecified reactive species

Luisa Capalbo,Zuni I Bassi,Marco Geymonat,Sofia Todesca,Liviu Copoiu,Anton J Enright,Giuliano Callaini,Maria Giovanna Riparbelli,Lu Yu,Jyoti S Choudhary,Enrico Ferrero,Sally Wheatley,Max E Douglas,Masanori Mishima,Pier Paolo D'Avino

Cell reports 24:3488-3502.e5 PubMed30257210

2018

Interplay of Histone Marks with Serine ADP-Ribosylation.

Applications

Unspecified application

Species

Unspecified reactive species

Edward Bartlett,Juan José Bonfiglio,Evgeniia Prokhorova,Thomas Colby,Florian Zobel,Ivan Ahel,Ivan Matic

The Journal of cell biology 214:539-54 PubMed27551054

2016

A PP2A-B55 recognition signal controls substrate dephosphorylation kinetics during mitotic exit.

Applications

Unspecified application

Species

Unspecified reactive species

Michael J Cundell,Lukas H Hutter,Ricardo Nunes Bastos,Elena Poser,James Holder,Shabaz Mohammed,Bela Novak,Francis A Barr
View all publications

Product promise

We are committed to supporting your work with high-quality reagents, and we're here for you every step of the way. In the unlikely event that one of our products does not perform as expected, you're protected by our Product Promise.
For full details, please see our Terms & Conditions

Please note: All products are 'FOR RESEARCH USE ONLY. NOT FOR USE IN DIAGNOSTIC OR THERAPEUTIC PROCEDURES'.

For licensing inquiries, please contact partnerships@abcam.com