JavaScript is disabled in your browser. Please enable JavaScript to view this website.
AB239915

Anti-Prealbumin antibody [EPR3219] - BSA and Azide free

Be the first to review this product! Submit a review

|

(1 Publication)

Rabbit Recombinant Monoclonal Prealbumin antibody. Carrier free. Suitable for IHC-P, WB and reacts with Human samples. Cited in 1 publication.

View Alternative Names

PALB, TTR, Transthyretin, ATTR, Prealbumin, TBPA

4 Images
Immunohistochemistry (Formalin/PFA-fixed paraffin-embedded sections) - Anti-Prealbumin antibody [EPR3219] - BSA and Azide free (AB239915)
  • IHC-P

Unknown

Immunohistochemistry (Formalin/PFA-fixed paraffin-embedded sections) - Anti-Prealbumin antibody [EPR3219] - BSA and Azide free (AB239915)

Immunohistochemistry (Formalin/PFA-fixed paraffin-embedded sections) analysis of Human kidney tissue sections labeling Prealbumin with purified ab92469 at 1/50 dilution (2.04 μg/ml). Heat mediated antigen retrieval was performed using ab93684 (Tris/EDTA buffer, pH 9.0). ImmunoHistoProbe one step HRP Polymer (ready to use) was used as the secondary antibody. Negative control : PBS instead of the primary antibody. Hematoxylin was used as a counterstain.

This data was developed using the same antibody clone in a different buffer formulation containing PBS, BSA, glycerol, and sodium azide (ab92469).

Immunohistochemistry (Formalin/PFA-fixed paraffin-embedded sections) - Anti-Prealbumin antibody [EPR3219] - BSA and Azide free (AB239915)
  • IHC-P

Supplier Data

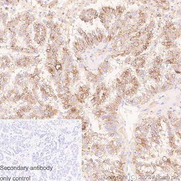
Immunohistochemistry (Formalin/PFA-fixed paraffin-embedded sections) - Anti-Prealbumin antibody [EPR3219] - BSA and Azide free (AB239915)

Immunohistochemistry analysis of paraffin-embedded Human choroid plexus papillary carcinoma tissue sections labelling Prealbumin with ab92469 at 1/1000 dilution. The section was incubated with ab92469 for 30 mins at room temperature. Ready to use LeicaDS9800 (Bond™ Polymer Refine Detection) was used as the secondary antibody. Sections were counterstained with Hematoxylin. Heat mediated antigen retrieval using Bond™ Epitope Retrieval Solution 2 (pH 9.0) for 20 minutes.
Positive staining on human choroid plexus papillary carcinoma tissue. The immunostaining was performed on a Leica Biosystems BOND® RX instrument.
This data was developed using the same antibody clone in a different buffer formulation containing PBS, BSA, glycerol, and sodium azide (ab92469).

Immunohistochemistry (Formalin/PFA-fixed paraffin-embedded sections) - Anti-Prealbumin antibody [EPR3219] - BSA and Azide free (AB239915)
  • IHC-P

Supplier Data

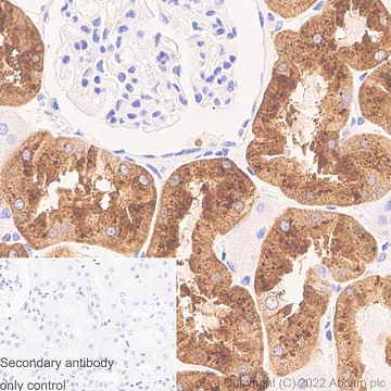
Immunohistochemistry (Formalin/PFA-fixed paraffin-embedded sections) - Anti-Prealbumin antibody [EPR3219] - BSA and Azide free (AB239915)

Immunohistochemistry analysis of paraffin-embedded Human kidney tissue sections labelling Prealbumin with ab92469 at 1/1000 dilution. The section was incubated with ab92469 for 30 mins at room temperature. Ready to use LeicaDS9800 (Bond™ Polymer Refine Detection) was used as the secondary antibody. Sections were counterstained with Hematoxylin. Heat mediated antigen retrieval using Bond™ Epitope Retrieval Solution 2 (pH 9.0) for 20 minutes.
Positive staining on human kidney tissue. The immunostaining was performed on a Leica Biosystems BOND® RX instrument.
This data was developed using the same antibody clone in a different buffer formulation containing PBS, BSA, glycerol, and sodium azide (ab92469).

Immunohistochemistry (Formalin/PFA-fixed paraffin-embedded sections) - Anti-Prealbumin antibody [EPR3219] - BSA and Azide free (AB239915)
  • IHC-P

Unknown

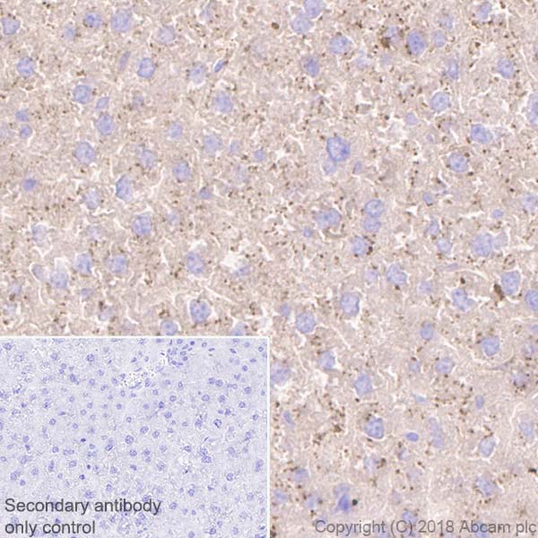
Immunohistochemistry (Formalin/PFA-fixed paraffin-embedded sections) - Anti-Prealbumin antibody [EPR3219] - BSA and Azide free (AB239915)

ab92469 (unpurified), at a 1/100 dilution, staining Prealbumin in paraffin embedded Human liver tissue by Immunohistochemistry.

This data was developed using the same antibody clone in a different buffer formulation containing PBS, BSA, glycerol, and sodium azide (ab92469).

Heat mediated antigen retrieval was performed before commencing with IHC staining protocol.

Key facts

Host species

Rabbit

Clonality

Monoclonal

Clone number

EPR3219

Isotype

IgG

Carrier free

Yes

Reacts with

Human

Applications

WB, IHC-P

applications

Immunogen

The exact immunogen used to generate this antibody is proprietary information.

Reactivity data

{ "title": "Reactivity Data", "filters": { "stats": ["", "Species", "Dilution Info", "Notes"], "tabs": { "all-applications": {"fullname" : "All Applications", "shortname": "All Applications"}, "IHCP" : {"fullname" : "Immunohistochemistry (Formalin/PFA-fixed paraffin-embedded sections)", "shortname":"IHC-P"}, "FlowCyt" : {"fullname" : "Flow Cytometry", "shortname":"Flow Cyt"}, "WB" : {"fullname" : "Western blot", "shortname":"WB"} }, "product-promise": { "all": "all", "testedAndGuaranteed": "tested", "guaranteed": "expected", "predicted": "predicted", "notRecommended": "not-recommended" } }, "values": { "Human": { "IHCP-species-checked": "testedAndGuaranteed", "IHCP-species-dilution-info": "", "IHCP-species-notes": "<p>HRP/AP polymerized antibody is recommended for use as a secondary antibody.</p>", "FlowCyt-species-checked": "notRecommended", "FlowCyt-species-dilution-info": "", "FlowCyt-species-notes": "<p><a href='/en-us/products/primary-antibodies/rabbit-igg-monoclonal-epr25a-isotype-control-low-endotoxin-azide-free-ab199376'>ab199376</a> - Rabbit monoclonal IgG, is suitable for use as an isotype control with this antibody.</p>", "WB-species-checked": "testedAndGuaranteed", "WB-species-dilution-info": "", "WB-species-notes": "<p></p>" } } }

Product details

ab239915 is the carrier-free version of ab92469.

Species reactivity
Mouse, Rat: We have preliminary internal testing data to indicate this antibody may not react with these species.
Please contact us for more information.

Patented technology
Our RabMAb® technology is a patented hybridoma-based technology for making rabbit monoclonal antibodies. For details on our patents, please refer to RabMAb® patents.

What are the advantages of a recombinant monoclonal antibody?
This product is a recombinant monoclonal antibody, which offers several advantages including:

  • - High batch-to-batch consistency and reproducibility
  • - Improved sensitivity and specificity
  • - Long-term security of supply
  • - Animal-free batch production

For more information, read more on recombinant antibodies.

Conjugation ready
Our carrier-free antibodies are typically supplied in a PBS-only formulation, purified and free of BSA, sodium azide and glycerol. This conjugation-ready format is designed for use with fluorochromes, metal isotopes, oligonucleotides, and enzymes, which makes them ideal for antibody labelling, functional and cell-based assays, flow-based assays (e.g. mass cytometry) and Multiplex Imaging applications.

Use our conjugation kits for antibody conjugates that are ready-to-use in as little as 20 minutes with 1 minute hands-on-time and 100% antibody recovery: available for fluorescent dyes, HRP, biotin and gold.

Compatibility
This product is compatible with the Maxpar® Antibody Labeling Kit from Fluidigm, without the need for antibody preparation. Maxpar® is a trademark of Fluidigm Canada Inc.

Properties and storage information

Form
Liquid
Purification technique
Affinity purification Protein A
Storage buffer
pH: 7.2 - 7.4 Constituents: PBS
Shipped at conditions
Blue Ice
Appropriate short-term storage conditions
+4°C
Appropriate long-term storage conditions
+4°C
Storage information
Do Not Freeze

Supplementary information

This supplementary information is collated from multiple sources and compiled automatically.

Prealbumin also known as transthyretin is a protein with a molecular mass of approximately 55 kDa. The liver primarily synthesizes prealbumin and it is present in the bloodstream. Functionally prealbumin transports thyroxine and retinol-binding protein-retinol complex facilitating the distribution of these molecules to target tissues. As such it plays an integral role in maintaining retinol and thyroid hormone homeostasis.
Biological function summary

Prealbumin interacts with retinol-binding protein to form a complex essential for vitamin A transportation. This complex prevents renal filtration of retinol-binding protein thereby conserving vitamin A in circulation. The protein's role extends beyond transport as it influences neurophysiological processes due to its ability to bind thyroid hormones and affect gene expression related to metabolism. Prealbumin is primarily a part of the thyroxine-transferring complex reinforcing its critical position in hormonal and vitamin dynamics.

Pathways

Prealbumin's role in the thyroxine-binding globulin pathway highlights its importance in the endocrine system. Another pathway where prealbumin contributes significantly is the vitamin A metabolic pathway. In these pathways prealbumin maintains functional relationships with proteins like retinol-binding protein and thyroxine-binding globulin which jointly modulate thyroid hormone transport and vitamin A dynamics across cellular membranes.

Prealbumin directly associates with familial amyloid polyneuropathy and malnutrition. Familial amyloid polyneuropathy involves the deposition of prealbumin-derived amyloid fibrils in peripheral nerves impacting neuron function. In malnutrition decreased prealbumin levels serve as a biomarker reflecting poor nutritional status. Clinically prealbumin's relation to retinol-binding protein and thyroid hormone levels facilitates its use in diagnosing and monitoring these conditions.

Product protocols

For this product, it's our understanding that no specific protocols are required. You can visit:

Target data

Thyroid hormone-binding protein. Probably transports thyroxine from the bloodstream to the brain.
See full target information TTR

Publications (1)

Recent publications for all applications. Explore the full list and refine your search

Oncology reports 46: PubMed34528699

2021

Quantitative global proteome and phosphorylome analyses reveal potential biomarkers in kidney cancer.

Applications

Unspecified application

Species

Unspecified reactive species

Liwei Xu,Zeyi Lu,Shicheng Yu,Gonghui Li,Yuanlei Chen
View all publications

Product promise

We are committed to supporting your work with high-quality reagents, and we're here for you every step of the way. In the unlikely event that one of our products does not perform as expected, you're protected by our Product Promise.
For full details, please see our Terms & Conditions

Please note: All products are 'FOR RESEARCH USE ONLY. NOT FOR USE IN DIAGNOSTIC OR THERAPEUTIC PROCEDURES'.

For licensing inquiries, please contact partnerships@abcam.com