JavaScript is disabled in your browser. Please enable JavaScript to view this website.
AB15456

Anti-Presenilin 1/PS-1 antibody [APS 11]

Be the first to review this product! Submit a review

|

(16 Publications)

Mouse Monoclonal Presenilin 1/PS-1 antibody. Suitable for Flow Cyt, IHC-P, ICC/IF and reacts with Human, Mouse samples. Cited in 16 publications. Immunogen corresponding to Synthetic Peptide within Human PSEN1 aa 1-50.

View Alternative Names

AD3, PS1, PSNL1, PSEN1, Presenilin-1, PS-1, Protein S182

4 Images
Flow Cytometry - Anti-Presenilin 1/PS-1 antibody [APS 11] (AB15456)
  • Flow Cyt

Unknown

Flow Cytometry - Anti-Presenilin 1/PS-1 antibody [APS 11] (AB15456)

Overlay histogram showing HepG2 cells stained with ab15456 (red line). The cells were fixed with 80% methanol (5 min) and then permeabilized with 0.1% PBS-Tween for 20 min. The cells were then incubated in 1x PBS / 10% normal goat serum / 0.3M glycine to block non-specific protein-protein interactions followed by the antibody (ab15456, 1ug/1x106 cells) for 30 min at 22°C. The secondary antibody used was DyLight® 488 goat anti-mouse IgG1 (H+L) (ab96879) at 1/500 dilution for 30 min at 22°C. Isotype control antibody (black line) was Mouse IgG1 [ICIGG1] (ab91353, 2μg/1x106 cells) used under the same conditions. Acquisition of >5,000 events was performed. This antibody gave a positive signal in HepG2 cells fixed with 4% paraformaldehyde (10 min) permeabilized with 0.1% PBS-Tween for 20 min used under the same conditions.

Immunohistochemistry (Formalin/PFA-fixed paraffin-embedded sections) - Anti-Presenilin 1/PS-1 antibody [APS 11] (AB15456)
  • IHC-P

Unknown

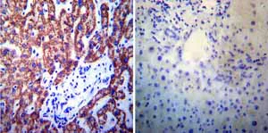
Immunohistochemistry (Formalin/PFA-fixed paraffin-embedded sections) - Anti-Presenilin 1/PS-1 antibody [APS 11] (AB15456)

Immunohistochemistry was performed on normal biopsies of deparaffinized Human liver tissue. To expose target proteins heat induced antigen retrieval was performed using 10mM sodium citrate (pH6.0) buffer microwaved for 8-15 minutes. Following antigen retrieval tissues were blocked in 3% BSA-PBS for 30 minutes at room temperature. Tissues were then probed at a dilution of 1 : 200 with a mouse monoclonal antibody recognizing Presenilin 1 ab15456 or without primary antibody (negative control) overnight at 4°C in a humidified chamber. Tissues were washed extensively with PBST and endogenous peroxidase activity was quenched with a peroxidase suppressor. Detection was performed using a biotin-conjugated secondary antibody and SA-HRP followed by colorimetric detection using DAB. Tissues were counterstained with hematoxylin and prepped for mounting.

Immunocytochemistry/ Immunofluorescence - Anti-Presenilin 1/PS-1 antibody [APS 11] (AB15456)
  • ICC/IF

Unknown

Immunocytochemistry/ Immunofluorescence - Anti-Presenilin 1/PS-1 antibody [APS 11] (AB15456)

Immunofluorescent staining of Presenilin-1/PS1 in mouse fibroblast fixed with methanol, incubated with ab15456 at 0.3 ug/ul of an antibody concentration of 11.2 mg/mL (dilution 1/37). The experiment was performed with transient transfected mouse fibroblast cells.

Immunohistochemistry (Formalin/PFA-fixed paraffin-embedded sections) - Anti-Presenilin 1/PS-1 antibody [APS 11] (AB15456)
  • IHC-P

Unknown

Immunohistochemistry (Formalin/PFA-fixed paraffin-embedded sections) - Anti-Presenilin 1/PS-1 antibody [APS 11] (AB15456)

Immunohistochemistry was performed on normal biopsies of deparaffinized Human brain tissue. To expose target proteins heat induced antigen retrieval was performed using 10mM sodium citrate (pH6.0) buffer microwaved for 8-15 minutes. Following antigen retrieval tissues were blocked in 3% BSA-PBS for 30 minutes at room temperature. Tissues were then probed at a dilution of 1 : 20 with a mouse monoclonal antibody recognizing Presenilin 1 ab15456 or without primary antibody (negative control) overnight at 4°C in a humidified chamber. Tissues were washed extensively with PBST and endogenous peroxidase activity was quenched with a peroxidase suppressor. Detection was performed using a biotin-conjugated secondary antibody and SA-HRP followed by colorimetric detection using DAB. Tissues were counterstained with hematoxylin and prepped for mounting.

Key facts

Host species

Mouse

Clonality

Monoclonal

Clone number

APS 11

Isotype

IgG1

Carrier free

No

Reacts with

Human, Mouse

Applications

ICC/IF, IHC-P, Flow Cyt

applications

Immunogen

Synthetic Peptide within Human PSEN1 aa 1-50. The exact immunogen used to generate this antibody is proprietary information.

P49768

Specificity

No cross-reactivity is seen with presenilin 2. In formalin-fixed, paraffin embedded sections of human brain, this antibody showed strong staining of both the plaque core and dystrophic neurites. By Western blot, this antibody detects an ~28 kDa protein representing PS1 N-terminus cleavage product in ST15 cell lysate transfected with human PS1.

Reactivity data

{ "title": "Reactivity Data", "filters": { "stats": ["", "Species", "Dilution Info", "Notes"], "tabs": { "all-applications": {"fullname" : "All Applications", "shortname": "All Applications"}, "FlowCyt" : {"fullname" : "Flow Cytometry", "shortname":"Flow Cyt"}, "IHCP" : {"fullname" : "Immunohistochemistry (Formalin/PFA-fixed paraffin-embedded sections)", "shortname":"IHC-P"}, "ICCIF" : {"fullname" : "Immunocytochemistry/ Immunofluorescence", "shortname":"ICC/IF"} }, "product-promise": { "all": "all", "testedAndGuaranteed": "tested", "guaranteed": "expected", "predicted": "predicted", "notRecommended": "not-recommended" } }, "values": { "Human": { "FlowCyt-species-checked": "testedAndGuaranteed", "FlowCyt-species-dilution-info": "1 µg for 10^6 Cells", "FlowCyt-species-notes": "<p><a href='/en-us/products/primary-antibodies/mouse-igg1-kappa-monoclonal-15-6e10a7-isotype-control-ab170190'>ab170190</a> - Mouse monoclonal IgG1, is suitable for use as an isotype control with this antibody.</p>", "IHCP-species-checked": "testedAndGuaranteed", "IHCP-species-dilution-info": "0.75 µg/mL", "IHCP-species-notes": "<p></p>", "ICCIF-species-checked": "guaranteed", "ICCIF-species-dilution-info": "0.75 µg/mL", "ICCIF-species-notes": "<p></p>" }, "Mouse": { "FlowCyt-species-checked": "guaranteed", "FlowCyt-species-dilution-info": "", "FlowCyt-species-notes": "", "IHCP-species-checked": "guaranteed", "IHCP-species-dilution-info": "", "IHCP-species-notes": "", "ICCIF-species-checked": "testedAndGuaranteed", "ICCIF-species-dilution-info": "0.75 µg/mL", "ICCIF-species-notes": "<p></p>" }, "Cow": { "FlowCyt-species-checked": "predicted", "FlowCyt-species-dilution-info": "", "FlowCyt-species-notes": "", "IHCP-species-checked": "predicted", "IHCP-species-dilution-info": "", "IHCP-species-notes": "", "ICCIF-species-checked": "predicted", "ICCIF-species-dilution-info": "", "ICCIF-species-notes": "" }, "Cynomolgus monkey": { "FlowCyt-species-checked": "predicted", "FlowCyt-species-dilution-info": "", "FlowCyt-species-notes": "", "IHCP-species-checked": "predicted", "IHCP-species-dilution-info": "", "IHCP-species-notes": "", "ICCIF-species-checked": "predicted", "ICCIF-species-dilution-info": "", "ICCIF-species-notes": "" }, "Dog": { "FlowCyt-species-checked": "predicted", "FlowCyt-species-dilution-info": "", "FlowCyt-species-notes": "", "IHCP-species-checked": "predicted", "IHCP-species-dilution-info": "", "IHCP-species-notes": "", "ICCIF-species-checked": "predicted", "ICCIF-species-dilution-info": "", "ICCIF-species-notes": "" }, "Primates": { "FlowCyt-species-checked": "predicted", "FlowCyt-species-dilution-info": "", "FlowCyt-species-notes": "", "IHCP-species-checked": "predicted", "IHCP-species-dilution-info": "", "IHCP-species-notes": "", "ICCIF-species-checked": "predicted", "ICCIF-species-dilution-info": "", "ICCIF-species-notes": "" } } }

Properties and storage information

Form
Liquid
Purification technique
Affinity purification Protein G
Storage buffer
Preservative: 0.05% Sodium azide Constituents: 99% PBS, 0.1% BSA
Shipped at conditions
Blue Ice
Appropriate short-term storage duration
1-2 weeks
Appropriate short-term storage conditions
+4°C
Appropriate long-term storage conditions
-20°C
Aliquoting information
Upon delivery aliquot
Storage information
Avoid freeze / thaw cycle

Supplementary information

This supplementary information is collated from multiple sources and compiled automatically.

Presenilin 1 often referred to as PS-1 is a protein with an important role in the function of gamma-secretase a multi-subunit protease complex. It weighs approximately 50 kDa and is widely expressed in different tissues especially in the brain. Presenilin 1 functions as part of the gamma-secretase complex which is responsible for processing several type I transmembrane proteins. This protein undergoes endoproteolytic processing to form an N-terminal and C-terminal fragment which are pivotal for its gamma-secretase activity.
Biological function summary

Presenilin 1 plays a fundamental role in the cleavage of amyloid precursor protein (APP) within the transmembrane domain. This cleavage results in the formation of amyloid-beta peptides which are of significant interest in neurobiology. Presenilin 1 is an integral component of the gamma-secretase complex that includes nicastrin APH-1 and PEN-2. This complex involvement underlines the enzyme's importance in cell signaling pathways and modulation of synaptic functions. The functionality at the synaptic level is particularly important given its expression pattern and involvement in neural processes.

Pathways

The action of presenilin 1 is closely linked to the Notch signaling pathway and the amyloidogenic pathway. Presenilin 1 facilitates the intramembrane cleavage of the Notch receptor releasing the Notch intracellular domain that translocates to the nucleus and affects gene transcription. The protein's role in processing APP into amyloid-beta peptides links it directly to Alzheimer's disease pathology. The protein Tax also a component of the gamma-secretase complex shows interdependencies in these pathways.

Presenilin 1 holds significant relevance in Alzheimer's disease where mutations in its gene are associated with early-onset familial Alzheimer's. The production of amyloid-beta peptides through presenilin 1's interaction with APP is central to the disease's pathogenesis. Another disorder linked to presenilin 1 is Dilated Cardiomyopathy where presenilin mutations may affect calcium signaling in cardiac cells. In Alzheimer's the interaction between presenilin 1 and the amyloid-beta peptide protein is critical while in cardiac issues it's more about protein misfolding and signaling mishaps.

Product protocols

For this product, it's our understanding that no specific protocols are required. You can visit:

Target data

Catalytic subunit of the gamma-secretase complex, an endoprotease complex that catalyzes the intramembrane cleavage of integral membrane proteins such as Notch receptors and APP (amyloid-beta precursor protein) (PubMed : 10206644, PubMed : 10545183, PubMed : 10593990, PubMed : 10811883, PubMed : 10899933, PubMed : 12679784, PubMed : 12740439, PubMed : 15274632, PubMed : 20460383, PubMed : 25043039, PubMed : 26280335, PubMed : 28269784, PubMed : 30598546, PubMed : 30630874). Requires the presence of the other members of the gamma-secretase complex for protease activity (PubMed : 15274632, PubMed : 25043039, PubMed : 26280335, PubMed : 30598546, PubMed : 30630874). Plays a role in Notch and Wnt signaling cascades and regulation of downstream processes via its role in processing key regulatory proteins, and by regulating cytosolic CTNNB1 levels (PubMed : 10593990, PubMed : 10811883, PubMed : 10899933, PubMed : 9738936). Stimulates cell-cell adhesion via its interaction with CDH1; this stabilizes the complexes between CDH1 (E-cadherin) and its interaction partners CTNNB1 (beta-catenin), CTNND1 and JUP (gamma-catenin) (PubMed : 11953314). Under conditions of apoptosis or calcium influx, cleaves CDH1 (PubMed : 11953314). This promotes the disassembly of the complexes between CDH1 and CTNND1, JUP and CTNNB1, increases the pool of cytoplasmic CTNNB1, and thereby negatively regulates Wnt signaling (PubMed : 11953314, PubMed : 9738936). Required for normal embryonic brain and skeleton development, and for normal angiogenesis (By similarity). Mediates the proteolytic cleavage of EphB2/CTF1 into EphB2/CTF2 (PubMed : 17428795, PubMed : 28269784). The holoprotein functions as a calcium-leak channel that allows the passive movement of calcium from endoplasmic reticulum to cytosol and is therefore involved in calcium homeostasis (PubMed : 16959576, PubMed : 25394380). Involved in the regulation of neurite outgrowth (PubMed : 15004326, PubMed : 20460383). Is a regulator of presynaptic facilitation, spike transmission and synaptic vesicles replenishment in a process that depends on gamma-secretase activity. It acts through the control of SYT7 presynaptic expression (By similarity).
See full target information PSEN1

Publications (16)

Recent publications for all applications. Explore the full list and refine your search

Cells 13: PubMed39404364

2024

Glutamate Transporter 1 as a Novel Negative Regulator of Amyloid β.

Applications

Unspecified application

Species

Unspecified reactive species

Priyanka Sinha,Yuliia Turchyna,Shane Patrick Clancy Mitchell,Michael Sadek,Gokce Armagan,Florian Perrin,Masato Maesako,Oksana Berezovska

FASEB journal : official publication of the Federation of American Societies for Experimental Biology 37:e22734 PubMed36583697

2022

ADAM10- and γ-secretase-dependent cleavage of the transmembrane protein PTPRT attenuates neurodegeneration in the mouse model of Alzheimer's disease.

Applications

Unspecified application

Species

Unspecified reactive species

Siling Liu,Zhongyu Zhang,Lianwei Li,Li Yao,Zhanshan Ma,Jiali Li

Molecular therapy. Nucleic acids 28:450-461 PubMed35505961

2022

CRISPR-Cas9 treatment partially restores amyloid-β 42/40 in human fibroblasts with the Alzheimer's disease M146L mutation.

Applications

Unspecified application

Species

Unspecified reactive species

Evangelos Konstantinidis,Agnieszka Molisak,Florian Perrin,Linn Streubel-Gallasch,Sarah Fayad,Daniel Y Kim,Karl Petri,Martin J Aryee,Ximena Aguilar,Bence György,Vilmantas Giedraitis,J Keith Joung,Vikram Pattanayak,Magnus Essand,Anna Erlandsson,Oksana Berezovska,Martin Ingelsson

Journal of applied toxicology : JAT 42:285-294 PubMed34133789

2021

The neuroprotective effects of alpha-lipoic acid on an experimental model of Alzheimer's disease in PC12 cells.

Applications

Unspecified application

Species

Unspecified reactive species

Xinrong Pei,Fangyan Hu,Feiya Luo,Xianglu Huang,Xiaoling Li,Shuxia Xing,Dingxin Long

Frontiers in aging neuroscience 12:556008 PubMed33244298

2020

Manganese Exposure Aggravates β-Amyloid Pathology by Microglial Activation.

Applications

Unspecified application

Species

Unspecified reactive species

Geng Lin,Xinlu Li,Xiaofeng Cheng,Ning Zhao,Wei Zheng

Molecules (Basel, Switzerland) 25: PubMed32429462

2020

Green Tea Seed Isolated Theasaponin E1 Ameliorates AD Promoting Neurotoxic Pathogenesis by Attenuating Aβ Peptide Levels in SweAPP N2a Cells.

Applications

Unspecified application

Species

Unspecified reactive species

Muhammad Imran Khan,Jin Hyuk Shin,Min Yong Kim,Tai Sun Shin,Jong Deog Kim

eLife 8: PubMed31577226

2019

Presenilin/γ-secretase-dependent EphA3 processing mediates axon elongation through non-muscle myosin IIA.

Applications

Unspecified application

Species

Unspecified reactive species

Míriam Javier-Torrent,Sergi Marco,Daniel Rocandio,Maria Pons-Vizcarra,Peter W Janes,Martin Lackmann,Joaquim Egea,Carlos A Saura

EBioMedicine 24:93-101 PubMed28919280

2017

Soluble Gamma-secretase Modulators Attenuate Alzheimer's β-amyloid Pathology and Induce Conformational Changes in Presenilin 1.

Applications

Unspecified application

Species

Unspecified reactive species

Frank Raven,Joseph F Ward,Katarzyna M Zoltowska,Yu Wan,Enjana Bylykbashi,Sean J Miller,Xunuo Shen,Se Hoon Choi,Kevin D Rynearson,Oksana Berezovska,Steven L Wagner,Rudolph E Tanzi,Can Zhang

Molecular neurodegeneration 12:15 PubMed28193235

2017

Dynamic presenilin 1 and synaptotagmin 1 interaction modulates exocytosis and amyloid β production.

Applications

Unspecified application

Species

Unspecified reactive species

Katarzyna Marta Zoltowska,Masato Maesako,Iryna Lushnikova,Shuko Takeda,Laura J Keller,Galina Skibo,Bradley T Hyman,Oksana Berezovska

Neurobiology of aging 49:52-59 PubMed27768960

2016

Anomalies occurring in lipid profiles and protein distribution in frontal cortex lipid rafts in dementia with Lewy bodies disclose neurochemical traits partially shared by Alzheimer's and Parkinson's diseases.

Applications

Unspecified application

Species

Unspecified reactive species

Raquel Marin,Noemí Fabelo,Virginia Martín,Paula Garcia-Esparcia,Isidre Ferrer,David Quinto-Alemany,Mario Díaz
View all publications

Product promise

We are committed to supporting your work with high-quality reagents, and we're here for you every step of the way. In the unlikely event that one of our products does not perform as expected, you're protected by our Product Promise.
For full details, please see our Terms & Conditions

Please note: All products are 'FOR RESEARCH USE ONLY. NOT FOR USE IN DIAGNOSTIC OR THERAPEUTIC PROCEDURES'.

For licensing inquiries, please contact partnerships@abcam.com