JavaScript is disabled in your browser. Please enable JavaScript to view this website.
AB73246

Anti-PRMT1 antibody

4

(4 Reviews)

|

(23 Publications)

Rabbit Polyclonal PRMT1 antibody. Suitable for ICC, IP, WB, IHC-P and reacts with Human, Mouse samples. Cited in 23 publications.

View Alternative Names

HMT2, HRMT1L2, IR1B4, PRMT1, Protein arginine N-methyltransferase 1, Histone-arginine N-methyltransferase PRMT1, Interferon receptor 1-bound protein 4

5 Images
Immunocytochemistry - Anti-PRMT1 antibody (AB73246)
  • ICC

Lab

Immunocytochemistry - Anti-PRMT1 antibody (AB73246)

ab73246 staining PRMT1 in HeLa cells. The cells were fixed with 4% paraformaldehyde (10 min), permeabilized with 0.1% PBS-Triton X-100 for 5 minutes and then blocked with 1% BSA/10% normal goat serum/0.3M glycine in 0.1%PBS-Tween for 1h. The cells were then incubated overnight at 4°C with ab73246 at 1µg/ml and ab7291, Mouse monoclonal [DM1A] to alpha Tubulin - Loading Control. Cells were then incubated with ab150081, Goat polyclonal Secondary Antibody to Rabbit IgG - H&L (Alexa Fluor® 488), pre-adsorbed at 1/1000 dilution (shown in green) and ab150120, Goat polyclonal Secondary Antibody to Mouse IgG - H&L (Alexa Fluor® 594), pre-adsorbed at 1/1000 dilution (shown in pseudocolour red). Nuclear DNA was labelled with DAPI (shown in blue).

Also suitable in cells fixed with 100% methanol (5 min).

Image was acquired with a high-content analyser (Operetta CLS, Perkin Elmer) and a maximum intensity projection of confocal sections is shown.

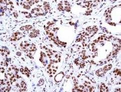
Immunohistochemistry (Formalin/PFA-fixed paraffin-embedded sections) - Anti-PRMT1 antibody (AB73246)
  • IHC-P

Unknown

Immunohistochemistry (Formalin/PFA-fixed paraffin-embedded sections) - Anti-PRMT1 antibody (AB73246)

IHC image of PRMT1 staining in Human Hippocampus FFPE section, performed on a BondTM system using the standard protocol F. The section was pre-treated using heat mediated antigen retrieval with sodium citrate buffer (pH6, epitope retrieval solution 1) for 20 mins. The section was then incubated with ab73246, 5µg/ml, for 15 mins at room temperature and detected using an HRP conjugated compact polymer system. DAB was used as the chromogen. The section was then counterstained with haematoxylin and mounted with DPX

Western blot - Anti-PRMT1 antibody (AB73246)
  • WB

Lab

Western blot - Anti-PRMT1 antibody (AB73246)

This blot was produced using a 4-12% Bis-tris gel under the MOPS buffer system. The gel was run at 200V for 50 minutes before being transferred onto a Nitrocellulose membrane at 30V for 70 minutes. The membrane was then blocked for an hour using 1% milk before being incubated with ab73246 overnight at 4°C. Antibody binding was detected using an anti-rabbit antibody conjugated to HRP, and visualised using ECL development solution.

This antibody was raised against an immunogen that is predicted to recognize isoforms 1,2,3 and 4 of human PRMT1. The predicted molecular weights of isoforms 1,2,3 and 4 are 41kDa, 39kDa, 39kDa and 40kDa respectively.

All lanes:

Western blot - Anti-PRMT1 antibody (ab73246) at 1 µg/mL

Lane 1:

Caco-2 (Human colonic carcinoma cell line) Whole Cell Lysate (ab76828) at 10 µg

Lane 2:

SW480 (Human colon adenocarcinoma cell line) Whole Cell Lysate (ab76999) at 10 µg

Lane 3:

Thymus (Mouse) Tissue Lysate (ab76823) at 10 µg

Secondary

All lanes:

Western blot - Goat Anti-Rabbit IgG H&L (HRP) (<a href='/en-us/products/secondary-antibodies/goat-rabbit-igg-h-l-hrp-ab97051'>ab97051</a>) at 1/10000 dilution

Predicted band size: 42 kDa

Observed band size: 25 kDa,38 kDa,43 kDa,90 kDa

true

Exposure time: 2min

Immunoprecipitation - Anti-PRMT1 antibody (AB73246)
  • IP

Unknown

Immunoprecipitation - Anti-PRMT1 antibody (AB73246)

PRMT1 was immunoprecipitated using 0.5mg HepG2 whole cell extract, 5µg of Rabbit polyclonal to PRMT1 and 50µl of protein G magnetic beads (+). No antibody was added to the control (-).
The antibody was incubated under agitation with Protein G beads for 10min, HepG2 whole cell extract lysate diluted in RIPA buffer was added to each sample and incubated for a further 10min under agitation.
Proteins were eluted by addition of 40µl SDS loading buffer and incubated for 10min at 70oC; 10µl of each sample was separated on a SDS PAGE gel, transferred to a nitrocellulose membrane, blocked with 5% BSA and probed with ab73246.
Secondary : Mouse monoclonal [SB62a] Secondary Antibody to Rabbit IgG light chain (HRP) (ab99697).
Band : 42kDa : PRMT1; non specific - 30kDa : We are unsure as to the identity of this extra band.

All lanes:

Immunoprecipitation - Anti-PRMT1 antibody (ab73246)

Predicted band size: 42 kDa

false

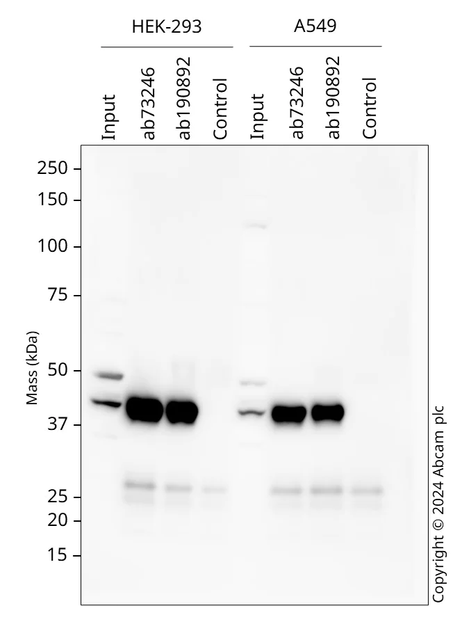
Western blot - Anti-PRMT1 antibody (AB73246)
  • WB

Lab

Western blot - Anti-PRMT1 antibody (AB73246)

Western blot : Anti-PRMT1 antibody (ab73246) staining at 1 ug/ml, shown in black. In Western blot, ab73246 was shown to bind specifically to PRMT1. First, samples were run on an SDS-PAGE gel then transferred onto a nitrocellulose membrane. Membranes were blocked in 3 % milk in TBS-0.1 % Tween® 20 (TBS-T) before incubation with primary antibodies overnight at 4 °C. Blots were washed four times in TBS-T, incubated with secondary antibodies for 1 h at room temperature, washed again four times then imaged after ECL incubation with 20 minute exposure. Secondary antibodies used were VeriBlot for IP Detection Reagent (HRP) (ab131366).

All lanes:

Western blot - Anti-PRMT1 antibody (ab73246) at 1 µg/mL

Lane 1:

HEK-293 input cell lysate at 10 µg

Lane 2:

HEK-293 pulldown with ab73246 cell lysate at 10 µL

Lane 3:

HEK-293 pulldown with <a href='/en-us/products/primary-antibodies/prmt1-antibody-epr18344-ab190892'>ab190892</a> cell lysate at 10 µL

Lane 4:

HEK-293 pulldown with <a href='/en-us/products/primary-antibodies/rabbit-igg-monoclonal-epr25a-isotype-control-ab172730'>ab172730</a> isotype control cell lysate at 10 µL

Lane 5:

A549 input cell lysate at 10 µg

Lane 6:

A549 pulldown with ab73246 cell lysate at 10 µL

Lane 7:

A549 pulldown with <a href='/en-us/products/primary-antibodies/prmt1-antibody-epr18344-ab190892'>ab190892</a> cell lysate at 10 µL

Lane 8:

A549 pulldown with <a href='/en-us/products/primary-antibodies/rabbit-igg-monoclonal-epr25a-isotype-control-ab172730'>ab172730</a> isotype control cell lysate at 10 µL

Secondary

All lanes:

Western blot - VeriBlot for IP Detection Reagent (HRP) (<a href='/en-us/products/reagents/veriblot-for-ip-detection-reagent-hrp-ab131366'>ab131366</a>)

false

Key facts

Host species

Rabbit

Clonality

Polyclonal

Isotype

IgG

Carrier free

No

Reacts with

Mouse, Human

Applications

IP, IHC-P, ICC, WB

applications

Immunogen

The exact immunogen used to generate this antibody is proprietary information.

Reactivity data

{ "title": "Reactivity Data", "filters": { "stats": ["", "Species", "Dilution Info", "Notes"], "tabs": { "all-applications": {"fullname" : "All Applications", "shortname": "All Applications"}, "ICC" : {"fullname" : "Immunocytochemistry", "shortname":"ICC"}, "IP" : {"fullname" : "Immunoprecipitation", "shortname":"IP"}, "WB" : {"fullname" : "Western blot", "shortname":"WB"}, "IHCP" : {"fullname" : "Immunohistochemistry (Formalin/PFA-fixed paraffin-embedded sections)", "shortname":"IHC-P"} }, "product-promise": { "all": "all", "testedAndGuaranteed": "tested", "guaranteed": "expected", "predicted": "predicted", "notRecommended": "not-recommended" } }, "values": { "Human": { "ICC-species-checked": "testedAndGuaranteed", "ICC-species-dilution-info": "1-5 µg/mL", "ICC-species-notes": "<p></p>", "IP-species-checked": "testedAndGuaranteed", "IP-species-dilution-info": "", "IP-species-notes": "<p></p>", "WB-species-checked": "testedAndGuaranteed", "WB-species-dilution-info": "1 µg/mL", "WB-species-notes": "<p></p>", "IHCP-species-checked": "testedAndGuaranteed", "IHCP-species-dilution-info": "5 µg/mL", "IHCP-species-notes": "<p></p>" }, "Mouse": { "ICC-species-checked": "guaranteed", "ICC-species-dilution-info": "", "ICC-species-notes": "", "IP-species-checked": "guaranteed", "IP-species-dilution-info": "", "IP-species-notes": "", "WB-species-checked": "testedAndGuaranteed", "WB-species-dilution-info": "1 µg/mL", "WB-species-notes": "<p></p>", "IHCP-species-checked": "guaranteed", "IHCP-species-dilution-info": "", "IHCP-species-notes": "" }, "Rat": { "ICC-species-checked": "predicted", "ICC-species-dilution-info": "", "ICC-species-notes": "", "IP-species-checked": "predicted", "IP-species-dilution-info": "", "IP-species-notes": "", "WB-species-checked": "predicted", "WB-species-dilution-info": "", "WB-species-notes": "", "IHCP-species-checked": "predicted", "IHCP-species-dilution-info": "", "IHCP-species-notes": "" }, "Cow": { "ICC-species-checked": "predicted", "ICC-species-dilution-info": "", "ICC-species-notes": "", "IP-species-checked": "predicted", "IP-species-dilution-info": "", "IP-species-notes": "", "WB-species-checked": "predicted", "WB-species-dilution-info": "", "WB-species-notes": "", "IHCP-species-checked": "predicted", "IHCP-species-dilution-info": "", "IHCP-species-notes": "" }, "Dog": { "ICC-species-checked": "predicted", "ICC-species-dilution-info": "", "ICC-species-notes": "", "IP-species-checked": "predicted", "IP-species-dilution-info": "", "IP-species-notes": "", "WB-species-checked": "predicted", "WB-species-dilution-info": "", "WB-species-notes": "", "IHCP-species-checked": "predicted", "IHCP-species-dilution-info": "", "IHCP-species-notes": "" }, "Primates": { "ICC-species-checked": "predicted", "ICC-species-dilution-info": "", "ICC-species-notes": "", "IP-species-checked": "predicted", "IP-species-dilution-info": "", "IP-species-notes": "", "WB-species-checked": "predicted", "WB-species-dilution-info": "", "WB-species-notes": "", "IHCP-species-checked": "predicted", "IHCP-species-dilution-info": "", "IHCP-species-notes": "" } } }

Properties and storage information

Form
Liquid
Purification technique
Affinity purification Immunogen
Storage buffer
pH: 7.4 Preservative: 0.02% Sodium azide Constituents: PBS, 1% BSA
Shipped at conditions
Blue Ice
Appropriate short-term storage duration
1-2 weeks
Appropriate short-term storage conditions
+4°C
Appropriate long-term storage conditions
-20°C
Aliquoting information
Upon delivery aliquot
Storage information
Avoid freeze / thaw cycle

Supplementary information

This supplementary information is collated from multiple sources and compiled automatically.

PRMT1 also known as protein arginine methyltransferase 1 is an important enzyme for post-translational modification. With a molecular mass of approximately 41 kDa PRMT1 is involved in the methylation of arginine residues on target proteins. This enzyme is ubiquitously expressed across various tissues indicating its widespread importance in cellular functions. PRMT1 functions in both the nucleus and cytoplasm impacting diverse cellular processes through its enzymatic activity.
Biological function summary

PRMT1 participates in several essential cellular functions including signal transduction gene expression and RNA processing. It methylates histones and non-histone proteins influencing chromatin structure and function. PRMT1 does not normally function as part of a complex but it interacts individually with different substrates to exert its effects. PRMT1 activity is essential in regulating transcriptional activation and repression highlighting its significant role in cellular regulation.

Pathways

PRMT1 plays a central role in the regulation of the glucocorticoid receptor signaling and p53 pathways. In glucocorticoid receptor signaling PRMT1 modifies transcription factors affecting their ability to bind DNA and regulate gene expression. In the p53 pathway PRMT1 methylates p53 itself impacting cell cycle arrest and apoptotic functions. These pathways demonstrate PRMT1’s interaction with other proteins like the p53 protein highlighting its integrative role in essential cellular processes.

PRMT1 is implicated in cancer and cardiovascular diseases. Aberrant expression or activity of PRMT1 associates with tumor progression and poor prognosis in cancers making it a target for therapeutic intervention. Additionally PRMT1 contributes to the pathogenesis of cardiovascular diseases by influencing the expression of genes linked to cardiac hypertrophy. PRMT1 interacts with the p53 protein impacting cancer development while also being connected through its regulatory function on p53-associated genes in these diseases.

Product protocols

For this product, it's our understanding that no specific protocols are required. You can visit:

Target data

Arginine methyltransferase that methylates (mono and asymmetric dimethylation) the guanidino nitrogens of arginyl residues present in proteins such as ESR1, histone H2, H3 and H4, FMR1, ILF3, HNRNPA1, HNRNPD, NFATC2IP, SUPT5H, TAF15, EWS, HABP4, SERBP1, RBM15, FOXO1, CHTOP, MAP3K5/ASK1, MICU1 and NPRL2 (PubMed : 10749851, PubMed : 15741314, PubMed : 16879614, PubMed : 18951090, PubMed : 22095282, PubMed : 25284789, PubMed : 26575292, PubMed : 26876602, PubMed : 27642082, PubMed : 30765518, PubMed : 31257072, PubMed : 38006878). Constitutes the main enzyme that mediates monomethylation and asymmetric dimethylation of histone H4 'Arg-4' (H4R3me1 and H4R3me2a, respectively), a specific tag for epigenetic transcriptional activation. May be involved in the regulation of TAF15 transcriptional activity, act as an activator of estrogen receptor (ER)-mediated transactivation, play a key role in neurite outgrowth and act as a negative regulator of megakaryocytic differentiation, by modulating p38 MAPK pathway. Methylates RBM15, promoting ubiquitination and degradation of RBM15 (PubMed : 26575292). Methylates MRE11 and TP53BP1, promoting the DNA damage response (PubMed : 15741314, PubMed : 16294045, PubMed : 29651020). Methylates FOXO1 and retains it in the nucleus increasing its transcriptional activity (PubMed : 18951090). Methylates CHTOP and this methylation is critical for its 5-hydroxymethylcytosine (5hmC)-binding activity (PubMed : 25284789). Methylates MAP3K5/ASK1 at 'Arg-78' and 'Arg-80' which promotes association of MAP3K5 with thioredoxin and negatively regulates MAP3K5 association with TRAF2, inhibiting MAP3K5 stimulation and MAP3K5-induced activation of JNK (PubMed : 22095282). Methylates H4R3 in genes involved in glioblastomagenesis in a CHTOP- and/or TET1-dependent manner (PubMed : 25284789). Plays a role in regulating alternative splicing in the heart (By similarity). Methylates NPRL2 at 'Arg-78' leading to inhibition of its GTPase activator activity and then the GATOR1 complex and consequently inducing timely mTORC1 activation under methionine-sufficient conditions (PubMed : 38006878).
See full target information PRMT1

Publications (23)

Recent publications for all applications. Explore the full list and refine your search

Communications biology 8:159 PubMed39901028

2025

Arginine methyltransferase PRMT1 promotes ferroptosis through EGR1/GLS2 axis in sepsis-related acute lung injury.

Applications

Unspecified application

Species

Unspecified reactive species

Min Li,Longhui Hu,Qiao Ke,Zhao Li,Chujun Ruan,Hanjing Lu,Xiaoran Liu

FEBS open bio 14:2104-2112 PubMed39367565

2024

PRMT1-mediated arginine methylation promotes YAP activation and hepatocellular carcinoma proliferation.

Applications

Unspecified application

Species

Unspecified reactive species

Jian Yu,Beibei Yu,Zushun Peng,Jianfeng Zhang,Juhui Sun,Bo Yang,Liushiyang Xu,De Luo

Oncology reports 50: PubMed37859611

2023

PRMT1 accelerates cell proliferation, migration, and tumor growth by upregulating ZEB1/H4R3me2as in thyroid carcinoma.

Applications

Unspecified application

Species

Unspecified reactive species

Guoli Feng,Changju Chen,Yi Luo

FEBS open bio 13:1859-1873 PubMed37525933

2023

Inhibition of PRMT1 alleviates sepsis-induced acute kidney injury in mice by blocking the TGF-β1 and IL-6 trans-signaling pathways.

Applications

Unspecified application

Species

Unspecified reactive species

Yu Zhu,Longmei Wang,Rui Liu,Xiurong Ding,Song Yin,Yuankun Chen,Chuanlong Zhu,Zheng Wang,Wenting Li

Frontiers in molecular neuroscience 16:1153870 PubMed37152432

2023

Cingulate protein arginine methyltransferases 1 regulates peripheral hypersensitivity fragile X messenger ribonucleoprotein.

Applications

Unspecified application

Species

Unspecified reactive species

Cheng Wu,Hui-Fang Shang,Yong-Jie Wang,Jing-Hua Wang,Zhen-Xing Zuo,Yan-Na Lian,Li Liu,Chen Zhang,Xiang-Yao Li

Acta neuropathologica 144:1157-1170 PubMed36197469

2022

Assessment of PABPN1 nuclear inclusions on a large cohort of patients and in a human xenograft model of oculopharyngeal muscular dystrophy.

Applications

Unspecified application

Species

Unspecified reactive species

Fanny Roth,Jamila Dhiab,Alexis Boulinguiez,Hadidja-Rose Mouigni,Saskia Lassche,Elisa Negroni,Laura Muraine,Alix Marhic,Alison Oliver,Jeanne Lainé,Andrée Rouche,Erin K O'Ferrall,Baziel van Engelen,Coen Ottenheijm,Hagar Greif,Sergiu Blumen,Jean Lacau St Guily,Sophie Perie,Gillian Butler-Browne,Vincent Mouly,Capucine Trollet

FASEB journal : official publication of the Federation of American Societies for Experimental Biology 35:e21230 PubMed33769609

2021

CDKN2A deregulation in fatty liver disease and its accelerative role in the process of lipogenesis.

Applications

Unspecified application

Species

Unspecified reactive species

Zhi Zhang,Huiqing Wen,Bangjian Peng,Jun Weng,Fanhong Zeng

Cell reports 30:1208-1222.e9 PubMed31995759

2020

PRMT1 Is Recruited via DNA-PK to Chromatin Where It Sustains the Senescence-Associated Secretory Phenotype in Response to Cisplatin.

Applications

Unspecified application

Species

Unspecified reactive species

Daniele Musiani,Roberto Giambruno,Enrico Massignani,Marica Rosaria Ippolito,Marianna Maniaci,Sriganesh Jammula,Daria Manganaro,Alessandro Cuomo,Luciano Nicosia,Diego Pasini,Tiziana Bonaldi

Nucleic acids research 48:96-115 PubMed31777917

2019

PRMT1-mediated methylation of the microprocessor-associated proteins regulates microRNA biogenesis.

Applications

Unspecified application

Species

Unspecified reactive species

Valeria Spadotto,Roberto Giambruno,Enrico Massignani,Marija Mihailovich,Marianna Maniaci,Francesca Patuzzo,Francesco Ghini,Francesco Nicassio,Tiziana Bonaldi

Molecular carcinogenesis 58:2193-2206 PubMed31478263

2019

PRMT1 potentiates chondrosarcoma development through activation of YAP activity.

Applications

Unspecified application

Species

Unspecified reactive species

Changbao Chen,Hua Zhou,Xiaolin Zhang,Zhongjun Liu,Xinlong Ma
View all publications

Product promise

We are committed to supporting your work with high-quality reagents, and we're here for you every step of the way. In the unlikely event that one of our products does not perform as expected, you're protected by our Product Promise.
For full details, please see our Terms & Conditions

Please note: All products are 'FOR RESEARCH USE ONLY. NOT FOR USE IN DIAGNOSTIC OR THERAPEUTIC PROCEDURES'.

For licensing inquiries, please contact partnerships@abcam.com