JavaScript is disabled in your browser. Please enable JavaScript to view this website.
AB317241

Anti-PRG2 antibody [HL2547]

Be the first to review this product! Submit a review

|

(0 Publication)

Rabbit Monoclonal PRG2 antibody. Suitable for IHC-P, WB and reacts with Mouse, Human samples. Immunogen corresponding to Recombinant Fragment Protein within Human PRG2.

View Alternative Names

MBP, PRG2, Bone marrow proteoglycan, BMPG, Proteoglycan 2

2 Images
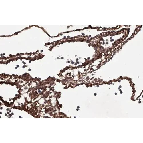
Immunohistochemistry (Formalin/PFA-fixed paraffin-embedded sections) - Anti-PRG2 antibody [HL2547] (AB317241)
  • IHC-P

Supplier Data

Immunohistochemistry (Formalin/PFA-fixed paraffin-embedded sections) - Anti-PRG2 antibody [HL2547] (AB317241)

ab317241 detects secreted PRG2 protein by immunohistochemical analysis. Sample : Paraffin-embedded mouse placenta. PRG2 stained by ab317241 diluted at 1 : 100. Antigen Retrieval : Citrate buffer pH 6.0 15 min.

Western blot - Anti-PRG2 antibody [HL2547] (AB317241)
  • WB

Supplier Data

Western blot - Anti-PRG2 antibody [HL2547] (AB317241)

Untreated (–) and treated (+) HL-60 whole cell extract (30 ug) were separated by 12% SDS-PAGE and the membrane was blotted with ab317241 diluted at 1 : 1000. The HRP-conjugated anti-rabbit IgG antibody was used to detect the primary antibody.

All lanes:

Western blot - Anti-PRG2 antibody [HL2547] (ab317241) at 1/1000 dilution

Lane 1:

Untreated (–) HL-60 whole cell extract at 30 µg

Lane 2:

3 ug/mL Tunicamycin, 16 hr treated (+) HL-60 whole cell extract at 30 µg

Secondary

All lanes:

HRP-conjugated anti-rabbit IgG antibody

false

Key facts

Host species

Rabbit

Clonality

Monoclonal

Clone number

HL2547

Isotype

IgG

Carrier free

No

Reacts with

Human, Mouse

Applications

IHC-P, WB

applications

Immunogen

Recombinant Fragment Protein within Human PRG2.

P13727

Reactivity data

{ "title": "Reactivity Data", "filters": { "stats": ["", "Species", "Dilution Info", "Notes"], "tabs": { "all-applications": {"fullname" : "All Applications", "shortname": "All Applications"}, "IHCP" : {"fullname" : "Immunohistochemistry (Formalin/PFA-fixed paraffin-embedded sections)", "shortname":"IHC-P"}, "WB" : {"fullname" : "Western blot", "shortname":"WB"} }, "product-promise": { "all": "all", "testedAndGuaranteed": "tested", "guaranteed": "expected", "predicted": "predicted", "notRecommended": "not-recommended" } }, "values": { "Human": { "IHCP-species-checked": "guaranteed", "IHCP-species-dilution-info": "", "IHCP-species-notes": "", "WB-species-checked": "testedAndGuaranteed", "WB-species-dilution-info": "1/1000 - 1/10000", "WB-species-notes": "<p></p>" }, "Mouse": { "IHCP-species-checked": "testedAndGuaranteed", "IHCP-species-dilution-info": "1/100", "IHCP-species-notes": "<p></p> Perform heat-mediated antigen retrieval with citrate buffer pH 6 before commencing with IHC staining protocol.", "WB-species-checked": "guaranteed", "WB-species-dilution-info": "", "WB-species-notes": "" } } }

Properties and storage information

Form
Liquid
Storage buffer
pH: 7.4 Constituents: PBS
Shipped at conditions
Blue Ice
Appropriate short-term storage duration
1-2 weeks
Appropriate short-term storage conditions
+4°C
Appropriate long-term storage conditions
-20°C
Aliquoting information
Upon delivery aliquot
Storage information
Avoid freeze / thaw cycle

Supplementary information

This supplementary information is collated from multiple sources and compiled automatically.

PRG2 also known as major basic protein (MBP) is a potent protein that plays a significant role in the immune system. It weighs approximately 14 kDa and is found mainly in eosinophil granules. Eosinophils release PRG2 during the immune response which can affect various bodily systems. The expression of PRG2 is not limited to eosinophils; it is also found in other cell types that participate in immune responses.
Biological function summary

PRG2 interacts with other components of the immune system to help mediate inflammatory responses. It is a part of the innate immune response and acts by binding to and neutralizing negatively charged surfaces on cells pathogens and tissues. PRG2 can cause tissue damage by its cytotoxic action when released in large amounts impacting cells within its local environment. This protein does not belong to any known larger protein complex but its activity can influence many immune pathways independently.

Pathways

PRG2 contributes significantly to the immune system's function and the body's defense mechanism against parasites and allergens. The protein plays an important role in the allergic inflammatory pathway where it can interact with interleukins such as IL-5 which influences eosinophil activation and survival. Additionally PRG2 impacts the Th2 cytokine pathway coordinating with proteins like IL-4 to modulate immune responses.

High levels of PRG2 associate with conditions like asthma and allergic rhinitis. Its interaction with allergens and subsequent tissue damage leads to inflammation and disease exacerbation. Moreover elevated PRG2 levels are seen in Helminth infections where it coordinates with eosinophil cationic protein to combat parasites. These interactions make PRG2 a potential target for therapeutic intervention in related disorders.

Product protocols

For this product, it's our understanding that no specific protocols are required. You can visit:

Target data

Cytotoxin and helminthotoxin. Also induces non-cytolytic histamine release from human basophils. Involved in antiparasitic defense mechanisms and immune hypersensitivity reactions. The proform acts as a proteinase inhibitor, reducing the activity of PAPPA.
See full target information PRG2

Product promise

We are committed to supporting your work with high-quality reagents, and we're here for you every step of the way. In the unlikely event that one of our products does not perform as expected, you're protected by our Product Promise.
For full details, please see our Terms & Conditions

Please note: All products are 'FOR RESEARCH USE ONLY. NOT FOR USE IN DIAGNOSTIC OR THERAPEUTIC PROCEDURES'.

For licensing inquiries, please contact partnerships@abcam.com