JavaScript is disabled in your browser. Please enable JavaScript to view this website.
AB238924

Anti-PRKAR1A+PRKAR1B antibody [EPR8491] - BSA and Azide free

Be the first to review this product! Submit a review

|

(1 Publication)

Rabbit Recombinant Monoclonal PRKAR1A antibody. Carrier free. Suitable for IHC-P, WB and reacts with Human, Mouse, Rat samples. Cited in 1 publication.

View Alternative Names

PKR1, PRKAR1, TSE1, PRKAR1A, cAMP-dependent protein kinase type I-alpha regulatory subunit, Tissue-specific extinguisher 1

6 Images
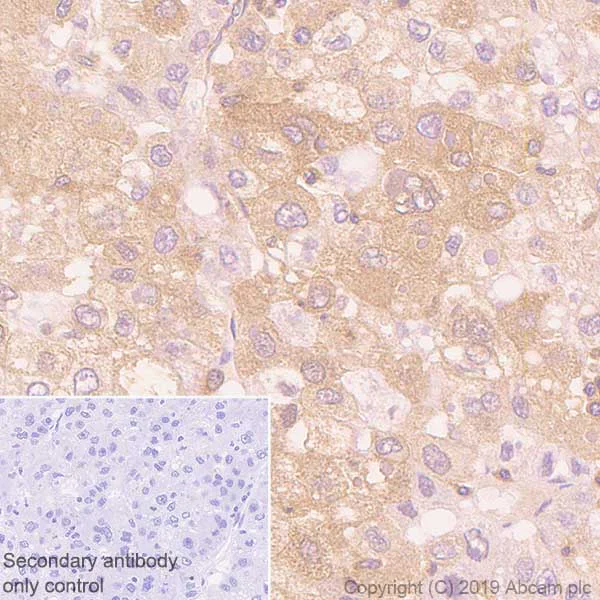
Immunohistochemistry (Formalin/PFA-fixed paraffin-embedded sections) - Anti-PRKAR1A+PRKAR1B antibody [EPR8491] - BSA and Azide free (AB238924)
  • IHC-P

Lab

Immunohistochemistry (Formalin/PFA-fixed paraffin-embedded sections) - Anti-PRKAR1A+PRKAR1B antibody [EPR8491] - BSA and Azide free (AB238924)

This data was developed using ab139695, the same antibody clone in a different buffer formulation.
Immunohistochemistry (Formalin/PFA-fixed paraffin-embedded sections) analysis of human liver carcinoma tissue sections labeling PRKAR1A+PRKAR1B with Purified ab139695 at 1/300 dilution (1.29 µg/mL). Heat mediated antigen retrieval using Bond™ Epitope Retrieval Solution 1 (pH 6.0). Rabbit specific IHC polymer detection kit HRP/DAB (ab209101) was used as the secondary antibody. Negative control : PBS instead of the primary antibody. Hematoxylin was used as a counterstain.

Immunohistochemistry (Formalin/PFA-fixed paraffin-embedded sections) - Anti-PRKAR1A+PRKAR1B antibody [EPR8491] - BSA and Azide free (AB238924)
  • IHC-P

Lab

Immunohistochemistry (Formalin/PFA-fixed paraffin-embedded sections) - Anti-PRKAR1A+PRKAR1B antibody [EPR8491] - BSA and Azide free (AB238924)

This data was developed using ab139695, the same antibody clone in a different buffer formulation.
Immunohistochemistry (Formalin/PFA-fixed paraffin-embedded sections) analysis of rat kidney tissue sections labeling PRKAR1A+PRKAR1B with Purified ab139695 at 1/300 dilution (1.29 µg/mL). Heat mediated antigen retrieval using Bond™ Epitope Retrieval Solution 1 (pH 6.0). Rabbit specific IHC polymer detection kit HRP/DAB (ab209101) was used as the secondary antibody. Negative control : PBS instead of the primary antibody. Hematoxylin was used as a counterstain.

Immunohistochemistry (Formalin/PFA-fixed paraffin-embedded sections) - Anti-PRKAR1A+PRKAR1B antibody [EPR8491] - BSA and Azide free (AB238924)
  • IHC-P

Lab

Immunohistochemistry (Formalin/PFA-fixed paraffin-embedded sections) - Anti-PRKAR1A+PRKAR1B antibody [EPR8491] - BSA and Azide free (AB238924)

This data was developed using ab139695, the same antibody clone in a different buffer formulation.
Immunohistochemistry (Formalin/PFA-fixed paraffin-embedded sections) analysis of mouse liver tissue sections labeling PRKAR1A+PRKAR1B with Purified ab139695 at 1/300 dilution (1.29 µg/mL). Heat mediated antigen retrieval using Bond™ Epitope Retrieval Solution 1 (pH 6.0). Rabbit specific IHC polymer detection kit HRP/DAB (ab209101) was used as the secondary antibody. Negative control : PBS instead of the primary antibody. Hematoxylin was used as a counterstain.

Western blot - Anti-PRKAR1A+PRKAR1B antibody [EPR8491] - BSA and Azide free (AB238924)
  • WB

Unknown

Western blot - Anti-PRKAR1A+PRKAR1B antibody [EPR8491] - BSA and Azide free (AB238924)

The doublets should be PRKAR1A isoforms.

All lanes:

Western blot - Anti-PRKAR1A+PRKAR1B antibody [EPR8491] (<a href='/en-us/products/primary-antibodies/prkar1aprkar1b-antibody-epr8491-ab139695'>ab139695</a>) at 1/10000 dilution

Lane 1:

U-87 MG (Human glioblastoma-astrocytoma epithelial cell) whole cell lysate at 15 µg

Lane 2:

Mouse brain lysate at 15 µg

Lane 3:

Rat brain lysate at 15 µg

Secondary

All lanes:

Western blot - Goat Anti-Rabbit IgG H&L (HRP) (<a href='/en-us/products/secondary-antibodies/goat-rabbit-igg-h-l-hrp-ab97051'>ab97051</a>) at 1/20000 dilution

Predicted band size: 43 kDa

false

Western blot - Anti-PRKAR1A+PRKAR1B antibody [EPR8491] - BSA and Azide free (AB238924)
  • WB

Unknown

Western blot - Anti-PRKAR1A+PRKAR1B antibody [EPR8491] - BSA and Azide free (AB238924)

The doublets should be PRKAR1A isoforms.

All lanes:

Western blot - Anti-PRKAR1A+PRKAR1B antibody [EPR8491] (<a href='/en-us/products/primary-antibodies/prkar1aprkar1b-antibody-epr8491-ab139695'>ab139695</a>) at 1/10000 dilution

All lanes:

Human brain lysate at 15 µg

Secondary

All lanes:

Goat Anti-Rabbit IgG (HRP) with minimal cross-reactivity with human IgG at 1/2000 dilution

Predicted band size: 43 kDa

false

Western blot - Anti-PRKAR1A+PRKAR1B antibody [EPR8491] - BSA and Azide free (AB238924)
  • WB

Unknown

Western blot - Anti-PRKAR1A+PRKAR1B antibody [EPR8491] - BSA and Azide free (AB238924)

Buffer and concentration : 5% NFDM/TBST

Exposure time

Lane 1 : 10 seconds

Lande 2 : 40 seconds

Observed band

Lane 1 : 51KDa

Lane 2 : 52 KDa

All lanes:

Western blot - Anti-PRKAR1A+PRKAR1B antibody [EPR8491] - BSA and Azide free (ab238924) at 1/10000 dilution

Lane 1:

Recombinant human full length PRKAR1A protein at 0.01 µg

Lane 2:

Recombinant human full length PRKAR1B protein at 0.01 µg

Secondary

All lanes:

Western blot - Goat Anti-Rabbit IgG H&L (HRP) (<a href='/en-us/products/secondary-antibodies/goat-rabbit-igg-h-l-hrp-ab97051'>ab97051</a>) at 1/20000 dilution

Predicted band size: 43 kDa

false

  • Unconjugated

    Anti-PRKAR1A+PRKAR1B antibody [EPR8491]

  • 665 Alexa Fluor® 647

    Alexa Fluor® 647 Anti-PRKAR1A+PRKAR1B antibody [EPR8491]

  • 565 Alexa Fluor® 555

    Alexa Fluor® 555 Anti-PRKAR1A+PRKAR1B antibody [EPR8491]

  • 578 PE

    PE Anti-PRKAR1A+PRKAR1B antibody [EPR8491]

  • 660 APC

    APC Anti-PRKAR1A+PRKAR1B antibody [EPR8491]

  • 519 Alexa Fluor® 488

    Alexa Fluor® 488 Anti-PRKAR1A+PRKAR1B antibody [EPR8491]

  • 617 Alexa Fluor® 594

    Alexa Fluor® 594 Anti-PRKAR1A+PRKAR1B antibody [EPR8491]

  • 775 Alexa Fluor® 750

    Alexa Fluor® 750 Anti-PRKAR1A+PRKAR1B antibody [EPR8491]

Key facts

Host species

Rabbit

Clonality

Monoclonal

Clone number

EPR8491

Isotype

IgG

Carrier free

Yes

Reacts with

Mouse, Rat, Human

Applications

IHC-P, WB

applications

Immunogen

The exact immunogen used to generate this antibody is proprietary information.

Reactivity data

{ "title": "Reactivity Data", "filters": { "stats": ["", "Species", "Dilution Info", "Notes"], "tabs": { "all-applications": {"fullname" : "All Applications", "shortname": "All Applications"}, "IHCP" : {"fullname" : "Immunohistochemistry (Formalin/PFA-fixed paraffin-embedded sections)", "shortname":"IHC-P"}, "WB" : {"fullname" : "Western blot", "shortname":"WB"}, "FlowCyt" : {"fullname" : "Flow Cytometry", "shortname":"Flow Cyt"}, "ICCIF" : {"fullname" : "Immunocytochemistry/ Immunofluorescence", "shortname":"ICC/IF"}, "IP" : {"fullname" : "Immunoprecipitation", "shortname":"IP"} }, "product-promise": { "all": "all", "testedAndGuaranteed": "tested", "guaranteed": "expected", "predicted": "predicted", "notRecommended": "not-recommended" } }, "values": { "Human": { "IHCP-species-checked": "testedAndGuaranteed", "IHCP-species-dilution-info": "", "IHCP-species-notes": "<p>The use of an HRP/AP polymerized secondary antibody is recommended.</p>", "WB-species-checked": "testedAndGuaranteed", "WB-species-dilution-info": "", "WB-species-notes": "<p></p>", "FlowCyt-species-checked": "notRecommended", "FlowCyt-species-dilution-info": "", "FlowCyt-species-notes": "<p></p>", "ICCIF-species-checked": "notRecommended", "ICCIF-species-dilution-info": "", "ICCIF-species-notes": "<p></p>", "IP-species-checked": "notRecommended", "IP-species-dilution-info": "", "IP-species-notes": "<p></p>" }, "Mouse": { "IHCP-species-checked": "testedAndGuaranteed", "IHCP-species-dilution-info": "", "IHCP-species-notes": "<p>The use of an HRP/AP polymerized secondary antibody is recommended.</p>", "WB-species-checked": "testedAndGuaranteed", "WB-species-dilution-info": "", "WB-species-notes": "<p></p>", "FlowCyt-species-checked": "notRecommended", "FlowCyt-species-dilution-info": "", "FlowCyt-species-notes": "<p></p>", "ICCIF-species-checked": "notRecommended", "ICCIF-species-dilution-info": "", "ICCIF-species-notes": "<p></p>", "IP-species-checked": "notRecommended", "IP-species-dilution-info": "", "IP-species-notes": "<p></p>" }, "Rat": { "IHCP-species-checked": "testedAndGuaranteed", "IHCP-species-dilution-info": "", "IHCP-species-notes": "<p>The use of an HRP/AP polymerized secondary antibody is recommended.</p>", "WB-species-checked": "testedAndGuaranteed", "WB-species-dilution-info": "", "WB-species-notes": "<p></p>", "FlowCyt-species-checked": "notRecommended", "FlowCyt-species-dilution-info": "", "FlowCyt-species-notes": "<p></p>", "ICCIF-species-checked": "notRecommended", "ICCIF-species-dilution-info": "", "ICCIF-species-notes": "<p></p>", "IP-species-checked": "notRecommended", "IP-species-dilution-info": "", "IP-species-notes": "<p></p>" } } }

Product details

ab238924 is the carrier-free version of ab139695.

Patented technology
Our RabMAb® technology is a patented hybridoma-based technology for making rabbit monoclonal antibodies. For details on our patents, please refer to RabMAb® patents.

What are the advantages of a recombinant monoclonal antibody?
This product is a recombinant monoclonal antibody, which offers several advantages including:

  • - High batch-to-batch consistency and reproducibility
  • - Improved sensitivity and specificity
  • - Long-term security of supply
  • - Animal-free batch production

For more information, read more on recombinant antibodies.

Conjugation ready
Our carrier-free antibodies are typically supplied in a PBS-only formulation, purified and free of BSA, sodium azide and glycerol. This conjugation-ready format is designed for use with fluorochromes, metal isotopes, oligonucleotides, and enzymes, which makes them ideal for antibody labelling, functional and cell-based assays, flow-based assays (e.g. mass cytometry) and Multiplex Imaging applications.

Use our conjugation kits for antibody conjugates that are ready-to-use in as little as 20 minutes with 1 minute hands-on-time and 100% antibody recovery: available for fluorescent dyes, HRP, biotin and gold.

Compatibility
This product is compatible with the Maxpar® Antibody Labeling Kit from Fluidigm, without the need for antibody preparation. Maxpar® is a trademark of Fluidigm Canada Inc.

Properties and storage information

Form
Liquid
Purification technique
Affinity purification Protein A
Storage buffer
pH: 7.2 - 7.4 Constituents: PBS
Shipped at conditions
Blue Ice
Appropriate short-term storage conditions
+4°C
Appropriate long-term storage conditions
+4°C
Storage information
Do Not Freeze

Supplementary information

This supplementary information is collated from multiple sources and compiled automatically.

PRKAR1A and PRKAR1B also known as protein kinase A regulatory subunit 1 alpha and beta are key components of the cAMP-dependent protein kinase (PKA) complex. PRKAR1A has a mass of approximately 43 kDa while PRKAR1B mass closely resembles it. Both PRKAR1A and PRKAR1B are expressed in various tissues with PRKAR1A having a significant presence in heart and adrenal tissues and PRKAR1B more prominent in the brain. Their role involves regulating the location and activity of the catalytic subunits of PKA by binding cAMP which causes the release and activation of catalytic subunits.
Biological function summary

PRKAR1A and PRKAR1B participate in the regulation of PKA's activity which is important for cAMP signaling pathways. These proteins are part of the PKA holoenzyme complex functioning as inhibitory subunits. Upon binding cAMP they undergo a conformational change that releases PKA catalytic subunits allowing them to phosphorylate different substrates. This process affects cellular responses such as metabolism cell cycle progression and gene expression.

Pathways

The PKA signaling pathway is among the major pathways involving PRKAR1A and PRKAR1B. The pathway is linked to G protein-coupled receptors (GPCR) and the subsequent release of cAMP. Another important pathway is the MAPK/ERK pathway where PKA modulates the activity of certain MAPK-related proteins affecting cell division and differentiation. PRKAR1A and PRKAR1B are involved with other proteins like PRKACB and PRKACA which are catalytic subunits of PKA.

PRKAR1A mutations associate with Carney complex a disorder characterized by multiple neoplasms. This connection results from PRKAR1A gene inactivation that leads to dysregulation of cAMP signaling. PRKAR1B on the other hand relates to neuropsychiatric disorders like schizophrenia where altered PKA signaling affects neurotransmitter pathways. Both PRKAR1A and PRKAR1B's involvement with regulatory proteins like PP1 which interacts with PKA highlights their significance in disease pathogenesis.

Product protocols

For this product, it's our understanding that no specific protocols are required. You can visit:

Target data

Regulatory subunit of the cAMP-dependent protein kinases involved in cAMP signaling in cells.
See full target information PRKAR1A

Additional targets

cAMP-dependent protein kinase type I-beta regulatory subunit

Publications (1)

Recent publications for all applications. Explore the full list and refine your search

Nature genetics 57:1142-1154 PubMed40229600

2025

Longitudinal single-cell multiomic atlas of high-risk neuroblastoma reveals chemotherapy-induced tumor microenvironment rewiring.

Applications

Unspecified application

Species

Unspecified reactive species

Wenbao Yu,Rumeysa Biyik-Sit,Yasin Uzun,Chia-Hui Chen,Anusha Thadi,Jonathan H Sussman,Minxing Pang,Chi-Yun Wu,Liron D Grossmann,Peng Gao,David W Wu,Aliza Yousey,Mei Zhang,Christina S Turn,Zhan Zhang,Shovik Bandyopadhyay,Jeffrey Huang,Tasleema Patel,Changya Chen,Daniel Martinez,Lea F Surrey,Michael D Hogarty,Kathrin Bernt,Nancy R Zhang,John M Maris,Kai Tan
View all publications

Product promise

We are committed to supporting your work with high-quality reagents, and we're here for you every step of the way. In the unlikely event that one of our products does not perform as expected, you're protected by our Product Promise.
For full details, please see our Terms & Conditions

Please note: All products are 'FOR RESEARCH USE ONLY. NOT FOR USE IN DIAGNOSTIC OR THERAPEUTIC PROCEDURES'.

For licensing inquiries, please contact partnerships@abcam.com