JavaScript is disabled in your browser. Please enable JavaScript to view this website.
AB216400

Anti-Presenilin 1/PS-1 antibody

Be the first to review this product! Submit a review

|

(1 Publication)

Rabbit Polyclonal Presenilin 1/PS-1 antibody. Suitable for WB, IHC-P and reacts with Human, Rat samples. Cited in 1 publication. Immunogen corresponding to Synthetic Peptide within Mouse Psen1 aa 1-50 conjugated to Keyhole Limpet Haemocyanin.

View Alternative Names

AD3, PS1, PSNL1, PSEN1, Presenilin-1, PS-1, Protein S182

2 Images
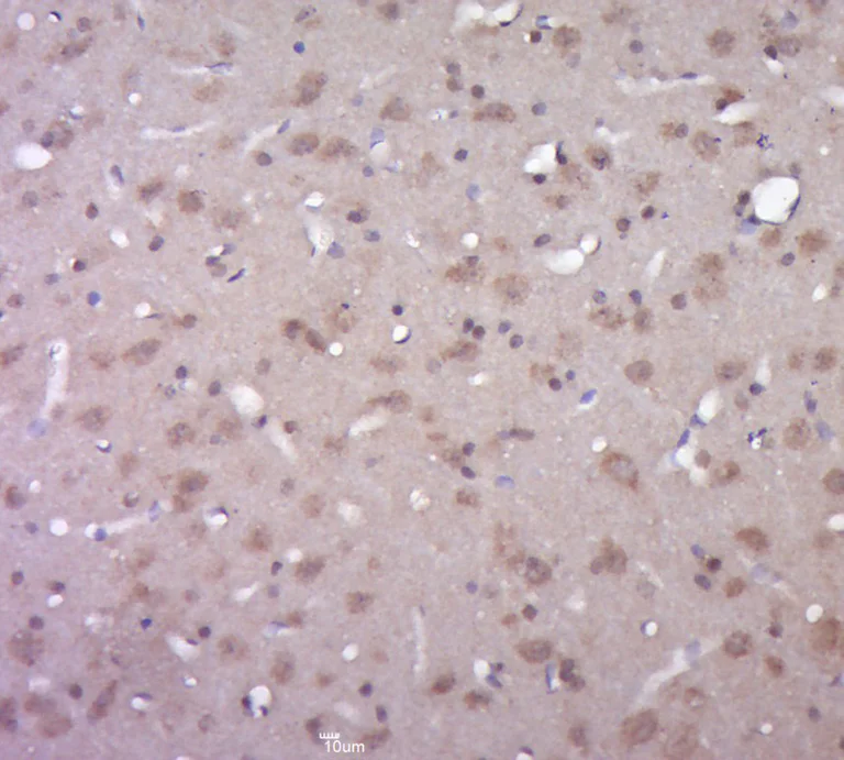
Immunohistochemistry (Formalin/PFA-fixed paraffin-embedded sections) - Anti-Presenilin 1/PS-1 antibody (AB216400)
  • IHC-P

Supplier Data

Immunohistochemistry (Formalin/PFA-fixed paraffin-embedded sections) - Anti-Presenilin 1/PS-1 antibody (AB216400)

Immunohistochemistry analysis of rat brain tissue labeling Presenilin 1/PS-1 with ab216400 at 1/400 dilution.

Western blot - Anti-Presenilin 1/PS-1 antibody (AB216400)
  • WB

Supplier Data

Western blot - Anti-Presenilin 1/PS-1 antibody (AB216400)

Primary incubation : overnight at 4°C.

All lanes:

Western blot - Anti-Presenilin 1/PS-1 antibody (ab216400) at 1/300 dilution

All lanes:

K562 cell lysate

Predicted band size: 53 kDa

false

Key facts

Host species

Rabbit

Clonality

Polyclonal

Isotype

IgG

Carrier free

No

Reacts with

Rat, Human

Applications

IHC-P, WB

applications

Immunogen

Synthetic Peptide within Mouse Psen1 aa 1-50 conjugated to Keyhole Limpet Haemocyanin. The exact immunogen used to generate this antibody is proprietary information.

P49769

Reactivity data

{ "title": "Reactivity Data", "filters": { "stats": ["", "Species", "Dilution Info", "Notes"], "tabs": { "all-applications": {"fullname" : "All Applications", "shortname": "All Applications"}, "WB" : {"fullname" : "Western blot", "shortname":"WB"}, "IHCP" : {"fullname" : "Immunohistochemistry (Formalin/PFA-fixed paraffin-embedded sections)", "shortname":"IHC-P"} }, "product-promise": { "all": "all", "testedAndGuaranteed": "tested", "guaranteed": "expected", "predicted": "predicted", "notRecommended": "not-recommended" } }, "values": { "Human": { "WB-species-checked": "testedAndGuaranteed", "WB-species-dilution-info": "1/100 - 1/1000", "WB-species-notes": "<p></p>", "IHCP-species-checked": "guaranteed", "IHCP-species-dilution-info": "", "IHCP-species-notes": "" }, "Mouse": { "WB-species-checked": "predicted", "WB-species-dilution-info": "", "WB-species-notes": "", "IHCP-species-checked": "predicted", "IHCP-species-dilution-info": "", "IHCP-species-notes": "" }, "Rat": { "WB-species-checked": "guaranteed", "WB-species-dilution-info": "", "WB-species-notes": "", "IHCP-species-checked": "testedAndGuaranteed", "IHCP-species-dilution-info": "1/400", "IHCP-species-notes": "<p></p>" } } }

Properties and storage information

Form
Liquid
Purification technique
Affinity purification Protein A
Storage buffer
pH: 7.4 Preservative: 0.02% Proclin 300 Constituents: 50% Glycerol (glycerin, glycerine), 48.98% TBS, 1X, 1% BSA
Shipped at conditions
Blue Ice
Appropriate short-term storage duration
1-2 weeks
Appropriate short-term storage conditions
+4°C
Appropriate long-term storage conditions
-20°C
Aliquoting information
Upon delivery aliquot
Storage information
Avoid freeze / thaw cycle

Supplementary information

This supplementary information is collated from multiple sources and compiled automatically.

Presenilin 1 often referred to as PS-1 is a protein with an important role in the function of gamma-secretase a multi-subunit protease complex. It weighs approximately 50 kDa and is widely expressed in different tissues especially in the brain. Presenilin 1 functions as part of the gamma-secretase complex which is responsible for processing several type I transmembrane proteins. This protein undergoes endoproteolytic processing to form an N-terminal and C-terminal fragment which are pivotal for its gamma-secretase activity.
Biological function summary

Presenilin 1 plays a fundamental role in the cleavage of amyloid precursor protein (APP) within the transmembrane domain. This cleavage results in the formation of amyloid-beta peptides which are of significant interest in neurobiology. Presenilin 1 is an integral component of the gamma-secretase complex that includes nicastrin APH-1 and PEN-2. This complex involvement underlines the enzyme's importance in cell signaling pathways and modulation of synaptic functions. The functionality at the synaptic level is particularly important given its expression pattern and involvement in neural processes.

Pathways

The action of presenilin 1 is closely linked to the Notch signaling pathway and the amyloidogenic pathway. Presenilin 1 facilitates the intramembrane cleavage of the Notch receptor releasing the Notch intracellular domain that translocates to the nucleus and affects gene transcription. The protein's role in processing APP into amyloid-beta peptides links it directly to Alzheimer's disease pathology. The protein Tax also a component of the gamma-secretase complex shows interdependencies in these pathways.

Presenilin 1 holds significant relevance in Alzheimer's disease where mutations in its gene are associated with early-onset familial Alzheimer's. The production of amyloid-beta peptides through presenilin 1's interaction with APP is central to the disease's pathogenesis. Another disorder linked to presenilin 1 is Dilated Cardiomyopathy where presenilin mutations may affect calcium signaling in cardiac cells. In Alzheimer's the interaction between presenilin 1 and the amyloid-beta peptide protein is critical while in cardiac issues it's more about protein misfolding and signaling mishaps.

Product protocols

For this product, it's our understanding that no specific protocols are required. You can visit:

Target data

Catalytic subunit of the gamma-secretase complex, an endoprotease complex that catalyzes the intramembrane cleavage of integral membrane proteins such as Notch receptors and APP (amyloid-beta precursor protein) (PubMed : 10206644, PubMed : 10545183, PubMed : 10593990, PubMed : 10811883, PubMed : 10899933, PubMed : 12679784, PubMed : 12740439, PubMed : 15274632, PubMed : 20460383, PubMed : 25043039, PubMed : 26280335, PubMed : 28269784, PubMed : 30598546, PubMed : 30630874). Requires the presence of the other members of the gamma-secretase complex for protease activity (PubMed : 15274632, PubMed : 25043039, PubMed : 26280335, PubMed : 30598546, PubMed : 30630874). Plays a role in Notch and Wnt signaling cascades and regulation of downstream processes via its role in processing key regulatory proteins, and by regulating cytosolic CTNNB1 levels (PubMed : 10593990, PubMed : 10811883, PubMed : 10899933, PubMed : 9738936). Stimulates cell-cell adhesion via its interaction with CDH1; this stabilizes the complexes between CDH1 (E-cadherin) and its interaction partners CTNNB1 (beta-catenin), CTNND1 and JUP (gamma-catenin) (PubMed : 11953314). Under conditions of apoptosis or calcium influx, cleaves CDH1 (PubMed : 11953314). This promotes the disassembly of the complexes between CDH1 and CTNND1, JUP and CTNNB1, increases the pool of cytoplasmic CTNNB1, and thereby negatively regulates Wnt signaling (PubMed : 11953314, PubMed : 9738936). Required for normal embryonic brain and skeleton development, and for normal angiogenesis (By similarity). Mediates the proteolytic cleavage of EphB2/CTF1 into EphB2/CTF2 (PubMed : 17428795, PubMed : 28269784). The holoprotein functions as a calcium-leak channel that allows the passive movement of calcium from endoplasmic reticulum to cytosol and is therefore involved in calcium homeostasis (PubMed : 16959576, PubMed : 25394380). Involved in the regulation of neurite outgrowth (PubMed : 15004326, PubMed : 20460383). Is a regulator of presynaptic facilitation, spike transmission and synaptic vesicles replenishment in a process that depends on gamma-secretase activity. It acts through the control of SYT7 presynaptic expression (By similarity).
See full target information PSEN1

Publications (1)

Recent publications for all applications. Explore the full list and refine your search

Frontiers in oncology 12:877147 PubMed35707368

2022

Evaluation of Galanin Expression in Colorectal Cancer: An Immunohistochemical and Transcriptomic Study.

Applications

Unspecified application

Species

Unspecified reactive species

Iman M Talaat,Nada M Yakout,Ahmed S A Soliman,Thenmozhi Venkatachalam,Arya Vinod,Leen Eldohaji,Vidhya Nair,Amal Hareedy,Alaa Kandil,Wael M Abdel-Rahman,Rifat Hamoudi,Maha Saber-Ayad
View all publications

Product promise

We are committed to supporting your work with high-quality reagents, and we're here for you every step of the way. In the unlikely event that one of our products does not perform as expected, you're protected by our Product Promise.
For full details, please see our Terms & Conditions

Please note: All products are 'FOR RESEARCH USE ONLY. NOT FOR USE IN DIAGNOSTIC OR THERAPEUTIC PROCEDURES'.

For licensing inquiries, please contact partnerships@abcam.com