JavaScript is disabled in your browser. Please enable JavaScript to view this website.
AB92469

Anti-Prealbumin antibody [EPR3219]

  • BOND RX™ Validated
  • 20ul selling size
  • RabMAb
  • Recombinant
  • What is this?

5

(1 Review)

|

(6 Publications)

Anti-Prealbumin antibody [EPR3219] (ab92469) is a rabbit monoclonal antibody detecting Prealbumin in Western Blot, IHC-P. Suitable for Human.

- Biophysical QC for unrivalled batch-batch consistency
- Trusted since 2010

View Alternative Names

PALB, TTR, Transthyretin, ATTR, Prealbumin, TBPA

6 Images
Immunohistochemistry (Formalin/PFA-fixed paraffin-embedded sections) - Anti-Prealbumin antibody [EPR3219] (AB92469)
  • IHC-P

Unknown

Immunohistochemistry (Formalin/PFA-fixed paraffin-embedded sections) - Anti-Prealbumin antibody [EPR3219] (AB92469)

ab92469 (unpurified), at a 1/100 dilution, staining Prealbumin in paraffin embedded Human liver tissue by Immunohistochemistry. Heat mediated antigen retrieval was performed before commencing with IHC staining protocol.

Immunohistochemistry (Formalin/PFA-fixed paraffin-embedded sections) - Anti-Prealbumin antibody [EPR3219] (AB92469)
  • IHC-P

Unknown

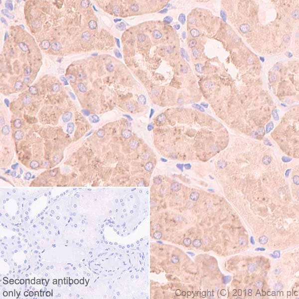
Immunohistochemistry (Formalin/PFA-fixed paraffin-embedded sections) - Anti-Prealbumin antibody [EPR3219] (AB92469)

Immunohistochemistry (Formalin/PFA-fixed paraffin-embedded sections) analysis of Human kidney tissue sections labeling Prealbumin with purified ab92469 at 1/50 dilution (2.04 μg/ml). Heat mediated antigen retrieval was performed using ab93684 (Tris/EDTA buffer, pH 9.0). ImmunoHistoProbe one step HRP Polymer (ready to use) was used as the secondary antibody. Negative control : PBS instead of the primary antibody. Hematoxylin was used as a counterstain.

Immunohistochemistry (Formalin/PFA-fixed paraffin-embedded sections) - Anti-Prealbumin antibody [EPR3219] (AB92469)
  • IHC-P

Supplier Data

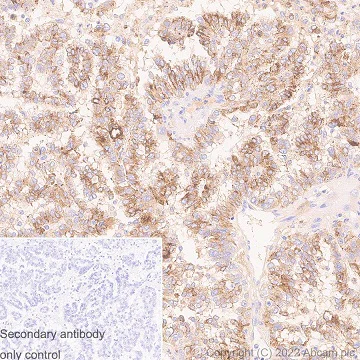
Immunohistochemistry (Formalin/PFA-fixed paraffin-embedded sections) - Anti-Prealbumin antibody [EPR3219] (AB92469)

Immunohistochemistry analysis of paraffin-embedded Human choroid plexus papillary carcinoma tissue sections labelling Prealbumin with ab92469 at 1/1000 dilution. The section was incubated with ab92469 for 30 mins at room temperature. Ready to use LeicaDS9800 (Bond™ Polymer Refine Detection) was used as the secondary antibody. Sections were counterstained with Hematoxylin. Heat mediated antigen retrieval using Bond™ Epitope Retrieval Solution 2 (pH 9.0) for 20 minutes.
Positive staining on human choroid plexus papillary carcinoma tissue. The immunostaining was performed on a Leica Biosystems BOND® RX instrument.

Immunohistochemistry (Formalin/PFA-fixed paraffin-embedded sections) - Anti-Prealbumin antibody [EPR3219] (AB92469)
  • IHC-P

Supplier Data

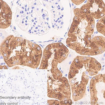
Immunohistochemistry (Formalin/PFA-fixed paraffin-embedded sections) - Anti-Prealbumin antibody [EPR3219] (AB92469)

Immunohistochemistry analysis of paraffin-embedded Human kidney tissue sections labelling Prealbumin with ab92469 at 1/1000 dilution. The section was incubated with ab92469 for 30 mins at room temperature. Ready to use LeicaDS9800 (Bond™ Polymer Refine Detection) was used as the secondary antibody. Sections were counterstained with Hematoxylin. Heat mediated antigen retrieval using Bond™ Epitope Retrieval Solution 2 (pH 9.0) for 20 minutes.
Positive staining on human kidney tissue. The immunostaining was performed on a Leica Biosystems BOND® RX instrument.

Western blot - Anti-Prealbumin antibody [EPR3219] (AB92469)
  • WB

Unknown

Western blot - Anti-Prealbumin antibody [EPR3219] (AB92469)

All lanes:

Western blot - Anti-Prealbumin antibody [EPR3219] (ab92469) at 1/1000 dilution

Lane 1:

Human plasma lysate at 10 µg

Lane 2:

Human placenta lysate at 10 µg

Secondary

All lanes:

HRP labelled goat anti-rabbit IgG at 1/2000 dilution

Predicted band size: 15 kDa

false

Western blot - Anti-Prealbumin antibody [EPR3219] (AB92469)
  • WB

Lab

Western blot - Anti-Prealbumin antibody [EPR3219] (AB92469)

All lanes:

Western blot - Anti-Prealbumin antibody [EPR3219] (ab92469) at 1/1000 dilution

Lane 1:

Human plasma lysates at 15 µg

Lane 2:

Human placenta lysates at 15 µg

Secondary

All lanes:

Goat Anti-Rabbit IgG (HRP) with minimal cross-reactivity with human IgG at 1/2000 dilution

Predicted band size: 15 kDa

Observed band size: 16 kDa

false

Key facts

Host species

Rabbit

Clonality

Monoclonal

Clone number

EPR3219

Isotype

IgG

Carrier free

No

Reacts with

Human

Applications

WB, IHC-P

applications

Immunogen

The exact immunogen used to generate this antibody is proprietary information.

Reactivity data

{ "title": "Reactivity Data", "filters": { "stats": ["", "Species", "Dilution Info", "Notes"], "tabs": { "all-applications": {"fullname" : "All Applications", "shortname": "All Applications"}, "FlowCyt" : {"fullname" : "Flow Cytometry", "shortname":"Flow Cyt"}, "WB" : {"fullname" : "Western blot", "shortname":"WB"}, "IHCP" : {"fullname" : "Immunohistochemistry (Formalin/PFA-fixed paraffin-embedded sections)", "shortname":"IHC-P"} }, "product-promise": { "all": "all", "testedAndGuaranteed": "tested", "guaranteed": "expected", "predicted": "predicted", "notRecommended": "not-recommended" } }, "values": { "Human": { "FlowCyt-species-checked": "notRecommended", "FlowCyt-species-dilution-info": "1/80", "FlowCyt-species-notes": "<p><a href='/en-us/products/primary-antibodies/rabbit-igg-monoclonal-epr25a-isotype-control-ab172730'>ab172730</a> - Rabbit monoclonal IgG, is suitable for use as an isotype control with this antibody.</p>", "WB-species-checked": "testedAndGuaranteed", "WB-species-dilution-info": "1/1000 - 1/5000", "WB-species-notes": "<p></p>", "IHCP-species-checked": "testedAndGuaranteed", "IHCP-species-dilution-info": "1/50 - 1/1000", "IHCP-species-notes": "<p>HRP/AP polymerized antibody is recommended for use as a secondary antibody.</p> Perform heat-mediated antigen retrieval with Tris/EDTA buffer pH 9.0 before commencing with IHC staining protocol." }, "Mouse": { "FlowCyt-species-checked": "notRecommended", "FlowCyt-species-dilution-info": "", "FlowCyt-species-notes": "", "WB-species-checked": "notRecommended", "WB-species-dilution-info": "1/1000 - 1/5000", "WB-species-notes": "<p></p>", "IHCP-species-checked": "notRecommended", "IHCP-species-dilution-info": "", "IHCP-species-notes": "" } } }

Product details

What is this antibody validated in?
Anti-Prealbumin antibody [EPR3219] (ab92469) is a rabbit recombinant monoclonal antibody and is validated for use in Western Blot (WB), Immunohistochemistry (IHC-P) in Human samples.

What is the molecular weight of Prealbumin?
Anti-Prealbumin [EPR3219] (ab92469) specifically detects a band for Prealbumin (UniProt: P02766) at a molecular weight of 16kDa.

Trial sizes available!
Test your antibody or perform pre-screening before committing to a larger quantity. Sold in 10µl. Discover our selection of trial-size antibodies.

Other related products
We have a range of other formats of antibody clone [EPR3219] also available for your convenience: ab92469, Carrier free - ab239915, Alexa Fluor® 488 - ab311057, Alexa Fluor® 647 - ab311182, Alexa Fluor® 594 - ab311838, Alexa Fluor® 568 - ab313121, Alexa Fluor® 555 - ab313314, Alexa Fluor® 750 - ab321757

Species reactivity
Mouse, Rat: We have preliminary internal testing data to indicate this antibody may not react with these species.
Please contact us for more information.

Patented technology
Our RabMAb® technology is a patented hybridoma-based technology for making rabbit monoclonal antibodies. For details on our patents, please refer to RabMAb® patents.

What are the advantages of a recombinant monoclonal antibody?
This product is a recombinant monoclonal antibody, which offers several advantages including:

  • - High batch-to-batch consistency and reproducibility
  • - Improved sensitivity and specificity
  • - Long-term security of supply
  • - Animal-free batch production

For more information, read more on recombinant antibodies.

Properties and storage information

Form
Liquid
Purification technique
Affinity purification Protein A
Storage buffer
pH: 7.2 - 7.4 Preservative: 0.01% Sodium azide Constituents: PBS, 40% Glycerol (glycerin, glycerine), 0.05% BSA
Shipped at conditions
Blue Ice
Appropriate short-term storage duration
1-2 weeks
Appropriate short-term storage conditions
+4°C
Appropriate long-term storage conditions
-20°C
Aliquoting information
Upon delivery aliquot
Storage information
Avoid freeze / thaw cycle

Supplementary information

This supplementary information is collated from multiple sources and compiled automatically.

Prealbumin also known as transthyretin is a protein with a molecular mass of approximately 55 kDa. The liver primarily synthesizes prealbumin and it is present in the bloodstream. Functionally prealbumin transports thyroxine and retinol-binding protein-retinol complex facilitating the distribution of these molecules to target tissues. As such it plays an integral role in maintaining retinol and thyroid hormone homeostasis.
Biological function summary

Prealbumin interacts with retinol-binding protein to form a complex essential for vitamin A transportation. This complex prevents renal filtration of retinol-binding protein thereby conserving vitamin A in circulation. The protein's role extends beyond transport as it influences neurophysiological processes due to its ability to bind thyroid hormones and affect gene expression related to metabolism. Prealbumin is primarily a part of the thyroxine-transferring complex reinforcing its critical position in hormonal and vitamin dynamics.

Pathways

Prealbumin's role in the thyroxine-binding globulin pathway highlights its importance in the endocrine system. Another pathway where prealbumin contributes significantly is the vitamin A metabolic pathway. In these pathways prealbumin maintains functional relationships with proteins like retinol-binding protein and thyroxine-binding globulin which jointly modulate thyroid hormone transport and vitamin A dynamics across cellular membranes.

Prealbumin directly associates with familial amyloid polyneuropathy and malnutrition. Familial amyloid polyneuropathy involves the deposition of prealbumin-derived amyloid fibrils in peripheral nerves impacting neuron function. In malnutrition decreased prealbumin levels serve as a biomarker reflecting poor nutritional status. Clinically prealbumin's relation to retinol-binding protein and thyroid hormone levels facilitates its use in diagnosing and monitoring these conditions.

Product protocols

For this product, it's our understanding that no specific protocols are required. You can visit:

Target data

Thyroid hormone-binding protein. Probably transports thyroxine from the bloodstream to the brain.
See full target information TTR

Publications (6)

Recent publications for all applications. Explore the full list and refine your search

Nature communications 12:7142 PubMed34880251

2021

Growth differentiation factor 1-induced tumour plasticity provides a therapeutic window for immunotherapy in hepatocellular carcinoma.

Applications

Unspecified application

Species

Unspecified reactive species

Wei Cheng,Hao-Long Li,Shao-Yan Xi,Xiao-Feng Zhang,Yun Zhu, Le Xing,Yan-Xuan Mo,Mei-Mei Li,Fan-En Kong,Wen-Jie Zhu,Xiao-Gang Chen,Hui-Qing Cui,Zhi-Ming Cao,Yuan-Feng Gong,Yun-Qiang Tang,Yan Zhang,Xin-Yuan Guan,Ning-Fang Ma,Ming Liu

Amyloid : the international journal of experimenta :1-9 PubMed33554665

2021

Clinicopathological features of clinically undiagnosed sporadic transthyretin cardiac amyloidosis: a forensic autopsy-based series.

Applications

Unspecified application

Species

Unspecified reactive species

Shojiro Ichimata,Yukiko Hata,Keiichi Hirono,Yoshiaki Yamaguchi,Naoki Nishida

Cell stem cell 28:217-229.e7 PubMed33545080

2021

Preclinical Efficacy and Safety of a Human Embryonic Stem Cell-Derived Midbrain Dopamine Progenitor Product, MSK-DA01.

Applications

Unspecified application

Species

Unspecified reactive species

Jinghua Piao,Susan Zabierowski,Brittany N Dubose,Ellen J Hill,Monalisa Navare,Nidia Claros,Siera Rosen,Kiran Ramnarine,Callie Horn,Craig Fredrickson,Karen Wong,Brent Safford,Sonja Kriks,Abderrahman El Maarouf,Urs Rutishauser,Claire Henchcliffe,Yongzeng Wang,Isabelle Riviere,Shannon Mann,Vladimir Bermudez,Stefan Irion,Lorenz Studer,Mark Tomishima,Viviane Tabar

Clinical proteomics 16:33 PubMed31384238

2019

iTRAQ plasma proteomics analysis for candidate biomarkers of type 2 incipient diabetic nephropathy.

Applications

Unspecified application

Species

Unspecified reactive species

Hongmei Lu,Shaodong Deng,Minghui Zheng,Kunhua Hu

Proteomics. Clinical applications 13:e1700153 PubMed29999587

2018

Analysis of Differentially Expressed Proteins Involved in Autoimmune Cirrhosis and Normal Serum by iTRAQ Proteomics.

Applications

Unspecified application

Species

Unspecified reactive species

Zheng Minghui,Hu Kunhua,Bao Yunwen,Lu Hongmei,Li Jing,Wu Shaowen,Sun Longqiaozi,Duan Chaohui

BMC neuroscience 16:24 PubMed25896789

2015

Expression and cellular localization of hepcidin mRNA and protein in normal rat brain.

Applications

WB

Species

Unspecified reactive species

Ruma Raha-Chowdhury,Animesh Alexander Raha,Serhiy Forostyak,Jing-Wei Zhao,Simon Russell William Stott,Adrian Bomford
View all publications

Product promise

We are committed to supporting your work with high-quality reagents, and we're here for you every step of the way. In the unlikely event that one of our products does not perform as expected, you're protected by our Product Promise.
For full details, please see our Terms & Conditions

Please note: All products are 'FOR RESEARCH USE ONLY. NOT FOR USE IN DIAGNOSTIC OR THERAPEUTIC PROCEDURES'.

For licensing inquiries, please contact partnerships@abcam.com