JavaScript is disabled in your browser. Please enable JavaScript to view this website.
AB307645

Anti-PRDM1/Blimp1 antibody [EPR25163-80] - BSA and Azide free

Be the first to review this product! Submit a review

|

(0 Publication)

Rabbit Recombinant Monoclonal PRDM1/Blimp1 antibody. Carrier free. Suitable for IP, IHC-P, WB and reacts with Human samples.

View Alternative Names

BLIMP1, PRDM1, PR domain zinc finger protein 1, BLIMP-1, Beta-interferon gene positive regulatory domain I-binding factor, PR domain-containing protein 1, Positive regulatory domain I-binding factor 1, PRDI-BF1, PRDI-binding factor 1

4 Images
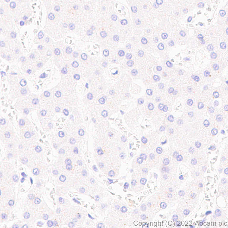
Immunohistochemistry (Formalin/PFA-fixed paraffin-embedded sections) - Anti-PRDM1/Blimp1 antibody [EPR25163-80] - BSA and Azide free (AB307645)
  • IHC-P

Supplier Data

Immunohistochemistry (Formalin/PFA-fixed paraffin-embedded sections) - Anti-PRDM1/Blimp1 antibody [EPR25163-80] - BSA and Azide free (AB307645)

This data was developed using ab307644, the same antibody clone in a different buffer formulation. Immunohistochemical analysis of paraffin-embedded Human liver tissue labeling PRDM1/Blimp1 with ab307644 at 1/500 (0.924 ug/ml) followed by a ready to use LeicaDS9800 (Bond™ Polymer Refine Detection). Negative control : No staining on human liver. The section was incubated with ab307644 for 30 mins at room temperature.The immunostaining was performed on a Leica Biosystems BOND® RX instrument Counterstained with Hematoxylin. Secondary antibody only control : Secondary antibody is a ready to use LeicaDS9800 (Bond™ Polymer Refine Detection). Heat mediated antigen retrieval was performed with Tris-EDTA buffer (pH 9.0, Epitope Retrieval Solution2) for 20 mins

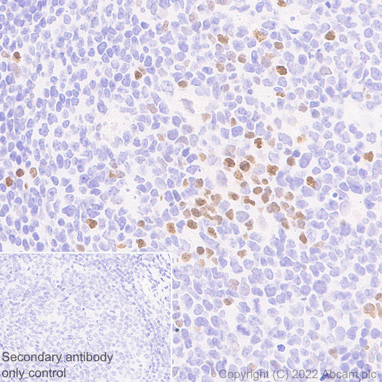
Immunohistochemistry (Formalin/PFA-fixed paraffin-embedded sections) - Anti-PRDM1/Blimp1 antibody [EPR25163-80] - BSA and Azide free (AB307645)
  • IHC-P

Supplier Data

Immunohistochemistry (Formalin/PFA-fixed paraffin-embedded sections) - Anti-PRDM1/Blimp1 antibody [EPR25163-80] - BSA and Azide free (AB307645)

This data was developed using ab307644, the same antibody clone in a different buffer formulation. Immunohistochemical analysis of paraffin-embedded Human tonsil tissue labeling PRDM1/Blimp1 with ab307644 at 1/500 (0.924 ug/ml) followed by a ready to use LeicaDS9800 (Bond™ Polymer Refine Detection). Nuclear staining on human tonsil (PMID : 24438193). The section was incubated with ab307644 for 30 mins at room temperature.The immunostaining was performed on a Leica Biosystems BOND® RX instrument Counterstained with Hematoxylin. Secondary antibody only control : Secondary antibody is a ready to use LeicaDS9800 (Bond™ Polymer Refine Detection). Heat mediated antigen retrieval was performed with Tris-EDTA buffer (pH 9.0, Epitope Retrieval Solution2) for 20 mins

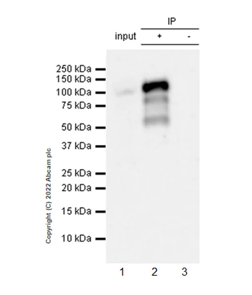
Immunoprecipitation - Anti-PRDM1/Blimp1 antibody [EPR25163-80] - BSA and Azide free (AB307645)
  • IP

Supplier Data

Immunoprecipitation - Anti-PRDM1/Blimp1 antibody [EPR25163-80] - BSA and Azide free (AB307645)

This data was developed using ab307644, the same antibody clone in a different buffer formulation. PRDM1/Blimp1 was immunoprecipitated from 0.35 mg SR whole cell lysate with ab307644 at 1/30 dilution (2ug in 0.35mg lysates). Western blot was performed on the immunoprecipitate using ab307644 at 1/1000 dilution. VeriBlot for IP secondary antibody(HRP)(ab131366) was used at 1/5000 dilution. Lane 1 : SR (human pleural effusion lymphoblast) whole cell lysate Lane 2 : ab307644 IP in SR whole cell lysate Lane 3 : Rabbit monoclonal IgG (ab172730) instead of ab307644 in SR whole cell lysate Blocking and dilution buffer and concentration : 5% NFDM/TBST. Exposure time : 50 seconds Lysate was freshly made and used for Western blotting immediately to minimize protein degradation.

All lanes:

Immunoprecipitation - Anti-PRDM1/Blimp1 antibody [EPR25163-80] (<a href='/en-us/products/primary-antibodies/prdm1-blimp1-antibody-epr25163-80-ab307644'>ab307644</a>) at 1/30 dilution

All lanes:

SR (human pleural effusion lymphoblast) whole cell lysate

Secondary

All lanes:

Immunoprecipitation - VeriBlot for IP Detection Reagent (HRP) (<a href='/en-us/products/reagents/veriblot-for-ip-detection-reagent-hrp-ab131366'>ab131366</a>) at 1/5000 dilution

false

Exposure time: 50s

Western blot - Anti-PRDM1/Blimp1 antibody [EPR25163-80] - BSA and Azide free (AB307645)
  • WB

Supplier Data

Western blot - Anti-PRDM1/Blimp1 antibody [EPR25163-80] - BSA and Azide free (AB307645)

This data was developed using ab307644, the same antibody clone in a different buffer formulation. Blocking and diluting buffer and concentration : 5% NFDM/TBST Negative control : Raji, NAMALWA (PMID : 28842558). Lysates were freshly made and used for Western blotting immediately to minimize protein degradation. Exposure time : 180 seconds

All lanes:

Western blot - Anti-PRDM1/Blimp1 antibody [EPR25163-80] (<a href='/en-us/products/primary-antibodies/prdm1-blimp1-antibody-epr25163-80-ab307644'>ab307644</a>) at 1/1000 dilution

Lane 1:

SR (human pleural effusion lymphoblast) whole cell lysate at 20 µg

Lane 2:

Raji (human burkitts lymphoma b lymphocyte) whole cell lysate at 20 µg

Lane 3:

NAMALWA (human burkitts lymphoma b lymphocyte) whole cell lysate at 20 µg

Secondary

All lanes:

Western blot - Goat Anti-Rabbit IgG H&L (HRP) (<a href='/en-us/products/secondary-antibodies/goat-rabbit-igg-h-l-hrp-ab97051'>ab97051</a>) at 1/20000 dilution

Observed band size: 100 kDa

false

Exposure time: 180s

Key facts

Host species

Rabbit

Clonality

Monoclonal

Clone number

EPR25163-80

Isotype

IgG

Carrier free

Yes

Reacts with

Human

Applications

IHC-P, WB, IP

applications

Immunogen

The exact immunogen used to generate this antibody is proprietary information.

Reactivity data

{ "title": "Reactivity Data", "filters": { "stats": ["", "Species", "Dilution Info", "Notes"], "tabs": { "all-applications": {"fullname" : "All Applications", "shortname": "All Applications"}, "IP" : {"fullname" : "Immunoprecipitation", "shortname":"IP"}, "IHCP" : {"fullname" : "Immunohistochemistry (Formalin/PFA-fixed paraffin-embedded sections)", "shortname":"IHC-P"}, "WB" : {"fullname" : "Western blot", "shortname":"WB"}, "FlowCytIntra" : {"fullname" : "Flow Cytometry (Intracellular)", "shortname":"Flow Cyt (Intra)"}, "ICCIF" : {"fullname" : "Immunocytochemistry/ Immunofluorescence", "shortname":"ICC/IF"} }, "product-promise": { "all": "all", "testedAndGuaranteed": "tested", "guaranteed": "expected", "predicted": "predicted", "notRecommended": "not-recommended" } }, "values": { "Human": { "IP-species-checked": "testedAndGuaranteed", "IP-species-dilution-info": "", "IP-species-notes": "<p></p>", "IHCP-species-checked": "testedAndGuaranteed", "IHCP-species-dilution-info": "", "IHCP-species-notes": "<p></p>", "WB-species-checked": "testedAndGuaranteed", "WB-species-dilution-info": "", "WB-species-notes": "<p></p>", "FlowCytIntra-species-checked": "notRecommended", "FlowCytIntra-species-dilution-info": "", "FlowCytIntra-species-notes": "<p></p>", "ICCIF-species-checked": "notRecommended", "ICCIF-species-dilution-info": "", "ICCIF-species-notes": "<p></p>" } } }

Product details

Patented technology
Our RabMAb® technology is a patented hybridoma-based technology for making rabbit monoclonal antibodies. For details on our patents, please refer to RabMAb® patents.

What are the advantages of a recombinant monoclonal antibody?
This product is a recombinant monoclonal antibody, which offers several advantages including:

  • - High batch-to-batch consistency and reproducibility
  • - Improved sensitivity and specificity
  • - Long-term security of supply
  • - Animal-free batch production

For more information, read more on recombinant antibodies.

Conjugation ready
Our carrier-free antibodies are typically supplied in a PBS-only formulation, purified and free of BSA, sodium azide and glycerol. This conjugation-ready format is designed for use with fluorochromes, metal isotopes, oligonucleotides, and enzymes, which makes them ideal for antibody labelling, functional and cell-based assays, flow-based assays (e.g. mass cytometry) and Multiplex Imaging applications.

Use our conjugation kits for antibody conjugates that are ready-to-use in as little as 20 minutes with 1 minute hands-on-time and 100% antibody recovery: available for fluorescent dyes, HRP, biotin and gold.

Compatibility
This product is compatible with the Maxpar® Antibody Labeling Kit from Fluidigm, without the need for antibody preparation. Maxpar® is a trademark of Fluidigm Canada Inc.

Properties and storage information

Form
Liquid
Purification technique
Affinity purification Protein A
Storage buffer
pH: 7.2 - 7.4 Constituents: PBS
Shipped at conditions
Blue Ice
Appropriate short-term storage conditions
+4°C
Appropriate long-term storage conditions
+4°C

Supplementary information

This supplementary information is collated from multiple sources and compiled automatically.

PRDM1 also referred to as Blimp-1 is a transcription factor involved in the regulation of gene expression. It has a molecular mass of approximately 106 kDa. This protein is expressed in a variety of cell types including B lymphocytes T cells and in certain tissues such as the intestine. It plays an important role in controlling the transcriptional programs necessary for cellular differentiation and development. PRDM1 functions mainly by binding to specific DNA sequences to repress the transcription of target genes acting as a master regulator in the immune system.
Biological function summary

PRDM1/Blimp-1 influences important processes like plasma cell differentiation particularly in the immune response. It is not part of a larger protein complex but functions by recruiting chromatin-modifying enzymes to silence target gene expression. In B cells it promotes the transition to plasma cell formation by repressing genes that would otherwise inhibit this differentiation. Blimp1 also plays a role in maintaining the differentiation state by regulating genes involved in cell survival and function.

Pathways

PRDM1/Blimp1 is primarily associated with pathways such as the B cell maturation and immunoglobulin secretion pathways. It acts downstream of signaling cascades initiated by factors like CD40 and IL-21. PRDM1 works closely with other transcription factors like XBP-1 in the pathway to drive effective plasma cell differentiation. By repressing factors such as Pax5 and Bcl6 PRDM1 ensures the proper execution of the differentiation program within these pathways.

Malfunctions in PRDM1/Blimp1 are linked to autoimmune conditions like systemic lupus erythematosus and some types of lymphomas. Altered function or expression can disrupt immune homeostasis leading to the production of autoantibodies. Disorders may arise when PRDM1 fails to repress genes like those regulated by Bcl6 contributing to unregulated cell growth and abnormal immune activity. Additionally its dysfunction can be observed in certain gastrointestinal disorders where it is pivotal for maintaining gut immune homeostasis.

Product protocols

For this product, it's our understanding that no specific protocols are required. You can visit:

Target data

Transcription factor that mediates a transcriptional program in various innate and adaptive immune tissue-resident lymphocyte T cell types such as tissue-resident memory T (Trm), natural killer (trNK) and natural killer T (NKT) cells and negatively regulates gene expression of proteins that promote the egress of tissue-resident T-cell populations from non-lymphoid organs. Plays a role in the development, retention and long-term establishment of adaptive and innate tissue-resident lymphocyte T cell types in non-lymphoid organs, such as the skin and gut, but also in other nonbarrier tissues like liver and kidney, and therefore may provide immediate immunological protection against reactivating infections or viral reinfection (By similarity). Binds specifically to the PRDI element in the promoter of the beta-interferon gene (PubMed : 1851123). Drives the maturation of B-lymphocytes into Ig secreting cells (PubMed : 12626569). Associates with the transcriptional repressor ZNF683 to chromatin at gene promoter regions (By similarity). Binds to the promoter and acts as a transcriptional repressor of IRF8, thereby promotes transcription of osteoclast differentiation factors such as NFATC1 and EEIG1 (By similarity).
See full target information PRDM1

Product promise

We are committed to supporting your work with high-quality reagents, and we're here for you every step of the way. In the unlikely event that one of our products does not perform as expected, you're protected by our Product Promise.
For full details, please see our Terms & Conditions

Please note: All products are 'FOR RESEARCH USE ONLY. NOT FOR USE IN DIAGNOSTIC OR THERAPEUTIC PROCEDURES'.

For licensing inquiries, please contact partnerships@abcam.com