JavaScript is disabled in your browser. Please enable JavaScript to view this website.
AB284741

Anti-Presenilin 2/AD5 (phospho S327) antibody [EP2613Y] - BSA and Azide free

Be the first to review this product! Submit a review

|

(0 Publication)

Rabbit Monoclonal Presenilin 2/AD5 phospho S327 antibody. Carrier free. Suitable for Dot, WB and reacts with Human samples.

View Alternative Names

AD4, PS2, PSNL2, STM2, PSEN2, Presenilin-2, PS-2, AD3LP, AD5, E5-1, STM-2

3 Images
Western blot - Anti-Presenilin 2/AD5 (phospho S327) antibody [EP2613Y] - BSA and Azide free (AB284741)
  • WB

Supplier Data

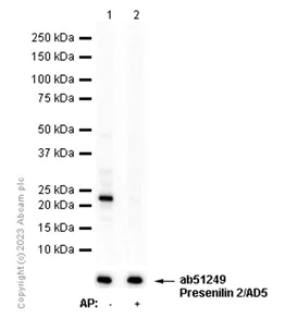
Western blot - Anti-Presenilin 2/AD5 (phospho S327) antibody [EP2613Y] - BSA and Azide free (AB284741)

This data was developed using ab76114, the same antibody clone in a different buffer formulation.   Blocking and diluting buffer and concentration : 5% NFDM/TBST, Primary antibody : incubated for 1h at room temperature. Secondary antibody : incubated for 1h at 1 : 20,000 at room temperature (ab97051); incubated for 1h at 1 : 2000 at room temperature (Goat Anti-Rabbit IgG (HRP) with minimal cross-reactivity with human IgG)

All lanes:

Western blot - Anti-Presenilin 2/AD5 (phospho S327) antibody [EP2613Y] (<a href='/en-us/products/primary-antibodies/presenilin-2-ad5-phospho-s327-antibody-ep2613y-ab76114'>ab76114</a>) at 1/500 dilution

Lane 1:

HeLa (Human cervix adenocarcinoma epithelial cell) whole cell lysate at 15 µg

Lane 2:

HeLa (Human cervix adenocarcinoma epithelial cell) whole cell lysate. Then the membrane was incubated with alkaline phosphatase at 15 µg

false

Exposure time: 180s

Western blot - Anti-Presenilin 2/AD5 (phospho S327) antibody [EP2613Y] - BSA and Azide free (AB284741)
  • WB

Supplier Data

Western blot - Anti-Presenilin 2/AD5 (phospho S327) antibody [EP2613Y] - BSA and Azide free (AB284741)

This data was developed using ab76114, the same antibody clone in a different buffer formulation.   Blocking and diluting buffer and concentration : 5% NFDM/TBST, Primary antibody : incubated for 1h at room temperature. Secondary antibody : incubated for 1h at 1 : 20,000 at room temperature (ab97051); incubated for 1h at 1 : 2000 at room temperature (Goat Anti-Rabbit IgG (HRP) with minimal cross-reactivity with human IgG)

All lanes:

Western blot - Anti-Presenilin 2/AD5 (phospho S327) antibody [EP2613Y] (<a href='/en-us/products/primary-antibodies/presenilin-2-ad5-phospho-s327-antibody-ep2613y-ab76114'>ab76114</a>) at 1/500 dilution

Lane 1:

RAW 264.7 (Mouse Abelson murine leukemia virus-induced tumor macrophage) whole cell lysate at 15 µg

Lane 2:

RAW 264.7 (Mouse Abelson murine leukemia virus-induced tumor macrophage) whole cell lysate. Then the membrane was incubated with alkaline phosphatase at 15 µg

false

Dot Blot - Anti-Presenilin 2/AD5 (phospho S327) antibody [EP2613Y] - BSA and Azide free (AB284741)
  • Dot

Supplier Data

Dot Blot - Anti-Presenilin 2/AD5 (phospho S327) antibody [EP2613Y] - BSA and Azide free (AB284741)

This data was developed using ab76114, the same antibody clone in a different buffer formulation.   Dot blot analysis labelling Presenilin 2/AD5 (phospho S327) with ab76114 at 1/500 dilution. Lane 1 : Presenilin 2/AD5 (phospho S327) peptide Lane 2 : Presenilin 2/AD5 non-phospho peptide  A peroxidase-conjugated goat anti-rabbit IgG (H+L) (ab97051) was used as the secondary antibody at a dilution of 1/100,000. Blocking and dilution buffer : 5% NFDM/TBST. Exposure time : 180s.

Key facts

Host species

Rabbit

Clonality

Monoclonal

Clone number

EP2613Y

Isotype

IgG

Carrier free

Yes

Reacts with

Human

Applications

Dot, WB

applications

Immunogen

The exact immunogen used to generate this antibody is proprietary information.

Reactivity data

{ "title": "Reactivity Data", "filters": { "stats": ["", "Species", "Dilution Info", "Notes"], "tabs": { "all-applications": {"fullname" : "All Applications", "shortname": "All Applications"}, "Dot" : {"fullname" : "Dot Blot", "shortname":"Dot"}, "WB" : {"fullname" : "Western blot", "shortname":"WB"} }, "product-promise": { "all": "all", "testedAndGuaranteed": "tested", "guaranteed": "expected", "predicted": "predicted", "notRecommended": "not-recommended" } }, "values": { "Human": { "Dot-species-checked": "testedAndGuaranteed", "Dot-species-dilution-info": "", "Dot-species-notes": "<p></p>", "WB-species-checked": "testedAndGuaranteed", "WB-species-dilution-info": "", "WB-species-notes": "<p></p>" } } }

Product details

ab284741 is the carrier-free version of ab76114

Patented technology
Our RabMAb® technology is a patented hybridoma-based technology for making rabbit monoclonal antibodies. For details on our patents, please refer to RabMAb® patents.

Conjugation ready
Our carrier-free antibodies are typically supplied in a PBS-only formulation, purified and free of BSA, sodium azide and glycerol. This conjugation-ready format is designed for use with fluorochromes, metal isotopes, oligonucleotides, and enzymes, which makes them ideal for antibody labelling, functional and cell-based assays, flow-based assays (e.g. mass cytometry) and Multiplex Imaging applications.

Use our conjugation kits for antibody conjugates that are ready-to-use in as little as 20 minutes with 1 minute hands-on-time and 100% antibody recovery: available for fluorescent dyes, HRP, biotin and gold.

Compatibility
This product is compatible with the Maxpar® Antibody Labeling Kit from Fluidigm, without the need for antibody preparation. Maxpar® is a trademark of Fluidigm Canada Inc.

What are the advantages of a recombinant monoclonal antibody?
This product is a recombinant monoclonal antibody, which offers several advantages including:

  • - High batch-to-batch consistency and reproducibility
  • - Improved sensitivity and specificity
  • - Long-term security of supply
  • - Animal-free batch production

For more information, read more on recombinant antibodies.

Properties and storage information

Form
Liquid
Purification technique
Affinity purification Protein A
Storage buffer
pH: 7.2 - 7.4 Constituents: PBS
Shipped at conditions
Blue Ice
Appropriate short-term storage conditions
+4°C
Appropriate long-term storage conditions
+4°C

Supplementary information

This supplementary information is collated from multiple sources and compiled automatically.

The presenilin 2 (PSEN2) protein also known as AD5 plays a role as a catalytic subunit in the gamma-secretase complex. This complex is involved in intramembrane proteolysis of several type-I transmembrane proteins. PSEN2 has a mass of about 52 kDa and is expressed mainly in the brain and several other tissues throughout the body. Its gene is located on chromosome 1 and has the alternative name 'EP-2614'. Presenilin 2 is closely associated with presenilin 1 (PSEN1) a related protein within the same family.
Biological function summary

Presenilin 2 functions in the regulation of proteolytic processing of the amyloid precursor protein (APP) within the gamma-secretase complex. This action produces amyloid beta peptides which are critical for normal brain function but may accumulate under pathological conditions. The protein is also involved in NOTCH receptor activation which plays a part in cell fate determination during development. The gamma-secretase complex includes other key proteins such as nicastrin anterior pharynx-defective 1 (APH-1) and presenilin enhancer 2 (PEN-2).

Pathways

Presenilin 2 is central to the amyloidogenic pathway through its role in APP processing. This pathway links to Alzheimer's disease where dysregulation of amyloid beta peptide production leads to plaque formation. Additionally presenilin 2 takes part in the NOTCH signaling pathway which influences neurogenesis and cellular differentiation. Presenilin 1 is a partner protein of presenilin 2 within these pathways sharing overlapping functions and regulation.

Presenilin 2's connection to Alzheimer's disease arises from its role in amyloid beta production. Mutations in the PSEN2 gene can lead to familial Alzheimer's disease where altered processing of APP results in neurotoxic peptide accumulation. Additionally presenilin 2 influences cardiovascular disease development through its involvement in cell signaling pathways affecting vascular biology. Presenilin 1 mutations also associate with similar disorders due to its analogous role and participation in these pathological processes.

Product protocols

For this product, it's our understanding that no specific protocols are required. You can visit:

Target data

Probable catalytic subunit of the gamma-secretase complex, an endoprotease complex that catalyzes the intramembrane cleavage of integral membrane proteins such as Notch receptors and APP (amyloid-beta precursor protein). Requires the other members of the gamma-secretase complex to have a protease activity. May play a role in intracellular signaling and gene expression or in linking chromatin to the nuclear membrane. May function in the cytoplasmic partitioning of proteins. The holoprotein functions as a calcium-leak channel that allows the passive movement of calcium from endoplasmic reticulum to cytosol and is involved in calcium homeostasis (PubMed : 16959576). Is a regulator of mitochondrion-endoplasmic reticulum membrane tethering and modulates calcium ions shuttling between ER and mitochondria (PubMed : 21285369).
See full target information PSEN2 phospho S327

Product promise

We are committed to supporting your work with high-quality reagents, and we're here for you every step of the way. In the unlikely event that one of our products does not perform as expected, you're protected by our Product Promise.
For full details, please see our Terms & Conditions

Please note: All products are 'FOR RESEARCH USE ONLY. NOT FOR USE IN DIAGNOSTIC OR THERAPEUTIC PROCEDURES'.

For licensing inquiries, please contact partnerships@abcam.com