JavaScript is disabled in your browser. Please enable JavaScript to view this website.
AB70334

Anti-PRKRIR antibody

Be the first to review this product! Submit a review

|

(1 Publication)

Rabbit Polyclonal PRKRIR antibody. Suitable for IHC-P, IP, WB and reacts with Mouse, Human samples. Cited in 1 publication. Immunogen corresponding to Synthetic Peptide within Human THAP12.

View Alternative Names

DAP4, P52RIPK, PRKRIR, THAP0, THAP12, 52 kDa repressor of the inhibitor of the protein kinase, p52rIPK, 58 kDa interferon-induced protein kinase-interacting protein, Death-associated protein 4, THAP domain-containing protein 0, THAP domain-containing protein 12, p58IPK-interacting protein

3 Images
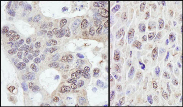
Immunohistochemistry (Formalin/PFA-fixed paraffin-embedded sections) - Anti-PRKRIR antibody (AB70334)
  • IHC-P

Unknown

Immunohistochemistry (Formalin/PFA-fixed paraffin-embedded sections) - Anti-PRKRIR antibody (AB70334)

Immunohistochemistry (Formalin/PFA-fixed paraffin-embedded sections) analysis of human ovarian carcinoma (left) and mouse squamous cell carcinoma (right) tissues labelling PRKRIR with ab70334 at 1/1000 (0.2µg/ml) and 1/200 (1µg/ml). Detection : DAB.

Immunoprecipitation - Anti-PRKRIR antibody (AB70334)
  • IP

Unknown

Immunoprecipitation - Anti-PRKRIR antibody (AB70334)

IP/WB - 1 mg whole cell lysate of HeLa cells used, and 1/4 of the reaction loaded.
Lane 1 : ab70333 used at 3μg/ml lysate for IP.
Lane 2 : ab70334 used at 3μg/ml lysate for IP.
Lane 3 : IgG control.
ab70334 used at at 1μg/ml for the subsequent WB for all lanes.
Detection : Chemiluminescence with an exposure time of 30 seconds.

All lanes:

Immunoprecipitation - Anti-PRKRIR antibody (ab70334)

Predicted band size: 88 kDa

false

Western blot - Anti-PRKRIR antibody (AB70334)
  • WB

Unknown

Western blot - Anti-PRKRIR antibody (AB70334)

All lanes:

Western blot - Anti-PRKRIR antibody (ab70334) at 0.04 µg/mL

Lane 1:

whole cell lysate of HeLa cells at 50 µg

Lane 2:

whole cell lysate of HeLa cells at 15 µg

Lane 3:

whole cell lysate of HeLa cells at 5 µg

Lane 4:

whole cell lysate of NIH3T3 cells at 50 µg

Predicted band size: 88 kDa

Observed band size: 88 kDa

false

Key facts

Host species

Rabbit

Clonality

Polyclonal

Isotype

IgG

Carrier free

No

Reacts with

Mouse, Human

Applications

IHC-P, WB, IP

applications

Immunogen

Synthetic Peptide within Human THAP12. The exact immunogen used to generate this antibody is proprietary information.

O43422

Reactivity data

{ "title": "Reactivity Data", "filters": { "stats": ["", "Species", "Dilution Info", "Notes"], "tabs": { "all-applications": {"fullname" : "All Applications", "shortname": "All Applications"}, "IHCP" : {"fullname" : "Immunohistochemistry (Formalin/PFA-fixed paraffin-embedded sections)", "shortname":"IHC-P"}, "IP" : {"fullname" : "Immunoprecipitation", "shortname":"IP"}, "WB" : {"fullname" : "Western blot", "shortname":"WB"} }, "product-promise": { "all": "all", "testedAndGuaranteed": "tested", "guaranteed": "expected", "predicted": "predicted", "notRecommended": "not-recommended" } }, "values": { "Human": { "IHCP-species-checked": "testedAndGuaranteed", "IHCP-species-dilution-info": "1/100 - 1/1000", "IHCP-species-notes": "<p></p> Perform heat-mediated antigen retrieval with citrate buffer pH 6 before commencing with IHC staining protocol.", "IP-species-checked": "testedAndGuaranteed", "IP-species-dilution-info": "1-4 µg/mL", "IP-species-notes": "<p></p>", "WB-species-checked": "testedAndGuaranteed", "WB-species-dilution-info": "1/2000 - 1/10000", "WB-species-notes": "<p></p>" }, "Mouse": { "IHCP-species-checked": "testedAndGuaranteed", "IHCP-species-dilution-info": "1/100 - 1/1000", "IHCP-species-notes": "<p></p> Perform heat-mediated antigen retrieval with citrate buffer pH 6 before commencing with IHC staining protocol.", "IP-species-checked": "guaranteed", "IP-species-dilution-info": "", "IP-species-notes": "", "WB-species-checked": "guaranteed", "WB-species-dilution-info": "", "WB-species-notes": "" }, "Rat": { "IHCP-species-checked": "predicted", "IHCP-species-dilution-info": "", "IHCP-species-notes": "", "IP-species-checked": "predicted", "IP-species-dilution-info": "", "IP-species-notes": "", "WB-species-checked": "predicted", "WB-species-dilution-info": "", "WB-species-notes": "" }, "Chimpanzee": { "IHCP-species-checked": "predicted", "IHCP-species-dilution-info": "", "IHCP-species-notes": "", "IP-species-checked": "predicted", "IP-species-dilution-info": "", "IP-species-notes": "", "WB-species-checked": "predicted", "WB-species-dilution-info": "", "WB-species-notes": "" }, "Gorilla": { "IHCP-species-checked": "predicted", "IHCP-species-dilution-info": "", "IHCP-species-notes": "", "IP-species-checked": "predicted", "IP-species-dilution-info": "", "IP-species-notes": "", "WB-species-checked": "predicted", "WB-species-dilution-info": "", "WB-species-notes": "" }, "Horse": { "IHCP-species-checked": "predicted", "IHCP-species-dilution-info": "", "IHCP-species-notes": "", "IP-species-checked": "predicted", "IP-species-dilution-info": "", "IP-species-notes": "", "WB-species-checked": "predicted", "WB-species-dilution-info": "", "WB-species-notes": "" }, "Orangutan": { "IHCP-species-checked": "predicted", "IHCP-species-dilution-info": "", "IHCP-species-notes": "", "IP-species-checked": "predicted", "IP-species-dilution-info": "", "IP-species-notes": "", "WB-species-checked": "predicted", "WB-species-dilution-info": "", "WB-species-notes": "" }, "Rabbit": { "IHCP-species-checked": "predicted", "IHCP-species-dilution-info": "", "IHCP-species-notes": "", "IP-species-checked": "predicted", "IP-species-dilution-info": "", "IP-species-notes": "", "WB-species-checked": "predicted", "WB-species-dilution-info": "", "WB-species-notes": "" }, "Rhesus monkey": { "IHCP-species-checked": "predicted", "IHCP-species-dilution-info": "", "IHCP-species-notes": "", "IP-species-checked": "predicted", "IP-species-dilution-info": "", "IP-species-notes": "", "WB-species-checked": "predicted", "WB-species-dilution-info": "", "WB-species-notes": "" } } }

Properties and storage information

Form
Liquid
Purification technique
Affinity purification Immunogen
Storage buffer
pH: 6.8 - 7.4 Preservative: 0.09% Sodium azide Constituents: Tris buffered saline, 0.1% BSA
Shipped at conditions
Blue Ice
Appropriate short-term storage conditions
+4°C
Appropriate long-term storage conditions
+4°C
Aliquoting information
Upon delivery aliquot
Storage information
Avoid freeze / thaw cycle

Supplementary information

This supplementary information is collated from multiple sources and compiled automatically.

PRKRIR also known as PRK receptor-interacting protein or P58IPK plays a role mechanically as an important component of cellular stress response mechanisms. It acts mainly as an inhibitor of eIF2α phosphorylation which is key to controlling protein synthesis during stress conditions. PRKRIR has an approximate molecular mass of 58 kDa. Researchers have found its expression in various tissues including heart liver and brain. The protein forms a part of cellular response machinery to modulate how cells react to stressors like viral infections or endoplasmic reticulum stress.
Biological function summary

The function of PRKRIR centers on managing cellular stress responses and mitigating apoptosis. It interacts with and regulates the activity of PKR (protein kinase R) a part of the integrated stress response (ISR). As part of its regulatory duties PRKRIR ensures that cells do not overreact to stress signals that might otherwise lead to unnecessary apoptosis. PRKRIR participates as a chaperone-like protein interacting within a complex that ensures the appropriate folding and function of several target proteins engaged in stress adaption pathways.

Pathways

PRKRIR engages in the integrated stress response (ISR) and the unfolded protein response (UPR) pathways. Within these pathways PRKRIR primarily functions to help control the phosphorylation of eIF2α a process heavily regulated under stress conditions to minimize protein synthesis and optimize stress adaptation. It interacts closely with other proteins like PKR and BiP (Binding Immunoglobulin Protein) to modulate these cellular defense mechanisms. By regulating phosphorylation events PRKRIR helps cells to balance survival and apoptotic signals in response to stressful stimuli.

PRKRIR has a significant role in conditions such as neurodegenerative diseases and cancer. In neurodegenerative disorders its role in modulating the ISR could influence neuronal cell survival where dysregulated stress response pathways contribute to disease progression. Cancer research suggests that PRKRIR might be involved in tumor progression where its regulation of protein synthesis can affect cell proliferation rates. Connections to proteins like PKR and eIF2α indicate that altering PRKRIR function can have downstream effects on cellular responses central to disease pathology. Understanding its role offers potential therapeutic interest in designing drugs that modulate stress responses in these disorders.

Product protocols

For this product, it's our understanding that no specific protocols are required. You can visit:

Target data

Upstream regulator of interferon-induced serine/threonine protein kinase R (PKR). May block the PKR-inhibitory function of DNAJC3, resulting in restoration of kinase activity and suppression of cell growth.
See full target information THAP12

Publications (1)

Recent publications for all applications. Explore the full list and refine your search

iScience 28:113456 PubMed41054532

2025

Dual molecular therapy targeting tumor cell heterogeneity improves therapeutic efficacy in glioblastoma.

Applications

Unspecified application

Species

Unspecified reactive species

Shuichiro Hirano,Atsuhito Uneda,Yoshihiro Otani,Yasuki Suruga,Ryoji Imoto,Madoka Hokama,Tsuyoshi Umeda,Ryosuke Ikemachi,Shohei Nishigaki,Nobushige Tsuboi,Keigo Makino,Naoya Kemmotsu,Yasuhito Kegoya,Yuji Matsumoto,Yusuke Tomita,Yosuke Shimazu,Joji Ishida,Kentaro Fujii,Hiroaki Wakimoto,Shota Tanaka,Isao Date
View all publications

Product promise

We are committed to supporting your work with high-quality reagents, and we're here for you every step of the way. In the unlikely event that one of our products does not perform as expected, you're protected by our Product Promise.
For full details, please see our Terms & Conditions

Please note: All products are 'FOR RESEARCH USE ONLY. NOT FOR USE IN DIAGNOSTIC OR THERAPEUTIC PROCEDURES'.

For licensing inquiries, please contact partnerships@abcam.com