JavaScript is disabled in your browser. Please enable JavaScript to view this website.
AB106410

Anti-PRDM16 antibody

4

(9 Reviews)

|

(95 Publications)

Anti-PRDM16 antibody (ab106410) is a rabbit polyclonal antibody detecting PRDM16 in Western Blot, IHC-P. Suitable for Human, Mouse, Rat.

- Over 70 publications

View Alternative Names

KIAA1675, MEL1, PFM13, PRDM16, Histone-lysine N-methyltransferase PRDM16, PR domain zinc finger protein 16, PR domain-containing protein 16, Transcription factor MEL1, MDS1/EVI1-like gene 1

8 Images
Western blot - Anti-PRDM16 antibody (AB106410)
  • WB

Supplier Data

Western blot - Anti-PRDM16 antibody (AB106410)

1 h incubation at RT in 5% NFDM/TBST.

All lanes:

Western blot - Anti-PRDM16 antibody (ab106410) at 1 µg/mL

All lanes:

MCF7 cell lysates at 15 µg

Secondary

All lanes:

Goat Anti-Rabbit IgG HRP conjugate at 1/10000 dilution

Observed band size: 130 kDa

false

Immunocytochemistry - Anti-PRDM16 antibody (AB106410)
  • ICC

AbReview39070****

Immunocytochemistry - Anti-PRDM16 antibody (AB106410)

ab106410 staining RAP1 in Human Brown adipocytes from supraclavicular fat tissue by ICC (Immunocytochemistry). Cells were fixed with paraformaldehyde, permeabilized with 0.3% Triton X-100 and blocked with 10% serum, 1% BSA for 1 hour at 22°C. Samples were incubated with primary antibody (2 ug/ml in 10% serum, 1% BSA, 0.3% Triton X100, PBS) for 16 hours at 4°C. A Cy3®-conjugated Donkey F(ab')2 anti-rabbit IgG polyclonal (1/500) was used as the secondary antibody.

Image is courtesy of an Abreview submitted by Lena Appelsved

Immunohistochemistry (Formalin/PFA-fixed paraffin-embedded sections) - Anti-PRDM16 antibody (AB106410)
  • IHC-P

Supplier Data

Immunohistochemistry (Formalin/PFA-fixed paraffin-embedded sections) - Anti-PRDM16 antibody (AB106410)

Immunohistochemical analysis of paraffin-embedded human brain tissue using anti-PRDM16 antibody (ab106410) at 2 µg/ml. Tissue was fixed with formaldehyde and blocked with 10% serum for 1 h at RT; antigen retrieval was by heat mediation with a citrate buffer (pH6). Samples were incubated with primary antibody overnight at 4°C. A goat anti-rabbit IgG H&L (HRP) at 1/250 was used as secondary. Counter stained with Hematoxylin.

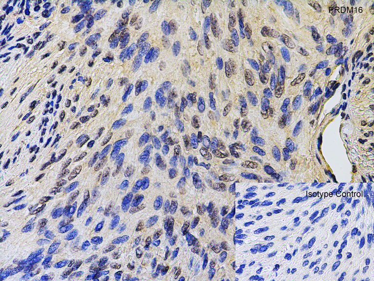
Immunohistochemistry (Formalin/PFA-fixed paraffin-embedded sections) - Anti-PRDM16 antibody (AB106410)
  • IHC-P

Supplier Data

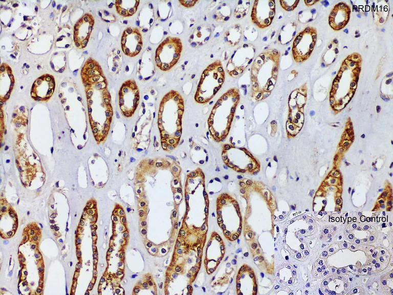
Immunohistochemistry (Formalin/PFA-fixed paraffin-embedded sections) - Anti-PRDM16 antibody (AB106410)

Immunohistochemical analysis of paraffin-embedded human kidney tissue using anti-PRDM16 antibody (ab106410) at 2 µg/ml. Tissue was fixed with formaldehyde and blocked with 10% serum for 1 h at RT; antigen retrieval was by heat mediation with a citrate buffer (pH6). Samples were incubated with primary antibody overnight at 4°C. A goat anti-rabbit IgG H&L (HRP) at 1/250 was used as secondary. Counter stained with Hematoxylin.

Immunohistochemistry (Formalin/PFA-fixed paraffin-embedded sections) - Anti-PRDM16 antibody (AB106410)
  • IHC-P

Supplier Data

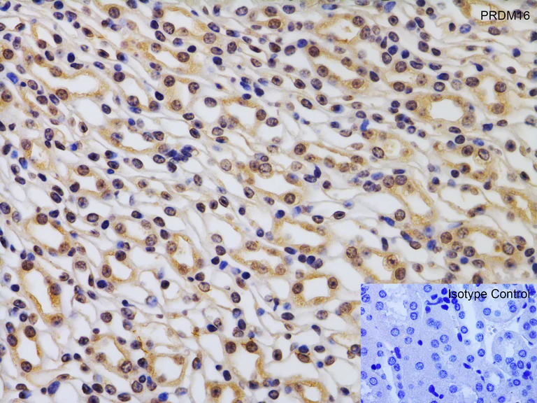
Immunohistochemistry (Formalin/PFA-fixed paraffin-embedded sections) - Anti-PRDM16 antibody (AB106410)

Immunohistochemical analysis of paraffin-embedded rat spleen tissue using anti-PRDM16 antibody (ab106410) at 2 µg/ml. Tissue was fixed with formaldehyde and blocked with 10% serum for 1 h at RT; antigen retrieval was by heat mediation with a citrate buffer (pH6). Samples were incubated with primary antibody overnight at 4°C. A goat anti-rabbit IgG H&L (HRP) at 1/250 was used as secondary. Counter stained with Hematoxylin.

Immunohistochemistry (Formalin/PFA-fixed paraffin-embedded sections) - Anti-PRDM16 antibody (AB106410)
  • IHC-P

Supplier Data

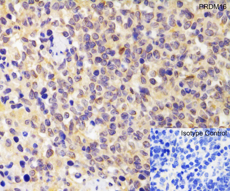
Immunohistochemistry (Formalin/PFA-fixed paraffin-embedded sections) - Anti-PRDM16 antibody (AB106410)

Immunohistochemical analysis of paraffin-embedded mouse kidney tissue using anti-PRDM16 antibody (ab106410) at 2 µg/ml. Tissue was fixed with formaldehyde and blocked with 10% serum for 1 h at RT; antigen retrieval was by heat mediation with a citrate buffer (pH6). Samples were incubated with primary antibody overnight at 4°C. A goat anti-rabbit IgG H&L (HRP) at 1/250 was used as secondary. Counter stained with Hematoxylin.

Western blot - Anti-PRDM16 antibody (AB106410)
  • WB

Supplier Data

Western blot - Anti-PRDM16 antibody (AB106410)

1 h incubation at RT in 5% NFDM/TBST.

All lanes:

Western blot - Anti-PRDM16 antibody (ab106410) at 2 µg/mL

All lanes:

Rat spleen tissue lysate at 15 µg

Secondary

All lanes:

Goat Anti-Rabbit IgG HRP conjugate at 1/10000 dilution

Observed band size: 130 kDa

false

Western blot - Anti-PRDM16 antibody (AB106410)
  • WB

Supplier Data

Western blot - Anti-PRDM16 antibody (AB106410)

1 h incubation at RT in 5% NFDM/TBST.

All lanes:

Western blot - Anti-PRDM16 antibody (ab106410) at 2 µg/mL

All lanes:

Mouse lung tissue lysate at 15 µg

Secondary

All lanes:

Goat Anti-Rabbit IgG HRP conjugate at 1/10000 dilution

Observed band size: 130 kDa

false

Key facts

Host species

Rabbit

Clonality

Polyclonal

Isotype

IgG

Carrier free

No

Reacts with

Human, Rat, Mouse

Applications

ICC, WB, IHC-P

applications

Immunogen

Synthetic Peptide within Human PRDM16. The exact immunogen used to generate this antibody is proprietary information.

Q9HAZ2

Specificity

At least four isoforms of PRDM16 are known to exist; ab106410 will recognize all four.

Reactivity data

{ "title": "Reactivity Data", "filters": { "stats": ["", "Species", "Dilution Info", "Notes"], "tabs": { "all-applications": {"fullname" : "All Applications", "shortname": "All Applications"}, "ICC" : {"fullname" : "Immunocytochemistry", "shortname":"ICC"}, "WB" : {"fullname" : "Western blot", "shortname":"WB"}, "IHCP" : {"fullname" : "Immunohistochemistry (Formalin/PFA-fixed paraffin-embedded sections)", "shortname":"IHC-P"} }, "product-promise": { "all": "all", "testedAndGuaranteed": "tested", "guaranteed": "expected", "predicted": "predicted", "notRecommended": "not-recommended" } }, "values": { "Human": { "ICC-species-checked": "testedAndGuaranteed", "ICC-species-dilution-info": "", "ICC-species-notes": "<p></p>", "WB-species-checked": "testedAndGuaranteed", "WB-species-dilution-info": "1-4 µg/mL", "WB-species-notes": "<p></p>", "IHCP-species-checked": "testedAndGuaranteed", "IHCP-species-dilution-info": "1-2 µg/mL", "IHCP-species-notes": "<p></p>" }, "Mouse": { "ICC-species-checked": "guaranteed", "ICC-species-dilution-info": "", "ICC-species-notes": "", "WB-species-checked": "testedAndGuaranteed", "WB-species-dilution-info": "1-4 µg/mL", "WB-species-notes": "<p></p>", "IHCP-species-checked": "testedAndGuaranteed", "IHCP-species-dilution-info": "1-2 µg/mL", "IHCP-species-notes": "<p></p>" }, "Rat": { "ICC-species-checked": "guaranteed", "ICC-species-dilution-info": "", "ICC-species-notes": "", "WB-species-checked": "testedAndGuaranteed", "WB-species-dilution-info": "1-4 µg/mL", "WB-species-notes": "<p></p>", "IHCP-species-checked": "testedAndGuaranteed", "IHCP-species-dilution-info": "1-2 µg/mL", "IHCP-species-notes": "<p></p>" } } }

Product details

What is this antibody validated in?
Anti-PRDM16 antibody (ab106410) is a rabbit polyclonal antibody and is validated for use in Western Blot (WB), Immunohistochemistry (IHC-P) in Human, Mouse, Rat samples.

What is the molecular weight of PRDM16?
Anti-PRDM16 (ab106410) specifically detects a band for PRDM16 (UniProt: Q9HAZ2) at a molecular weight of 140kDa.

Trusted by the scientific community
Anti-PRDM16 (ab106410) was first used in a scientific publication in 2011 and has been cited over 70 times in peer-reviewed journals.

Reviewed by scientists
Anti-PRDM16 (ab106410) has over 5 independent reviews from customers.

Properties and storage information

Form
Liquid
Purification technique
Affinity purification Immunogen
Storage buffer
pH: 7.2 Preservative: 0.02% Sodium azide Constituents: PBS
Shipped at conditions
Blue Ice
Appropriate short-term storage conditions
+4°C
Appropriate long-term storage conditions
+4°C

Supplementary information

This supplementary information is collated from multiple sources and compiled automatically.

PRDM16 also known as the PR-domain containing 16 is a transcription cofactor involved in the regulation of genes. It has a mass of approximately 140 kDa. This protein is found in multiple tissues with high expression levels observed in brown adipose tissue and skeletal muscle. PRDM16 regulates gene expression by interacting with other transcription factors and modifying chromatin structure.
Biological function summary

PRDM16 is essential in the determination of brown adipose tissue and skeletal muscle differentiation. It belongs to a complex that includes C/EBPΒ and PPARγ which are pivotal for the conversion of myoblasts into thermogenic brown fat cells. This activity contributes to the generation of cells specialized for heat production which aids in maintaining body temperature.

Pathways

PRDM16 functions are linked to cellular metabolism and thermogenesis. It plays a substantial role in the Wnt/Β-catenin signaling pathway where it influences energy balance. In this pathway PRDM16 interacts with Wnt signaling regulators and coactivators that control adipocyte differentiation and energy expenditure.

PRDM16 plays a role in myoblastic leukemia and obesity-related conditions. Changes in the function or expression of PRDM16 can contribute to pathological transformation leading to leukemia with proteins C/EBPΒ and PPARγ also involved in related mechanisms. In obesity altered PRDM16 activity affects the formation and function of brown adipose tissue potentially disrupting normal energy metabolism and storage.

Product protocols

For this product, it's our understanding that no specific protocols are required. You can visit:

Target data

Binds DNA and functions as a transcriptional regulator (PubMed : 12816872). Displays histone methyltransferase activity and monomethylates 'Lys-9' of histone H3 (H3K9me1) in vitro (By similarity). Probably catalyzes the monomethylation of free histone H3 in the cytoplasm which is then transported to the nucleus and incorporated into nucleosomes where SUV39H methyltransferases use it as a substrate to catalyze histone H3 'Lys-9' trimethylation (By similarity). Likely to be one of the primary histone methyltransferases along with MECOM/PRDM3 that direct cytoplasmic H3K9me1 methylation (By similarity). Functions in the differentiation of brown adipose tissue (BAT) which is specialized in dissipating chemical energy in the form of heat in response to cold or excess feeding while white adipose tissue (WAT) is specialized in the storage of excess energy and the control of systemic metabolism (By similarity). Together with CEBPB, regulates the differentiation of myoblastic precursors into brown adipose cells (By similarity). Functions as a repressor of TGF-beta signaling (PubMed : 19049980).. Isoform 4. Binds DNA and functions as a transcriptional regulator (PubMed : 12816872). Functions as a repressor of TGF-beta signaling (PubMed : 14656887). May regulate granulocyte differentiation (PubMed : 12816872).
See full target information PRDM16

Publications (95)

Recent publications for all applications. Explore the full list and refine your search

FASEB journal : official publication of the Federation of American Societies for Experimental Biology 39:e70886 PubMed40787784

2025

The TBLR1/TBL1 Co-Factor Complex Acts as a Transcriptional Checkpoint in the Brown Adipose Tissue Response to Prolonged Cold Exposure.

Applications

Unspecified application

Species

Unspecified reactive species

Sahika Cingir Köker,Foivos-Filippos Tsokanos,Rabih El-Merahbi,Ankush Kumar Jha,Karin Cicatelli,Peter Weber,Amit Mhamane,Doris Kaltenecker,Pauline Morigny,Anne Loft,Katarina Klepac,Adriano Maida,Claudia-Eveline Molocea,Daniela Hass,Elena Sophie Vogl,Ana Jimena Alfaro,Wenfei Sun,Horst Zitzelsberger,Kristian Unger,Julia Szendrödi,Yongguo Li,Mauricio Berriel Diaz,Christian Wolfrum,Alexander Bartelt,Stephan Herzig,Anastasia Georgiadi

Cardiovascular diabetology 24:223 PubMed40399937

2025

Perivascular adipose tissue dysfunction contributes to thoracic aortic aneurysm development.

Applications

Unspecified application

Species

Unspecified reactive species

Zhenguo Wang,Wenjuan Mu,Ruiyan Xu,Juan Zhong,Wenhao Xiong,Xiangjie Zhao,Xiubin Liang,Yanhong Guo,Jifeng Zhang,Zhi-Sheng Jiang,Bo Yang,Y Eugene Chen,Lin Chang

International journal of molecular sciences 26: PubMed40243609

2025

Exercise Improves the Cytoskeletal and Metabolic Functions of Brown Adipocytes Through the ADRβ3/COX2-Ywhah Axis.

Applications

Unspecified application

Species

Unspecified reactive species

Jingzhe Xiao,Chunyan Xu,Rongxin Zhu,Pengyu Fu,Jie Jia,Lijing Gong

Endocrinology 166: PubMed40059408

2025

Type 2 Deiodinase Promotes Fatty Adipogenesis in Muscle Fibroadipogenic Progenitors From Adult Male Mice.

Applications

Unspecified application

Species

Unspecified reactive species

Cristina Luongo,Daniela Di Girolamo,Raffaele Ambrosio,Sara Di Cintio,Maria Angela De Stefano,Tommaso Porcelli,Domenico Salvatore

The Journal of clinical investigation 135: PubMed39625782

2024

Vascular smooth muscle cell PRDM16 regulates circadian variation in blood pressure.

Applications

Unspecified application

Species

Unspecified reactive species

Zhenguo Wang,Wenjuan Mu,Juan Zhong,Ruiyan Xu,Yaozhong Liu,Guizhen Zhao,Yanhong Guo,Jifeng Zhang,Ida Surakka,Y Eugene Chen,Lin Chang

Molecular metabolism 90:102053 PubMed39481849

2024

RNA-binding protein YBX3 promotes PPARγ-SLC3A2 mediated BCAA metabolism fueling brown adipogenesis and thermogenesis.

Applications

Unspecified application

Species

Unspecified reactive species

Lin-Yun Chen,Li-Wen Wang,Jie Wen,Jing-Dong Cao,Rui Zhou,Jin-Lin Yang,Ye Xiao,Tian Su,Yan Huang,Qi Guo,Hai-Yan Zhou,Xiang-Hang Luo,Xu Feng

Cell death and differentiation 32:447-465 PubMed39402212

2024

SOX4 facilitates brown fat development and maintenance through EBF2-mediated thermogenic gene program in mice.

Applications

Unspecified application

Species

Unspecified reactive species

Shuai Wang,Ting He,Ya Luo,Kexin Ren,Huanming Shen,Lingfeng Hou,Yixin Wei,Tong Fu,Wenlong Xie,Peng Wang,Jie Hu,Yu Zhu,Zhengrong Huang,Qiyuan Li,Weihua Li,Huiling Guo,Boan Li

Diabetes, obesity & metabolism 26:3880-3896 PubMed38951947

2024

Neuregulin4-ErbB4 signalling pathway is driven by electroacupuncture stimulation to remodel brown adipose tissue innervation.

Applications

Unspecified application

Species

Unspecified reactive species

Ziwei Yu,Ting Zhang,Xingyu Yang,Bin Xu,Zhi Yu,Li An,Tiancheng Xu,Xinyue Jing,Yaling Wang,Mengjiang Lu

iScience 27:108857 PubMed38303710

2024

Whitening of brown adipose tissue inhibits osteogenic differentiation via secretion of S100A8/A9.

Applications

Unspecified application

Species

Unspecified reactive species

Ting Wang,Chaoran Zhao,Jiahuan Zhang,Shengfa Li,Youming Zhang,Yan Gong,Yingyue Zhou,Lei Yan,Sheng Zhang,Zhongmin Zhang,Hongling Hu,Anling Liu,Xiaochun Bai,Zhipeng Zou

Foods (Basel, Switzerland) 12: PubMed38002194

2023

Effect of 2'-Fucosyllactose on Beige Adipocyte Formation in 3T3-L1 Adipocytes and C3H10T1/2 Cells.

Applications

Unspecified application

Species

Unspecified reactive species

Siru Chen,Yankun Fu,Tianlin Wang,Zhenglin Chen,Peijun Zhao,Xianqing Huang,Mingwu Qiao,Tiange Li,Lianjun Song
View all publications

Product promise

We are committed to supporting your work with high-quality reagents, and we're here for you every step of the way. In the unlikely event that one of our products does not perform as expected, you're protected by our Product Promise.
For full details, please see our Terms & Conditions

Please note: All products are 'FOR RESEARCH USE ONLY. NOT FOR USE IN DIAGNOSTIC OR THERAPEUTIC PROCEDURES'.

For licensing inquiries, please contact partnerships@abcam.com