JavaScript is disabled in your browser. Please enable JavaScript to view this website.
AB271132

Anti-Prealbumin antibody [EPR24246-14]

  • BOND RX™ Validated
  • 20ul selling size
  • RabMAb
  • Recombinant
  • What is this?

Be the first to review this product! Submit a review

|

(1 Publication)

Rabbit Recombinant Monoclonal Prealbumin antibody. Suitable for WB, IHC-P and reacts with Mouse, Rat, Human samples. Cited in 1 publication.

View Alternative Names

PALB, TTR, Transthyretin, ATTR, Prealbumin, TBPA

6 Images
Immunohistochemistry (Formalin/PFA-fixed paraffin-embedded sections) - Anti-Prealbumin antibody [EPR24246-14] (AB271132)
  • IHC-P

Supplier Data

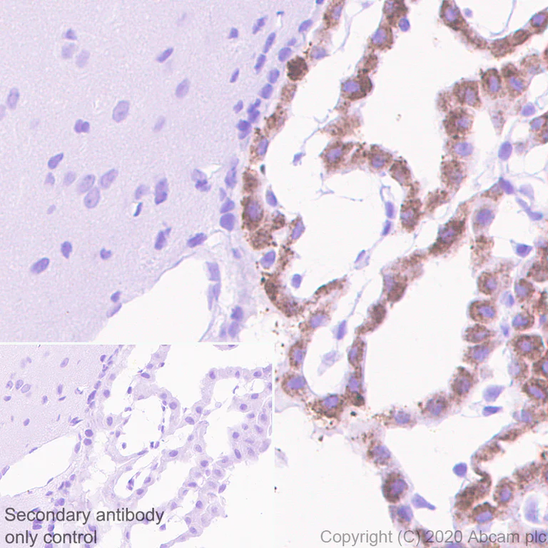
Immunohistochemistry (Formalin/PFA-fixed paraffin-embedded sections) - Anti-Prealbumin antibody [EPR24246-14] (AB271132)

Immunohistochemical analysis of paraffin-embedded rat cerebrum tissue labeling Prealbumin with ab271132 at 1/2000 dilution followed by ready to use Rabbit specific IHC polymer detection kit HRP/DAB (ab209101). Cytoplasmic staining on the choroid plexus of rat cerebrum. The section was incubated with ab271132 for 30 mins at room temperature. The immunostaining was performed on a Leica Biosystems BOND® RX instrument. Counterstained with Hematoxylin.

Secondary antibody only control : Secondary antibody is a ready to use Rabbit specific IHC polymer detection kit HRP/DAB (ab209101).

Heat mediated antigen retrieval with Tris-EDTA buffer (pH 9.0, epitope retrieval solution2) for 20 mins.

Western blot - Anti-Prealbumin antibody [EPR24246-14] (AB271132)
  • WB

Lab

Western blot - Anti-Prealbumin antibody [EPR24246-14] (AB271132)

Blocking and diluting buffer and concentration : 5% NFDM/TBST

Exposure times : Lane 1 : 15 seconds; Lane 2 : 1 second

All lanes:

Western blot - Anti-Prealbumin antibody [EPR24246-14] (ab271132) at 1/1000 dilution

Lane 1:

Human plasma at 20 µL

Lane 2:

Rat plasma at 20 µL

Secondary

All lanes:

Goat Anti-Rabbit IgG (HRP) with minimal cross-reactivity with human IgG at 1/2000 dilution

Predicted band size: 15 kDa

Observed band size: 15 kDa

false

Western blot - Anti-Prealbumin antibody [EPR24246-14] (AB271132)
  • WB

Lab

Western blot - Anti-Prealbumin antibody [EPR24246-14] (AB271132)

Blocking and diluting buffer and concentration : 5% NFDM/TBST

Exposure time : 10 seconds

All lanes:

Western blot - Anti-Prealbumin antibody [EPR24246-14] (ab271132) at 1/1000 dilution

All lanes:

Mouse plasma at 20 µL

Secondary

All lanes:

Goat Anti-Rabbit IgG (HRP) with minimal cross-reactivity with human IgG at 1/2000 dilution

Predicted band size: 15 kDa

Observed band size: 15 kDa

false

Immunohistochemistry (Formalin/PFA-fixed paraffin-embedded sections) - Anti-Prealbumin antibody [EPR24246-14] (AB271132)
  • IHC-P

Supplier Data

Immunohistochemistry (Formalin/PFA-fixed paraffin-embedded sections) - Anti-Prealbumin antibody [EPR24246-14] (AB271132)

Immunohistochemical analysis of paraffin-embedded rat skeletal muscle tissue labeling Prealbumin with ab271132 at 1/2000 dilution followed by ready to use Rabbit specific IHC polymer detection kit HRP/DAB (ab209101). The section was incubated with ab271132 for 30 mins at room temperature. The immunostaining was performed on a Leica Biosystems BOND® RX instrument. Counterstained with Hematoxylin.

Negative control : no staining on rat skeletal muscle.

Secondary antibody only control : Secondary antibody is ready to use Rabbit specific IHC polymer detection kit HRP/DAB (ab209101).

Heat mediated antigen retrieval with Tris-EDTA buffer (pH 9.0, epitope retrieval solution2) for 20 mins.

Immunohistochemistry (Formalin/PFA-fixed paraffin-embedded sections) - Anti-Prealbumin antibody [EPR24246-14] (AB271132)
  • IHC-P

Supplier Data

Immunohistochemistry (Formalin/PFA-fixed paraffin-embedded sections) - Anti-Prealbumin antibody [EPR24246-14] (AB271132)

Immunohistochemical analysis of paraffin-embedded mouse cerebrum tissue labeling Prealbumin with ab271132 at 1/2000 dilution followed by ready to use Rabbit specific IHC polymer detection kit HRP/DAB (ab209101). Cytoplasmic staining on the choroid plexus of mouse cerebrum (PMID : 29527688). The section was incubated with ab271132 for 30 mins at room temperature. The immunostaining was performed on a Leica Biosystems BOND® RX instrument. Counterstained with Hematoxylin.

Secondary antibody only control : Secondary antibody is a ready to use Rabbit specific IHC polymer detection kit HRP/DAB (ab209101).

Heat mediated antigen retrieval with Tris-EDTA buffer (pH 9.0, epitope retrieval solution2) for 20 mins.

Western blot - Anti-Prealbumin antibody [EPR24246-14] (AB271132)
  • WB

Lab

Western blot - Anti-Prealbumin antibody [EPR24246-14] (AB271132)

Blocking and diluting buffer and concentration : 5% NFDM/TBST

Negative control : skeletal muscle (PMID : 19032346).

Exposure time : 15 seconds

All lanes:

Western blot - Anti-Prealbumin antibody [EPR24246-14] (ab271132) at 1/1000 dilution

Lane 1:

Rat liver tissue lysate at 20 µg

Lane 2:

Rat skeletal muscle tissue lysate at 20 µg

Secondary

All lanes:

Western blot - Goat Anti-Rabbit IgG H&L (HRP) (<a href='/en-us/products/secondary-antibodies/goat-rabbit-igg-h-l-hrp-ab97051'>ab97051</a>) at 1/20000 dilution

Predicted band size: 15 kDa

Observed band size: 15 kDa

false

  • Carrier free

    Anti-Prealbumin antibody [EPR24246-14] - BSA and Azide free

Key facts

Host species

Rabbit

Clonality

Monoclonal

Clone number

EPR24246-14

Isotype

IgG

Carrier free

No

Reacts with

Rat, Human, Mouse

Applications

WB, IHC-P

applications

Immunogen

The exact immunogen used to generate this antibody is proprietary information.

Reactivity data

{ "title": "Reactivity Data", "filters": { "stats": ["", "Species", "Dilution Info", "Notes"], "tabs": { "all-applications": {"fullname" : "All Applications", "shortname": "All Applications"}, "ICCIF" : {"fullname" : "Immunocytochemistry/ Immunofluorescence", "shortname":"ICC/IF"}, "IP" : {"fullname" : "Immunoprecipitation", "shortname":"IP"}, "WB" : {"fullname" : "Western blot", "shortname":"WB"}, "IHCFr" : {"fullname" : "Immunohistochemistry (Frozen sections)", "shortname":"IHC-Fr"}, "FlowCytIntra" : {"fullname" : "Flow Cytometry (Intracellular)", "shortname":"Flow Cyt (Intra)"}, "IHCP" : {"fullname" : "Immunohistochemistry (Formalin/PFA-fixed paraffin-embedded sections)", "shortname":"IHC-P"} }, "product-promise": { "all": "all", "testedAndGuaranteed": "tested", "guaranteed": "expected", "predicted": "predicted", "notRecommended": "not-recommended" } }, "values": { "Human": { "ICCIF-species-checked": "notRecommended", "ICCIF-species-dilution-info": "", "ICCIF-species-notes": "<p></p>", "IP-species-checked": "notRecommended", "IP-species-dilution-info": "", "IP-species-notes": "<p></p>", "WB-species-checked": "testedAndGuaranteed", "WB-species-dilution-info": "1/1000", "WB-species-notes": "<p></p>", "IHCFr-species-checked": "notRecommended", "IHCFr-species-dilution-info": "", "IHCFr-species-notes": "<p></p>", "FlowCytIntra-species-checked": "notRecommended", "FlowCytIntra-species-dilution-info": "", "FlowCytIntra-species-notes": "<p></p>", "IHCP-species-checked": "notRecommended", "IHCP-species-dilution-info": "", "IHCP-species-notes": "<p></p>" }, "Mouse": { "ICCIF-species-checked": "notRecommended", "ICCIF-species-dilution-info": "", "ICCIF-species-notes": "<p></p>", "IP-species-checked": "notRecommended", "IP-species-dilution-info": "", "IP-species-notes": "<p></p>", "WB-species-checked": "testedAndGuaranteed", "WB-species-dilution-info": "1/1000", "WB-species-notes": "<p></p>", "IHCFr-species-checked": "notRecommended", "IHCFr-species-dilution-info": "", "IHCFr-species-notes": "<p></p>", "FlowCytIntra-species-checked": "notRecommended", "FlowCytIntra-species-dilution-info": "", "FlowCytIntra-species-notes": "<p></p>", "IHCP-species-checked": "testedAndGuaranteed", "IHCP-species-dilution-info": "1/2000", "IHCP-species-notes": "<p></p>" }, "Rat": { "ICCIF-species-checked": "notRecommended", "ICCIF-species-dilution-info": "", "ICCIF-species-notes": "<p></p>", "IP-species-checked": "notRecommended", "IP-species-dilution-info": "", "IP-species-notes": "<p></p>", "WB-species-checked": "testedAndGuaranteed", "WB-species-dilution-info": "1/1000", "WB-species-notes": "<p></p>", "IHCFr-species-checked": "notRecommended", "IHCFr-species-dilution-info": "", "IHCFr-species-notes": "<p></p>", "FlowCytIntra-species-checked": "notRecommended", "FlowCytIntra-species-dilution-info": "", "FlowCytIntra-species-notes": "<p></p>", "IHCP-species-checked": "testedAndGuaranteed", "IHCP-species-dilution-info": "1/2000", "IHCP-species-notes": "<p></p>" } } }

Product details

Patented technology
Our RabMAb® technology is a patented hybridoma-based technology for making rabbit monoclonal antibodies. For details on our patents, please refer to RabMAb® patents.

What are the advantages of a recombinant monoclonal antibody?
This product is a recombinant monoclonal antibody, which offers several advantages including:

  • - High batch-to-batch consistency and reproducibility
  • - Improved sensitivity and specificity
  • - Long-term security of supply
  • - Animal-free batch production

For more information, read more on recombinant antibodies.

Properties and storage information

Form
Liquid
Purification technique
Affinity purification Protein A
Storage buffer
Preservative: 0.01% Sodium azide Constituents: PBS, 40% Glycerol (glycerin, glycerine), 0.05% BSA
Shipped at conditions
Blue Ice
Appropriate short-term storage duration
1-2 weeks
Appropriate short-term storage conditions
+4°C
Appropriate long-term storage conditions
-20°C
Aliquoting information
Upon delivery aliquot
Storage information
Avoid freeze / thaw cycle

Supplementary information

This supplementary information is collated from multiple sources and compiled automatically.

Prealbumin also known as transthyretin is a protein with a molecular mass of approximately 55 kDa. The liver primarily synthesizes prealbumin and it is present in the bloodstream. Functionally prealbumin transports thyroxine and retinol-binding protein-retinol complex facilitating the distribution of these molecules to target tissues. As such it plays an integral role in maintaining retinol and thyroid hormone homeostasis.
Biological function summary

Prealbumin interacts with retinol-binding protein to form a complex essential for vitamin A transportation. This complex prevents renal filtration of retinol-binding protein thereby conserving vitamin A in circulation. The protein's role extends beyond transport as it influences neurophysiological processes due to its ability to bind thyroid hormones and affect gene expression related to metabolism. Prealbumin is primarily a part of the thyroxine-transferring complex reinforcing its critical position in hormonal and vitamin dynamics.

Pathways

Prealbumin's role in the thyroxine-binding globulin pathway highlights its importance in the endocrine system. Another pathway where prealbumin contributes significantly is the vitamin A metabolic pathway. In these pathways prealbumin maintains functional relationships with proteins like retinol-binding protein and thyroxine-binding globulin which jointly modulate thyroid hormone transport and vitamin A dynamics across cellular membranes.

Prealbumin directly associates with familial amyloid polyneuropathy and malnutrition. Familial amyloid polyneuropathy involves the deposition of prealbumin-derived amyloid fibrils in peripheral nerves impacting neuron function. In malnutrition decreased prealbumin levels serve as a biomarker reflecting poor nutritional status. Clinically prealbumin's relation to retinol-binding protein and thyroid hormone levels facilitates its use in diagnosing and monitoring these conditions.

Product protocols

For this product, it's our understanding that no specific protocols are required. You can visit:

Target data

Thyroid hormone-binding protein. Probably transports thyroxine from the bloodstream to the brain.
See full target information TTR

Publications (1)

Recent publications for all applications. Explore the full list and refine your search

Acta pharmaceutica Sinica. B 14:4544-4559 PubMed39525574

2024

Choroid plexus CCL2‒CCR2 signaling orchestrates macrophage recruitment and cerebrospinal fluid hypersecretion in hydrocephalus.

Applications

Unspecified application

Species

Unspecified reactive species

Qiguang Wang,Fei Liu,Yue Li,Huan Zhang,Xin Qi,Ke Wu,Yi Zhang,Shenglan You,Wenke Liu,Xuhui Hui,Hanmei Li,Lei Zhu,Huile Gao,Jian Cheng
View all publications

Product promise

We are committed to supporting your work with high-quality reagents, and we're here for you every step of the way. In the unlikely event that one of our products does not perform as expected, you're protected by our Product Promise.
For full details, please see our Terms & Conditions

Please note: All products are 'FOR RESEARCH USE ONLY. NOT FOR USE IN DIAGNOSTIC OR THERAPEUTIC PROCEDURES'.

For licensing inquiries, please contact partnerships@abcam.com