JavaScript is disabled in your browser. Please enable JavaScript to view this website.
AB236851

Anti-PRG2 antibody

Be the first to review this product! Submit a review

|

(2 Publications)

Rabbit Polyclonal PRG2 antibody. Suitable for WB, IHC-P, ICC/IF and reacts with Human samples. Cited in 2 publications. Immunogen corresponding to Recombinant Fragment Protein within Human PRG2 aa 150-200.

View Alternative Names

MBP, PRG2, Bone marrow proteoglycan, BMPG, Proteoglycan 2

3 Images
Immunocytochemistry/ Immunofluorescence - Anti-PRG2 antibody (AB236851)
  • ICC/IF

Supplier Data

Immunocytochemistry/ Immunofluorescence - Anti-PRG2 antibody (AB236851)

U-251 MG (human brain glioma cell line) cells stained for Major Basic Protein (green) using ab236851 at 1/100 dilution in ICC/IF, followed by Alexa Fluor 488® conjugated Goat Anti-Rabbit IgG (H+L).

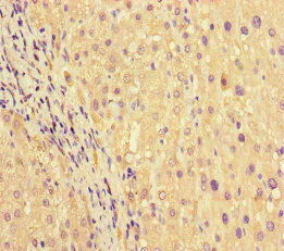
Immunohistochemistry (Formalin/PFA-fixed paraffin-embedded sections) - Anti-PRG2 antibody (AB236851)
  • IHC-P

Supplier Data

Immunohistochemistry (Formalin/PFA-fixed paraffin-embedded sections) - Anti-PRG2 antibody (AB236851)

Paraffin-embedded human liver cancer tissue stained for Major Basic Protein using ab236851 at 1/100 dilution in immunohistochemical analysis.

Western blot - Anti-PRG2 antibody (AB236851)
  • WB

Supplier Data

Western blot - Anti-PRG2 antibody (AB236851)

All lanes:

Western blot - Anti-PRG2 antibody (ab236851) at 1/1000 dilution

All lanes:

Human placenta lysate

Secondary

All lanes:

Goat polyclonal to rabbit IgG at 1/10000 dilution

Predicted band size: 25 kDa

false

Key facts

Host species

Rabbit

Clonality

Polyclonal

Isotype

IgG

Carrier free

No

Reacts with

Human

Applications

IHC-P, WB, ICC/IF

applications

Immunogen

Recombinant Fragment Protein within Human PRG2 aa 150-200. The exact immunogen used to generate this antibody is proprietary information.

P13727

Reactivity data

{ "title": "Reactivity Data", "filters": { "stats": ["", "Species", "Dilution Info", "Notes"], "tabs": { "all-applications": {"fullname" : "All Applications", "shortname": "All Applications"}, "WB" : {"fullname" : "Western blot", "shortname":"WB"}, "IHCP" : {"fullname" : "Immunohistochemistry (Formalin/PFA-fixed paraffin-embedded sections)", "shortname":"IHC-P"}, "ICCIF" : {"fullname" : "Immunocytochemistry/ Immunofluorescence", "shortname":"ICC/IF"} }, "product-promise": { "all": "all", "testedAndGuaranteed": "tested", "guaranteed": "expected", "predicted": "predicted", "notRecommended": "not-recommended" } }, "values": { "Human": { "WB-species-checked": "testedAndGuaranteed", "WB-species-dilution-info": "1/1000 - 1/5000", "WB-species-notes": "<p></p>", "IHCP-species-checked": "testedAndGuaranteed", "IHCP-species-dilution-info": "1/20 - 1/200", "IHCP-species-notes": "<p></p>", "ICCIF-species-checked": "testedAndGuaranteed", "ICCIF-species-dilution-info": "1/50 - 1/200", "ICCIF-species-notes": "<p></p>" } } }

Properties and storage information

Form
Liquid
Purification technique
Affinity purification Protein G
Purification notes
Purity >95%.
Storage buffer
pH: 7.4 Preservative: 0.05% Sodium azide Constituents: PBS, 40% Glycerol (glycerin, glycerine)
Shipped at conditions
Blue Ice
Appropriate short-term storage duration
1-2 weeks
Appropriate short-term storage conditions
+4°C
Appropriate long-term storage conditions
-20°C
Aliquoting information
Upon delivery aliquot
Storage information
Avoid freeze / thaw cycle

Supplementary information

This supplementary information is collated from multiple sources and compiled automatically.

PRG2 also known as major basic protein (MBP) is a potent protein that plays a significant role in the immune system. It weighs approximately 14 kDa and is found mainly in eosinophil granules. Eosinophils release PRG2 during the immune response which can affect various bodily systems. The expression of PRG2 is not limited to eosinophils; it is also found in other cell types that participate in immune responses.
Biological function summary

PRG2 interacts with other components of the immune system to help mediate inflammatory responses. It is a part of the innate immune response and acts by binding to and neutralizing negatively charged surfaces on cells pathogens and tissues. PRG2 can cause tissue damage by its cytotoxic action when released in large amounts impacting cells within its local environment. This protein does not belong to any known larger protein complex but its activity can influence many immune pathways independently.

Pathways

PRG2 contributes significantly to the immune system's function and the body's defense mechanism against parasites and allergens. The protein plays an important role in the allergic inflammatory pathway where it can interact with interleukins such as IL-5 which influences eosinophil activation and survival. Additionally PRG2 impacts the Th2 cytokine pathway coordinating with proteins like IL-4 to modulate immune responses.

High levels of PRG2 associate with conditions like asthma and allergic rhinitis. Its interaction with allergens and subsequent tissue damage leads to inflammation and disease exacerbation. Moreover elevated PRG2 levels are seen in Helminth infections where it coordinates with eosinophil cationic protein to combat parasites. These interactions make PRG2 a potential target for therapeutic intervention in related disorders.

Product protocols

For this product, it's our understanding that no specific protocols are required. You can visit:

Target data

Cytotoxin and helminthotoxin. Also induces non-cytolytic histamine release from human basophils. Involved in antiparasitic defense mechanisms and immune hypersensitivity reactions. The proform acts as a proteinase inhibitor, reducing the activity of PAPPA.
See full target information PRG2

Publications (2)

Recent publications for all applications. Explore the full list and refine your search

Frontiers in immunology 14:1171308 PubMed37325657

2023

Involvement of CD40-CD40L and ICOS-ICOSL in the development of chronic rhinosinusitis by targeting eosinophils.

Applications

Unspecified application

Species

Unspecified reactive species

Aina Zhou,Chenxi Shi,Yuhui Fan,Yushuang Zheng,Jue Wang,Zhichen Liu,Huanxia Xie,Jisheng Liu,Qingqing Jiao

Frontiers in oncology 12:955510 PubMed36119517

2022

Expression and prognosis analysis of PAQR5 in kidney cancer.

Applications

Unspecified application

Species

Unspecified reactive species

Tao Lu,Hai-Rong Xu,Wei Dong,Hui Dong
View all publications

Product promise

We are committed to supporting your work with high-quality reagents, and we're here for you every step of the way. In the unlikely event that one of our products does not perform as expected, you're protected by our Product Promise.
For full details, please see our Terms & Conditions

Please note: All products are 'FOR RESEARCH USE ONLY. NOT FOR USE IN DIAGNOSTIC OR THERAPEUTIC PROCEDURES'.

For licensing inquiries, please contact partnerships@abcam.com